Preview

Ожирение и метаболизм

Расширенный поиск

Влияние метформиновой терапии и обработки аллостерическим агонистом лютеинизирующего гормона и хорионическим гонадотропином на сперматогенез у самцов крыс с ожирением

https://doi.org/10.14341/omet13018

Содержание

Перейти к:

Аннотация

Обоснование. У мужчин ожирение сопровождается комплексом метаболических и гормональных расстройств, что приводит к андрогенному дефициту и нарушению сперматогенеза. Для коррекции репродуктивных дисфункций могут быть использованы антидиабетические препараты, включая метформин (МФ), и агонисты рецептора лютеинизирующего гормона (ЛГР), активирующие тестикулярный стероидогенез. Однако при диета-индуцированном ожирении (ДИО) эффективность и механизмы их действия мало изучены.

Цель. Оценить восстанавливающий эффект МФ, хорионического гонадотропина человека (ХГЧ) и аллостерического ЛГР-агониста ТП03, различающихся по природе и механизмам действия, на уровни тестостерона, сперматогенез и морфологию семенных канальцев у самцов крыс с ДИО.

Материалы и методы. Ожирение у самцов крыс Wistar вызывали 23-недельной диетой, обогащенной насыщенными жирами. Обработку МФ проводили в течение 5 нед в дозе 120 мг/кг/сут (перорально), обработку ХГЧ и ТП03 — в течение 5 сут в суточных дозах 20 МЕ/крысу (п/к) и 15 мг/кг (в/б) соответственно. С помощью микроскопии и гистохимического анализа оценивали число и подвижность сперматозоидов (СП), число их дефектных форм и морфологию семенных канальцев, с помощью иммуноферментного анализа — уровни тестостерона и других гормонов в крови.

Результаты. МФ, ХГЧ и ТП03 в различной степени повышали сниженные у ДИО-крыс количество СП и долю их подвижных форм, в том числе с поступательным движением, нормализовали толщину эпителия семенных канальцев и количество в них сперматогониев и пахитеновых сперматоцитов, но не снижали повышенную при ДИО долю дефектных СП. В случае МФ это было ассоциировано с вызываемыми этим препаратом нормализацией массы тела, толерантности к глюкозе, уровней инсулина и лептина у ДИО-крыс. Положительное влияние ХГЧ и ТП03 на сперматогенез было обусловлено их стимулирующим эффектом на продукцию тестостерона.

Заключение. Применение длительной МФ-терапии и краткосрочных курсов ЛГР-агонистов нормализует нарушенный при ДИО сперматогенез, что указывает на перспективы их использования для улучшения мужской фертильности при ожирении, причем в случае МФ ключевое значение имеет нормализация метаболического и гормонального статуса, а в случае ЛГР-агонистов — их стероидогенный эффект.

Для цитирования:


Деркач К.В., Морина И.Ю., Баюнова Л.В., Бахтюков А.А., Диденко Е.А., Сорокоумов В.Н., Романова И.В., Шпаков А.О. Влияние метформиновой терапии и обработки аллостерическим агонистом лютеинизирующего гормона и хорионическим гонадотропином на сперматогенез у самцов крыс с ожирением. Ожирение и метаболизм. 2023;20(3):217-226. https://doi.org/10.14341/omet13018

For citation:


Derkach K.V., Morina I.Yu., Bayunova L.V., Bakhtuykov A.A., Didenko E.A., Sorokoumov V.N., Romanova I.V., Shpakov A.O. Influence of metformin therapy and treatment with an allosteric luteinizing hormone agonist and chorionic gonadotropin on spermatogenesis in male rats with obesity. Obesity and metabolism. 2023;20(3):217-226. (In Russ.) https://doi.org/10.14341/omet13018

ОБОСНОВАНИЕ

Нарушение сперматогенеза у мужчин часто ассоциировано с такими метаболическими расстройствами, как сахарный диабет 2 типа (СД2), метаболический синдром и ожирение [1][2]. Андрогенная недостаточность и снижение репродуктивного потенциала при этих метаболических расстройствах являются следствием нарушений гормональной регуляции и функциональной активности компонентов гипоталамо-гипофизарно-тестикулярной (ГГТ) оси, что обусловлено инсулиновой и лептиновой резистентностью, воспалением, аутоиммунными процессами, гиперпродукцией активных форм кислорода, липотоксичностью, накоплением конечных продуктов гликирования, эндотелиальными дисфункциями [1][2]. При отчетливо выраженном ожирении (индекс массы тела 40 кг/м² и выше) признаки гипогонадизма и снижение фертильности отмечали в среднем у 75% мужчин, что в три раза превосходит этот показатель в остальной популяции [3].

Для коррекции сперматогенной функции при ожирении и ассоциированных с ним метаболических расстройствах могут быть использованы подходы, направленные на нормализацию массы тела, снижение доли жировой ткани, улучшение глюкозного гомеостаза и инсулиновой чувствительности. Среди таких подходов — низкокалорийная диета, бариатрические операции, умеренные физические нагрузки, применение аналогов глюкагоноподобного пептида-1 и ряда других антидиабетических препаратов [1]. Перспективными являются фармакологические подходы, направленные на компенсацию андрогенной недостаточности, одного из основных факторов снижения сперматогенной функции.

