Preview

Ожирение и метаболизм

Расширенный поиск

Образование надпочечника, продуцирующее метаболиты стероидогенеза: клинический случай и краткий обзор

https://doi.org/10.14341/omet13050

Содержание

Перейти к:

Аннотация

Избыток андрогенов и их предшественников является одной из ведущих причин нарушений менструального цикла и репродуктивной функции у женщин. Нами представлено клиническое наблюдение пациентки 32 лет с жалобами на нарушение менструального цикла, первичное бесплодие, отклонениями в стероидогенезе по результатам мультистероидного профиля (резкое повышение 17-ОН-прогестерона) и образованием надпочечника по данным мультиспиральной компьютерной томографии (МСКТ). Первоначально установленный диагноз неклассической врожденной дисфункции коры надпочечников (ВДКН) не был подтвержден в ходе дальнейшего обследования (отсутствие подавления 17-ОН-прогестерона на фоне терапии высокими дозами дексаметазона, отсутствие гирсутизма) и генетического типирования (отрицательные результаты полного секвенирования гена CYP21A2). После проведения адреналэктомии с опухолью отмечены полная нормализация уровня метаболитов стероидогенеза: прогестерона, 17-ОН-прогестерона, 21-дезоксикортизола и восстановление менструального цикла. Представленное клиническое наблюдение является особенно интересным ввиду крайне малой распространенности опухолей надпочечников с сочетанным нарушением нескольких ферментов стероидогенеза. Пациентам с клинико-лабораторными признаками гиперандрогении, у которых не удается однозначно установить причину заболевания, рекомендуются проведение мультистероидного анализа крови методом высокоэффективной жидкостной хроматографии с тандемным масс-спектрометрическим детектированием, применение высокоточных визуализирующих методов исследования надпочечников и яичников (магнитно-резонансная томография органов малого таза, МСКТ надпочечников), генетическое исследование на выявление мутаций гена CYP21A2 как ведущей причины развития ВДКН.

Для цитирования:


Иващенко К.В., Комшилова К.А., Молашенко Н.В., Лавренюк А.А., Лапшина А.М., Ким И.В., Иоутси В.А., Анцупова М.А., Уткина М.В., Платонова Н.М., Трошина Е.А., Мокрышева Н.Г. Образование надпочечника, продуцирующее метаболиты стероидогенеза: клинический случай и краткий обзор. Ожирение и метаболизм. 2023;20(4):363-370. https://doi.org/10.14341/omet13050

For citation:


Ivashchenko K.V., Komshilova K.A., Molashenko N.V., Lavreniuk A.A., Lapshina A.M., Kim I.V., Ioutsi V.A., Antsupova M.A., Utkina M.V., Platonova N.M., Troshina E.A., Mokrysheva N.G. Steroid metabolites producing adenoma: a case report. Obesity and metabolism. 2023;20(4):363-370. (In Russ.) https://doi.org/10.14341/omet13050

ВВЕДЕНИЕ

Избыток андрогенов и их предшественников является одной из ведущих причин нарушений менструального цикла и репродуктивной функции у женщин. К самым распространенным причинам гиперандрогении относятся синдром поликистозных яичников (СПКЯ), врожденная дисфункция коры надпочечников (ВДКН), синдром Кушинга и андроген-продуцирующие опухоли различной локализации.

17-гидроксипрогестерон (17-ОН-прогестерон, или 17-OHP) — промежуточный стероид в биосинтезе андрогенов, эстрогенов и глюкокортикоидов, продукт метаболических превращений прогестерона и 17-гидроксипрегненолона [1]. Исследование уровня 17-OHP является обязательным этапом в диагностическом поиске генеза гиперандрогении. Повышение уровня базального 17-OHP выше 30 нмоль/л (выше 100 нмоль/л при стимуляции адренокортикотропного гормона (АКТГ)) в сочетании с типичными проявлениями заболевания позволяет судить о наличии у пациента ВДКН, тогда как его определение в «серой зоне» (базальный уровень 6–30 нмоль/л или 30–45 нмоль/л при стимуляции АКТГ) не всегда сочетается с наличием ВДКН, может являться следствием носительства гетерозиготных мутаций CYP21A2 и требует проведения генетического исследования [2].

Дефицит 21-гидроксилазы является наиболее распространенной причиной гиперандрогении и бесплодия у женщин детородного возраста, что нередко приводит к гипердиагностике ВДКН на основании сходства клинических симптомов и лабораторных отклонений без проведения генетического тестирования. Стоит отметить, что длительный избыток АКТГ может приводить к гиперплазии ткани надпочечников и формированию вторичных опухолей у пациентов с некомпенсированными классическими формами ВДКН. Клиническое течение андроген-продуцирующих опухолей характеризуется сходной клинической картиной с ВДКН, что затрудняет диагностику и вкупе с редкой распространенностью часто приводит к позднему выявлению и лечению заболевания.

