Preview

Ожирение и метаболизм

Расширенный поиск

Опыт лечения антагонистом рецепторов гормона роста при наследственной форме акромегалии: клинические случаи

https://doi.org/10.14341/omet12831

Содержание

Перейти к:

Аннотация

Акромегалия — тяжелое нейроэндокринное заболевание, вызванное хронической чрезмерной продукцией соматотропного гормона (СТГ), характеризующееся специфическими изменениями внешности, нарушениями метаболизма. В 95% случаев причина патологии — СТГ-продуцирующие аденомы гипофиза. Приоритетный метод лечения при акромегалии — трансназальная транссфеноидальная аденомэктомия. При невозможности проведения нейрохирургического вмешательства для предотвращения прогрессирования заболевания и развития осложнений пациентам рекомендована лекарственная терапия аналогами соматостатина длительного действия, а при их низкой эффективности возможно дополнительное применение лучевой терапии на область новообразования. Применение относительно новой группы препаратов, антагонистов рецепторов СТГ, а именно пэгвисоманта, с целью медикаментозного лечения акромегалии демонстрирует высокую эффективность даже в случаях агрессивных форм, резистентных к другим видам лечения. В данной статье приведены два клинических случая наследственной акромегалии, в которых именно инициация терапии пэгвисомантом привела к достижению клинико-лабораторной ремиссии акромегалии у пациентов с агрессивной формой заболевания, сопровождающейся продолженным ростом остаточной ткани новообразования и сохранением его секретирующей способности даже после хирургического, лучевого и длительного медикаментозного лечения аналогами соматостатина. Результаты приведенных клинических случаев подтверждают успешность моно- или комбинированной (при условии сохранения продолженного роста новообразования) терапии препаратом из группы антагонистов рецепторов СТГ пэгвисомантом, особенно в случае агрессивного течения акромегалии.

Для цитирования:


Дзеранова Л.К., Доровских А.В., Пигарова Е.А., Пржиялковская Е.Г., Шутова А.С., Евлоева М.И., Григорьев А.Ю., Азизян В.Н., Иващенко О.В. Опыт лечения антагонистом рецепторов гормона роста при наследственной форме акромегалии: клинические случаи. Ожирение и метаболизм. 2022;19(2):189-197. https://doi.org/10.14341/omet12831

For citation:


Dzeranova L.K., Dorovskikh A.V., Pigarova E.A., Przhiyalkovskaya E.G., Shutova A.S., Yevloyeva M.I., Grigoriev A.Yu., Azizyan V.N., Ivashchenko O.V. Experiense of treatment with a growth hormone receptor antagonist in patients with hereditary form of acromegaly: clinical cases. Obesity and metabolism. 2022;19(2):189-197. (In Russ.) https://doi.org/10.14341/omet12831

АКТУАЛЬНОСТЬ

Выпадение полей и снижение остроты зрения, выраженная, не купируемая приемом анальгетиков головная боль, чрезмерная потливость, изменение внешности и снижение тембра голоса, боли в височно-нижнечелюстных суставах, нарушение прикуса, храп, ночное апноэ, нарушение половой функции (у женщин — нарушение менструального цикла по типу аменореи, у мужчин — эректильная дисфункция, бесплодие) могут заставить пациентов обратиться к врачам разных специальностей. Однако указанные жалобы в сочетании с такими внешними признаками, как гипертрофия и отечность мягких тканей лица, укрупнение надбровных дуг, носа, ушных раковин, губ, прогнатизм и диастема, диспропорционально увеличенные конечности служат основанием для того, чтобы предположить эндокринную этиологию заболевания и рекомендовать консультацию профильного специалиста.

Акромегалия — тяжелое нейроэндокринное заболевание, вызванное хронической чрезмерной продукцией соматотропного гормона (СТГ), характеризующееся специфическими изменениями внешности, патологией костной ткани, сердечно-сосудистой системы, органов зрения, нарушениями метаболизма (углеводного, жирового, водно-солевого). В 95% случаев причина патологии — СТГ-продуцирующие аденомы гипофиза, визуализировать которые возможно при проведении МРТ головного мозга, предпочтительнее с контрастным усилением, а активность новообразования подтверждается повышенным уровнем инсулиноподобного фактора роста -1 (ИФР-1) и отсутствием целевого подавления секреции гормона роста после нагрузки глюкозой.

В Российской Федерации, согласно данным регистра больных с образованиями гипоталамо-гипофизарной области, к настоящему времени выявлено 10 625 пациентов с новообразованиями гипофиза, 5274 (49,6%) из которых имеют СТГ-секретирующую аденому. Несмотря на относительную редкость акромегалии среди населения в целом, важно учитывать, что при отсутствии адекватного лечения заболевание приводит к выраженным дисморфическим изменениям внешности и прогрессирующим полиорганным нарушениям. Данные факторы способны значительно изменить социальную жизнь больных и существенно повысить риск инвалидизации и преждевременной смерти.