Для компенсации сниженного при ожирении уровня андрогенов в клинической практике обычно используют заместительную терапию препаратами тестостерона, и это не только нормализует андрогенный статус, но также снижает массу тела, повышает чувствительность тканей-мишеней, включая компоненты ГГТ, к инсулину и лептину, и в ряде случаев приводит к улучшению сперматогенной функции [3][4]. Однако такая терапия имеет ряд серьезных побочных эффектов, что обусловлено запуском отрицательных обратных связей в ГГТ-оси и, как следствие, подавлением продукции эндогенных гонадотропинов — лютеинизирующего (ЛГ) и фолликулостимулирующего гормонов (ФСГ), регулирующих стероидогенез и сперматогенез, а также с риском развития андроген-зависимых опухолей. Следствием длительной терапии андрогенами может стать подавление сперматогенеза и снижение фертильности, что является результатом, обратным тому, которого предполагалось достичь [5]. В качестве альтернативных подходов для нормализации сперматогенеза рассматривают применение гонадотропинов, селективных модуляторов эстрогеновых и андрогеновых рецепторов и ингибиторов фермента ароматазы. Это позволяет, с одной стороны, стимулировать продукцию андрогенов в семенниках, что необходимо для нормального созревания сперматозоидов, а с другой — ослабить конверсию андрогенов в эстрогены, осуществляемую ароматазой, чья активность при ожирении повышается [5]. Однако каждый из этих подходов также имеет существенные недостатки и ограничения. Так, высокие дозы гонадотропинов с ЛГ-активностью, обычно используемые в клинической практике, как и препараты тестостерона, снижают активность ГГТ-оси, вызывают гинекомастию, головную боль, усталость [6]. Перспективным может стать применение низкомолекулярных агонистов рецептора ЛГ (ЛГР), действующих на его трансмембранный аллостерический сайт. Как показано нами для производных тиено[ 2,3-d]-пиримидина, такие агонисты умеренно стимулируют тестикулярный стероидогенез и слабо влияют на уровни гонадотропинов в крови и экспрессию ЛГР в семенниках [7]. Разработанные нами тиено[ 2,3-d]-пиримидиновые производные, в том числе ТП03, эффективны у самцов крыс с тяжелой формой СД2, восстанавливая уровни тестостерона и улучшая некоторые показатели сперматогенеза [7]. При этом эффективность и механизмы влияния гонадотропинов на сперматогенез при диета-индуцированном ожирении (ДИО) в настоящее время мало изучены, что ограничивает их применение в клинической практике для коррекции гипогонадотропных состояний у мужчин с ожирением, вызванным преимущественно неправильным питанием и малоподвижным образом жизни, а в отношении аллостерических ЛГР-агонистов такие данные вовсе отсутствуют.

Среди антидиабетических препаратов наибольший интерес для восстановления сперматогенеза при ожирении представляет метформин (МФ), препарат первой линии выбора для лечения СД2. При этом сведения о влиянии МФ на функции семенников при ожирении немногочисленны и противоречивы. Одни авторы указывают на положительное влияние МФ на сперматогенез, в то время как другие не разделяют эту точку зрения [8–10]. Одними из причин таких противоречивых оценок являются использование различных стратегий применения МФ, различия в паттерне метаболических и гормональных дисфункций, обусловленные различиями в этиологии и патогенезе ожирения, а также наличие сопутствующих патологий.

ЦЕЛЬ ИССЛЕДОВАНИЯ

Изучить влияние МФ-терапии и обработки хорионическим гонадотропином человека (ХГЧ) и аллостерическим ЛГР-агонистом ТП03 на сперматогенез у самцов крыс с ДИО. ДИО вызывали 23-недельной высокожировой диетой (ВЖД), обогащенной насыщенными жирами. МФ-терапию проводили в суточной дозе 120 мг/кг (перорально, 5 нед), в то время как обработку ХГЧ и ТП03 проводили в течение 5 сут, используя суточные дозы 20 МЕ/крысу (п/к) для ХГЧ и 15 мг/кг (в/б) для ТП03.

МАТЕРИАЛЫ И МЕТОДЫ

Место и время проведения исследования

Место проведения исследования. Исследование проводилось на базе лаборатории молекулярной эндокринологии и нейрохимии Федерального государственного бюджетного учреждения науки «Институт эволюционной физиологии и биохимии им. И.М. Сеченова Российской академии наук», Санкт-Петербург.

Время исследования. Создание модели ДИО на животных, их лечение и изучение оцениваемых показателей (с учетом предварительного периода до начала ДИО) заняло 5 мес, с июня по октябрь 2022 г., изучение образцов тканей для оценки генной экспрессии и морфологический анализ срезов семенников заняли период с ноября 2022 по март 2023 гг.

Изучаемые популяции

Использовали одну популяцию самцов крыс Wistar, которым на начало эксперимента было 2 мес.

Способ формирования выборки из изучаемой популяции

Животные были из разных пометов, которые в дальнейшем случайным образом были распределены по группам, но так, чтобы в одной клетке не было крыс из одного помета. Число животных в каждой клетке — 6. Критериями исключения были значительные (более 10%) отклонения массы от средневзвешенных значений, а также любые, в том числе незначительные, повреждения, выявляемые при визуальном осмотре.

Методы и дизайн исследования

Для исследований использовали самцов крыс Wistar, часть из которых (группа «Контроль») получала стандартный гранулированный сухой корм, в то время как другая часть (группа «Ожирение») начиная с двухмесячного возраста для развития ожирения в дополнение к стандартному корму получала смесь, обогащенную насыщенными жирами. ВЖД включала 52,4% свиного сала, 41,7% обезжиренного творога, 5% печеночного паштета, 0,5% метионина, 0,2% пекарских дрожжей и 0,2% хлорида натрия. Продолжительность ВЖД составила 23 нед. По окончании эксперимента животных декапитировали под наркозом, для чего использовали хлоральгидрат (доза 400 мг/кг), после чего у животных были изъяты ткани семенников для исследования морфологии семенных канальцев и оценки спермограммы. В ходе эксперимента у животных забирали кровь из хвостовой вены для оценки уровней глюкозы и гормонов, используя местную анестезию хвоста с помощью 2% раствора лидокаина (2–4 мг/кг). Все процедуры по работе с животными осуществляли в соответствии с требованиями Этического комитета ИЭФБ РАН, European Communities Council Directive 1986 (86/609/EEC) и Guide for the Care and Use of Laboratory Animals.

На 18-й неделе ВЖД для оценки толерантности к глюкозе проводили интраперитонеальный глюкозотолерантный тест (ИГТТ, 2 г/кг глюкозы, в/б) и отбирали животных с уровнем глюкозы в крови более 7,1 мМ через 120 мин после глюкозной нагрузки, что указывает на развитие у них нарушений толерантности к глюкозе, а также массой тела, повышенной не менее чем на 7% в сравнении со средневзвешенным значением этого показателя в контрольной группе, что указывает на признаки отчетливо выраженного ожирения. На основе отобранных по указанным выше критериям животных случайным образом формировали группы с ожирением (ДИО), которые в дальнейшем подергали лечению МФ и агонистами ЛГР. На этом же этапе у животных оценивали уровни тестостерона в крови.

Далее в течение 5 нед осуществляли лечение части самцов крыс с ожирением с помощью МФ («ДИО+МФ», 120 мг/кг/сут, перорально). За 5 дней до окончания эксперимента другую часть животных с ожирением обрабатывали ЛГР-агонистами — ТП03 («ДИО+ТП», 5 дней, 20 МЕ/крысу,п/к) и ХГЧ («ДИО+ХГ», 5 дней, 15 мг/кг, в/б). Синтез и физико-химическую характеристику ТП03 осуществляли, как описано ранее [7]. Согласно данным масс-спектрометрии высокого разрешения, выполненной с использованием масс-спектрометра Bruker micrOTOF (Bruker, Германия), целевое соединение ТП03 (C24H24N6O2S2) имело молекулярную массу 515.1301 (рассчитанная молекулярная масса для иона [M+Na+] составила 515.1294). ХГЧ был производства ФГУП «Московский эндокринный завод» (Россия).

