Preview

Obesity and metabolism

Advanced search

Case of insulinoma detected in a patient after bariatric operation for morbid obesity

https://doi.org/10.14341/omet9751

Abstract

The prevalence of insulinomas is 1–3 cases per million population per year of which 4–14% tumor is malignant. Weight gain is one of the symptoms of the disease, often resulting in morbid obesity with indications for surgical treatment. The presented clinical case demonstrates the successful treatment of malignant insulinoma with the manifestation of hypoglycemic syndrome after carrying out biliopancreatic bypass with longitudinal gastrectomy for morbid obesity.

About the Authors

Ekaterina S. Maloletkina

University Clinical Hospital №2 of "I.M. Sechenov First Moscow State Medical University (Sechenov University)"


Russian Federation

MD, endocrinologist of the endocrinological therapeutic department №2



Olesya Y. Gurova

University Clinical Hospital №2 of "I.M. Sechenov First Moscow State Medical University (Sechenov University)"


Russian Federation

MD, PhD, associate professor of the Department of Endocrinology №1, Faculty of Medicine



Valentin V. Fadeyev

I.M. Sechenov First Moscow State Medical University (Sechenov University)


Russian Federation

MD, ScD, professor, corresponding member of the Russian Academy of Sciences



Vyacheslav I. Egorov

Moscow city hospital № 5 City Clinical Hospital №5 of the Moscow Health Department


Russian Federation

MD, ScD, professor



Roman V. Petrov

Moscow city hospital № 5 City Clinical Hospital №5 of the Moscow Health Department


Russian Federation

MD, PhD, oncologist



Dmitriy G. Beltsevich

Endocrinology Research Center


Russian Federation

MD, ScD, Professor, leading research associate of the surgery department



Andrei V. Vorob'ev

University Clinical Hospital №2 of "I.M. Sechenov First Moscow State Medical University (Sechenov University)"


Russian Federation

MD, endocrinologist, head of the endocrinological therapeutic department №2



References

1. Baudin E, Caron P, Lombard-Bohas C, et al. Malignant insulinoma: Recommendations for characterisation and treatment. Ann Endocrinol (Paris). 2013. doi: 10.1016/j.ando.2013.07.001

2. Maresova D, Kozler P, Pokorny J. Neuronal excitability changes depend on the time course of cellular edema induced by water intoxication in young rats. Neuro Endocrinol Lett. 2016;37(3):207-212. PMID: 27618603

3. Hirshberg B, Cochran C, Skarulis MC, et al. Malignant insulinoma. Cancer. 2005;104(2):264-272. doi: 10.1002/cncr.21179

4. Oken MM, Creech RH, Tormey DC, et al. Toxicity and response criteria of the Eastern Cooperative Oncology Group. Am J Clin Oncol. 1982;5(6):649-656. doi: 10.1097/00000421-198212000-00014

5. Malik S, Mitchell JE, Steffen K, et al. Recognition and management of hyperinsulinemic hypoglycemia after bariatric surgery. Obes Res Clin Pract. 2016. doi: 10.1016/j.orcp.2015.07.003

6. Mulla CM, Storino A, Yee EU, et al. Insulinoma After Bariatric Surgery: Diagnostic Dilemma and Therapeutic Approaches. Obes Surg. 2016;26(4):874-881. doi: 10.1007/s11695-016-2092-5

7. Zagury L, Moreira RO, Guedes EP, et al. Insulinoma Misdiagnosed as Dumping Syndrome after Bariatric Surgery. Obes Surg. 2004;14(1):120-123. doi: 10.1381/096089204772787419

8. Seshadri P, Lenhard MJ, Bennett J, et al. Rare case of insulinoma diagnosed after laparoscopic gastric banding. Surg Obes Relat Dis. 2009;5(1):123-127. doi: 10.1016/j.soard.2008.03.250

9. Abellán P, Cámara R, Merino-Torres JF, et al. Severe hypoglycemia after gastric bypass surgery for morbid obesity. Diabetes Res Clin Pract. 2008. doi: 10.1016/j.diabres.2007.07.017

10. Duff JM, Ghayee HK, Weber M, Thomas RM. Delayed Imaging Presentation of a Symptomatic Insulinoma After Bariatric Surgery. J Gastrointest Surg. 2017;21(2):412-414. doi: 10.1007/s11605-016-3219-7