Приоритетный метод лечения при интраселлярных микроаденомах, неинвазивных макроаденомах гипофиза, аденомах, приводящих к сдавлению перекреста зрительных нервов, а также при апоплексии гипофиза — трансназальная транссфеноидальная аденомэктомия. Важно отметить, что успех операции зависит от индивидуальных особенностей опухоли (размеров, характера роста и степени инвазии, клеточного строения опухоли), возможности полного удаления новообразования, квалификации нейрохирурга. При нерадикальной аденомэктомии, а также при невозможности проведения нейрохирургического вмешательства для предотвращения прогрессирования заболевания и развития осложнений пациентам рекомендована лекарственная терапия аналогами соматостатина длительного действия. В ходе ряда исследований выявлены клинические, иммуногистохимические, молекулярные маркеры резистентности к терапии препаратами данной группы [1], наличие которых предполагает низкую эффективность проводимой терапии. В указанных случаях возможно дополнительное применение лучевой терапии на область новообразования. Однако высокая вероятность развития гипопитуитаризма, требующего проведения пожизненной терапии гормонами, — существенный недостаток радиотерапии, ограничивающий ее применение в практике (особенно для молодых пациентов). Более того, промежуток времени от облучения аденомы додостижения ожидаемого результата лечения длится, как правило, не менее 2 лет.

Изучение и интеграция в практику дополнительных методов медикаментозной терапии, позволяющих достичь стойкой ремиссии акромегалии за довольно короткий промежуток времени, без риска нежелательных явлений со стороны органов и систем — важная задача профильных специалистов. Примером такого лекарственного средства может служить пэгвисомант (Сомаверт, ЛП-005117), высокоселективный антагонист рецептора гормона роста.

С учетом высокой стоимости указанного лекарственного средства его применение в повседневной практике в настоящее время ограничено, следовательно, перед клиницистами стоит важная задача: выделить группу пациентов, для которых монотерапия (или по показаниям комбинированная терапия) пэгвисомантом представляет собой единственный способ достижения контроля над проявлениями инвалидизирующего заболевания.

В данной статье приведены клинические случаи, в которых применение антагонистов рецепторов СТГ позволило остановить прогрессирование заболевания и достичь стабилизации общего состояния пациентов.

КЛИНИЧЕСКИЙ СЛУЧАЙ 1

Пациент Ч., 1956 года рождения. Изменение внешности (укрупнение черт лица, увеличение конечностей в размере) начал отмечать с 30 лет. В возрасте 46 лет выявлено нарушение углеводного обмена в виде сахарного диабета 2 типа, инициирована инсулинотерапия. В связи с прогрессирующим ухудшением состояния — отсутствием компенсации углеводного обмена, выраженной потливостью, дискомфортом в суставах конечностей, снижением остроты зрения, пациент комплексно обследован, по результатам обследования на основании лабораторных и инструментальных исследований подтвержден диагноз активной стадии акромегалии (СТГ и ИФР-1 — выше референсных значений, МРТ-картина макроаденомы гипофиза с интра-, супра-, инфра-, параселлярным ростом). От предложенного хирургического лечения пациент отказывался на протяжении 6 лет. В 2008 г. отметил нарастающую слабость, учащение эпизодов выраженной головной боли, периодически приводящей к нарушению устойчивости и координации движений, резкое сужение полей зрения, значительное снижение остроты зрения. Ухудшение состояния здоровья заставило пациента вновь обратиться к эндокринологу. В результате обследования обнаружена отрицательная динамика роста аденомы гипофиза, с развитием компрессии перекреста зрительных нервов. Учитывая абсолютные показания к проведению хирургического лечения, в том же году проведена частичная аденомэктомия транскраниальным доступом. Клинически отмечалось улучшение состояния больного, однако лабораторная активность акромегалии оставалась. В послеоперационном периоде развился вторичный гипотиреоз, назначена терапия L-тироксином. От заместительной терапии вторичного гипогонадизма отказался.

С 2011 г. инициировано лечение аналогами соматостатина длительного действия. Несмотря на проводимую терапию, ремиссии акромегалии не наблюдалось. В 2014 г. по данным обследования СТГ — 55,8 нг/мл, ИФР-1 — 668,0 нг/мл, на МРТ головного мозга — аденома гипофиза размерами 36×30×39 мм. Медикаментозную терапию акромегалии по месту жительства не корректировали.

В 2015 г. впервые госпитализирован в ФГБУ «НМИЦ эндокринологии» Минздрава России (рис. 1А). По результатам лабораторных исследований: СТГ — 80,0 нг/мл, ИФР-1 — 497,5 нг/мл. На МРТ гипофиза с контрастным усилением — аденома спрорастанием в основную пазуху, занимающая почти весь ее объем. В связи с отрицательной динамикой роста новообразования и отсутствием биохимической ремиссии акромегалии проведена повторная аденомэктомия (трансназальным транссфеноидальным доступом). Послеоперационный период протекал без осложнений. Однако уровень СТГ и ИФР-1 нормализовать не удалось. При выписке рекомендована терапия аналогами соматостатина длительного действия в максимальной дозе.

Рисунок 1. Внешний вид пациента с акромегалией:
А — 2015 г. Пациент Ч. при первичном обращении в ФГБУ  «НМИЦ эндокринологии»;
Б — 2021 г. Пациент Ч. при контрольной госпитализации в ФГБУ «НМИЦ эндокринологии».

