Preview

Ожирение и метаболизм

Расширенный поиск

Ассоциация носительства полиморфизма rs4646994 гена АСЕ с ожирением и андрогенным дефицитом у мужчин

https://doi.org/10.14341/omet12843

Содержание

Перейти к:

Аннотация

Обоснование. Ожирение и андрогенный дефицит (АнД) характеризуются схожими нарушениями параметров метаболизма, наличием признаков инсулинорезистентности, метаболического синдрома, риском развития сердечнососудистых заболеваний (ССЗ) и сосудистых осложнений. Эти факты указывают на возможность наличия общих механизмов, определяющих предрасположенность к развитию ожирения и АнД, к которым могут относиться генетические факторы, в частности, полиморфизм rs4646994 гена ACE, который, по последним данным, ассоциирован с риском развития ССЗ, гипертонической болезни и ожирения.

Цель. Изучить ассоциацию носительства полиморфных вариантов локуса rs4646994 гена АСЕ с особенностями антропометрического и андрогенного статусов у мужчин.

Материалы и методы. В период с апреля 2020 по октябрь 2021 г. были обследованы пациенты мужского пола в возрасте 18–75 лет, планово госпитализированные в терапевтический стационар с коморбидной соматической патологией (гипертоническая болезнь, ишемическая болезнь сердца, дорсопатия, вегетососудистая дистония, гастроэзофагеальная рефлюксная болезнь, другая соматическая патология). Были проведены антропометрия, исследование содержания гормонов репродуктивной системы в сыворотке крови с использованием иммуноферментного анализа, а также генетическое исследование на предмет носительства полиморфных вариантов локуса rs4646994 гена АСЕ методом полимеразной цепной реакции (ПЦР) с последующим электрофорезом продуктов ПЦР. Результаты. В исследовании приняло участие 82 пациента. По результатам генетического анализа в группу гомозигот по дикому типу (I/I, Г1) были отнесены 17 человек, в группу гетерозигот (I/D, Г2) — 41 человек, в группу гомозигот по мутантному аллелю (D/D, Г3) — 24 человека. Показатели массы тела, окружностей груди, талии и бедер, величина индекса массы тела у пациентов — носителей аллеля D полиморфизма rs4646994 были статистически значимо выше, чем у гомозигот I/I. Статистически значимыми оказались и различия в гормональном статусе: пациенты из Г1 по сравнению с Г2 и Г3 имели более высокий уровень общего тестостерона; из Г1 по сравнению с Г3 — более высокий уровень свободного тестостерона.

Заключение. Выявлена ассоциация носительства аллеля D полиморфного локуса rs4646994 гена АСЕ с избыточной массой тела и АнД.

Для цитирования:


Мосалев К.И., Янковская С.В., Иванов И.Д., Пинхасов Б.Б., Селятицкая В.Г. Ассоциация носительства полиморфизма rs4646994 гена АСЕ с ожирением и андрогенным дефицитом у мужчин. Ожирение и метаболизм. 2022;19(3):271-279. https://doi.org/10.14341/omet12843

For citation:


Mosalev K.I., Yankovskaya S.V., Ivanov I.D., Pinkhasov B.B., Selyatitskaya V.G. Association of сarriage of the rs4646994 polymorphism of the ACE gene with obesity and androgen deficiency in men. Obesity and metabolism. 2022;19(3):271-279. (In Russ.) https://doi.org/10.14341/omet12843

ОБОСНОВАНИЕ

Пандемия ожирения, обусловленная изменением образа жизни населения развитых и развивающихся стран — неадекватным питанием, низкой физической активностью, частыми психоэмоциональными стрессами, депрессией и т.д., вызывает не только рост распространенности хронических неинфекционных заболеваний, включая сердечно-сосудистые, сахарный диабет 2 типа (СД2), атеросклероз [1], но и ускорение процессов биологического старения [2]. У мужчин старение ассоциированос развитием андрогенного дефицита (АнД), обусловленного снижением уровней половых стероидных гормонов — тестостерона и дегидроэпиандростерона в крови [3–5]. Формирование АнД способствует снижению интенсивности анаболических процессов и уменьшению мышечной массы, угнетению сексуальной функции, нарастанию эректильной дисфункции. Выявлена также связь между АнД и инсулинорезистентностью, дислипидемиями, метаболическим синдромом (МС), риском сосудистых осложнений [6][7]. При ожирении интенсивность процессов формирования возрастного АнД у мужчин дополнительно повышается в связи с конвертацией ароматазой адипоцитов жировой ткани тестостерона в эстрадиол [8]. В свою очередь, формирующийся АнД способствует большему накоплению жировой ткани в организме и усиливает развивающиеся на фоне ожирения метаболические нарушения [9][10]. Такое сочетание достоверно увеличивает количество обострений хронического заболевания и число госпитализаций [11]. Эти факты указывают на возможность наличия общих механизмов, определяющих предрасположенность к развитию ожирения и АнД. Особенно явно связь этих процессов прослеживается в настоящее время у молодых мужчин с ожирением, у которых снижение уровня тестостерона обнаруживается уже с юношеского возраста в период активного становления репродуктивной системы [11].