Представленный случай является первым описанием в российской научной литературе редкого варианта опухоли надпочечника, продуцирующей метаболиты стероидогенеза, включая 17-ОНР, и применения мультистероидного гормонального анализа сыворотки крови методом высокоэффективной жидкостной хроматографии с тандемным масс-спектрометрическим детектированием (ВЭЖХ-МС/МС) и методов генетического анализа для дифференциальной диагностики генеза гиперандрогении.

ОПИСАНИЕ КЛИНИЧЕСКОГО СЛУЧАЯ

Пациентка 32 лет была госпитализирована в Институт клинической эндокринологии ГНЦ РФ ФГБУ «НМИЦ эндокринологии» Минздрава России в июле 2022 г. с жалобами на нарушение менструального цикла. Из анамнеза известно: менархе установилось в 13 лет, менструальный цикл был регулярным, беременностей не было. C 25 лет начала отмечать нарушение менструального цикла по типу олигоменореи, в течение 6 лет получала различные схемы оральных контрацептивов без значимого эффекта.

Впервые повышение уровня 17-ОНР до 20,89 нмоль/л выявлено в 2020 г. Учитывая отсутствие возможности проведения теста с синтетическим аналогом АКТГ, выполнено исследование 11 частых мутаций гена CYP21A2 — патогенных и вероятно-патогенных вариантов обнаружено не было. Учитывая повышение уровня 17-OHP и клиническую картину (нарушение менструального цикла, первичное бесплодие), заподозрена неклассическая форма ВДКН. Инициирована терапия глюкокортикоидами — дексаметазон 0,5 мг с последующей титрацией дозы до 1 мг, однако уровень 17-OHP оставался повышенным.

В феврале 2021 г. по месту жительства проведена магнитно-резонансная томография (МРТ) органов забрюшинного пространства, выявлено образование левого надпочечника размерами 2,8х2,4х2,2 см, был рекомендован динамический контроль. Через год выполнена мультиспиральная компьютерная томография (МСКТ) надпочечников с контрастным усилением, подтверждено наличие образования левого надпочечника размерами 3,9х2,9х2,6 см, неоднородной структуры, плотностью в нативную фазу 22–28 НU с неравномерным накоплением контрастного вещества. По месту жительства исследованы уровни метилированных катехоламинов: метанефрин суточной мочи — 316,0 мкг/сут, норметанефрин — 1084,0 мкг/сут (референсный интервал и факт наличия консерванта неизвестны), согласно выписному эпикризу из истории болезни, заподозрена феохромоцитома.

При осмотре в отделении обращало на себя внимание изменение внешности по кушингоидному типу: перераспределение подкожно-жировой клетчатки, «лунообразное лицо», матронизм. На фоне приема 1 мг дексаметазона уровень 17-OHP составил 76,2 нмоль/л, результаты гормонального исследования представлены в таблице 1. В связи с отсутствием клинических проявлений гирсутизма подсчет гирсутного числа не проводился.

При ультразвуковом исследовании (УЗИ) органов малого таза объем яичников: правый — 9,2 см3, левый — 8,7 см3, структура яичников однородная, со множественными фолликулами диаметром 0,4–0,8 см по периферии и в центре. Толщина эндометрия 0,3 см, признаки гипоплазии матки.

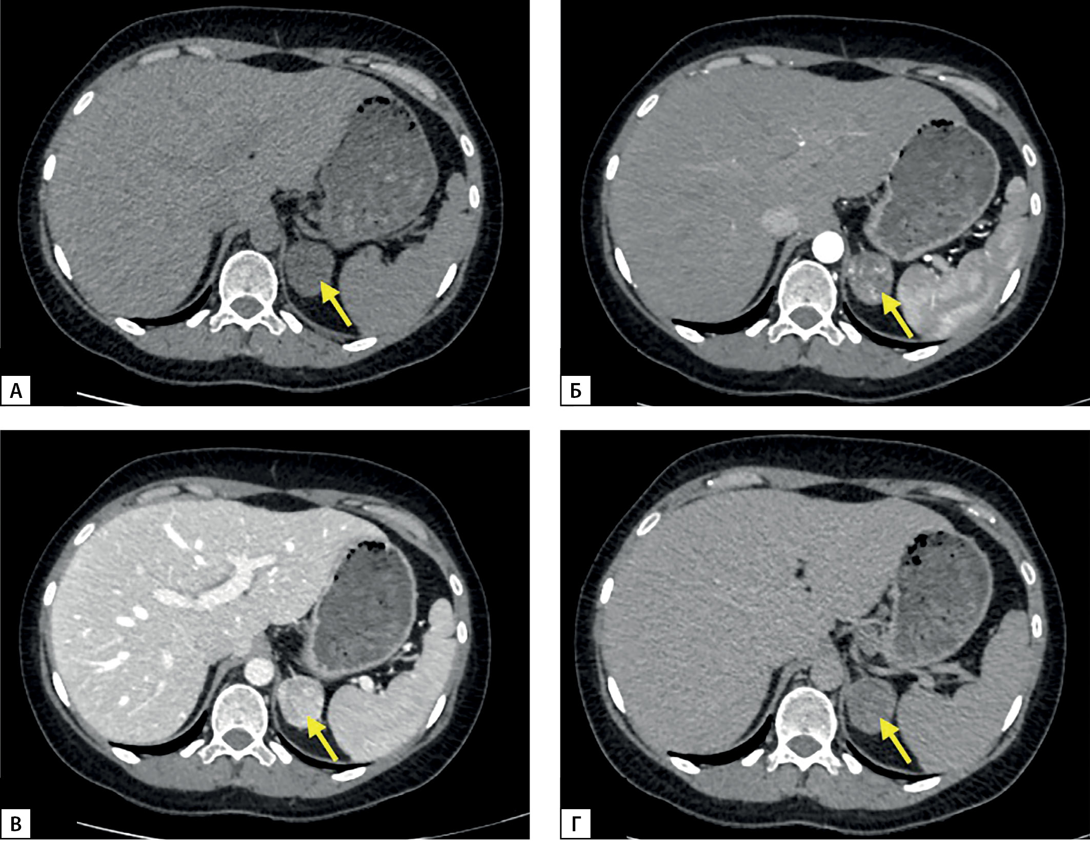
По данным МСКТ визуализировано образование левого надпочечника с четкими ровными контурами размерами 3,5х3,4х3,2 см, плотностью в нативную фазу от 12 HU до 17 HU, с наличием многочисленных сосудов в структуре, при контрастном усилении накапливает контраст, плотность по фазам 70–160–75 HU (артериальная-венозная-отсроченная) (рис. 1). Коэффициент абсолютного вымывания контрастного вещества — 59%, относительного — 53%. КТ-характеристики соответствуют злокачественному фенотипу.