Figure 1. Appearance of a patient with acromegalia.
A — 2015. Patient Ch., initial appeal to  the Endocrinology Research Centre.
B — 2021. Patient Ch . during the control hospitalization in the Endocrinology Research Centre

В ходе повторной госпитализации в ФГБУ «НМИЦ эндокринологии» в 2016 г. получены данные, свидетельствующие о сохранении активной стадии акромегалии (СТГ — 17,0 нг/мл, ИФР-1 — 418,2 нг/мл). По данным МРТ — аденома размерами 13х18х16 мм, отрицательная динамика по сравнению с 2015 г. Оперативное вмешательство рекомендовано не было, продолжено медикаментозное лечение аналогами соматостатина длительного действия в прежней дозе с присоединением к терапии агонистов дофамина.

Принимая во внимание высокую агрессивность аденомы, резистентность к максимальным дозам медикаментозной терапии, предположен семейный вариант аденомы гипофиза. Пациенту проведено молекулярно-генетическое исследование, при котором выявлена гетерозиготная мутация С.811С>Т:р R271W в экзоне 6 гена AIP, подтверждающая семейную форму акромегалии. В ходе беседы с пациентом выяснилось, что сын пациента, 1987 г. рождения, также имеет характерные для акромегалии черты лица, высокий рост (197 см). Учитывая указанные особенности, принято решение провести обследование на предмет наличия гормонально активного образования гипофиза сыну пациента, в ходе которого установлена активная стадия акромегалии (ИФР-1 567 нг/мл при норме до 307 нг/мл, на МРТ гипофиза — эндоселлярная макроаденома размерами 5х19х15 мм). Результат молекулярно-генетического исследования у сына также подтвердил мутацию в гене AIP. Сыну пациента выполнена транссфеноидальная аденомэктомия, в послеооперационном периоде — без осложнений. В настоящее время отмечается лабораторная ремиссия акромегалии (ИФР-1 в пределах референсных интервалов, по данным МРТ — признаков аденомы гипофиза нет).

В октябре 2017 г. пациенту Ч. в связи с сохранением активности основного заболевания проведена лучевая терапия на область гипофиза. После радиологического лечения с учетом развития вторичной надпочечниковой недостаточности назначена заместительная терапия гидрокортизоном, терапия длительно действующими аналогами соматостатина продолжена в прежней дозе. Тем не менее при динамическом скрининге в августе 2018 г. отмечалось сохранение активной стадии акромегалии: ИФР-1 456,4 нг/мл, СТГ 14,5 нг/мл, МР-картина гипофиза — без значимой динамики роста новообразования.

Через полгода в январе 2019 г. по данным МРТ гипофиза выявлен продолженный рост аденомы (в правом кавернозном синусе и в пазухе клиновидной кости многоузловое кистозно-солидное образование, размерами 21х32х21 мм, преимущественно в правом кавернозном синусе), терапия оставлена без изменений с учетом недостаточной длительности постлучевого периода в ожидании эффекта проведенного лечения.

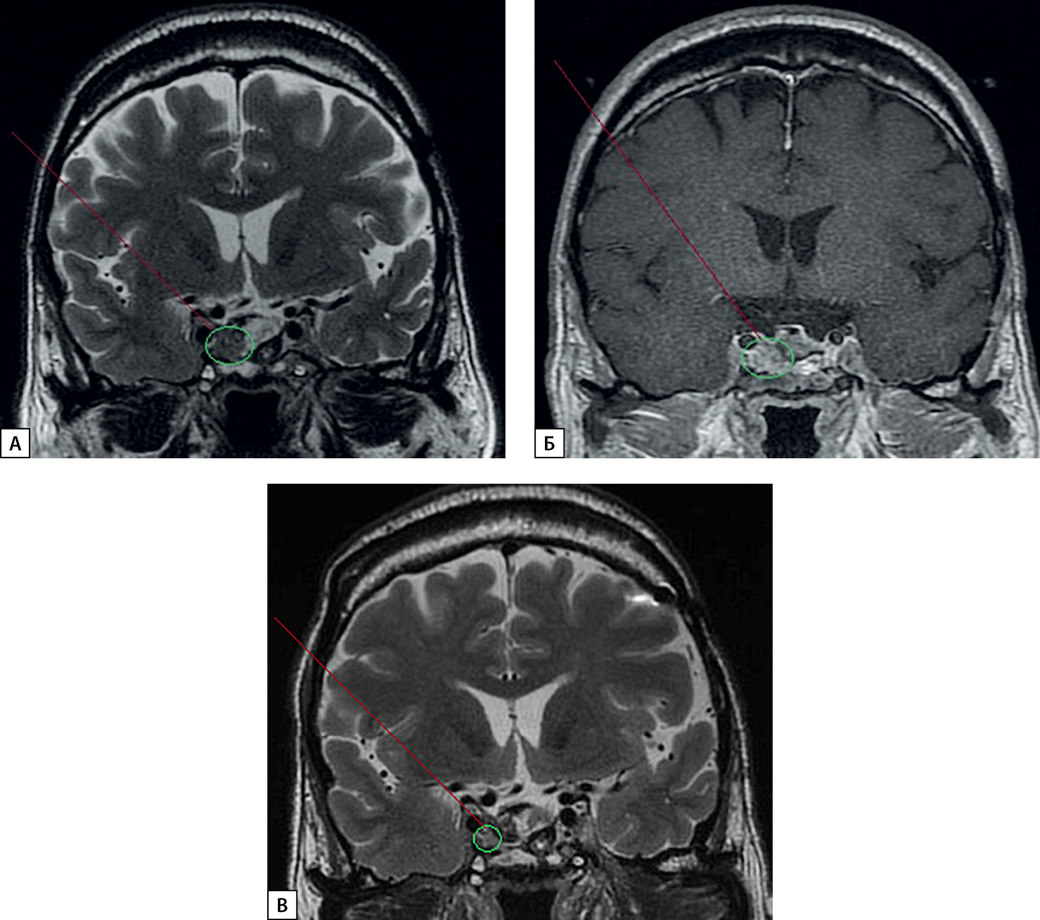
С января 2020 г. пациент стал отмечать выраженное ухудшение общего состояния в виде частой интенсивной головной боли, не купируемой приемом НПВС, прогрессирующего снижения остроты зрения, прибавки массы тела, декомпенсации сахарного диабета, требующей увеличения доз инсулина. По данным обследования: ИФР-1–332 нг/мл (выше нормы), гликированный гемоглобин — 8,4%, по МРТ гипофиза — остаточная ткань аденомы размерами 14×17×14 мм с параселлярным распространением вправо, Knosp IV) (рис. 2 А, Б). С учетом особенностей течения заболевания в ФГБУ «НМИЦ эндокринологии» Минздрава России принято решение о необходимости инициации терапии препаратом из группы антагонистов рецепторов гормона роста — пэгвисомантом (10 мг 1 р/сут п/к). Через 6 мес по данным контрольного обследования наблюдалась положительная клиническая и лабораторная динамика: уменьшение отечности мягких тканей, значительное снижение частоты и интенсивности головной боли, улучшение общего состояния, повышение чувствительности к инсулину, нормализация ИФР-1 — 162 нг/мл. В связи с отсутствием продолженного роста аденомы гипофиза с декабря 2020 г. терапия аналогами соматостатина отменена.