В предрасположенности к развитию ожирения у человека важную роль играют генетические факторы. К настоящему времени установлена ассоциация риска развития этого заболевания с генетическими полиморфизмами генов FTO, PPARG, FABP2, ADRB2, ADRB3, ACTN3, LEP, LEPR и других [12–15]. В этой связи вызывает интерес полиморфизм rs4646994 гена ACE, который, по последним данным, ассоциирован с риском развития сердечно-сосудистых заболеваний (ССЗ), гипертонической болезни (ГБ) и ожирения [16]. Полиморфизм rs4646994 гена ACE заключается в наличии (вставка, I) или отсутствии (делеция, D) фрагмента из 287 пар оснований в интроне 16 гена АСЕ [17]. Ген АСЕ кодирует ангиотензинпревращающий фермент (АПФ), который катализирует образование сильнодействующего сосудосуживающего агента ангиотензина II (АГ II) из гормона ангиотензина I (АГ I). Это ключевой фермент ренин-ангиотензин-альдостероновой системы (РААС), регулирующей объем циркулирующей крови и электролитный обмен в жидкостях организма и кровяное давление у людей, играет важнейшую роль в патогенезе ГБ. Сравнительно недавно было показано, что АПФ (напрямую и косвенно через АГ II) участвует в росте и созревании адипоцитов.По имеющимся литературным данным, уровни АПФ в сыворотке у гомозигот D/D (двойная делеция в полиморфизме rs4646994 гена АСЕ) в два раза выше, чем у гомозигот I/I, в то время как гетерозиготные индивидуумы имеют промежуточные уровни АПФ [18][19]. Отмечается, что лица, имеющие генотип АСЕ D/D, более склонны к ожирению, чем носители генотипов I/I и I/D [20]. Носительство аллеля D в генотипе полиморфного локуса rs4646994 гена АСЕ связано с увеличением активности сывороточного АПФ. Это отягощает течение артериальной гипертонии. В то же время в результате многочисленных одномоментных и когортных исследований подтверждена ассоциация ГБ, АнД и ожирения [21–23]. Помимо этого, доказана ассоциация носительства аллеля D в полиморфном локусе rs4646994 гена АСЕ с более тяжелым течением СД2 и атеросклероза сосудов различных локализаций [21][24]. В то же время в настоящее время крайне мало известно об ассоциации генетических факторов риска развития ожирения и ССЗ с АнД у мужчин. Актуальность настоящего исследования заключается в поиске генетических факторов (полиморфизма гена АСЕ) развития ожирения и АнД.

ЦЕЛЬ ИССЛЕДОВАНИЯ

Изучить ассоциацию носительства полиморфных вариантов локуса rs4646994 гена АСЕ с особенностями андрогенного и антропометрического статусов у мужчин.

МАТЕРИАЛЫ И МЕТОДЫ

Место и время проведения исследования

Место проведения. Исследование проведено на базе клиники ФГБНУ «Федеральный исследовательский центр фундаментальной и трансляционной медицины».

Время исследования. Набор материала продолжался с апреля 2020 г. по октябрь 2021 г.

Изучаемые популяции

Произведено изучение одной популяции мужчин — пациентов терапевтической клиники, проживающих на территории Сибири.

Критерии включения: 1) мужской пол; 2) возраст от 18 до 75 лет; 3) наличие как минимум одного хронического неинфекционного заболевания в анамнезе (ГБ, ишемическая болезнь сердца, дорсопатия, вегетососудистая дистония, гастроэзофагеальная рефлюксная болезнь, другая соматическая патология).

Критерии исключения: 1) врожденный АнД; 2) прием андрогенных или антиандрогенных препаратов; 3) вторичное ожирение; 4) СД 1 типа; 5) прием препаратов, влияющих на массу тела (антидепрессанты, нейролептики, аноретики, ингибиторы желудочно-кишечных липаз и др.); 6) хирургическое лечение ожирения в анамнезе; 7) злокачественные новообразования любой локализации на момент включения в исследование; 8) тяжелая органная недостаточность (хроническая сердечная недостаточность IIб–III стадии, хроническая дыхательная недостаточность 2–3-й степени, хроническая болезнь почек 4–5 стадии, хроническая печеночная недостаточность 2–4 стадии); 9) тяжелые инфекционные процессы в активной фазе (туберкулез, гепатиты В и С, ВИЧ-инфекция); 10) отказ от проведения антропометрии и/или сдачи крови.

Способ формирования выборки из изучаемой популяции

Выборка участников исследования сформирована сплошным методом из числа пациентов клиники, удовлетворяющих критериям включения.

Дизайн исследования

Проведено одноцентровое интервенционное одномоментное одновыборочное неконтролируемое пилотное исследование.

Описание медицинского вмешательства

Утром натощак (8:00–8:30) проводили антропометрическое обследование, измеряли: рост, массу тела (МТ), окружность груди (ОГ), талии (ОТ) и бедер (ОБ), расчетным методом определяли индекс массы тела (ИМТ) как отношение массы тела (кг) к росту (м) в квадрате (кг/м²). Проводили забор венозной крови из кубитальной вены для оценки гормональных показателей андрогенного статуса и взятие образца буккального эпителия для молекулярно-генетического исследования.

Методы

Критерии соответствия определены на основании паспортных данных при помощи ретроспективного анализа историй болезни участников исследования с учетом результатов рутинных общеклинических, лабораторных и инструментальных методов обследования.

Коморбидную отягощенность оценивали путем ретроспективного анализа истории болезни с расчетом индекса коморбидности по шкале CIRS.

На основании ИМТ выделяли нормальную (18,0–24,9 кг/м²), избыточную (25,0–29,9 кг/м²) МТ и ожирение (≥30,0 кг/м²).

Гормональные показатели андрогенного статуса определяли иммуноферментным методом с использованием отечественных и зарубежных реактивов на микропланшетном иммуноферментном анализаторе «Immunochem-2100» (HTI, США). В сыворотке крови определяли содержание общего тестостерона (Тобщ., референсный интервал 12,1–38,3 нмоль/л); секс-стероид-связывающего глобулина (СССГ, референсный интервал 12,4–78,4 нмоль/л); дегидроэпиандростерон-сульфата (ДГЭА-С, референсный интервал 2,71–11,4 мкмоль/л); эстрадиола (Е2, референсный интервал 30,1–68,4 пг/мл); лютеинизирующего гормона (ЛГ, референсный интервал 0,8–8,4 мМЕ/мл). Определение свободного тестостерона (Тсв., референсный интервал ≥0,243 нмоль/л) производили расчетным методом с использованием калькулятора на сайте ISSAM (www.issam.ch). Частоту встречаемости АнД учитывали по критериям Тобщ.≤12,0 нмоль/л, Тсв.<0,243 нмоль/л и ДГЭА-С<2,71 мкмоль/л; гиперэстрогении (ГЭ) — по критерию Е2>68,4 пг/мл.