За неделю до окончания эксперимента (за 2 дня до обработки части животных с помощью ТП03 или ХГЧ) проводили повторный ИГТТ, оценивая уровни глюкозы в крови до и через 15, 30, 60, 90 и 120 мин, а уровни инсулина и лептина — до и через 120 мин после инъекции глюкозы. Для измерения уровня глюкозы использовали тест-полоски One-Touch Select Ultra (США). Для измерения концентрации инсулина, лептина и тестостерона использовали ИФА-наборы Rat Insulin ELISA (Mercodia AB, Швеция), ELISA Kit for Leptin (Cloud-Clone Corp., США) и «Тестостерон-ИФА» («Алкор-Био», Россия) и спектрофотометр Anthos Absorbance Reader 2020 (Австрия). В общей сложности исследовали пять групп (в каждой по 6 животных): контроль («К»), ожирение без обработки («ОЖ»), с лечением МФ («ОЖ-М»), с обработкой ТП03 («ОЖ-ТП») или ХГЧ («ОЖ-ХГ»). Перед началом обработки ЛГР-агонистами, в 1, 3 и 5-й дни обработки (через 3 ч после введения) в крови животных оценивали содержание тестостерона, измеряя уровень гормона в эти же временные точки в группах без обработки ХГЧ и ТП03.

Для исследования спермы у самцов крыс из каудальной части эпидидимиса извлекали 5 мг сперматозоидов (СП), помещали их в 195 мкл среды Quinn’s Advantage TM Medium With HEPES (In Vitro Fertilization Inc., Cooper Surgical Company, США), инкубировали (30 мин, 37 ºС), как описано ранее [11]. В счетную камеру Маклера добавляли 10 мкл разбавленной семенной жидкости, подсчитывали количество клеток с помощью микроскопа MICMED-5 (x400, «ЛОМО», Россия) и результаты представляли, как число клеток на 1 г эпидидимиса. Количество подвижных СП и СП с поступательным движением рассчитывали как процент от общего их числа, принятого за 100%. Морфологию СП изучали после окрашивания мазка азуром и эозином с использованием набора реагентов «Спермо-Дифф-200» («Синтакон», Россия), рассчитывая количество дефектных СП с извитым хвостом или дефектами головки на каждые 100 СП. Для визуализации использовали микроскоп Axio Lab.A1 MAT (Carl Zeiss, Германия) со встроенной камерой (x1000), используя программу Axio-Vision 4.8.

Для морфологического анализа семенников их фиксировали в течение 48 ч (+4 °C) в 4% параформальдегиде (Sigma, США), промывали 0,9% Na-фосфатным буфером (PBS), погружали в PBS, содержащий 30% сахарозу (+4 °C), замораживали на сухом льду в среде Tissue-Tek® (Sacura Finetek Europe, Нидерланды). Серии поперечных срезов из различных уровней яичка (6 мкм) готовили с помощью криостата Leiсa CM-1520 (Leica Microsystems, Германия) и монтировали на стеклах SuperFrost/plus (Menzel, Германия). Срезы из разных групп помещали на одно стекло, сушили в течение ночи и использовали для гистохимического анализа, который проводили, как описано в работе [12]. Образцы анализировали с помощью микроскопа Carl Zeiss Imager A1 (Германия). С помощью объектива x40 на одной и той же площади срезов, соответствующих различным уровням яичка, подсчитывали количество сперматогониев и пахитеновых сперматоцитов, как описано ранее [7]. С помощью объектива x20 и программного обеспечения Carl Zeiss (Axio Vision 4.7.2, Германия) делали микрофотографии и оценивали толщину семенного эпителия (мкм).

Статистический анализ

Статистическую обработку проводили с помощью пакета программ SPSS Statistics 22 (IBM, США). Множественные сравнения проводили с использованием однофакторного дисперсионного анализа (ANOVA) и многомерного анализа общей линейной модели с апостериорным тестом Бонферрони. Статистически значимыми считали отличия при p<0,05, результаты представлены в виде M±SEM.

Этическая экспертиза

Проведение научно-исследовательской работы одобрено локальным этическим комитетом Института эволюционной физиологии и биохимии им. И.М. Сеченова Российской академии наук (протокол заседания № 2-4/2022 от 24.02.2022 г.) и осуществлялось в соответствии с рекомендациями ГОСТ 33216-2014 «Руководство по содержанию и уходу за лабораторными животными. Правила содержания и ухода за лабораторными грызунами и кроликами», European Communities Council Directive 1986 (86/609/EEC) и Guide for the Care and Use of Laboratory Animals.

РЕЗУЛЬТАТЫ

В сравнении с контрольными животными крысы с ДИО имели повышенные массу тела, нарушенную толерантность к глюкозе, на что указывают значимо более высокие, чем в контрольной группе, значения интегрированной площади под кривой зависимости уровня глюкозы от времени в течение 120 мин после глюкозной нагрузки (AUC0–120), а также повышенные уровни инсулина и лептина, как базовые, так и стимулированные глюкозой, что свидетельствует о развитии у животных системной гиперинсулинемии и гиперлептинемии (табл. 1). При этом уровни тестостерона у крыс с ожирением были значимо ниже, чем в контроле. Лечение ДИО-крыс МФ в различной степени нормализовало оцениваемые показатели, в том числе значимо снижало значение AUC0–120 для глюкозной кривой и уровни инсулина и лептина через 120 мин после нагрузки глюкозой, а также восстанавливало уровни тестостерона, на что указывает повышение значения AUC1–5 для кривой «концентрация тестостерона (нМ)–время (дни)» (табл. 1). Обработка крыс ЛГР-агонистами существенно не влияла на массу тела (данные не представлены), но повышала уровень тестостерона в крови в течение всех 5 дней обработки, о чем свидетельствует повышение значений AUC1–5 как в сравнении с контролем, так и с группой «ДИО» (табл. 2). Динамика и выраженность стероидогенного эффекта ТП03 и ХГЧ различались. Гонадотропин был наиболее активен в первый день обработки, на 3-й день его стероидогенный эффект снижался и частично восстанавливался на 5-й день. Соответствующий эффект ТП03 был стабилен в течение всего периода обработки (табл. 2). На 5-й день ТП03 и ХГЧ повышали уровень тестостерона в крови на 243 и 346% в сравнении с контрольной группой и на 387 и 862% в сравнении с группой ДИО без введения препаратов.