Рисунок 2. МРТ головного мозга пациента Ч.:
А — апрель 2020 г. (без контрастного усиления);
Б — апрель 2020 г. (с контрастным усилением);
В — ноябрь 2021 г. (без контрастного усиления).

Figure 2. MRI of the patient’s Ch. brain.
A — April 2020 (without contrast enhancement).
B — April 2020 (with contrast enhancement).
C — November 2021 (without contrast enhancement).

Последняя госпитализация больного в ФГБУ «НМИЦ эндокринологии» состоялась в ноябре 2021 г. (рис. 1Б, 2В). На фоне ежедневных инъекций пэгвисоманта (10 мг/сут) лабораторно подтверждена ремиссия акромегалии (ИФР-1 — 228,8 нг/мл, нормадо 245 нг/мл). При проведении МРТ гипофиза — остаточная ткань аденомы размерами 12×12×8 мм. Вторичная надпочечниковая недостаточность, вторичный гипотиреоз медикаментозно компенсированы. Наблюдается положительная динамика показателей углеводного обмена (гликированный гемоглобин — 7,4%). Субъективно пациент отмечает существенное улучшение самочувствия, позволяющее беспрепятственно продолжать привычный активный образ жизни.

ОБСУЖДЕНИЕ

Семейные изолированные аденомы гипофиза (Familiar Isolated Pituitary Adenomas — FIPA) составляют около 2,5% всех аденом гипофиза. Причина высокого риска развития FIPA — наличие врожденной мутации одного из взаимодействующих срецептором белков — aryl hydrocarbon receptor-interacting protein (AIP-­мутация) [2–4]. Изолированная семейная акромегалия устанавливается, если в семье зафиксировано более 2 случаев акромегалии или гигантизма. Акромегалия, ассоциированная сAIP-мутацией, отличается от спорадической более ранним возрастом манифестации (25 лет) и преобладанием среди лиц мужского пола (соотношение м : ж = 1,5 : 1,0) [5]. По морфологическому строению новообразования могут быть представлены редкогранулированными соматотропиномами и маммосоматотропиномами [6].

Мутации или низкая экспрессия белка, взаимодействующего с ариловыми углеводородными рецепторами, придают ряд важных агрессивных характеристик аденоме гипофиза при акромегалии. Большинство AIP-позитивных пациентов (93,3%) имеют макроаденомы, характеризующиеся более высокой секрецией СТГ, ускоренным, чаще инвазивным ростом новообразования со склонностью к экстраселлярному распространению, развитию апоплексии [7–9]. Следует также отметить высокий риск рецидивирования опухоли после оперативного лечения, низкую эффективность терапии аналогами соматостатина длительного действия (октреотидом, ланреотидом) и агонистами дофамина (карбеголином), недостаточную для предотвращения роста аденомы и достижения клинико-лабораторной ремиссии заболевания даже при длительном медикаментозном лечении максимально допустимыми дозами [2][10].

Учитывая особенности акромегалии в случаях подтвержденной мутации в гене AIP, для эффективного контроля активности заболевания необходимо использовать лекарственные средства, воздействующие на иные звенья патогенеза болезни. Пример такого препарата — антагонист рецепторов соматостатина — пэгвисомант.