Для оценки генетических особенностей пациентов проводили молекулярно-генетическое исследование с определением наличия полиморфизма rs4646994 гена ACE. Образцы буккального эпителия исследовали не позднее 14 дней с момента забора материала, образцы сывороток крови — одномоментно после завершения сбора всего биологического материала. ДНК выделяли из клеток буккального эпителия с использованием коммерческого набора «РеалБест ДНК-экспресс» (Россия). Выявление носительства полиморфизма rs4646994 гена ACE проведено при помощи аллель-специфичной ПЦР в режиме реального времени (Real-time PCR) с использованием интеркалирующего красителя SYBR Green c последующим электрофорезом продуктов ПЦР в полиакриламидном геле.

Структура олигонуклеотидов, использованных для проведения ПЦР:

F — 5′-CTGGAGACCACTCCCATCCTTTCT-3′;

R — 5′-ATGTGGCCATCACATTCGTCAGAT-3′.

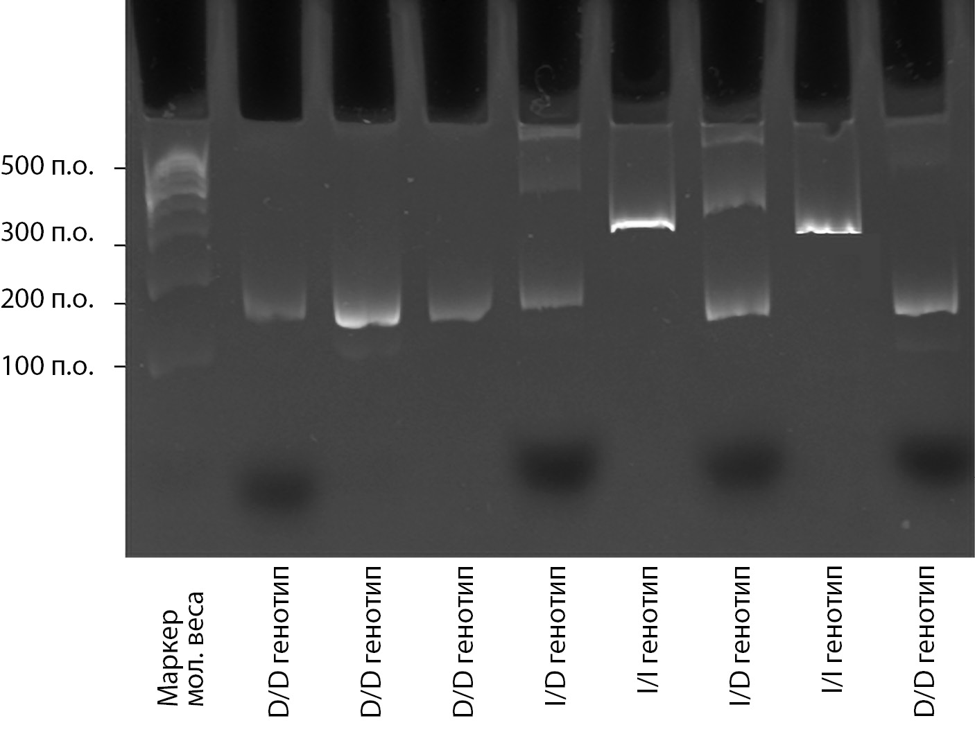
Наличие D- и I-аллелей распознавали по выявлению на электрофореграмме ДНК продуктов ПЦР размером 190 и 490 пар оснований соответственно (рис. 1).

Рисунок 1. Электрофорез продуктов ПЦР.
Figure 1. Electrophoresis of PCR products

Анализ в подгруппах

На основании носительства полиморфизма rs4646994 гена ACE были выделены следующие группы (Г) пациентов: Г1 — гомозиготы по дикому типу (I/I), Г2 — гетерозиготы (I/D), Г3 — гомозиготы по мутантному аллелю (D/D).

Статистический анализ

Принципы расчета размера выборки: предварительно не рассчитывали.

Методы статистического анализа данных: статистическая обработка данных проведена с использованием программ Excel 2013 (Microsoft, США) и Statistica 10 (StatSoft, США). Для оценки нормальности распределения выборки был использован критерий Колмогорова–Смирнова с поправкой Лиллиефорса, который указал на отличное от нормального распределение большинства изученных параметров. Количественные характеристики представлены в виде медианы, 25 и 75 перцентилей — Me [Ql; Qh]), в также абсолютного (n) и относительного числа случаев (%). Парное сравнение двух независимых групп по количественным признакам проведено с использованием критерия Манна–Уитни, при сравнении 3 независимых групп вводили поправку Бонферрони на множественное сравнение. Сравнение независимых групп по качественным признакам проведено при помощи метода χ2 с поправкой Йейтса на непрерывность. Силу ассоциации носительства определенных аллельных вариантов с фенотипическими проявлениями оценивали с использованием корреляционного анализа и расчета коэффициента корреляции Спирмена r. За критический уровень значимости было принято p<0,05; при множественном сравнении — p<0,017.

Этическая экспертиза

Протокол исследования был одобрен локальным этическим комитетом (протокол №23 от 9.12.2021) Федерального исследовательского центра фундаментальной и трансляционной медицины. Все пациенты перед включением в исследование были ознакомлены с целью, задачами и ходом исследования и дали добровольное информированное согласие на участие в исследовании.

РЕЗУЛЬТАТЫ

В исследовании приняли участие 82 пациента. Средний возраст обследованных мужчин в выборке составил 54 [ 45; 60] года. Суммарный уровень коморбидной отягощенности по шкале CIRS составил 9,0 [ 6,0; 10,0] балла, а в группах 1, 2 и 3 — 8,0 [ 5,0; 10,0], 8,0 [ 5,0; 10,0] и 9,0 [ 6,5; 11,0] балла соответственно и не различался между выделенными группами (p1–2=0,932; p1–3=0,523; p1–3=0,360). Доля пациентов с избыточной МТ и ожирением в общей выборке составила 39,5 и 48,2% соответственно. Процент АнД по критериям Тобщ., Тсв. и ДГЭА-С составил 40,0, 48,9 и 96% соответственно; ГЭ — 26,5%. По результатам генетического исследования в группу 1 (I/I, Г1) были включены 17 пациентов, в группу 2 (I/D, Г2) — 41 человек, в группу 3 (D/D, Г3) — 24 человека. У обследованных нами пациентов частота встречаемости варианта I/I локуса rs4646994 гена АСЕ составила 20,7% общего числа мужчин, варианта I/D — 50,0%, а варианта D/D — 29,3%.