Проведено исключение гормональной активности данного образования. Данных за феохромоцитому/параганглиому и первичный гиперальдостеронизм не получено (табл. 1).

Ввиду отсутствия подавления 17-OHP на фоне приема больших доз глюкокортикоидов, а также развития ятрогенного гиперкортицизма рекомендовано постепенное уменьшение дозы дексаметазона с дальнейшей отменой препарата.

В октябре 2022 г., в ходе повторной госпитализации в Центр, после отмены дексаметазона сохранялось повышение 17-OHP до 54,3 нмоль/л, снижение общего тестостерона и дегидроэпиандростерона сульфата (ДГЭА-С) (табл. 1).

Дополнительно выполнено полное секвенирование гена CYP21A2 по Сэнгеру — патогенных и вероятно патогенных вариантов, а также вариантов с неизвестной клинической значимостью не обнаружено.

Учитывая отсутствие клинических проявлений гиперандрогении, отсутствие подавления 17-OHP на фоне ранее проводимой терапии высокими дозами дексаметазона, диагноз неклассической формы ВДКН поставлен под сомнение.

На фоне отмены дексаметазона отмечалось отсутствие подавления утреннего кортизола крови в ходе ночного подавляющего теста (НПТ) с 1 мг дексаметазона, однако свободный кортизол суточной мочи и вечерней слюны оставались в пределах референсных значений, без подавления уровня АКТГ (табл. 1), что было расценено как субклинический эндогенный гиперкортицизм.

Ввиду неоднозначности клинической картины проведен мультидисциплинарный консилиум при участии эндокринологов, гинекологов и эндокринных хирургов. По итогам консилиума, учитывая высокий онкологический риск образования левого надпочечника, а также невозможность полностью исключить гиперпродукцию образованием метаболитов глюкокортикоидного ряда, принято решение о проведении оперативного лечения в объеме левосторонней адреналэктомии с опухолью.

В до- и послеоперационном периоде выполнен мультистероидный анализ сыворотки крови методом ВЭЖХ-МС/МС. После проведения левосторонней адреналэктомии отмечено снижение уровней прогестерона, 17-OHP и 21-дезоксикортизола ниже предела детектирования, что попадает в референсный интервал (табл. 2).