По результатам масштабного исследования ACROSTUDY, инициированного в 2004 г. для изучения долгосрочных эффектов пэгвисоманта в реальной международной когорте, подтверждены благоприятное соотношение пользы и риска терапии указанным препаратом, его высокая эффективность в случаях резистентности к терапии аналогами соматостатина [11]. К концу 1-го года лечения у 53% (к концу 10-го года — у 73%) пациентов с акромегалией отмечалась нормализация уровня ИФР-1на фоне применения пэгвисоманта после проведенного операционного лечения, лучевой и медикаментозной терапии или любых их комбинаций. На МР-изображениях головного мозга отмечалось отсутствие изменений размера новообразований по сравнению с предыдущими МРТ-исследованиями в 72,2% случаев, в 16,8% — уменьшение размера опухоли, в 6,8% — увеличение размера аденомы, в 4,3% — как увеличение, так и уменьшение размеров новообразования. Кроме того, в большинстве случаев (78%) препарат не вызвал серьезных побочных явлений, что подтверждает безопасность терапии пэгвисомантом [12].

Принимая во внимание тот факт, что у пациентов с акромегалией из-за избытка гормона роста довольно часто наблюдаются нарушения углеводного обмена (распространенность сахарного диабета у пациентов с акромегалией колеблется от 20 до56%, а распространенность нарушения толерантности к глюкозе — от 16 до 46%), клинически важно отметить положительное влияние антагониста рецепторов гормона роста на метаболизм глюкозы. Применение пэгвисоманта способствует повышению периферической чувствительности тканей к инсулину [13][14], не вызывая при этом снижения секреции инсулина.

Приведенный случай из практики демонстрирует высокую эффективность применения пэгвисоманта и при подтвержденной семейной форме акромегалии, осложненной декомпенсацией углеводного обмена, в виде достижения лабораторной ремиссии основного заболевания, стабилизации суточного профиля гликемии, снижения потребности в инсулине, улучшения общего самочувствия.

Необходимо также отметить важность оценки таких данных, как возраст пациента при манифестации заболевания, пол, семейный анамнез, исходные уровни СТГ и ИФР-1, характер сигнала на Т2-взвешенных изображениях при МРТ головного мозга [11], наличие резистентности к аналогам соматостатина, нарушения обмена глюкозы для своевременного определения верной тактики лечения, способной предотвратить необратимые последствия у пациентов, а в случае наследственной формы акромегалии и у их родственников — родных братьев/сестер, детей.

КЛИНИЧЕСКИЙ СЛУЧАЙ 2

Пациент К., 35 лет, считает себя больным с 24 лет, когда впервые обратился к офтальмологу по поводу резкого снижения остроты зрения. С учетом специфических особенностей внешности (дисморфическая конфигурация черепа, рост 202 см), был направлен к эндокринологу. По данным обследования в январе 2013 г. установлен диагноз акромегалии: СТГ — 106,5 мМед/л, ИФР-1 — 567,9 нг/мл. При МРТ гипофиза (без контрастного усиления) в передней части определена аденома размерами 4х7 мм. С сентября 2013 г. пациент получал терапию октреотидом пролонгированного действия 20 мг в/м 1 раз в 28 дней.

В апреле 2014 г. при обследовании в ФГБУ «НМИЦ эндокринологии» Минздрава России подтверждено сохранение активной стадии акромегалии (ИФР-1 — 1412,2 нг/мл; СТГ — 43,3 нг/мл). На МРТ головного мозга с контрастным усилением, преимущественно в правом кавернозном синусе — новообразование размерами 17×23×14 мм. Диагностической находкой было утолщение костей основания черепа, теменных, височных костей, чешуи лобной кости, чешуи затылочной кости, гипопневматизация лобной пазухи, пазухи основной кости, ячеек решетчатого лабиринта, сужение внутреннего и наружного слухового прохода слева с разрастанием дополнительной ткани, характерных для фиброзной остеодисплазии. На основании наличия у пациента специфических симптомов: СТГ-продуцирующей аденомы гипофиза, фиброзной дисплазии, «кофейных пятен» на коже груди и спины (рис. 4) клинически диагностировали синдром МакКьюна–Олбрайта. В октябре 2014 г. выполнено трансназальное транссфеноидальное оперативное вмешательство по поводу эндо-супраселлярной опухоли гипофиза. После операции пациент отмечал значительное улучшение зрительных функций, однако ремиссии заболевания по данным лабораторного обследования достичь не удалось, что потребовало продолжения терапии аналогами соматостатина и назначения агонистов дофамина, каберголина 1,0 мг/нед.

В 2015 г. с учетом сохранения активной стадии акромегалии, принимая во внимание нецелесообразность проведения повторного оперативного вмешательства (из-за особенности конфигурации костей черепа, характерных для описываемого синдрома), выполнена конформная стереотаксическая дистанционная лучевая терапия. В послелучевом периоде пациент получал аналоги соматостатина в максимальной дозе и каберголин 4 таб./нед., однако активность акромегалии сохранялась.

В марте 2019 г. в ходе госпитализации в НМИЦ эндокринологии в связи с невозможностью достижения ремиссии основного заболевания (ИФР-1 — 384,3 нг/мл при норме до 283 нг/мл) на фоне длительного лечения максимально допустимыми дозами аналогов соматостатина принято решение об инициации терапии антагонистом рецепторов гормона роста пэгвисомантом (10 мг/сут).

Последнее обследование пациента в НМИЦ эндокринологии состоялось в декабре 2021 г. (рис. 3). Впервые была отмечена нормализация ИФР-1 — 189 нг/мл (на фоне комбинированного лечения: октреотид депо 30 мг 1 раз в 28 дней, пэгвисомант 10 мг/сут). При МРТ головного мозга с контрастированием размеры остаточной ткани новообразования гипофиза без существенной динамики в сравнении с данными предыдущего исследования (в правом отделе турецкого седла по контуру кавернозного синуса определяется новообразование размером 6х4 мм). Полученные результаты подтверждают эффективность длительного применения антагониста рецепторов гормона роста с учетом особенностей течения заболевания у данного пациента, в связи с чем терапию пэгвисомантом рекомендовано продолжить по жизненным показаниям.