В выделенных группах пациентов обнаружены отличия в антропометрическом статусе. Величины показателей массы тела пациентов, ОГ, ОТ, ОБ из Г2 и Г3 достоверно выше, чем из Г1 (табл. 1). Соответственно этому наблюдались и статистически значимые различия в значениях ИМТ между Г1 и Г3, Г1 и Г2. В прямой зависимости от числа D-аллелей в генотипе доля пациентов с избыточной массой тела и ожирением нарастала от 64,7% в Г1, 90,3% в Г2 до 100% в Г3 (рис. 2).

Таблица 1. Клинико-антропометрическая и гормональная характеристика обследованных пациентов мужского пола в выделенных группах (Me [ Ql; Qh])
Table 1. Clinical, anthropometric and hormonal characteristics of the examined male patients in the selected groups (Me [ Ql; Qh])

Параметр

Группа 1

(I/I) n=17

Группа 2

(I/D) n=41

Группа 3

(D/D) n=24

P

Г1/Г3

Г1/Г2

Г2/Г3

Возраст, лет

57 [ 38; 61]

54 [ 45; 59]

53 [ 43,5; 60]

0,989

0,573

0,520

Рост, см

175 [ 170,5; 180]

175 [ 172; 182]

176 [ 173; 182,3]

0,475

0,516

0,961

МТ, кг

79,3 [ 70,2; 94,3]

91,6 [ 84,2; 103,6]

96,2 [ 85,5; 117,6]

0,003

0,006

0,367

ОГ, см

101 [ 99; 111]

112 [ 105; 117]

112,5 [ 108; 118,8]

0,001

0,003

0,310

ОТ, см

94 [ 85,5; 105]

105 [ 97; 109,5]

105,3 [ 98,3; 118,5]

0,003

0,018

0,269

ОБ, см

101 [ 97,5; 106,5]

106,5 [ 104,5; 113]

109,5 [ 103,3; 120]

0,006

0,015

0,484

ИМТ, кг/м²

26,42 [ 24,5; 29,7]

30,66 [ 27,1; 33,1]

31,25 [ 27,1; 38,7]

0,004

0,009

0,327

Тобщ, нмоль/л

17,6 [ 15,1; 23,3]

12,3 [ 8,4; 20,7]

9,6 [ 8,0; 12,6]

0,003

0,016

0,208

СССГ, нмоль/л

48,7 [ 34,24; 55,92]

29,18 [ 22,35; 34,35]

37,18 [ 22,12; 41,65]

0,142

0,008

0,145

Тсв, нмоль/л

0,306 [ 0,246; 0,344]

0,273 [ 0,203; 0,35]

0,200 [ 0,186; 0,238]

0,005

0,421

0,038

ДГЭА-С, мкмоль/л

1,92 [ 0,83; 2,12]

1,19 [ 0,79; 2,04]

1,19 [ 0,76; 1,4]

0,183

0,753

0,296

Е2, пг/мл

52,5 [ 47,4; 66,7]

53,7 [ 38,5; 64,5]

70,9 [ 54,6; 80]

0,207

0,875

0,145

ЛГ, мМЕ/мл

6,5 [ 4,9; 7,4]

5,7 [ 3,8; 6,9]

6,8 [ 4,4; 7,8]

1,000

0,316

0,372

Примечание. Полужирным шрифтом выделены статистически значимые уровни достоверности; МТ — масса тела, ОГ — окружность груди, ОТ — окружность талии, ОБ — окружность бедер, ИМТ — индекс массы тела, Тобщ — общий тестостерон, СССГ — секс-стероид-связывающий глобулин, Тсв — свободный тестостерон, ДГЭА-С — дегидроэпиандростерон-сульфат, Е2 — эстрадиол, ЛГ — лютеинизирующий гормон.

Рисунок 2. Соотношение пациентов с нормальной (ИМТ<25, зеленый цвет), избыточной массой тела (ИМТ 25–29,9; оранжевый цвет) и ожирением (ИМТ≥30, синий цвет) в зависимости от варианта локуса rs4646994 гена ACE.
Figure 2. The ratio of patients with normal (BMI<25, green), overweight (BMI 25–29.9; orange) and obese (BMI>30, blue) depending on the variant of the rs4646994 locus of the ACE gene.

Данные сведения подтверждаются статистически значимыми высокими (более 0,300) положительными значениями величин коэффициентов корреляции между носительством аллеля D локуса rs4646994 и повышенными значениями ИМТ, а также остальных антропометрических характеристик (табл. 2).

Таблица 2. Величины коэффициентов корреляции Спирмена между носительством мутантного аллеля D полиморфизма rs4646994 гена ACE и изученными антропометрическими и гормональными показателями
Table 2. Values of the Spearman correlation coefficients between the carriage of the mutant allele D of the rs4646994 polymorphism of the ACE gene and the studied anthropometric and hormonal parameters

Параметр

rs4646994 гена ACE

r

p

Рост, см

0,084

0,453

МТ, кг

0,351

0,001

ОГ, см

0,382

0,0003

ОТ, см

0,320

0,003

ОБ, см

0,315

0,004

ИМТ, кг/м²

0,335

0,002

Тобщ, нмоль/л

-0,408

0,003

СССГ, нмоль/л

-0,353

0,013

Тсв, нмоль/л

-0,246

0,088

ДГЭА-С, мкмоль/л

-0,111

0,447

Е2, пг/мл

0,054

0,714

ЛГ, мМЕ/мл

-0,098

0,497

АнД по критерию Тобщ

0,245

0,086

АнД по критерию Тсв

0,212

0,144

АнД по критерию ДГЭА-С

0,105

0,471

ГЭ

0,037

0,803

Примечание: полужирным шрифтом выделены статистически значимые (р<0,05) корреляционные связи.