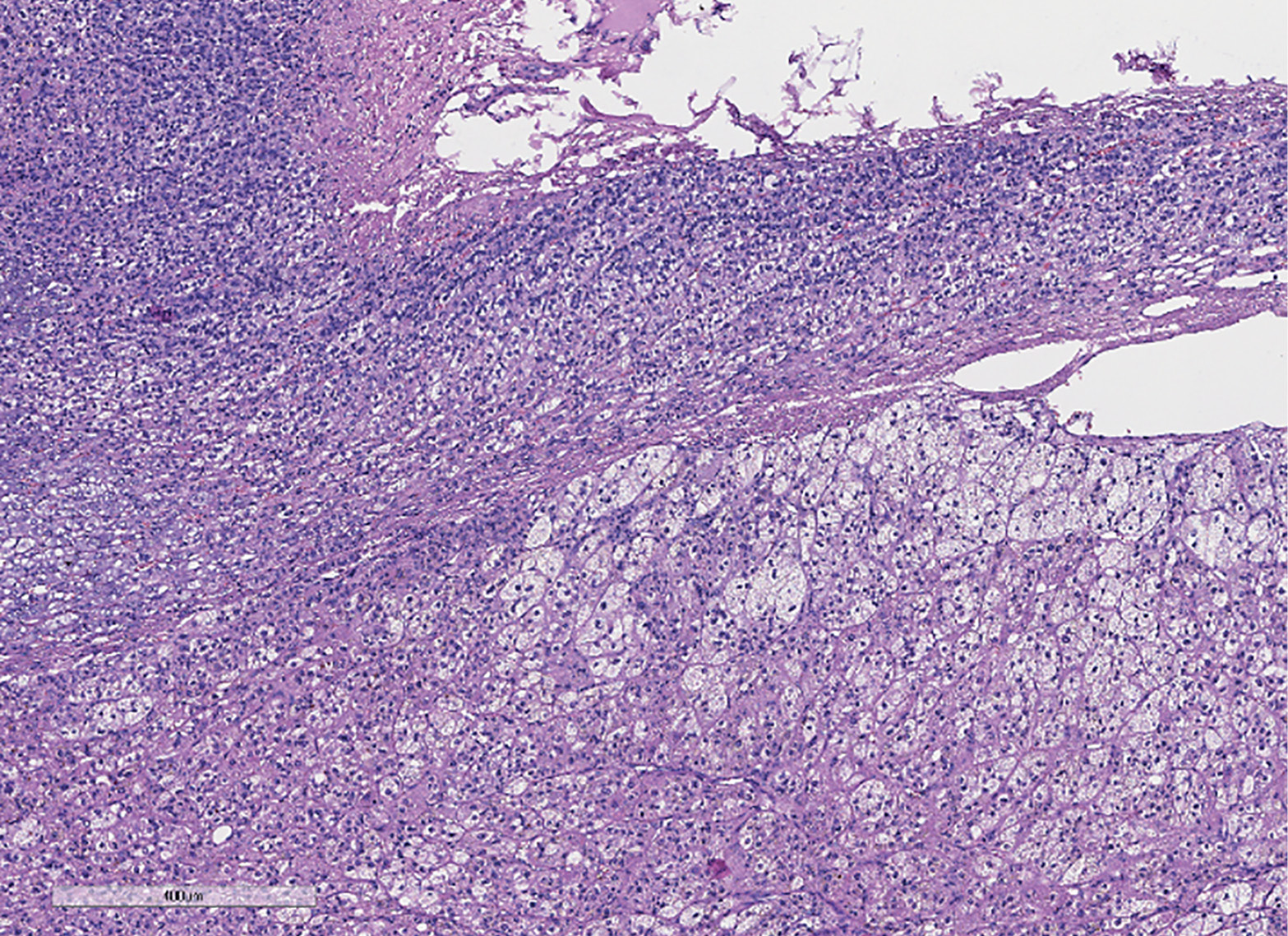
Гистологическая картина удаленной опухоли соответствует смешанноклеточной аденоме коры надпочечника (по системе Weiss — 0 баллов). На рис. 2 представлено микроскопическое строение опухоли. При иммуногистохимическом исследовании (ИГХ) выявлена позитивная реакция опухолевых клеток с меланом А, ингибином α и SF1, индекс пролиферации Ki67 составил 5,6%.

После адреналэктомии пациентка отметила восстановление регулярного менструального цикла без медикаментозной терапии. Через 4 мес после хирургического лечения при повторной госпитализации 17-OHP — 4,02 нмоль/л. Данных за эндогенный гиперкортицизм не получено (табл. 1).

Учитывая значение кортизола крови утром в «серой» зоне, снижение уровня кортизола в суточной моче, проведена проба с инсулиновой гипогликемией. Согласно полученным результатам (повышение кортизола крови до 507 нмоль/л на фоне гипогликемии), надпочечниковая недостаточность была исключена.

На основании данных ИГХ, нормализации гормональных лабораторных показателей стероидогенеза, уровней кортизола крови и суточной мочи в послеоперационном периоде сделан вывод об автономной гиперпродукции удаленной опухолью метаболитов стероидогенеза, включая 17-OHP.

Пациентка планирует беременность.