Таблица 1. Масса тела, уровни глюкозы, инсулина и лептина
в тесте с глюкозной нагрузкой, концентрация тестостерона
в крови самцов крыс с ДИО и влияние на эти показатели МФ-терапии

 

Контроль (n=6)

ДИО (n=18)

ДИО+МФ (n=6)

Масса тела, г

392,8±10,0

444,9±6,2a

419,5±7,8

Глюкоза (баз.), мМ*

5,8±0,3

6,6±0,2

5,6±0,2

Глюкоза (глюк.), мМ**

6,2±0,4

9,2±0,3a

7,4±0,3b

AUC0–120 (глюкоза), усл. ед.

1152±55

1849±46a

1401±49b

Инсулин (баз.), нг/мл*

0,86±0,11

1,58±0,10a

1,22±0,20

Инсулин (глюк.), нг/мл**

1,10±0,18

2,62±0,23a

1,49±0,21b

Лептин (баз.), нг/мл*

1,54±0,25

2,43±0,16a

1,74±0,44

Лептин (глюк.), нг/мл**

3,88±0,90

10,64±0,77a

6,39±1,04b

Тестостерон (10.00), нМ

7,79±1,09

4,30±0,37a

6,21±0,43b

Тестостерон (16.00), нМ

9,30±1,06

5,27±0,36a

7,62±0,73b

Примечания. Различия по сравнению с группами «К» (a) и «ОЖ» (b)
статистически значимы при p<0,05.
Значения AUC0–120 — интегрированная площадь
под кривой «концентрация глюкозы (мМ)–время (мин)»,
включающая временной промежуток 120 мин
и 5 измерений (0, 15, 30, 60 и 120 мин после глюкозной нагрузки);
* — базовые уровни глюкозы, инсулина и лептина в крови (натощак),
** — уровни глюкозы, инсулина и лептина в крови
через 120 мин после глюкозной нагрузки в ИГТТ.

Таблица 2. Концентрация тестостерона в крови ДИО-крыс
и влияние на нее длительной МФ-терапии
и пятидневной обработки ЛГР-агонистами, ТП03 и ХГЧ

Группа

Концентрация тестостерона в крови, нМ

AUC1–5, отн. ед.

До введения

1-й день

3-й день

5-й день

«К»

9,29±0,71

10,31±0,70

9,56±1,07

8,98±1,27

38,4±3,4

«ДИО»

4,43±0,50a

5,67±0,86a

5,01±0,80a

4,48±0,59a

20,2±1,8a

«ДИО+МФ»

6,76±0,70b

7,02±0,80a

7,51±0,74

6,96±0,70b

29,0±2,4b

«ДИО+ТП»

4,95±0,48a

25,42±3,54a,b

22,58±1,29a,b

21,80±2,27a,b

92,4±5,8a,b

«ДИО+ХГ»

4,77±0,68 a

59,25±5,92a,b,c

28,94±3,95a,b

43,09±2,31a,b,c

160,2±13,2a,b,c

Примечания. Различия по сравнению с группами «К» (a) и «ОЖ» (b),
а также между группами «ДИО+ТП» и «ДИО+ХГ» (с)
статистически значимы при p<0,05.
Значения AUC1–5 — интегрированная площадь
под кривой «концентрация тестостерона (нМ)-время (дни)»,
включающая временной промежуток 5 дней
и 3 измерения (1, 3 и 5-й дни обработки агонистами ЛГР).

При анализе спермограмм было показано, что у ДИО-крыс снижалось как общее число СП, так количество их подвижных форм, включая СП с поступательным движением (рис. 1). Отмечали также повышение количества дефектных форм СП с извитым хвостом или дефектами головки (рис. 1). Эти же изменения обнаруживаются при пересчете удельной доли подвижных и дефектных СП в общем пуле клеток (табл. 3). Морфометрический анализ извитых семенных канальцев у ДИО-крыс показал значимое уменьшение толщины выстилающего их эпителия, а также снижение числа сперматогониев и пахитеновых сперматоцитов (рис. 2, 3). Эти данные свидетельствуют о нарушенном процессе сперматогенеза у ДИО-крыс и об изменении у них ультраструктурной организации сперматогенного эпителия.

Рисунок 1. Показатели спермограммы у самцов крыс с ДИО
и влияние на них пятинедельного лечения МФ
и пятидневной обработки ЛГР-агонистами ХГЧ и ТП03.
A — количество СП, ×106/мл;
B — количество подвижных СП, ×106/мл;
C — количество СП с поступательным движением, ×106/мл;
D — количество СП с морфологическими дефектами
хвоста или головки, ×106/мл.
Различия по сравнению с контролем (a) и группой «ДИО» (b)
статистически значимы при p<0,05.
Данные представлены как среднее±SEM (n=6).

Figure 1. Sperm parameters in male rats with DIO
and the effects of five-week MF treatment
and five-day treatment with LHR-agonists, hCG and TP03, on them.
A is the amount of SPs, x106/ml;
B is the number of mobile SPs, x106/ml;
C is the number of SPs with progressive movement, х106/ml;
D is the number of SPs with morphological defects of the tail or head, x106/ml.
The differences as compared to the control (a) and DIO groups (b)
are significant at p<0,05.
The data are presented as mean±SEM (n=6).

Рисунок 2. Влияние пятинедельного лечения МФ
и пятидневной обработки агонистами ЛГР (ТП03, ХГЧ)
на толщину эпителия семенных канальцев
и на количество в них сперматогоний
и пахитеновых сперматоцитов у крыс с ДИО.
A — толщина сперматогенного эпителия, мкм;
B — число сперматогониев, ед.;
C — число пахитеновых сперматоцитов, ед.
Различия по сравнению с контролем (a) и с группой «ДИО» (b)
статистически значимы при p<0,05.
Данные представлены как среднее±SEM (n=6).

Figure 2. The effect of five-week treatment with MF
and five-day treatment with LHR agonists (TP03, hCG)
on the thickness of the epithelium of the seminiferous tubules
and on the number of spermatogonia
and pachytene spermatocytes in DIO rats.
A is the thickness of the spermatogenic epithelium, µm;
B is the number of spermatogonia, units;
C is the number of pachytene spermatocytes, units.
The differences as compared with the control (a) and DIO groups (b)
are significant at p<0,05.
The data are presented as mean±SEM (n=6).