При анализе гормональных характеристик андрогенного статуса у обследованных мужчин было отмечено, что пациенты из Г1 по сравнению с Г3 имеют статистически значимо более высокие уровни как общего, так и свободного тестостерона (табл. 1). Доля пациентов со сниженным уровнем Тобщ. увеличивается соответственно количеству аллелей D в генотипе: 12,5% в Г1, 33,3% в Г2 и 66,7% в Г3 (рис. 3).

Рисунок 3. Соотношение пациентов с нормальным и пониженным содержанием общего тестостерона сыворотки в зависимости от варианта локуса rs4646994 гена АСЕ (оранжевый цвет — сниженное содержание общего тестостерона, синий — нормальное содержание гормона в сыворотке).
Figure 3. The ratio of patients with normal and low levels of total testosterone in serum, depending on the variant of the rs4646994 locus of the ACE gene (orange color — reduced levels of total testosterone, blue — normal levels of the hormone in serum).

Доля пациентов со сниженным уровнем Тсв. также увеличивается соответственно количеству аллелей D в генотипе: 25,0% в Г1, 37,0% в Г2 и 85,7% в Г3 (рис. 4). Данные сведения подтверждаются отрицательными величинами коэффициентов корреляции между носительством аллеля D локуса rs4646994 и уровнем Тсв. сыворотки (табл. 2).

Рисунок 4. Соотношение пациентов с нормальным и пониженным содержанием свободного тестостерона сыворотки в зависимости от варианта локуса rs4646994 гена АСЕ (оранжевый цвет — сниженное содержание свободного тестостерона, синий — нормальное содержание гормона в сыворотке).
Figure 4. The ratio of patients with normal and low levels of free testosterone in serum, depending on the variant of the rs4646994 locus of the ACE gene (orange color — reduced levels of free testosterone, blue — normal levels of the hormone in serum).

Сведения о влиянии носительства аллеля D на уровень СССГ противоречивы: с одной стороны, обнаружены статистически значимо более высокие уровни СССГ в Г1 (медиана 48,7 нмоль/л) по сравнению с Г2 (медиана 29,18 нмоль/л), с другой стороны — различия между Г1 и Г3 статистически незначимы. Однако при этом выявлена достоверная обратная корреляционная связь между носительством аллеля D в исследуемом локусе и уровнем СССГ. Ввиду этого утверждение об однозначном влиянии носительства аллеля D на уровень СССГ сыворотки затруднительно.

Статистически значимых различий между группами в концентрациях ДГЭА-С, ЛГ и Е2 в сыворотке не получено. Достоверных корреляционных связей с другими изученными параметрами не обнаружено (табл. 2).

ОБСУЖДЕНИЕ РЕЗУЛЬТАТОВ

Репрезентативность выборок

Репрезентативность выборки ограничена малой численностью обследованных пациентов и одноцентровым дизайном исследования. Поэтому полученные данные могут быть интерпретированы с осторожностью и требуют подтверждения путем увеличения объема выборки за счет пациентов различных клиник г. Новосибирска с включением малых этнических групп, проживающих на территории Сибири, а также изучения роли других полиморфизмов гена ACE.

Сопоставление с другими публикациями

Полученные результаты аналогичны данным других авторов. Так, в работе [24] показано, что у здоровых лиц частота вариантов I/I, I/D и D/D составляла 15,9, 54,3 и 29,8% соответственно, при этом распределение вариантов I/D гена ACE у пациентов с острой сердечной недостаточностью (ОСН) по сравнению с отсутствием ОСН показало одинаковую частоту указанных вариантов, и только у пациентов с ОСН, но со сниженной фракцией выброса, чаще выявлялся полиморфизм D/D гена АСЕ. Установлено, что в общей выборке лиц сибирской популяции частота генотипов I/D полиморфизма гена ACE составила 24,5% для гомозиготного генотипа II, для гетерозиготного генотипа ID — 53,1 и 22,4% для генотипа DD [25]. Это приблизительно соответствует полученному нами распределению: 17 человек (20,8% общей выборки) в группе гомозигот I/I, 41 человек (50% общей выборки) в группе гетерозигот I/D, 24 человека (29,2% общей выборки) в группе гомозигот D/D.

В работе [17] было показано, что среди здоровых лиц вариант D/D ассоциирован с более высоким артериальным давлением и большей величиной относительной массы жира, а вариант I/I локуса rs4646994 гена АСЕ ассоциирован с более низким кардиометаболическим риском. Авторы также показали, что существует половой диморфизм во влиянии полиморфизма гена АСЕ I/D на окисление жиров. На ассоциацию носительства аллеля D с ожирением указывается в отечественных [26] и зарубежных работах [21][27]. Так, в работе Мулеровой Т.А приводится соотношение количества пациентов с метаболическим синдромом согласно генотипу АСЕ: у пациентов с генотипом I/I — 23,4%, у пациентов с генотипом I/D — 51,1%, с генотипом D/D — 25,5% [26]. В современной литературе нет упоминания о влиянии полиморфизма локуса rs4646994 на андрогенный статус у мужчин. Однако данную гипотезу косвенно подтверждает то, что носительство варианта D/D связано с повышением уровня АПФ сыворотки [19], а также сведения о взаимосвязи АнД и гиперактивации РААС (в частности АПФ) [28].