Рисунок 3. МРТ головного мозга с контрастным усилением пациента К. с синдромом МакКьюна–Олбрайта–Брайцева (декабрь, 2021 г.).

Figure 3. MRI of the brain of patient K. with McCune-Albright-Braitsev syndrome (contrast enhancement, December, 2021).

Рисунок 4. Пигментные пятна (пятна кофе с молоком, cafe au lai macule) при синдроме МакКьюна–Олбрайта–Брайцева.

Figure 4. Pigmented spots («cafe au lai macule») of a patient with McCune-Albright–Braitsev syndrome.

ОБСУЖДЕНИЕ

Синдром МакКьюна–Олбрайта–Брайцева — клинический синдром с низкой частотой, возникающий в результате соматических мутаций в GNAS. Фенотип при данном синдроме представлен, как правило, триадой симптомов: наличием специфических кожных пятен цвета «кофе с молоком», нарушением костного обмена в виде фиброзной дисплазии, а также вариабельной гиперфункцией эндокринных желез. Акромегалия встречается примерно в 20% случаев [13][15].

Верификация диагноза обычно отсрочена из-за длительного отсутствия симптомов заболевания, а также краниофасциальной фиброзной дисплазии, маскирующей акромегалоидные изменения внешности. Варианты лечения акромегалии у пациентов с синдромом МакКьюна–Олбрайта и с классической формой акромегалии одинаковы.

Важно отметить, что оперативное лечение в объеме аденомэктомии может быть значительно затруднено в связи с особенностями конфигурации костей черепа, значительным риском кровотечения из-за высокой васкуляризации тканей, диффузным поражением гипофиза, характерных для указанного синдрома [14]. Лучевая терапия может быть использована в случаях неоперабельных опухолей гипофиза и при неэффективности лечения аналогами соматостатина. Однако следует учитывать отсроченный характер действия радиотерапии и возможные осложнения в виде гипопитуитаризма и (редко) саркомы костей в области облучения у пациентов с фиброзной дисплазией [16].

Несмотря на то что применение аналогов соматостатина у большинства пациентов оказывает положительный эффект в виде снижения уровня ИФР-1, прием даже максимальных доз препаратов указанных групп не приводит к стойкой лабораторной ремиссии акромегалии [16][17]. Длительный избыток гормона роста и ИФР-1 способствует прогрессированию классических проявлений заболевания, а при синдроме МакКьюна–Олбрайта может усугубить фиброзную дисплазию, привести к сужению зрительного канала/канала височной кости, снижению остроты зрения и слуха, вплоть до полной потери функции анализаторов. С момента появления антагониста рецепторов гормона роста — пэгвисоманта эффективность медикаментозного лечения МакКьюн–Олбрайт-ассоциированной акромегалии с достижением биохимической ремиссии значительно увеличилась [16], что указывает на то, что пэгвисомант (по показаниям в комбинации с аналогами соматостатина длительного действия при продолженном росте аденомы) может быть рассмотрен как препарат выбора для лечения пациентов с указанным синдромом. В связи с редкостью синдрома МакКьюна–Олбрайта и вариабельностью его клинических проявлений, вызванных патологиями разных эндокринных желез, важно фиксировать наблюдаемые уникальные случаи и анализировать результаты проводимой терапии.

ЗАКЛЮЧЕНИЕ

Таким образом, несмотря на наличие широкого спектра современных методов лечения: нейрохирургического, медикаментозного длительно действующими аналогами соматостатина, фракционной стереотаксической лучевой терапии, стереотаксической радиохирургии достижение стойкой ремиссии акромегалии может быть затруднено ввиду поздней диагностики, длительного отказа пациента от проведения оперативного вмешательства, топографических особенностей новообразования.

Результаты приведенных клинических случаев подтверждают успешность моно- или комбинированной (при условии сохранения продолженного роста новообразования) терапии препаратом из группы антагонистов рецепторов СТГ пэгвисомантом. Терапия данным лекарственным средством высокоэффективна и безопасна, способствует достижению компенсации акромегалии и, как следствие, значительному улучшению качества жизни пациентов, течения и прогноза заболевания [18].

Следует уделять особое внимание сбору истории болезни и жизни, наследственного анамнеза пациента для исключения (или последующего углубленного обследования) генетически обусловленных форм акромегалии. При подтверждении акромегалии в рамках семейной формы аденом гипофиза или акромегалии в составе синдрома МакКьюна–Олбрайта, а также при акромегалии с неконтролируемым нарушением углеводного обмена или с выраженным цефалгическим синдромом целесообразно назначение пэгвисоманта. Обладая отличным от аналогов соматостатина механизмом действия, пэгвисомант способствует достижению ремиссии заболевания у пациентов, резистентных к терапии аналогами соматостатина, не вызывая нежелательных явлений.