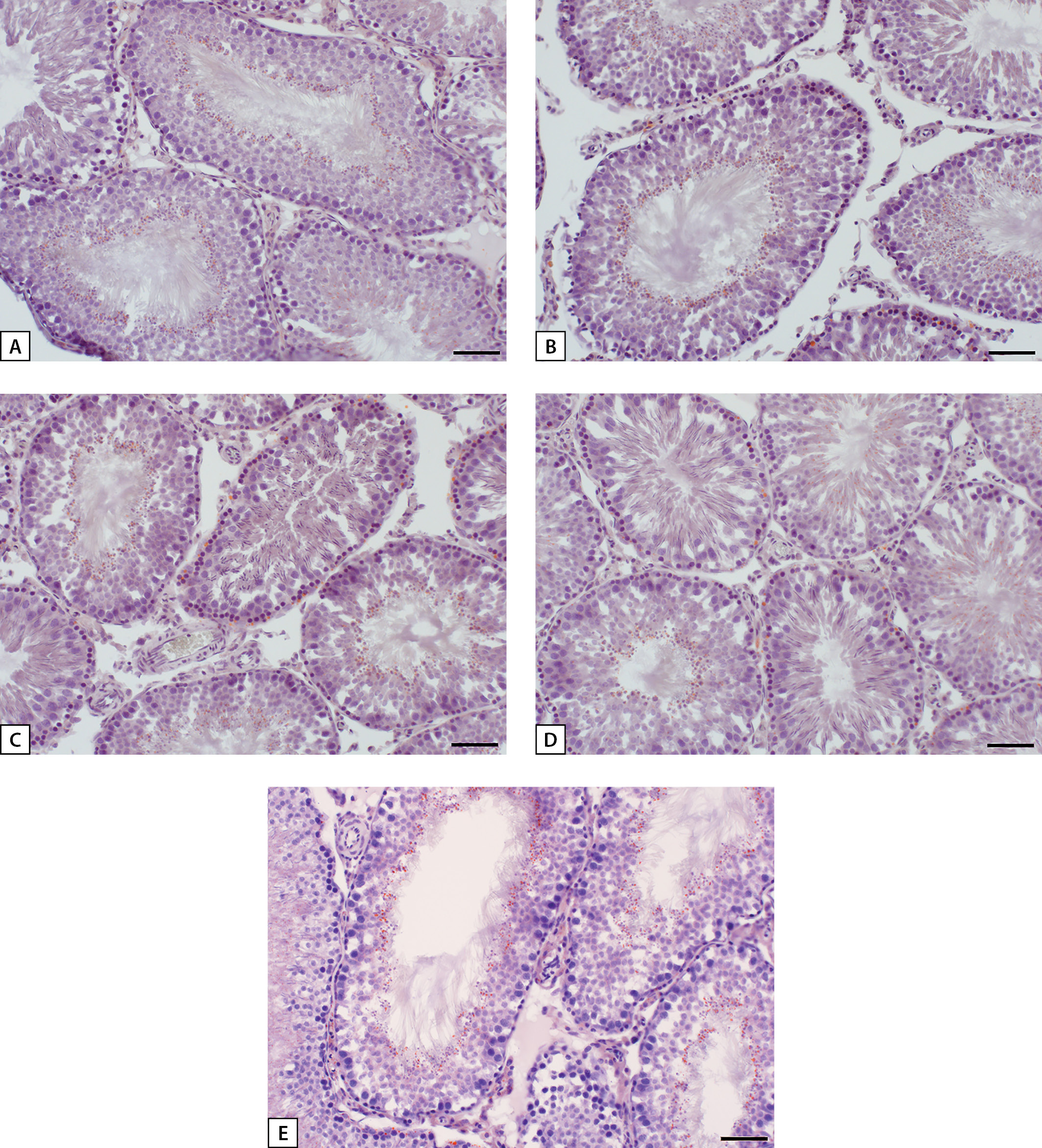
Рисунок 3. Морфометрический анализ гистологических срезов
извитых семенных канальцев у самцов крыс с ДИО
без обработки и с обработкой МФ, ТП03 и ХГЧ.
A — «К», B — «ДИО», C — «ДИО+МФ», D — «ДИО+ТП», E — «ДИО+ХГ».
Масштаб: 100 мкм.

Figure 3. Morphometric analysis of histological sections
of convoluted seminiferous tubules in male rats
with DIO without and with treatment with MF, TP03 or hCG.
A — «C», B — «DIO», C — «DIO + MF», D — «DIO + TP», E — «DIO + CG».
Scale: 100 µm.

Таблица 3. Доля подвижных и дефектных сперматозоидов (в процентах)
у самцов крыс с ДИО и влияние на них лечения МФ и обработки ХГЧ и ТП03

Группа

Доля подвижных СП, %

Доля СП с поступательным движением, %

Доля СП с морфологическими дефектами, %

«К»

49,5±2,0

32,5±1,3

6,6±0,8

«ДИО»

34,7±5,2a

18,0±3,7a

27,3±4,7a

«ДИО+МФ»

40,9±2,3a

30,5±2,4

16,2±2,7a

«ДИО+ТП»

44,4±3,6

32,0±3,1b

25,8±4,7a

«ДИО+ХГ»

47,9±2,7

30,8±2,6b

29,5±3,3a

Примечание. Различия по сравнению с контролем (a) и группой «ДИО» (b)
статистически значимы при p<0.05.
Данные представлены как среднее±SEM (n=6).

Лечение МФ на протяжении 5 нед приводило к повышению числа подвижных эпидидимальных СП, в том числе с поступательным движением, причем отмечалась тенденция к повышению общего числа СП (рис. 1). Наряду с этим при морфометрическом анализе семенников отмечали повышение толщины сперматогенного эпителия и количества пахитеновых сперматоцитов в сравнении с группой «ДИО» (рис. 2, 3). При этом число сперматогониев существенно не менялось и оставалось ниже, чем в контрольной группе (рис. 2). ЛГР-агонисты повышали число подвижных СП, в том числе с поступательным движением, хотя доля подвижных СП в сравнении с группой «ДИО» значимо не менялась (рис. 1, табл. 3). В группе «ДИО+ХГ» также отмечали повышение общего числа СП, сопоставимое с таковым в контроле (рис. 1). Существенного влияния на долю дефектных форм СП оба ЛГР-агониста не оказывали. Отмечали лишь небольшое повышение числа дефектных форм в группе «ДИО+ХГ», что обусловлено значительным повышением общего числа СП (рис. 1, табл. 3). ТП03 и ХГЧ нормализовали процесс созревания сперматозоидов в семенных канальцах, о чем свидетельствует повышение в сравнении с группой «ДИО» числа сперматогониев и пахитеновых сперматоцитов в них (рис. 2, рис. 3). ТП03 в значительной степени повышал толщину сперматогенного эпителия (p<0,05 в сравнении с «ДИО»), в то время как ХГЧ был в этом отношении менее эффективен, но также частично восстанавливал этот показатель, который не отличался от такового в контроле (рис. 2).