Согласно исследованию [29], в котором анализировалось влияние полиморфизмов повторов CAG и GGN гена рецептора андрогенов на окисление жиров, указанный половой диморфизм можно объяснить гормональными различиями между мужчинами и женщинами. В контексте с этими сведениями находятся результаты наших исследований о том, что имеется ассоциация аллеля D полиморфного локуса rs4646994 гена АСЕ с избыточной массой тела и АнД. Андрогены, участвующие в эндокринной регуляции сперматогенеза, необходимы для половой дифференцировки и мужского гаметогенеза, при этом биологическая функция андрогенов (в частности, тестостерона) зависит от андрогенного рецептора, кодируемого соответствующим геном, который содержит полиморфные тринуклеотидные повторы CAG, кодирующие полиглутаминовый участок в первом экзоне гена [30]. Имеются сведения, что полиморфизм повторов CAG связан с раком предстательной железы и мужским бесплодием. Однако мы не нашли сведений об ассоциации этого полиморфизма с избыточной МТ и ожирением.

Обсуждение основного результата исследования

У носителей полиморфизма D/D гена АСЕ повышена продукция АПФ, что приводит к увеличению уровня ангиотензина II и усугублению течения ГБ. В свою очередь, увеличение МТ за счет жирового компонента для его адекватного кровоснабжения требует увеличения объема циркулирующей крови и повышенного артериального давления. На этом фоне повышение периферического сосудистого сопротивления сопровождается гипоксией тканей, которая инициирует процессы фибро- и адипогенеза, хронического воспаления, ассоциированного с выработкой провоспалительных цитокинов, замыкая порочный круг [31] Приведенное выше описание может частично объяснить предрасположенность к накоплению избыточной МТ у носителей полиморфного варианта D/D гена АСЕ.

Статистически значимые различия в антропометрическом и гормональном статусах между Г1, с одной стороны, Г2 и Г3 — с другой стороны, а также результаты корреляционного анализа свидетельствуют об однонаправленной ассоциации аллеля D полиморфизма rs4646994 гена АСЕ с повышенным риском АнД и избыточной МТ. Однако при этом отличий между группами Г2 и Г3 не было обнаружено, следовательно, предполагать большую выраженность АнД и избыточной МТ у носителей генотипа D/D по сравнению с носителями генотипа I/D не представляется возможным (см. табл. 1). Схожие результаты получили авторы в исследовании влияния носительства полиморфных вариантов локуса rs4646994 гена ACE на тяжесть течения атеросклероза сосудов у пациентов с СД2: разница частот встречаемости дислипидемии у пациентов-носителей генотипа D/D и I/D была статистически незначимой [32]. Можно предположить, что для неблагоприятных фенотипических проявлений ввиде АнД, ССЗ, ожирения важно присутствие хотя бы одного аллеля D в локусе rs4646994 гена АСЕ, а увеличение их числа не имеет «накопительного» эффекта.

Клиническая значимость результатов

Полученные нами результаты подтверждают, что полиморфизм I/D гена АСЕ может влиять на предрасположенность к избыточной МТ, ожирению и АнД. При этом следует помнить, что генетика не полностью определяет фенотип людей, поскольку факторы окружающей среды играют в этом крайне важную роль. Особенно это касается ожирения, в развитии которого такие социальные факторы, как избыточное неадекватное энергетическим затратам питание и низкая физическая активность, имеют во многом определяющее значение [1].

Ограничения исследования

В данной работе представлена зависимость антропометрических показателей от генетического полиморфизма. Однако ожирение и андрогенный статус зависят и от таких факторов, как образ жизни, характер питания, приверженность к лечению сопутствующей соматической патологии, не учтенных в этом исследовании.

Направления дальнейших исследований

В дальнейшем планируется анализ взаимосвязи андрогенного и антропометрического статусов, а также зависимости качества жизни мужчин от полиморфных вариантов других генов, продукты которых участвуют в обмене веществ и поддержании гомеостаза.

ЗАКЛЮЧЕНИЕ

Носительство аллеля D полиморфизма rs4646994 гена АСЕ ассоциировано со сниженными уровнями общего и свободного тестостерона сыворотки, а также предрасполагает к накоплению избыточной МТ и ожирению. Механизмы данного влияния не вполне понятны. Не исключено, что появление у пациента ожирения приводит к стимуляции РААС, а носительство неблагоприятного аллеля D гена ACE лишь усиливает образование АГ II из АГ I. При этом возможность связи количества аллелей D в локусе гена АСЕ (1 или 2) с выраженностью АнД и избытком МТ требует проведения дальнейших исследований.

ДОПОЛНИТЕЛЬНАЯ ИНФОРМАЦИЯ

Источники финансирования. Работа выполнена с использованием оборудования ЦКП «Протеомный анализ», поддержанного финансированием Минобрнауки России (соглашение № 075-15-2021-691).

Конфликт интересов. Авторы декларируют отсутствие явных и потенциальных конфликтов интересов, связанных с содержанием настоящей статьи.

Участие авторов. Мосалев К.И. — получение, анализ данных, интерпретация результатов, написание статьи; Янковская С.В. — концепция исследования, анализ данных, написание статьи; Иванов И.Д. — получение и анализ данных, написание статьи; Пинхасов Б.Б. — дизайн исследования, внесение в рукопись существенных правок с целью повышения научной ценности статьи; Селятицкая В.Г. — концепция и дизайн исследования, написание статьи.

Все авторы одобрили финальную версию статьи перед публикацией, выразили согласие нести ответственность за все аспекты работы, подразумевающую надлежащее изучение и решение вопросов, связанных с точностью или добросовестностью любой части работы.

Список литературы

1. Nyberg ST, Batty GD, Pentti J, et al. Obesity and loss of diseasefree years owing to major non-communicable diseases: a multicohort study. Lancet Public Heal. 2018;3(10):e490-e497. doi: https://doi.org/10.1016/S2468-2667(18)30139-7

2. Salvestrini V, Sell C, Lorenzini A. Obesity May Accelerate the Aging Process. Front Endocrinol. 2019;10(10):e490-e497. doi: https://doi.org/10.3389/fendo.2019.00266

3. Васильева О.В., Селятицкая В.Г. Связь ожирения с уровнем тестостерона, признаками тревоги, депрессии и ускоренного старения у мужчин // Сибирский научный медицинский журнал. — 2018. — Т. 38. — №1. — C. 81-86. doi: https://doi.org/10.15372/SSMJ20180113

4. Селятицкая В.Г., Епанчинцева Е.А., Новикова Е.Г., и др. Гормональная характеристика андрогенного статуса у мужчин разных возрастных групп // Успехи геронтологии. — 2018. — Т. 32. — №5. — С. 737-742.