Комбинированная терапия пэгвисомантом и аналогами соматостатина не одобрена в рамках инструкции по медицинскому применению препарата Сомаверт, однако иногда клиническое состояние пациента — продолженный рост опухоли — не позволяет отменить аналоги соматостатина. Опыт отечественных и зарубежных специалистов демонстрирует положительный результат — замедление роста/уменьшение размеров новообразования, нормализация лабораторных показателей, уменьшение выраженности симптомов, снижение финансовых затрат на лечение при использовании комбинированной медикаментозной терапии. Улучшение качества жизни пациентов в сочетании с оптимизацией затрат на лечение подчеркивает оправданность назначения антагониста рецепторов СТГ.

ДОПОЛНИТЕЛЬНАЯ ИНФОРМАЦИЯ

Источники финансирования. Работа выполнена по инициативе авторов без привлечения финансирования.

Конфликт интересов. Работа выполнена в соавторстве с заведующей редакцией журнала «Ожирение и метаболизм» Дзерановой Л.К., членом редакционной коллегии журнала «Ожирение и метаболизм» Пигаровой Е.А.

Участие авторов. Дзеранова Л.К. — разработка концепции и дизайна, проверка критически важного интеллектуального содержания, окончательное утверждение для публикации рукописи; Доровских А.В. — сбор, анализ и интерпретация данных, написание текста; Пигарова Е.А. — анализ полученных данных, коррекция текста; Пржиялковская Е.Г. — анализ полученных данных, коррекция текста; Шутова А.С. — сбор данных, коррекция текста; Евлоева М.И. — сбор данных, написание текста; Григорьев А.Ю. — проведение нейрохирургической операции, коррекция текста; Азизян В.Н. — проведение нейрохирургической операции, коррекция текста; Иващенко О.В. — проведение нейрохирургической операции, коррекция текста. Все авторы одобрили финальную версию статьи перед публикацией, выразили согласие нести ответственность за все аспекты работы, подразумевающую надлежащее изучение и решение вопросов, связанных с точностью или добросовестностью любой части работы.

Согласие пациента. Авторы настоящей статьи получили письменное разрешение от упоминаемых в статье пациентов на публикацию их медицинских данных в журнале «Ожирение и метаболизм».

Список литературы

1. Cuevas-Ramos D, Fleseriu M. Somatostatin receptor ligands and resistance to treatment in pituitary adenomas. J Mol Endocrinol. 2014;52(3):R223-R240. doi: https://doi.org/10.1530/JME-14-0011

2. Laws ER, Ezzat S, Asa SL, et al. Pituitary Disorders: Diagnosis and Management. Wiley-Blackwell. 2013.

3. Chahal HS, Chapple JP, Frohman LA, et al. Clinical, genetic and molecular characterization of patients with familial isolated pituitary adenomas (FIPA). Trends Endocrinol Metab. 2010;21(7):419-427. doi: https://doi.org/10.1016/j.tem.2010.02.007

4. Naves LA, Daly AF, Vanbellinghen J-F, et al. Variable pathological and clinical features of a large Brazilian family harboring a mutation in the aryl hydrocarbon receptorinteracting protein gene. Eur J Endocrinol. 2007;157(4):383-391. doi: https://doi.org/10.1530/EJE-07-0533

5. Общественная организация «Российская ассоциация эндокринологов». Акромегалия: клиника, диагностика, дифференциальная диагностика, методы лечения. Клинические рекомендации. М.: 2014.

6. Tuominen I, Heliövaara E, Raitila A, et al. AIP inactivation leads to pituitary tumorigenesis through defective Gαi-cAMP signaling. Oncogene. 2015;34(9):1174-1184. doi: https://doi.org/10.1038/onc.2014.50

7. Vasilev V, Daly AF, Petrossians P, Zacharieva S, Beckers A. Familial Pituitary Tumor Syndromes. Endocr Pract. 2011;17(9):41-46. doi: https://doi.org/10.4158/EP11064.RA

8. Available from: https://ec.bioscientifica.com/view/journals/ec/8/4/ EC-19-0004.xml [cited 16.08.22].

9. Stiles CE, Korbonits M. Familial Isolated Pituitary Adenoma. In: Endotext [Internet]. South Dartmouth (MA): MDText.com, Inc.; 2000. 2020 May 28.

10. Paragliola RM, Corsello SM, Salvatori R. Somatostatin receptor ligands in acromegaly: clinical response and factors predicting resistance. Pituitary. 2017;20(1):109-115. doi: https://doi.org/10.1007/s11102-016-0768-4

11. Buchfelder M, van der Lely A-J, Biller BMK, et al. Long-term treatment with pegvisomant: observations from 2090 acromegaly patients in ACROSTUDY. Eur J Endocrinol. 2018;179(6):419-427. doi: https://doi.org/10.1530/EJE-18-0616

12. Feola T, Cozzolino A, Simonelli I, et al. Pegvisomant Improves Glucose Metabolism in Acromegaly: A Meta-Analysis of Prospective Interventional Studies. J Clin Endocrinol Metab. 2019;104(7):2892- 2902. doi: https://doi.org/10.1210/jc.2018-02281

13. Mazziotti G, Floriani I, Bonadonna S, et al. Effects of Somatostatin Analogs on Glucose Homeostasis: A Metaanalysis of Acromegaly Studies. J Clin Endocrinol Metab. 2009;94(5):1500-1508. doi: https://doi.org/10.1210/jc.2008-2332

14. Salenave S, Boyce AM, Collins MT, Chanson P. Acromegaly and McCune-Albright Syndrome. J Clin Endocrinol Metab. 2014;99(6):1955-1969. doi: https://doi.org/10.1210/jc.2013-3826