11. Qian SY, Hare MJL, Pham A, Topliss DJ. Insulinoma presenting with post-prandial hypoglycaemia following fundoplication. Endocrinol Diabetes Metab Case Reports. 2018;(1). doi: 10.1530/EDM-17-0131

12. Koca YS, Aydın B, Koca T, Bülbül MT, Tamer MN. Insulinoma-Induced Hypoglycemia in a Patient with Insulinoma after Gastrojejunostomy for Prepyloric Ulcer. Case Rep Surg. 2015;2015:1-3. doi: 10.1155/2015/127914

13. Iglesias P, Ais G, Pastrana M, Etreros J, Salinas S, Diez JJ. Insulinoma-lnduced hypoglycemia in a patient with nesidiodysplasia after vagomotomy and pyloroplasty for duodenal ulcer. Am J Med Sci. 2009. doi: 10.1097/MAJ.0b013e3181907b06

14. Sato T, Narita T, Hosoba M, et al. A case of insulinoma following total gastrectomy—Effects of an alpha-glucosidase inhibitor on suppressing GIP and GLP-1 elevations. Diabetes Res Clin Pract. 2010;88(1):e4-e6. doi: 10.1016/j.diabres.2010.01.006


Supplementary files

1. Таблица 1. Результаты лабораторных и инструментальных исследований на догоспитальном этапе.
Subject
Type Исследовательские инструменты
Download (12KB)    
Indexing metadata ▾
2. Таблица 2. Результаты лабораторных и инструментальных исследований в отдаленном послеоперационном обследовании.
Subject
Type Исследовательские инструменты
Download (111KB)    
Indexing metadata ▾
3. Таблица 3. Дифференциальная диагностика гипогликемий после бариатрических операций (гастрошунтирования), Malik S. et al.
Subject
Type Исследовательские инструменты
Download (14KB)    
Indexing metadata ▾
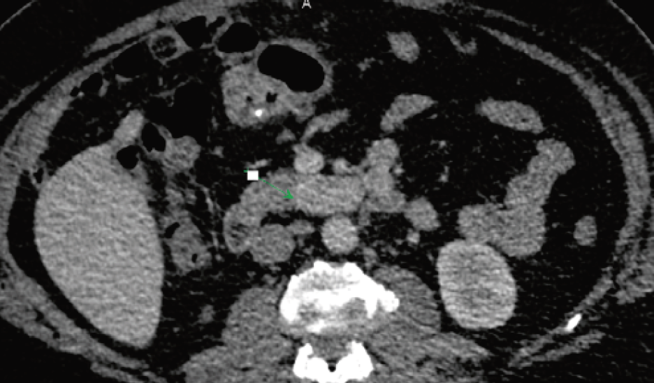
4. Fig. 1. MSCT of the abdominal cavity with CU. Izovascular formation in the hooked process of the pancreas, lymphadenopathy.
Subject
Type Исследовательские инструменты
View (687KB)    
Indexing metadata ▾
5. Fig. 2. MSCT frontal plane, tumor of the pancreatic head T2N1M0.
Subject
Type Исследовательские инструменты
View (914KB)    
Indexing metadata ▾
6. Fig. 3. MSCT frontal plane, pancreatic head tumor.
Subject
Type Исследовательские инструменты
View (886KB)    
Indexing metadata ▾
7. Fig. 4. Tumor (insulinoma) of the pancreatic head.
Subject
Type Исследовательские инструменты
View (810KB)    
Indexing metadata ▾
8. Fig. 5. Pancreatoduodenal complex, lymph nodes.
Subject
Type Исследовательские инструменты
View (909KB)    
Indexing metadata ▾
9. Fig. 6. Magnetic resonance cholangiopancreatography, signs of hepaticojejunostomy stricture (indicated by green arrow)
Subject
Type Исследовательские инструменты
View (880KB)    
Indexing metadata ▾

Review

For citations:


Maloletkina E.S., Gurova O.Y., Fadeyev V.V., Egorov V.I., Petrov R.V., Beltsevich D.G., Vorob'ev A.V. Case of insulinoma detected in a patient after bariatric operation for morbid obesity. Obesity and metabolism. 2019;16(1):74-80. (In Russ.) https://doi.org/10.14341/omet9751

Views: 4149


ISSN 2071-8713 (Print)
ISSN 2306-5524 (Online)