5. Сихымбаев М.Д., Оспанова Д.А., Гржибовский А.М. Влияние процессов старения на репродуктивную функцию у мужчин // Science & Healthcare. — 2021. — Т. 23. — №2. — С. 58-65. doi: https://doi.org/10.34689/SH.2021.23.2.006

6. Goodale T, Sadhu A, Petak S, Robbins R. Testosterone and the Heart. Methodist Debakey Cardiovasc J. 2017;13(2):68-72. doi: https://doi.org/10.14797/mdcj-13-2-68

7. Ефремов Е.А., Шеховцов С.Ю., Бутов А.О. Современный взгляд на физиологические эффекты тестостерона у мужчин // Экспериментальная и клиническая урология. — 2017. — №3. — С. 64-69.

8. Yuxin L, Chen L, Xiaoxia L, et al. Research Progress on the Relationship between Obesity-Inflammation-Aromatase Axis and Male Infertility. Oxid Med Cell Longev. 2021;2021(2):1-7. doi: https://doi.org/10.1155/2021/6612796

9. Reyes-Farias M, Fos-Domenech J, Serra D, et al. White adipose tissue dysfunction in obesity and aging. Biochem Pharmacol. 2021;192(2):114723. doi: https://doi.org/10.1016/j.bcp.2021.114723

10. Гусова З.Р., Дзантиева Е.О. Роль висцерального ожирения и дефицита тестостерона в формировании метаболических нарушений у мужчин // Вестник урологии. — 2019. — Т 7. — №3. — С. 14-22. doi: https://doi.org/10.21886/2308-6424-2019-7-3-14-22

11. Бабенко А.Ю. Возрастной дефицит андрогенов — на пике противоречий // РМЖ. Медицинское обозрение. — 2019. — Т. 10. — №2. — С. 92-95.

12. Mushannen T, Cortez P, Stanford FC, Singhal V. Obesity and hypogonadism—a narrative review highlighting the need for high-quality data in adolescents. Children. 2019;6(5):63. doi: https://doi.org/10.3390/children6050063

13. Бородина С.В., Гаппарова К.М., Зайнудинов З.М., и др. Генетические предикторы развития ожирения // Ожирение и метаболизм. — 2016. — Т. 13. — №2. — С. 7-13. doi: https://doi.org/10.14341/OMET201627-13

14. Киреева В.В., Лепехова С.А., Мансурова Л.Н. и др. Эпигенетические и молекулярно-генетические аспекты ожирения как фактора риска сердечно-сосудистых катастроф // Евразийский Союз Ученых. — 2020. — Т. 7. — №16. — С. 39-44. doi: https://doi.org/10.31618/ESU.2413-9335.2020.5.76.926

15. Costa PB, Aranalde LC, Correia PE, et al. Combination of ACTN3 R577X and ACE I/D polymorphisms as a tool for prediction of obesity risk in children. Int J Obes. 2021;45(2):337-341. doi: https://doi.org/10.1038/s41366-020-00668-3

16. Younes S, Ibrahim A, Al-Jurf R, Zayed H. Genetic polymorphisms associated with obesity in the Arab world: a systematic review. Int J Obes. 2021;45(9):1899-1913. doi: https://doi.org/10.1038/s41366-021-00867-6

17. Montes-de-Oca-García A, Perez-Bey A, Velázquez-Díaz D, et al. Influence of ACE gene I/D polymorphism on cardiometabolic risk, maximal fat oxidation, cardiorespiratory fitness, diet and physical activity in young adults. Int J Environ Res Public Health. 2021;18(7):3443. doi: https://doi.org/10.3390/ijerph18073443

18. Rigat B, Hubert C, Alhenc-Gelas F, et al. An insertion/deletion polymorphism in the angiotensin I-converting enzyme gene accounting for half the variance of serum enzyme levels. J Clin Invest. 1990;86(4):1343-1346. doi: https://doi.org/10.1172/JCI114844

19. Martínez-Rodríguez N, Posadas-Romero C, Villarreal-Molina T, et al. Single nucleotide polymorphisms of the Angiotensin-Converting Enzyme (ACE) gene are associated with essential hypertension and increased ACE enzyme levels in Mexican individuals. PLoS One. 2013;8(5):e65700. doi: https://doi.org/10.1371/journal.pone.0065700

20. Sabir JS, Omri A El, Ali Khan I, et al. ACE insertion/deletion genetic polymorphism, serum ACE levels and high dietary salt intake influence the risk of obesity development among the Saudi adult population. J Renin-Angiotensin-Aldosterone Syst. 2019;20(3). doi: https://doi.org/10.1177/1470320319870945

21. Nauli AM, Matin S. Why do men accumulate abdominal visceral fat? Front Physiol. 2019;10:1486. doi: https://doi.org/10.3389/fphys.2019.01486

22. Rezanezhad B, Borgquist R, Willenheimer R, Elzanaty S. The Association between serum testosterone and risk factors for atherosclerosis. Curr Urol. 2019;13(2):101-106. doi: https://doi.org/10.1159/000499285

23. Qu M, Feng C, Wang X, et al. Association of serum testosterone and luteinizing hormone with blood pressure and risk of cardiovascular disease in middle-aged and elderly men. J Am Heart Assoc., 2021;10(7):e019559. doi: https://doi.org/10.1161/JAHA.120.019559.