15. Zhai X, Duan L, Yao Y, et al. Clinical Characteristics and Management of Patients With McCune-Albright Syndrome With GH Excess and Precocious Puberty: A Case Series and Literature Review. Front Endocrinol (Lausanne). 2021;12(6):1955-1969. doi: https://doi.org/10.3389/fendo.2021.672394

16. Galland F, Kamenicky P, Affres H, et al. McCune-Albright Syndrome and Acromegaly: Effects of Hypothalamopituitary Radiotherapy and/or Pegvisomant in Somatostatin AnalogResistant Patients. J Clin Endocrinol Metab. 2006;91(12):4957-4961. doi: https://doi.org/10.1210/jc.2006-0561

17. Akintoye SO, Kelly MH, Brillante B, et al. Pegvisomant for the Treatment of gsp-Mediated Growth Hormone Excess in Patients with McCune-Albright Syndrome. J Clin Endocrinol Metab. 2006;91(8):2960-2966. doi: https://doi.org/10.1210/jc.2005-2661

18. Fleseriu M, Führer-Sakel D, van der Lely AJ, et al. More than a decade of real-world experience of pegvisomant for acromegaly: ACROSTUDY. Eur J Endocrinol. 2021;185(4):525-538. doi: https://doi.org/10.1530/EJE-21-0239


Об авторах

Л. К. Дзеранова
Национальный медицинский исследовательский центр эндокринологии
Россия

Дзеранова Лариса Константиновна, д.м.н.

eLibrary SPIN: 2958-5555

Москва


Конфликт интересов:

Дзеранова Л.К. — заведующая редакцией журнала «Ожирение и метаболизм».



А. В. Доровских
Национальный медицинский исследовательский центр эндокринологии

Доровских Анна Владимировна

eLibrary SPIN: 7800-0219

Москва



Е. А. Пигарова
Национальный медицинский исследовательский центр эндокринологии
Россия

Пигарова Екатерина Александровна, д.м.н.

eLibrary SPIN: 6912-6331

Москва


Конфликт интересов:

Пигарова Е.А. — член редакционной коллегии журнала «Ожирение и метаболизм».



Е. Г. Пржиялковская
Национальный медицинский исследовательский центр эндокринологии
Россия

Пржиялковская Елена Георгиевна, к.м.н.

eLibrary SPIN: 9309-3256

Москва



А. С. Шутова
Национальный медицинский исследовательский центр эндокринологии
Россия

Шутова Александра Сергеевна, аспирант

eLibrary SPIN: 4774-0114

117036, Москва, ул. Дм. Ульянова, д. 11



М. И. Евлоева
Национальный медицинский исследовательский центр эндокринологии
Россия

Евлоева Мадина Исcаевна

Москва



А. Ю. Григорьев
Национальный медицинский исследовательский центр эндокринологии
Россия

Григорьев Андрей Юрьевич, д.м.н.

eLibrary SPIN 8910-8130

Москва



В. Н. Азизян
Национальный медицинский исследовательский центр эндокринологии
Россия

Азизян Вилен Неронович, к.м.н.

eLibrary SPIN: 7666-5950

Москва



О. В. Иващенко
Национальный медицинский исследовательский центр эндокринологии
Россия

Иващенко Оксана Владимировна

eLibrary SPIN 7031-3273

Москва



Дополнительные файлы

1. Рисунок 1. Внешний вид пациента с акромегалией.
Тема
Тип Исследовательские инструменты
Посмотреть (206KB)    
Метаданные ▾
2. Рисунок 2. МРТ головного мозга пациента Ч.
Тема
Тип Исследовательские инструменты
Посмотреть (439KB)    
Метаданные ▾
3. Рисунок 3. МРТ головного мозга с контрастным усилением пациента К. с синдромом МакКьюна–Олбрайта–Брайцева (декабрь, 2021 г.).
Тема
Тип Исследовательские инструменты
Посмотреть (271KB)    
Метаданные ▾
4. Рисунок 4. Пигментные пятна (пятна кофе с молоком, cafe au lai macule) при синдроме МакКьюна–Олбрайта–Брайцева.
Тема
Тип Исследовательские инструменты
Посмотреть (211KB)    
Метаданные ▾

Рецензия

Для цитирования:


Дзеранова Л.К., Доровских А.В., Пигарова Е.А., Пржиялковская Е.Г., Шутова А.С., Евлоева М.И., Григорьев А.Ю., Азизян В.Н., Иващенко О.В. Опыт лечения антагонистом рецепторов гормона роста при наследственной форме акромегалии: клинические случаи. Ожирение и метаболизм. 2022;19(2):189-197. https://doi.org/10.14341/omet12831

For citation:


Dzeranova L.K., Dorovskikh A.V., Pigarova E.A., Przhiyalkovskaya E.G., Shutova A.S., Yevloyeva M.I., Grigoriev A.Yu., Azizyan V.N., Ivashchenko O.V. Experiense of treatment with a growth hormone receptor antagonist in patients with hereditary form of acromegaly: clinical cases. Obesity and metabolism. 2022;19(2):189-197. (In Russ.) https://doi.org/10.14341/omet12831

Просмотров: 2579


ISSN 2071-8713 (Print)
ISSN 2306-5524 (Online)