Объемные образования гипоталамической области и нарушения центральной регуляции гомеостаза
https://doi.org/10.14341/omet2014342-50
Аннотация
Об авторах
Larisa Konstantinovna DzeranovaРоссия
д.м.н., главный научный сотрудник отделения нейроэндокринологии и остеопатий
Ekaterina Aleksamdrovna Pigarova
Россия
к.м.н., старший научный сотрудник отделения нейроэндокринологии и остеопатий
Darya Viktorovna Petrova
Россия
клинический ординатор
Список литературы
1. Алипов Н.Н. Основы медицинской физиологии. 2-е изд. / Под ред. Кузнецова ТЕ, Витрянский ФВ, Малышев ДС и др. – Москва: Практика, 2012. – С.111-112. [Alipov NN. Osnovy meditsinskoy fiziologii. 2d ed. Kuznetsova TE, Vitryanskiy FV, Malyshev DS et. al., editor. Moscow: Praktika; 2012; 111-112].
2. Saeki N, Tamaki K, Murai H, Kubota M, Yamaura A, Uchida D, et al. Long-Term Outcome of Endocrine Function in Patients with Neurohypophyseal Germinomas. Endocr J 2000;47(1):83-89. doi: 10.1507/endocrj.47.83.
3. Collett-Solberg PF, Sernyak H, Satin-Smith M, Katz LL, Sutton L, Molloy P, et al. Endocrine outcome in long-term survivors of low-grade hypothalamic/chiasmatic glioma. Clin Endocrinol 1997;47(1):79-85. PMID: 9302376. doi: 10.1046/j.1365-2265.1997.2211032.x.
4. Mallucci C, Yousaf J, Avula S, Abernethy L. Importance of intraoperative magnetic resonance imaging for pediatric brain tumor surgery. Surg Neurol Int 2012;3(3):65. doi: 10.4103/2152-7806.95417.
5. Prabhu VC, Brown HG. The pathogenesis of craniopharyngiomas. Childs Nerv Syst 2005;21(8-9):622-627. doi: 10.1007/s00381-005-1190-9.
6. Воронцов А.В. Магнитно-резонансная томография в диагностике опухолей гипофиза. / Под ред. Дедов И.И. Клиническая нейроэндокринология. – Москва: УП Принт, 2011. – с. 49. [Vorontsov AV. Magnitno-rezonansnaya tomografiya v diagnostike opukholey gipofiza. Dedov II, editor. Klinicheskaya neyroendokrinologiya. Moscow: UP Print; 2011].
7. Bonneville JF, Bonneville F, Cattin F et al. MRI of the pituitary, University hospital Besancon France; Novartis oncology.
8. Nozaki K, Nagata I, Yoshida K, Kikuchi H. Intrasellar meningioma: case report and review of the literature. Surgical Neurology 1997;47(5):447-452. PMID: 9131027. doi: 10.1016/S0090-3019(96)00244-3.
9. Beems T, Grotenhuis, J. Andre, Wesseling P. Meningioma of the Pituitary Stalk without Dural Attachment: Case Report and Review of the Literature. Neurosurgery 1999;45(6):1474-1477. PMID: 10598717. doi: 10.1097/00006123-199912000-00042.
10. Volpe R, Mazabraud A. A clinicopathologic review of 25 cases of chordoma (a pleomorphic and metastasizing neoplasm). Am J Surg Pathol 1983;7(2):161-170. PMID: 6859391. doi: 10.1097/00000478-198303000-00006.
11. Rosenberg AE, Nielsen GP, Keel SB, Renard LG, Fitzek MM, Munzenrider JE, et al. Chondrosarcoma of the Base of the Skull. The American Journal of Surgical Pathology 1999;23(11):1370-1378. PMID: 10555005. doi: 10.1097/00000478-199911000-00007.
12. Sweiss RB, Shweikeh F, Sweiss FB, et al. . Suprasellar mature cystic teratoma: an unusual location for an uncommon tumor. Case Rep Neurol Med. 2013; 2013. doi: 10.1155/2013/180497.
13. Азизян ВН. Клиническая и гистобиологическая характеристика первичных герминативно-клеточных опухолей центральной нервной системы. Москва; 2005. [Azizian VN. Klinicheskaya i gistobiologicheskaya kharakteristika pervichnykh germinativno-kletochnykh opukholey tsentral'noy nervnoy sistemy. Moscow: 2005.].