24. Kozhukhov S, Parkhomenko A, Dovganych N, Lutay YA. ACE Insertion/ Deletion gene polymorphism aassociations in STEMI Patients. Eur Heart J. 2021;42(S1):724. doi: https://doi.org/10.1093/eurheartj/ehab724.1335

25. Реброва Т.Ю., Муслимова Э.Ф., Панова Н.В. и др. I/D полиморфизм гена ангиотензинпревращающего фермента у больных ИБС разного пола и возраста // Российский кардиологический журнал. — 2014. — Т. 19. — №10. — С. 77-81. doi: https://doi.org/10.15829/1560-4071-2014-10-77-81

26. Мулерова Т.А., Цыганкова Д.П., Огарков М.Ю. Связь полиморфных вариантов генов-кандидатов АСЕ, AGT, AGTR1, MTHFR и NOS3 с артериальной гипертензией в рамках метаболического синдрома в коренной малочисленной популяции шорцев // Ожирение и метаболизм. — 2021 — Т. 18. — №2. — С. 190-197. doi: https://doi.org/10.14341/omet12295

27. Mehri S, Hammami M. ACE gene I/D polymorphism and obesity in patients with type 2 diabetes mellitus. 2017 International Conference on Engineering & MIS. 2017:1-4. doi: https://doi.org/10.1109/ICEMIS.2017.8273107

28. Hanson AE, Perusquia M, Stallone JN. Hypogonadal hypertension in male Sprague-Dawley rats is renin-angiotensin system-dependent: role of endogenous androgens. Biol Sex Differ. 2020;11(1):48. doi: https://doi.org/10.1186/s13293-020-00324-5

29. Ponce-González JG, Rodríguez-Garcia L, Losa-Reyna J, et al. Androgen receptor gene polymorphism influence fat accumulation: A longitudinal study from adolescence to adult age. Scand J Med Sci Sports. 2016;26(11):1313-1320. doi: https://doi.org/10.1111/sms.12587

30. Metin Mahmutoglu A, Hurre Dirie S, Hekim N, et al. Polymorphisms of androgens‐related genes and idiopathic male infertility in Turkish men. Andrologia. 2022;54(2):1313-1320. doi: https://doi.org/10.1111/and.14270

31. Галлямов М.Г., Сагинова Е.А., Северова М.М. Значение факторов гипоксии и дисфункции эндотелия в поражении почек при ожирении // Терапевтический архив. — 2013. — Т. 85. — №6. — С. 31-37.

32. Raza ST, Abbas S, Siddiqi Z, et al. Association between ACE (rs4646994), FABP2 (rs1799883), MTHFR (rs1801133), FTO (rs9939609) genes polymorphism and type 2 diabetes with dyslipidemia. Int J Mol Cell Med. 2017;6(2):121-130. doi: https://doi.org/10.22088/acadpub.BUMS.6.2.6


Об авторах

К. И. Мосалев
Федеральный исследовательский центр фундаментальной и трансляционной медицины; Новосибирский государственный университет
Россия

Мосалев Кирилл Игоревич, клинический ординатор

630117, Новосибирск, ул. Тимакова, д. 2 

eLibrary SPIN: 7500-8330



С. В. Янковская
Федеральный исследовательский центр фундаментальной и трансляционной медицины
Россия

Янковская Светлана Валерьевна, аспирант

Новосибирск

eLibrary SPIN: 6478-6922



И. Д. Иванов
Федеральный исследовательский центр фундаментальной и трансляционной медицины
Россия

Иванов Игорь Диадорович, кандидат биологических наук

Новосибирск

eLibrary SPIN: 2427-3279;

Scopus Author ID: 125626



Б. Б. Пинхасов
Федеральный исследовательский центр фундаментальной и трансляционной медицины
Россия

Пинхасов Борис Борисович, доктор медицинских наук 

Новосибирск

eLibrary SPIN: 4848-4370



В. Г. Селятицкая
Федеральный исследовательский центр фундаментальной и трансляционной медицины
Россия

Селятицкая Вера Георгиевна, доктор биологических наук, профессор 

Новосибирск

Researcher ID: ААМ-4242-2021;

Scopus Author ID: 6602668364;

eLibrary SPIN: 9992-0023



Дополнительные файлы

1. Рисунок 1. Электрофорез продуктов ПЦР.
Тема
Тип Исследовательские инструменты
Посмотреть (128KB)    
Метаданные ▾
2. Рисунок 2. Соотношение пациентов с нормальной (ИМТ<25, зеленый цвет), избыточной массой тела (ИМТ 25–29,9; оранжевый цвет) и ожирением (ИМТ≥30, синий цвет) в зависимости от варианта локуса rs4646994 гена ACE.
Тема
Тип Исследовательские инструменты
Посмотреть (137KB)    
Метаданные ▾
3. Рисунок 3. Соотношение пациентов с нормальным и пониженным содержанием общего тестостерона сыворотки в зависимости от варианта локуса rs4646994 гена АСЕ (оранжевый цвет — сниженное содержание общего тестостерона, синий — нормальное содержание гормона в сыворотке).
Тема
Тип Исследовательские инструменты
Посмотреть (136KB)    
Метаданные ▾
4. Рисунок 4. Соотношение пациентов с нормальным и пониженным содержанием свободного тестостерона сыворотки в зависимости от варианта локуса rs4646994 гена АСЕ (оранжевый цвет — сниженное содержание свободного тестостерона, синий — нормальное содержание гормона в сыворотке).
Тема
Тип Исследовательские инструменты
Посмотреть (128KB)    
Метаданные ▾

Рецензия

Для цитирования:


Мосалев К.И., Янковская С.В., Иванов И.Д., Пинхасов Б.Б., Селятицкая В.Г. Ассоциация носительства полиморфизма rs4646994 гена АСЕ с ожирением и андрогенным дефицитом у мужчин. Ожирение и метаболизм. 2022;19(3):271-279. https://doi.org/10.14341/omet12843

For citation:


Mosalev K.I., Yankovskaya S.V., Ivanov I.D., Pinkhasov B.B., Selyatitskaya V.G. Association of сarriage of the rs4646994 polymorphism of the ACE gene with obesity and androgen deficiency in men. Obesity and metabolism. 2022;19(3):271-279. (In Russ.) https://doi.org/10.14341/omet12843

Просмотров: 1141


ISSN 2071-8713 (Print)
ISSN 2306-5524 (Online)