Гиперплазия гипофиза с гиперэкспрессией АКТГ на фоне АКТГ-эктопированного синдрома у пациентки с карциноидом легкого.
https://doi.org/10.14341/omet2015152-59
Аннотация
АКТГ-эктопированный синдром — наиболее трудно диагностируемый вариант эндогенного гиперкортицизма. Особенно непростым представляется дифференциальный диагноз с болезнью Иценко-Кушинга (БИК), т.к. в настоящее время не существует единого теста, с помощью которого можно было бы достаточно точно дифференцировать эктопическую продукцию АКТГ от гипофизарной. Основные функциональные тесты основаны на том, что в подавляющем большинстве случаев эктопическая продукция АКТГ автономна и подавляет его выработку гипофизом. Но в ряде случав этого не наблюдается, и тогда полученные данные всех необходимых лабораторно-инструментальных исследований свидетельствуют в пользу центрального генеза гиперкортицизма у пациента с АКТГ-эктопией, что может привести к неадекватному лечению. При подтверждении АКТГ-эктопического синдрома клиницисту, возможно, предстоит довольно длительный поиск патологического очага, так как не существует и достаточно точного визуализирующего диагностического метода для определения локализации эктопического источника продукции АКТГ. Таким образом, дифференциальная диагностика АКТГ-зависимого гиперкортицизма и поиск очага гиперсекреции АКТГ сегодня являются наиболее важной задачей для своевременного и радикального лечения пациентов.
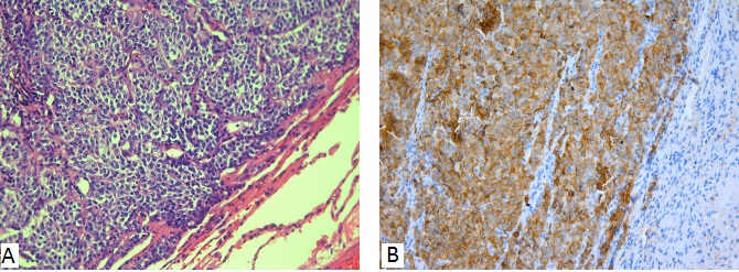
Мы представляем сложный клинический случай пациентки, имеющей гиперплазию гипофиза с гиперэкспрессией АКТГ на фоне АКТГ-эктопированного синдрома, обусловленного карциноидом легкого.
Об авторах
Лариса Константиновна ДзерановаРоссия
д.м.н., главный научный сотрудник отделения нейроэндокринолоии и остеопатий
Дарья Викторовна Скуридина
Россия
клинический ординатор
Ия Александровна Воронкова
Россия
к.м.н., сотрудник лаборатории гистологии иммуногистохимии с группой биобанка
Людмила Яковлевна Рожинская
Россия
д.м.н., профессор, зав. отделением нейроэндокринологии и остеопатий
Оксана Владимировна Манченко
Россия
научный сотрудник отделения лучевой диагностики
Юрий Алексеевич Аблицов
Россия
Доцент, д.м.н., профессор
Алексей Юрьевич Аблицов
Россия
к.м.н., доцент, зав. Отделением торакальной хирургии
Стевани Сергеевна Болевич
Россия
клинический ординатор
Андрей Юрьевич Григорьев
Россия
д.м.н., заведующий отделением нейрохирургии
Екатерина Александровна Пигарова
Россия
к.м.н., старший научный сотрудник отделения нейроэндокринологии и остеопатий
Маиана Константиновна Анкваб
Россия
клинический ординатор
Список литературы
1. Дзеранова Л.К., Панкратова Ю.В., Белая Ж.Е., и др. Гиперкортицизм и метаболический синдром: сложности дифференциальной диагностики и лечения. // Ожирение и метаболизм. – 2012. – №. 2. – С. 57–61. [Dzeranova LK, Pankratova YV, Belaya ZE, Pigarova EA, Manchenko OV, Rozhinskaya LY, et al. Giperkortitsizm i metabolicheskiy sindrom: slozhnosti differentsial'noy diagnostiki i lecheniya. Obesity and metabolism. 2012;(2):57–61. doi: 10.14341/omet2012257-61]