Таблица 1. Результаты лабораторных методов исследования за время наблюдения

Table 1. Results of laboratory testing during the observation period

Показатель

Первая госпитализация в Центр

Вторая госпитализация в Центр

Третья госпитализация в Центр

Единицы измерения

Референсный интервал

17-OHP

76,2

54,3

4,02

нмоль/л

0,8–7

Тестостерон

0,451

0,202

1,09

нмоль/л

0,7–2,7

ДГЭА-С

0,49

0,26

0,306

мкмоль/л

1,65–11

ЛГ

2,51

-

-

Ед/л

2,6–12,1

ФСГ

3,83

-

-

Ед/л

1,9–11,7

Эстрадиол

109,4

-

-

пмоль/л

97–592

Пролактин

426,1

-

-

мЕд/л

94–500

Кортизол крови, утро

353,3

350,6

309,7

нмоль/л

171–536

Свободный кортизол суточной мочи

-

137,2

31,61

нмоль/сут

100–379

Кортизол слюны, вечер

-

9,57

6,77

нмоль/л

0,5–9,65

Кортизол крови утром в ходе НПТ

-

272,6

5,68

нмоль/л

<50

АКТГ, утро

-

24,86

47,97

пг/мл

7,2–63,3

Метанефрин, суточная моча

126,45

-

-

мкг/сут

25–312

Норметанефрин, суточная моча

122,7

-

-

мкг/сут

35–445

Альдостерон,

в покое сидя

697

-

-

пмоль/л

69,8–1085,8

Ренин прямой

25,14

-

-

мЕд/л

2,8–39,9

Таблица 2. Стероидный профиль до и после левосторонней адреналэктомии

Table 2. Steroid profile before and after adrenalectomy

Показатель

До операции

После операции

Единицы измерения

Референсный интервал

17-OHP

39.2

1.1

нмоль/л

0.2–6.0

11-дезоксикортизол

2.6

3.2

нмоль/л

0.0–10.0

21-дезоксикортизол

3.90

<0.01

нмоль/л

0.00–1.20

Андростендион

3.03

1.50

нмоль/л

0.80–9.00

Кортикостерон

5.7

8.4

нмоль/л

1.0–50.0

Тестостерон

1.44

0.46

нмоль/л

0.30–2.50

Кортизол

172

211

нмоль/л

140–630

Альдостерон

93.00

225.00

пмоль/л

70.00–980.00

Дезоксикортикостерон

0.48

0.47

нмоль/л

0.00–0.58

Кортизон

57

55

нмоль/л

33–97

Прегненолон

3.5

0.3

нмоль/л

0.0–7.0

Прогестерон

14.8

0.7

нмоль/л

0.0–1.5

Дегидроэпиандростерон

2.1

2.1

нмоль/л

4.0–50.0

17-гидроксипрегненолон

0.9

2.4

нмоль/л

0.0–20.0

Рисунок 1. МСКТ надпочечников: А — нативная фаза; Б — артериальная фаза; В — венозная фаза; Г — отсроченная фаза.

Figure 1. MSCT scan of adrenal glands: A — native phase; B — arterial phase; C — venous phase; D — delayed phase.

Рисунок 2. Данные патоморфологического исследования надпочечника. К надпочечнику неравномерной толщины прилежит неинкапсулированная четко отграниченная опухоль из компактных клеток и клеток с оптически «пустой» цитоплазмой, трабекулярного или альвеолярного строения (окраска гематоксилином и эозином х400).

Figure 2. Histopathological study of the adrenal gland. An unevenly thickened adrenal gland is adjacent to a non-encapsulated, well-demarcated tumor consisting of compact cells and cells with optically «empty» cytoplasm, with a trabecular or alveolar structure (stained with hematoxylin and eosin, x400).

ОБСУЖДЕНИЕ

Проблема дифференциальной диагностики синдрома гиперандрогении часто встает перед эндокринологами и гинекологами. Опухолевый генез этого состояния поддается радикальному лечению. Подходы к консервативному лечению неопухолевого генеза синдрома определены в консенсусах европейских и американских специалистов [3][4].

Нами представлено клиническое наблюдение пациентки 32 лет с жалобами на нарушение менструального цикла, первичное бесплодие, отклонениями в стероидогенезе по результатам мультистероидного профиля (повышение 17-OHP) и образованием надпочечника по данным МСКТ. Первоначально установленный диагноз нВДКН не был подтвержден по данным клинического течения заболевания (отсутствие подавления 17-ОНР на фоне терапии высокими дозами дексаметазона, отсутствие гирсутизма), отрицательных результатов полного секвенирования гена CYP21A2. После проведения адреналэктомии с опухолью отмечена полная нормализация уровня метаболитов стероидогенеза: прогестерона, 17-OHP, 21-дезоксикортизола и восстановление менструального цикла.

Проявления заболевания для большинства пациенток с нВДКН включают в себя гирсутизм и акне в сочетании с нарушениями менструального цикла, у части пациенток — первичное бесплодие или привычное невынашивание беременности. Для коррекции гиперандрогении применяется терапия препаратами оральных контрацептивов или глюкокортикоидов (по показаниям). В представленном клиническом случае пациентки проводимое лечение супрафизиологическими дозами глюкокортикоидов не только не привело к снижению уровня 17-OHP и восстановлению менструального цикла, но стало причиной развития ятрогенного гиперкортицизма.

Было предположение о наличии у пациентки вторичной опухоли надпочечника в сочетании с нВДКН. Согласно современным представлениям, развитие гиперплазии и образований надпочечников связано с их избыточной стимуляцией АКТГ и является следствием длительной декомпенсации заболевания [5]. Среди пациентов с классической формой ВДКН у 11–58% выявляется узловая гиперплазия надпочечников, а у пациентов более старшего возраста структурные изменения надпочечников могут выявляться до 82% случаев [6]. Образования надпочечников, по данным работы Nermoen I. и коллег, выявлялись в 29,3% случаев среди пациентов с дефицитом 21-гидроксилазы [5]. Согласно данным метаанализа, проведенного в 2016 г., в 0,8–5,9% случаев инциденталом надпочечников по результатам лабораторных исследований был установлен диагноз дефицита 21-гидроксилазы, при этом данные генетического тестирования позволяли однозначно верифицировать диагноз в 0,8% и свидетельствовали о носительстве в 10,2% случаев [7]. Показатель 0,8% свидетельствует о более частой встречаемости дефицита 21-гидроксилазы у пациентов с инциденталомой надпочечников по сравнению с общей популяцией. По результатам крупного популяционного исследования, проведенного шведскими учеными в 2005–2019 гг., среди 26 573 пациентов с инциденталомами в 20 случаях (0,08%) выявлялся дефицит 21-гидроксилазы (7 пациентов с классическими формами ВДКН (0,03%), 13 (0,05%) — с нВДКН) [8]. Стоит отметить, что среди 144 124 пациентов контрольной группы без подтвержденных образований надпочечников нВДКН была выявлена в единственном случае.