ОБСУЖДЕНИЕ

Нами показано, что у самцов крыс, получавших в течение длительного времени ВЖД (23 нед), были не только повышены масса тела и жировой ткани, нарушен глюкозный гомеостаз и снижена чувствительность к инсулину и лептину, но также снижен уровень тестостерона и ослаблен сперматогенез. На нарушение сперматогенной функции указывает как снижение общего числа СП и их подвижных форм, а также увеличение числа СП с дефектами хвоста и головки, так и изменения толщины эпителия семенных канальцев, сопровождающиеся снижением в них числа незрелых форм СП. Эти данные в совокупности свидетельствуют о снижении активности компонентов ГГТ-оси, в том числе ее тестикулярного звена, а также об ослаблении репродуктивных функций у ДИО-крыс. В целом они согласуются с результатами других авторов, которые показали ослабление тестикулярного стероидогенеза и сперматогенеза у самцов крыс с ДИО, в том числе вызванным ВЖД [9][13]. Наряду со снижением числа сперматозоидов и повышением доли их дефектных форм, при ожирении ими были продемонстрированы изменения ультраструктуры семенных канальцев, повышение экспрессии и активности факторов апоптоза и воспаления и развитие окислительного стресса в семенниках, а также повышение чувствительности сперматогенных клеток к эстрогенам вследствие повышения экспрессии в них эстрогеновых рецепторов, что негативно влияет на дифференцировку и созревание СП [13]. Важнейшими патогенетическими факторами, ведущими к нарушению сперматогенеза при ожирении, а также при СД2 с ожирением являются инсулиновая и лептиновая резистентность и ассоциированные с ними нарушения глюкозного гомеостаза, включая длительную гипергликемию и накопление конечных продуктов гликирования [1][2]. В этой связи необходимо отметить, что пептиды инсулинового суперсемейства (инсулин, инсулиноподобный фактор роста-1) и лептин не только играют важную роль в контроле функций гипоталамических нейронов, экспрессирующих гонадолиберин, рилизинг-фактор ЛГ и ФСГ, но и непосредственно участвуют в регуляции процессов сперматогенеза и тестикулярного стероидогенеза [14][15].

В соответствии с вышесказанным применение препаратов, которые повышают чувствительность к инсулину, нормализуют глюкозный гомеостаз, снижают массу тела и жировой ткани и тем самым препятствуют развитию апоптоза, воспаления и окислительного стресса в различных тканях, может быть полезным для улучшения репродуктивного потенциала при ожирении. Одним из таких препаратов, который давно и успешно применяется для лечения СД2 и патологического ожирения, является МФ. Имеются клинические и экспериментальные данные о способности МФ восстанавливать фолликулогенез и овариальный стероидогенез при различных метаболических и гормональных расстройствах, но информация в отношении эффективности МФ для восстановления сперматогенеза при различных формах ожирения и ассоциированном с ними гипогонадизме немногочисленна и противоречива [8]. В настоящем исследовании нами показано восстанавливающее действие МФ на тестикулярный стероидогенез, а также на показатели сперматогенеза, среди которых повышение количества и доли подвижных СП, в том числе с прямолинейным поступательным движением, повышение числа пахитеновых сперматоцитов и восстановление толщины эпителия семенных канальцев. В процентном отношении в группе «ДИО+МФ» снижалось число дефектных СП, хотя в количественном выражении оно не отличалось от группы «ДИО» и оставалось выше, чем в контроле. В работе других авторов положительный эффект на сперматогенез был достигнут в ходе восьминедельного лечении МФ (100 мг/кг/сут) самцов крыс Sprague-Dawley, которые в те же сроки получали ВЖД [9]. В семенниках крыс с лечением МФ показано ослабление проапоптотических и провоспалительных процессов, что приводило к повышению количества сперматогониев, доли подвижных СП, количества клеток Лейдига и Сертоли, а также снижало долю семенных канальцев с признаками атрофии и деструкции. Необходимо, однако, отметить, что функции МФ в этом случае состояли в предотвращении нарушений сперматогенеза, а не в коррекции уже развившихся нарушений, поскольку по времени начало потребления животными насыщенных жиров совпадало с началом МФ терапии [9]. При изучении влияния восьминедельной МФ терапии на мышей C57BL/6 с ожирением, индуцированным обогащенной насыщенными жирами и холестерином диетой, также отмечали улучшение сперматогенеза, в основе чего был антиоксидантный эффект препарата и обусловленное этим улучшение тестикулярного стероидогенеза [10]. Наряду с ДИО, МФ с различной эффективностью восстанавливал сперматогенез у грызунов с СД2 и ожирением, как это было показано нами при лечении МФ (120 мг/кг/сут) крыс с СД2, индуцированным ВЖД и низкой дозой стрептозотоцина [7][11]. Таким образом, полученные нами данные свидетельствуют о перспективах применения МФ терапии для восстановления сниженного при ожирении репродуктивного потенциала у мужчин, что существенно расширяет спектр показаний к клиническому использованию МФ.