2. Дзеранова Л.К., Парамонов В.М., Рожинская Л.Я., и др. Особенности жирового обмена при болезни Иценко-Кушинга. // Ожирение и метаболизм. – 2010. – №. 1. – С. 58–62. [Dzeranova LK, Paramonov VM, Rozhinskaya LY, Pleshcheva AV, Manchenko OV, Vorontsov AV, et al. Osobennosti zhirovogo obmena pri bolezniItsenko-Kushinga. Obesity and metabolism. 2010;(1):58–62. doi: 10.14341/2071-8713-5280]
3. Пигарова Е.А., Дзеранова Л.К., Галстян Г.Р. Клинический случай применения пиоглитазона при стероидном диабете у пациента с болезнью Иценко-Кушинга. // Ожирение и метаболизм. – 2005. – №. 3. – С. 25–28. [Pigarova EA, Dzeranova LK, Galstyan GR. Klinicheskiy sluchay primeneniya Pioglitazona pri steroidnom diabete u patsienta s bolezn'yu Itsenko-Kushinga. Obesity and metabolism. 2005;(3):25–28. doi: 10.14341/2071-8713-4849]
4. Марова Е.И. Болезнь Иценко-Кушинга. Клиническая нейроэндокринология / Под ред. Дедова И.И. – М.; 2011. – С. 51–77. [Marova EI. Bolezn' Icenko-Kushinga. Klinicheskaja nejrojendokrinologija / Ed. by Dedov II. – Moscow; 2011. p.51–77.]
5. Alexandraki KI, Grossman AB. The ectopic ACTH syndrome. Reviews in Endocrine and Metabolic Disorders. 2010;11(2):117–26. doi: 10.1007/s11154-010-9139-z.
6. Hansen M, Pedersen AG. Tumor markers in patients with lung cancer. Chest. 1986;89(4):219S–24. PMid:3007040 doi: 10.1378/chest.89.4.219S.
7. Isidori AM, Kaltsas GA, Mohammed S, Morris DG, Jenkins P, Chew SL, et al. Discriminatory Value of the Low-Dose Dexamethasone Suppression Test in Establishing the Diagnosis and Differential Diagnosis of Cushing’s Syndrome. The Journal of Clinical Endocrinology & Metabolism. 2003;88(11):5299–306. doi: 10.1210/jc.2003-030510.
8. Kuznetsov NS, Latkina NV, Dobreva EA. Еctopic ACTH syndrome: clinical picture, diagnosis, treatment. Endocrine Surgery. 2012; (1):24. doi: 10.14341/2306-3513-2012-1-24-36.
9. Hernández I, Espinosa-de-los-Monteros AL, Mendoza V, Cheng S, Molina M, Sosa E, et al. Ectopic ACTH-Secreting Syndrome: A Single Center Experience Report with a High Prevalence of Occult Tumor. Archives of Medical Research. 2006;37(8):976–80. doi: 10.1016/j.arcmed.2006.05.015.
10. Porterfield JR, Thompson GB, Young WF, Chow JT, Fryrear RS, van Heerden JA, et al. Surgery for Cushing’s Syndrome: An Historical Review and Recent Ten-year Experience. World Journal of Surgery. 2008;32(5):659–77. doi: 10.1007/s00268-007-9387-6.
11. Белая Ж.Е., Ильин А.В., Мельниченко Г.А., и др. Автоматизированный электрохемилюминесцентный метод определения кортизола в слюне для диагностики эндогенного гиперкортицизма среди пациентов с ожирением. // Ожирение и метаболизм. – 2011. – №.2. – С. 56–63. [Belaya ZE, Il'in AV, Mel'nichenko GA, Rozhinskaya LY, Dragunova NV, Dzeranova LK, et al. Avtomatizirovannyy elektrokhemilyuminestsentnyy metod opredeleniya kortizola v slyune dlya diagnostiki endogennogo giperkortitsizma sredi patsientov s ozhireniem. Obesity and metabolism. 2011;(2):56–63. doi: 10.14341/2071-8713-4954]
12. Hatipoglu BA. Cushing's syndrome. Journal of Surgical Oncology. 2012;106(5):565–71. doi: 10.1002/jso.23197.
13. Juszczak A, Grossman A. The investigation of Cushing syndrome: essentials in optimizing appropriate diagnosis and management. Annals of Saudi medicine. 2012;32(5):455–61. doi: 10.5144/0256-4947.2012.455.