14. Reddy AT, Wellons 3rd JC, Allen JC, Fiveash JB, Abdullatif H, Braune KW, et al. Refining the staging evaluation of pineal region germinoma using neuroendoscopy and the presence of preoperative diabetes insipidus. Neuro Oncol 2004;6(2):127-133. PMID: 15134627. doi: 10.1215/S1152851703000243.
15. Chaudhary V, Bano S. Imaging in short stature. Indian J Endocr Metab 2012;16(5):692-7. doi: 10.4103/2230-8210.100641.
16. Nayil K, Singh S, Makhdoomi R, Ramzan A, Wani A. Sellar-suprasellar tuberculomas in children: 2 cases and literature review. Pediatr Neurol 2011;44(6):463-466. PMID: 21555059. doi: 10.1016/j.pediatrneurol.2011.01.020.
17. Dutta P, Bhansali A, Singh P, Singla N. Suprasellar hydatid cyst. BMJ Case Rep 2009;3. PMID: 3029915. doi: 10.1136/bcr.04.2009.1798.
Дополнительные файлы
|
|
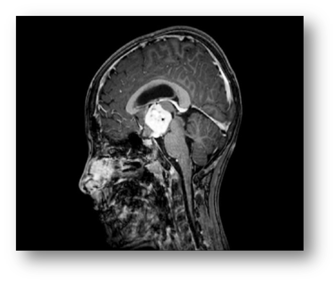
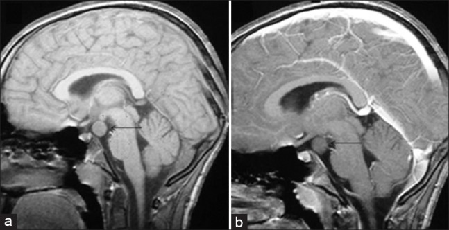
1. Рис.1 Глиома | |
| Тема | ||
| Тип | Прочее | |
Посмотреть
(191KB)
|
Метаданные ▾ | |
|
|
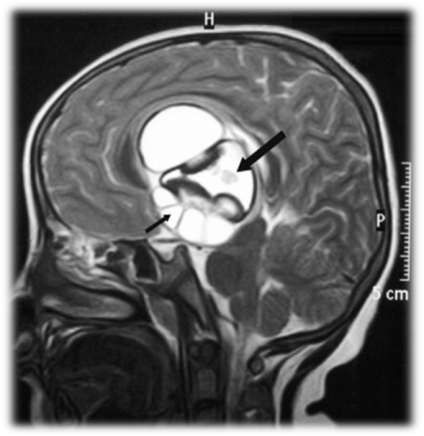
2. Рис.2. Краниофарингиома | |
| Тема | ||
| Тип | Research Instrument | |
Посмотреть
(102KB)
|
Метаданные ▾ | |
|
3. Untitled | |
| Тема | ||
| Тип | Research Instrument | |
Скачать
(325KB)
|
Метаданные ▾ | |
|
4. Untitled | |
| Тема | ||
| Тип | Research Instrument | |
Скачать
(324KB)
|
Метаданные ▾ | |
|
5. Untitled | |
| Тема | ||
| Тип | Research Instrument | |
Скачать
(686KB)
|
Метаданные ▾ | |
|
6. Untitled | |
| Тема | ||
| Тип | Research Instrument | |
Скачать
(83KB)
|
Метаданные ▾ | |
|
|
7. Untitled | |
| Тема | ||
| Тип | Research Instrument | |
Посмотреть
(54KB)
|
Метаданные ▾ | |
|
8. Untitled | |
| Тема | ||
| Тип | Research Instrument | |
Скачать
(553KB)
|
Метаданные ▾ | |
|
|
9. Untitled | |
| Тема | ||
| Тип | Research Instrument | |
Посмотреть
(157KB)
|
Метаданные ▾ | |
|
|
10. Untitled | |
| Тема | ||
| Тип | Research Instrument | |
Посмотреть
(176KB)
|
Метаданные ▾ | |
Рецензия
Для цитирования:
Dzeranova L.K., Pigarova E.A., Petrova D.V. Объемные образования гипоталамической области и нарушения центральной регуляции гомеостаза. Ожирение и метаболизм. 2014;11(3):42-50. https://doi.org/10.14341/omet2014342-50
Контент доступен под лицензией Creative Commons Attribution-NonCommercial-NoDerivatives 4.0 International License (CC BY-NC-ND 4.0).



