В представленном клиническом случае был сделан вывод о наличии у пациентки гормонально активного образования надпочечника с редкой гиперпродукцией метаболитов стероидогенеза (17-OHP, 21-дезоксикортизола, прогестерона) на фоне нарушения работы нескольких ферментов стероидогенеза: 3βHSD2, P450C17, P450c11β (рис. 3). Большую роль в постановке диагноза, подтверждении надпочечникового генеза гиперандрогении сыграл анализ мультистероидного профиля. Проведение рутинных гормональных исследований выявило только изолированное повышение уровня 17-OHP, тогда как применение хромато-масс-спектрометрических методов исследования позволило одновременно провести качественную и количественную оценку содержания различных стероидных гормонов и их метаболитов и выявить вышеописанные нарушения их синтеза.

Несмотря на злокачественный фенотип образования по данным МСКТ, гистологическое исследование удаленной опухоли определило ее доброкачественную природу. Позитивная иммуноэкспрессия мелана А, ингибина α и SF1 характерна для стероидпродуцирующих опухолей коры надпочечников независимо от их потенциала злокачественности [9].

При дефиците 21-гидроксилазы определяется повышение 17-OHP в сочетании с андростендионом и тестостероном, снижение кортизола, при сольтеряющей форме — дополнительно повышается 21-дезоксикортизол, снижается альдостерона, при дефиците — 11β-гидроксилазы: повышение 11-дезоксикортикостерона (основной маркер), 11-дезоксикортизола, тестостерона, снижение альдостерона. Для дефицита 17a-гидроксилазы характерно снижение кортизола, андрогенов, в том числе 17-OHP, тестостерона, повышение предшественников минералокортикоидов: 11-дезоксикортизола, кортикостерона.

Андроген-продуцирующие опухоли надпочечников являются крайне редкой причиной гиперандрогении у женщин. В недавнем популяционном исследовании, включавшем 1287 человек, был зарегистрирован единственный случай избытка андрогенов опухолевого генеза (0,1%) [10]. По данным другого исследования, включавшего 1205 человек, андроген-продуцирующие опухоли были выявлены у 20 человек (1,7%) [11]. Вариант автономной секреции отдельных метаболитов стероидогенеза является еще менее распространенным. В мировой литературе описание данной патологии представлено в виде единичных клинических наблюдений [12], и истинная ее частота остается неизвестной.

Рисунок 3. Нарушения ферментов стероидогенеза.

Figure 3. Disorders of steroidogenesis enzymes.

ЗАКЛЮЧЕНИЕ

Представленное клиническое наблюдение является особенно интересным ввиду крайне малой распространенности опухолей надпочечников, с сочетанной гиперпродукцией различных метаболитов стероидогенеза, включая 17-OHP. Диагностика осложняется схожестью клинических проявлений с нВДКН, что нередко приводит к назначению нерациональной терапии и позднему выявлению заболевания, а также отсутствием рутинных специфических диагностических тестов, позволяющих однозначно диагностировать именно образование надпочечника в качестве первопричины гиперандрогении.

Пациентам с клинико-лабораторными признаками гиперандрогении, у которых не удается однозначно установить причину заболевания, рекомендуются проведение мультистероидного анализа крови методом ВЭЖХ-МС/МС, применение высокоточных визуализирующих методов исследования надпочечников и яичников (МРТ органов малого таза, МСКТ надпочечников), генетическое исследование на выявление мутаций гена CYP21A2 как ведущей причины развития ВДКН.

ДОПОЛНИТЕЛЬНАЯ ИНФОРМАЦИЯ

Источник финансирования. Работа выполнена в рамках государственного задания Минздрава России «Разработка новых технологий диагностики и мониторинга опухолей коры надпочечников с использованием метаболомных и протеомных технологий», рег. No 123021300098-7.

Генетическое исследование выполнено в рамках гранта «Создание и развитие научного центра мирового уровня “Национальный центр персонализированной медицины эндокринных заболеваний”» (соглашение №075-15-20220310)», рег. No 122112200001-4.

Согласие пациента. Пациентка добровольно подписала информированное согласие на публикацию персональной медицинской информации в обезличенной форме в журнале «Ожирение и метаболизм».