14. Белая Ж.Е., Рожинская Л.Я., Мельниченко Г.А., и др. Роль градиента пролактина и АКТГ/пролактин-нормализованного отношения для повышения чувствительности и специфичности селективного забора крови из нижних каменистых синусов для дифференциальной диагностики актг-зависимого гиперкортицизма. // Проблемы эндокринологии. – 2013. – т. 59. – № 4. – С. 3–10. [Belaja ZhE., Rozhinskaja LJa, Mel'nichenko GA, Sitkin II, Dzeranova LK, et al. The role of prolactin gradient and normalized ACTH/prolactin ratio in the improvement of sensitivity and specificity of selective blood sampling from inferior petrosal sinuses for differential diagnostics of ACTH-dependent hypercorticism. Problemy endokrinologii. 2013; 59 (4):3–10.] doi: 10.14341/probl20135943-10
15. Ситкин И.И., Белая Ж.Е., Рожинская Л.Я., Мельниченко Г.А. и др. Двухсторонний селективный забор крови из нижних каменистых синусов на фоне стимуляции десмопрессином в дифференциальной диагностике АКТГ-зависимого гиперкортицизма. // Диагностическая и интервенционная радиология. – 2013. – Т. 7. – № 3-3. – С. 57–68. [Sitkin II, Belaya ZE, Rozhinskaya LY, Mel'nichenko GA, et al. Simultaneous bilateral inferior petrosal sinus blood sampling after desmopressin stimulation in the differential diagnosis of ACTH-dependent Cushing’s syndrome. Diagnosticheskaya i interventsionnaya radiologiya. 2013; 7(3-3):57–68.]
16. Tsagarakis, Vasiliou, Kokkoris, Stavropoulos, Thalassinos. Assessment of cortisol and ACTH responses to the desmopressin test in patients with Cushing's syndrome and simple obesity. Clinical Endocrinology. 1999;51(4):473–7. doi: 10.1046/j.1365-2265.1999.00830.x.
17. Арапова С.Д. АКТГ-эктопический синдром. Клиническая нейроэндокринология / Под ред. Дедова ИИ. – М.; 2011. – С. 95–108. [Arapova SD. AKTG-ektopicheskiy sindrom. Klinicheskaja nejrojendokrinologija / Ed. by Dedov II. – Moscow; 2011. p.95108.]
18. Sookur PA, Sahdev A, Rockall AG, Isidori AM, Monson JP, Grossman AB, et al. Imaging in covert ectopic ACTH secretion: a CT pictorial review. European Radiology. 2009;19(5):1069–78. doi: 10.1007/s00330-008-1274-5.
19. Kenchaiah M, Hyer S. Cushing’s Syndrome due to Ectopic ACTH from Bronchial Carcinoid: A Case Report and Review. Case Reports in Endocrinology. 2012;2012:1–4. doi: 10.1155/2012/215038.
20. Isidori AM, Kaltsas GA, Pozza C, Frajese V, Newell-Price J, Reznek RH, et al. The Ectopic Adrenocorticotropin Syndrome: Clinical Features, Diagnosis, Management, and Long-Term Follow-Up. The Journal of Clinical Endocrinology & Metabolism. 2006;91(2):371–7. doi: 10.1210/jc.2005-1542.
21. Klimstra DS, Modlin IR, Adsay NV, Chetty R, Deshpande V, Gönen M, et al. Pathology Reporting of Neuroendocrine Tumors: Application of the Delphic Consensus Process to the Development of a Minimum Pathology Data Set. The American Journal of Surgical Pathology. 2010;34(3):300–13. doi: 10.1097/PAS.0b013e3181ce1447.