В качестве активаторов сперматогенеза при ожирении могут быть использованы препараты гонадотропинов с ЛГ-активностью (ХГЧ, рекомбинантный ЛГ), в том числе в комбинации с препаратами ФСГ. Препараты ХГЧ, действуя на высокоаффинный ортостерический сайт ЛГР, усиливают тестикулярный стероидогенез и нормализуют тестостерон-опосредуемую регуляцию дифференцировки и созревания сперматозоидов [16]. Однако клинические данные об эффективности гонадотропинов для коррекции сперматогенеза ограничиваются в основном изучением их влияния на мужчин с гипогонадизмом, имеющих сильно выраженный андрогенный дефицит, в то время как для пациентов с ожирением эффективность терапии гонадотропинами практически не изучена. Более того, для нормализации сперматогенеза у пациентов с ожирением, страдающих гипогонадотропным гипогонадизмом и(или) синдромом Кальмана, рекомендуют терапию ингибиторами ароматазы, кломифена цитратом [17] и агонистами гонадолиберина [18]. В экспериментальных исследованиях имеются немногочисленные данные о восстанавливающем сперматогенез эффекте ХГЧ у крыс с СД2 в условиях значительных нарушений инсулинпродуцирующей функции поджелудочной железы и развития сильно выраженных метаболических и гормональных нарушений, характерных для диабетической патологии [7][11][19], в то время как до настоящего исследования информация о влиянии гонадотропинов с ЛГ-активностью на сперматогенез при ДИО отсутствовала. Нами продемонстрирован отчетливо выраженный восстанавливающий эффект пятидневной обработки ХГЧ на число зрелых СП и их предшественников — сперматогониев, а также на подвижность СП у самцов ДИО-крыс, хотя и не было выявлено снижения доли дефектных форм СП. Кроме того, мы показали улучшение показателей сперматогенеза при пятидневной обработке ДИО-крыс с помощью ТП03, разработанного нами аллостерического ЛГР-агониста, что было ассоциировано с его стимулирующим влиянием на продукцию тестостерона. Это является первым свидетельством восстанавливающего эффекта низкомолекулярного аллостерического регулятора ЛГР на сперматогенную функцию. Ранее нами было показано, что ТП03 и его структурный гомолог ТП04 улучшают сперматогенез у самцов крыс с СД2 [7][11].

ЗАКЛЮЧЕНИЕ

Впервые показано, что антидиабетический препарат МФ и активаторы ЛГР — ХГЧ и аллостерический агонист ТП03, различающиеся по природе и механизмам действия, улучшают показатели сперматогенеза у самцов крыс с ДИО, повышая сниженные при ожирении общее количество СП, долю их подвижных форм, в том числе с поступательным движением, нормализуя толщину эпителия семенных канальцев и количество в них сперматогониев и пахитеновых сперматоцитов. При этом влияния на повышенную при ДИО долю дефектных форм СП ни один из препаратов не оказывал. Восстанавливающие сперматогенез эффекты в случае МФ были ассоциированы с нормализацией метаболических и гормональных показателей и частичным восстановлением андрогенного статуса, в случае ЛГР-агонистов — с выраженным их стимулирующим эффектом на продукцию тестостерона. Совокупность полученных данных свидетельствует о перспективах применения как МФ-терапии, так и курсов ортостерических (ХГЧ) и аллостерических (тиено[ 2,3-d]-пиримидиновые производные) агонистов ЛГР для нормализации сперматогенеза и восстановления мужской фертильности при ожирении, обусловленном избыточным потреблением высококалорийной пищи.

ДОПОЛНИТЕЛЬНАЯ ИНФОРМАЦИЯ

Источники финансирования. Исследование выполнено за счет средств гранта Российского научного фонда, проект № 19-75-20122.

Конфликт интересов. Авторы декларируют отсутствие явных и потенциальных конфликтов интересов, связанных с содержанием настоящей статьи.

Участие авторов. Шпаков А.О., Деркач К.В. — идея, концепция и дизайн исследования, анализ литературных данных, подготовка статьи к публикации, внесение существенных правок в рукопись; Морина И.Ю., Бахтюков А.А., Романова И.В. — получение, анализ данных и интерпретация результатов, написание статьи, подготовка статьи к публикации; Баюнова Л.В., Диденко Е.А., Сорокоумов В.Н. — получение и анализ данных, подготовка рукописи. Все авторы одобрили финальную версию статьи перед публикацией, выразили согласие нести ответственность за все аспекты работы, подразумевающую надлежащее изучение и решение вопросов, связанных с точностью или добросовестностью любой части работы.

Благодарности. ЯМР-исследования проведены с использованием оборудования ресурсного центра СПбГУ «Магнитно-резонансные методы исследования», масс-спектры высокого разрешения получены на оборудовании ресурсного центра СПбГУ «Методы анализа состава вещества».

Список литературы

1. Genchi VA, Rossi E, Lauriola C, et al. Adipose Tissue Dysfunction and Obesity-Related Male Hypogonadism. Int J Mol Sci. 2022;23(15):8194. doi: https://doi.org/10.3390/ijms23158194

2. Salvio G, Ciarloni A, Cutini M, et al. Metabolic syndrome and male fertility: Beyond heart consequences of a complex cardiometabolic endocrinopathy. Int J Mol Sci. 2022;23(10):5497. doi: https://doi.org/10.3390/ijms23105497

3. Barone B, Napolitano L, Abate M, et al. The Role of testosterone in the Elderly: What do we know? Int J Mol Sci. 2022;23(7):3535. doi: https://doi.org/10.3390/ijms23073535

4. Bhasin S, Brito JP, Cunningham GR, et al. Testosterone therapy in men with hypogonadism: An endocrine society clinical practice guideline. J Clin Endocrinol Metab. 2018;103(5):1715-1744. doi: https://doi.org/10.1210/jc.2018-00229

5. Khodamoradi K, Khosravizadeh Z, Parmar M, et al. Exogenous testosterone replacement therapy versus raising endogenous testosterone levels: current and future prospects. F&S Rev. 2021;2(1):32-42. doi: https://doi.org/10.1016/j.xfnr.2020.11.001

6. Crosnoe-Shipley LE, Elkelany OO, Rahnema CD, Kim ED. Treatment of hypogonadotropic male hypogonadism: Case-based scenarios. World J Nephrol. 2015;4(2):245-253. doi: https://doi.org/10.5527/wjn.v4.i2.245

7. Bakhtyukov AA, Derkach KV, Sorokoumov VN, et al. The effects of separate and combined treatment of male rats with type 2 diabetes with metformin and orthosteric and allosteric agonists of luteinizing hormone receptor on steroidogenesis and spermatogenesis. Int J Mol Sci. 2021;23(1):198. doi: 10.3390/ijms23010198

8. Shpakov AO. Improvement effect of metformin on female and male reproduction in endocrine pathologies and its mechanisms. Pharmaceuticals (Basel). 2021;14(1):42. doi: https://doi.org/10.3390/ph14010042

9. Yan WJ, Mu Y, Yu N, et al. Protective effects of metformin on reproductive function in obese male rats induced by high-fat diet. J Assist Reprod Genet. 2015;32(7):1097-1104. doi: https://doi.org/10.1007/s10815-015-0506-2

10. Liu CY, Chang TC, Lin SH, et al. Metformin ameliorates testicular function and spermatogenesis in male mice with high-fat and high-cholesterol diet-induced obesity. Nutrients. 2020;12(7):1932. doi: https://doi.org/10.3390/nu12071932

11. Derkach KV, Bakhtyukov AA, Romanova IV, et al. The effect of metformin treatment on the basal and gonadotropin-stimulated steroidogenesis in male rats with type 2 diabetes mellitus. Andrologia. 2020;52(11):e13816. doi: https://doi.org/10.1111/and.13816