Конфликт интересов. Работа выполнена в соавторстве с членами редакционной коллегии журнала «Ожирение и метаболизм» Е.А. Трошиной и Н.Г. Мокрышевой.

Участие авторов. Все авторы одобрили финальную версию статьи перед публикацией, выразили согласие нести ответственность за все аспекты работы, подразумевающую надлежащее изучение и решение вопросов, связанных с точностью или добросовестностью любой части работы.

*Автор, ответственный за переписку / Corresponding author.

Список литературы

1. Wong FCK, Chan AZ, Wong WS, et al. Hyperandrogenism, elevated 17-hydroxyprogesterone and its urinary metabolites in a young woman with ovarian steroid cell tumor, not otherwise specified: case report and review of the literature. Case Rep Endocrinol. 2019;2019:1-8. doi: https://doi.org/10.1155/2019/9237459

2. Молашенко Н.В., Сазонова А.И., Трошина Е.А. Врожденная дисфункция коры надпочечников у взрослых пациентов: алгоритм диагностики и лечения // Consilium Medicum. — 2017. — Т. 19. — №4. — С. 70-74.

3. Goodman NF, Bledsoe MB, Cobin RH, et al. American Association of Clinical Endocrinologists Medical Guidelines for clinical practice for the diagnosis and treatment of hyperandrogenic disorders [published correction appears in Endocr Pract. 2008;14(6):802]. Endocr Pract. 2001;7(2):120-134. doi: https://doi.org/10.4158/EP.7.2.120

4. Martin KA, Anderson RR, Chang RJ, et al. Evaluation and treatment of hirsutism in premenopausal women: An endocrine society* clinical practice guideline. J Clin Endocrinol Metab. 2018;103(4):1233-1257. doi: https://doi.org/10.1210/jc.2018-00241

5. Nermoen I, Falhammar H. Prevalence and characteristics of adrenal tumors and myelolipomas in congenital adrenal hyperplasia: A systematic review and meta-analysis. Endocr Pract. 2020;26(11):1351-1365. doi: https://doi.org/10.4158/EP-2020-0058

6. Jaresch S, Kornely E, Kley HK, Schlaghecke R. Adrenal incidentaloma and patients with homozygous or heterozygous congenital adrenal hyperplasia. J Clin Endocrinol Metab. 1992;74(3):685-689. doi: https://doi.org/10.1210/jcem.74.3.1311000

7. Falhammar H, Torpy DJ. Congenital adrenal hyperplasia due to 21-hydroxylase deficiency presenting as adrenal incidentaloma: A systematic review and meta-analysis. Endocr Pract. 2016;22(6):736-752. doi: https://doi.org/10.4158/EP151085.RA

8. Sahlander F, Patrova J, Mannheimer B, et al. Congenital adrenal hyperplasia in patients with adrenal tumors: a population-based case–control study. J Endocrinol Invest. 2022;46(3):559-565. doi: https://doi.org/10.1007/s40618-022-01933-0

9. Sbiera S, Schmull S, Assie G, et al. High diagnostic and prognostic value of steroidogenic factor-1 expression in adrenal tumors. J Clin Endocrinol Metab. 2010;95(10):E161-E171. doi: https://doi.org/10.1210/jc.2010-0653

10. Ebbehoj A, Li D, Kaur RJ, et al. Epidemiology of adrenal tumours in Olmsted County, Minnesota, USA: a population-based cohort study. Lancet Diabetes Endocrinol. 2020;8(11):894-902. doi: https://doi.org/10.1016/S2213-8587(20)30314-4

11. Elhassan YS, Idkowiak J, Smith K, et al. Causes, patterns, and severity of androgen excess in 1205 consecutively recruited women. J Clin Endocrinol Metab. 2018;103(3):1214-1223. doi: https://doi.org/10.1210/jc.2017-02426

12. Tsai W-H, Wong C-H, Dai S-H, et al. Adrenal tumor mimicking non-classic congenital adrenal hyperplasia. Front Endocrinol (Lausanne). 2020;11(3):1214-1223. doi: https://doi.org/10.3389/fendo.2020.526287


Об авторах

К. В. Иващенко
Национальный медицинский исследовательский центр эндокринологии
Россия

Иващенко Ксения Валерьевна

Москва, ул. Дмитрия Ульянова, д. 11


Конфликт интересов:

Работа выполнена в соавторстве с членами редакционной коллегии журнала «Ожирение и метаболизм» Е.А. Трошиной и Н.Г. Мокрышевой



К. А. Комшилова
Национальный медицинский исследовательский центр эндокринологии
Россия

Комшилова Ксения Андреевна - к.м.н.

Москва


Конфликт интересов:

Работа выполнена в соавторстве с членами редакционной коллегии журнала «Ожирение и метаболизм» Е.А. Трошиной и Н.Г. Мокрышевой



Н. В. Молашенко
Национальный медицинский исследовательский центр эндокринологии
Россия

Молашенко Наталья Валерьевна - к.м.н.