22. Вакс В.В. Неактивные опухоли гипофиза и гонадотропиномы. В кн.: Клиническая нейроэндокринология. / под редакцией Дедова И.И. – М., 2011. – C.170–201. [Vaks VV. Neaktivnye opukholi gipofiza i gonadotropinomy. In book: Klinicheskaya neyroendokrinologiya. Ed by Dedov I.I. – Moscow, 2011.]
23. Langley K. The Neuroendocrine Concept Today. Annals of the New York Academy of Sciences. 1994;733(1 Molecular and):1–17. doi: 10.1111/j.1749-6632.1994.tb17251.x.
24. Limper AH. The Cushing Syndrome Induced by Bronchial Carcinoid Tumors. Annals of Internal Medicine. 1992;117(3):209. doi: 10.7326/0003-4819-117-3-209.
25. Дзеранова Л.К., Михайлова Д.С., Рожинская Л.Я., и др. АКТГ-эктопированный синдром у пациентки с карциноидом легкого. // Ожирение и метаболизм.– 2009. – №.3. – С. 54–58. [Dzeranova LK, Mikhailova DS, Rozhinskaya L, Pigarova EA, Vorontsov AV, Manchenko OV, et al. ACTH-ectopic syndrome in patient with lung carcinoid. Obesity and metabolism. 2009;(3):54–58. doi: 10.14341/2071-8713-5246]
26. Huang B, Wu X, Zhou Q, Hu Y, Zhao H, Zhu H, et al. Cushing's syndrome secondary to ectopic ACTH secretion from carcinoid tumor within an ovarian mature teratoma: a case report and review of the literature. Gynecological Endocrinology. 2014;30(3):192–6. doi: 10.3109/09513590.2013.871518.
27. Ferone D, Albertelli M. Ectopic Cushing and Other Paraneoplastic Syndromes in Thoracic Neuroendocrine Tumors. Thoracic Surgery Clinics. 2014;24(3):277–83. doi: 10.1016/j.thorsurg.2014.05.002.
Дополнительные файлы
|
1. Рис3а | |
| Тема | ||
| Тип | Исследовательские инструменты | |
Скачать
(670KB)
|
Метаданные ▾ | |
|
2. Рис 3б | |
| Тема | ||
| Тип | Исследовательские инструменты | |
Скачать
(73KB)
|
Метаданные ▾ | |
|
|
3. гипофиз | |
| Тема | ||
| Тип | Исследовательские инструменты | |
Посмотреть
(110KB)
|
Метаданные ▾ | |
|
|
4. карциноид | |
| Тема | ||
| Тип | Исследовательские инструменты | |
Посмотреть
(130KB)
|
Метаданные ▾ | |
Рецензия
Для цитирования:
Дзеранова Л.К., Скуридина Д.В., Воронкова И.А., Рожинская Л.Я., Манченко О.В., Аблицов Ю.А., Аблицов А.Ю., Болевич С.С., Григорьев А.Ю., Пигарова Е.А., Анкваб М.К. Гиперплазия гипофиза с гиперэкспрессией АКТГ на фоне АКТГ-эктопированного синдрома у пациентки с карциноидом легкого. Ожирение и метаболизм. 2015;12(1):52-59. https://doi.org/10.14341/omet2015152-59
For citation:
Dzeranova L.K., Skuridina D.V., Voronkova I.A., Rozhinskaya L.Ya., Manchenko O.V., Ablitsov Yu.A., Ablitsov A.Yu., Bolevich S.S., Grigor'ev A.Yu., Pigarova E.A., Ankvab M.K. ACTH overexpressing pituitary hyperplasia in a patient with ectopic ACTH-syndrome due to carcinoid of the lung. Obesity and metabolism. 2015;12(1):52-59. (In Russ.) https://doi.org/10.14341/omet2015152-59
Контент доступен под лицензией Creative Commons Attribution-NonCommercial-NoDerivatives 4.0 International License (CC BY-NC-ND 4.0).



