12. Shokoohi M, Shoorei H, Soltani M, et al. Protective effects of the hydroalcoholic extract of Fumaria parviflora on testicular injury induced by torsion/detorsion in adult rats. Andrologia. 2018;50(7):e13047. doi: https://doi.org/10.1111/and.13047

13. Jia Y-F, Feng Q, Ge Z-Y, et al. Obesity impairs male fertility through long-term effects on spermatogenesis. BMC Urol. 2018;18(1):42. doi: https://doi.org/10.1186/s12894-018-0360-5

14. Shpakov OA, Ryzhov RJ, Bakhtyukov AA, Derkach VK. The regulation of the male hypothalamic-pituitary-gonadal axis and testosterone production by adipokines. In: Advances in Testosterone Action. Vol 18. IntechOpen; 2018:42. doi: https://doi.org/10.5772/intechopen.76321

15. Ghaderpour S, Ghiasi R, Heydari H, Keyhanmanesh R. The relation between obesity, kisspeptin, leptin, and male fertility. Horm Mol Biol Clin Investig. 2021;43(2):235-247. doi: https://doi.org/10.1515/hmbci-2021-0058

16. Fink J, Schoenfeld BJ, Hackney AC, et al. Human chorionic gonadotropin treatment: a viable option for management of secondary hypogonadism and male infertility. Expert Rev Endocrinol Metab. 2021;16(1):1-8. doi: https://doi.org/10.1080/17446651.2021.1863783

17. Aydogdu A, Swerdloff RS. Emerging medication for the treatment of male hypogonadism. Expert Opin Emerg Drugs. 2016;21(3):255-266. doi: https://doi.org/10.1080/14728214.2016.1226799

18. Mao JF, Liu ZX, Nie M, et al. Pulsatile gonadotropin-releasing hormone therapy is associated with earlier spermatogenesis compared to combined gonadotropin therapy in patients with congenital hypogonadotropic hypogonadism. Asian J Androl. 2017;19(6):680-685. doi: https://doi.org/10.4103/1008-682X.193568

19. Paz G, Homonnai ZT, Harell A, Kraicer PF. Improvement in the fertility of streptozotocin-diabetic male rats following treatment with insulin and human chrionic gonadotropin. Isr J Med Sci. 1978;14(10):1073-8


Об авторах

К. В. Деркач
Институт эволюционной физиологии и биохимии им. И.М. Сеченова Российской академии наук
Россия

Деркач Кира Викторовна, к.б.н.

Researcher ID: AAN-1060-2020
Scopus Author ID: 6603743572
eLibrary SPIN: 6925-1558

194223, Санкт-Петербург, проспект Тореза, д. 44



И. Ю. Морина
Институт эволюционной физиологии и биохимии им. И.М. Сеченова Российской академии наук
Россия

Морина Ирина Юрьевна, к.б.н.

eLibrary SPIN: 3489-8842

Санкт-Петербург



Л. В. Баюнова
Институт эволюционной физиологии и биохимии им. И.М. Сеченова Российской академии наук
Россия

Баюнова Любовь Владимировна, к.б.н.

eLibrary SPIN: 2833-2978

Санкт-Петербург



А. А. Бахтюков
Институт эволюционной физиологии и биохимии им. И.М. Сеченова Российской академии наук
Россия

Бахтюков Андрей Андреевич, к.б.н.

eLibrary SPIN: 7073-0586

Санкт-Петербург



Е. А. Диденко
Институт эволюционной физиологии и биохимии им. И.М. Сеченова Российской академии наук; Институт химии Санкт-Петербургского государственного университета
Россия

Диденко Егор Александрович

Санкт-Петербург



В. Н. Сорокоумов
Институт эволюционной физиологии и биохимии им. И.М. Сеченова Российской академии наук; Институт химии Санкт-Петербургского государственного университета
Россия

Сорокоумов Виктор Николаевич, к.х.н.

eLibrary SPIN: 1042-8142

Санкт-Петербург



И. В. Романова
Институт эволюционной физиологии и биохимии им. И.М. Сеченова Российской академии наук
Россия

Романова Ирина Владимировна, д.б.н.

eLibrary SPIN: 8891-8186

Санкт-Петербург



А. О. Шпаков
Институт эволюционной физиологии и биохимии им. И.М. Сеченова Российской академии наук
Россия

Шпаков Александр Олегович, д.б.н., профессор

eLibrary SPIN: 6335-8311

Санкт-Петербург



Дополнительные файлы

1. Рисунок 1. Показатели спермограммы у самцов крыс с ДИО и влияние на них пятинедельного лечения МФ и пятидневной обработки ЛГР-агонистами ХГЧ и ТП03.
Тема
Тип Исследовательские инструменты
Посмотреть (269KB)    
Метаданные ▾
2. Рисунок 2. Влияние пятинедельного лечения МФ и пятидневной обработки агонистами ЛГР (ТП03, ХГЧ) на толщину эпителия семенных канальцев и на количество в них сперматогоний и пахитеновых сперматоцитов у крыс с ДИО.
Тема
Тип Исследовательские инструменты
Посмотреть (234KB)    
Метаданные ▾
3. Рисунок 3. Морфометрический анализ гистологических срезов извитых семенных канальцев у самцов крыс с ДИО без обработки и с обработкой МФ, ТП03 и ХГЧ.
Тема
Тип Исследовательские инструменты
Метаданные ▾

Рецензия

Для цитирования:


Деркач К.В., Морина И.Ю., Баюнова Л.В., Бахтюков А.А., Диденко Е.А., Сорокоумов В.Н., Романова И.В., Шпаков А.О. Влияние метформиновой терапии и обработки аллостерическим агонистом лютеинизирующего гормона и хорионическим гонадотропином на сперматогенез у самцов крыс с ожирением. Ожирение и метаболизм. 2023;20(3):217-226. https://doi.org/10.14341/omet13018

For citation:


Derkach K.V., Morina I.Yu., Bayunova L.V., Bakhtuykov A.A., Didenko E.A., Sorokoumov V.N., Romanova I.V., Shpakov A.O. Influence of metformin therapy and treatment with an allosteric luteinizing hormone agonist and chorionic gonadotropin on spermatogenesis in male rats with obesity. Obesity and metabolism. 2023;20(3):217-226. (In Russ.) https://doi.org/10.14341/omet13018

Просмотров: 1123


ISSN 2071-8713 (Print)
ISSN 2306-5524 (Online)