Москва


Конфликт интересов:

Работа выполнена в соавторстве с членами редакционной коллегии журнала «Ожирение и метаболизм» Е.А. Трошиной и Н.Г. Мокрышевой



А. А. Лавренюк
Национальный медицинский исследовательский центр эндокринологии
Россия

Лавренюк Анастасия Андреевна

Москва


Конфликт интересов:

Работа выполнена в соавторстве с членами редакционной коллегии журнала «Ожирение и метаболизм» Е.А. Трошиной и Н.Г. Мокрышевой



А. М. Лапшина
Национальный медицинский исследовательский центр эндокринологии
Россия

Лапшина Анастасия Михайловна - к.м.н.

Москва


Конфликт интересов:

Работа выполнена в соавторстве с членами редакционной коллегии журнала «Ожирение и метаболизм» Е.А. Трошиной и Н.Г. Мокрышевой



И. В. Ким
Национальный медицинский исследовательский центр эндокринологии
Россия

Ким Илья Викторович - к.м.н.

Москва


Конфликт интересов:

Работа выполнена в соавторстве с членами редакционной коллегии журнала «Ожирение и метаболизм» Е.А. Трошиной и Н.Г. Мокрышевой



В. А. Иоутси
Национальный медицинский исследовательский центр эндокринологии
Россия

Иоутси Виталий Алексеевич - к.х.н.

Москва


Конфликт интересов:

Работа выполнена в соавторстве с членами редакционной коллегии журнала «Ожирение и метаболизм» Е.А. Трошиной и Н.Г. Мокрышевой



М. А. Анцупова
Национальный медицинский исследовательский центр эндокринологии
Россия

Анцупова Мария Анатольевна

Москва


Конфликт интересов:

Работа выполнена в соавторстве с членами редакционной коллегии журнала «Ожирение и метаболизм» Е.А. Трошиной и Н.Г. Мокрышевой



М. В. Уткина
Национальный медицинский исследовательский центр эндокринологии
Россия

Уткина Марина Валерьевна - к.б.н.

Москва


Конфликт интересов:

Работа выполнена в соавторстве с членами редакционной коллегии журнала «Ожирение и метаболизм» Е.А. Трошиной и Н.Г. Мокрышевой



Н. М. Платонова
Национальный медицинский исследовательский центр эндокринологии
Россия

Платонова Надежда Михайловна - д.м.н.

Москва


Конфликт интересов:

Работа выполнена в соавторстве с членами редакционной коллегии журнала «Ожирение и метаболизм» Е.А. Трошиной и Н.Г. Мокрышевой



Е. А. Трошина
Национальный медицинский исследовательский центр эндокринологии
Россия

Трошина Екатерина Анатольевна - д.м.н., профессор.

Москва


Конфликт интересов:

Работа выполнена в соавторстве с членами редакционной коллегии журнала «Ожирение и метаболизм» Е.А. Трошиной и Н.Г. Мокрышевой



Н. Г. Мокрышева
Национальный медицинский исследовательский центр эндокринологии
Россия

Мокрышева Наталья Георгиевна - д.м.н., профессор.

Москва


Конфликт интересов:

Работа выполнена в соавторстве с членами редакционной коллегии журнала «Ожирение и метаболизм» Е.А. Трошиной и Н.Г. Мокрышевой



Дополнительные файлы

1. Рисунок 1. МСКТ надпочечников: А — нативная фаза; Б — артериальная фаза; В — венозная фаза; Г — отсроченная фаза.
Тема
Тип Исследовательские инструменты
Посмотреть (452KB)    
Метаданные ▾
2. Рисунок 2. Данные патоморфологического исследования надпочечника. К надпочечнику неравномерной толщины прилежит неинкапсулированная четко отграниченная опухоль из компактных клеток и клеток с оптически «пустой» цитоплазмой, трабекулярного или альвеолярного строения (окраска гематоксилином и эозином х400).
Тема
Тип Исследовательские инструменты
Посмотреть (882KB)    
Метаданные ▾
3. Рисунок 3. Нарушения ферментов стероидогенеза.
Тема
Тип Исследовательские инструменты
Посмотреть (361KB)    
Метаданные ▾

Рецензия

Для цитирования:


Иващенко К.В., Комшилова К.А., Молашенко Н.В., Лавренюк А.А., Лапшина А.М., Ким И.В., Иоутси В.А., Анцупова М.А., Уткина М.В., Платонова Н.М., Трошина Е.А., Мокрышева Н.Г. Образование надпочечника, продуцирующее метаболиты стероидогенеза: клинический случай и краткий обзор. Ожирение и метаболизм. 2023;20(4):363-370. https://doi.org/10.14341/omet13050

For citation:


Ivashchenko K.V., Komshilova K.A., Molashenko N.V., Lavreniuk A.A., Lapshina A.M., Kim I.V., Ioutsi V.A., Antsupova M.A., Utkina M.V., Platonova N.M., Troshina E.A., Mokrysheva N.G. Steroid metabolites producing adenoma: a case report. Obesity and metabolism. 2023;20(4):363-370. (In Russ.) https://doi.org/10.14341/omet13050

Просмотров: 2003


ISSN 2071-8713 (Print)
ISSN 2306-5524 (Online)