Obesity and cahexia as the first manifestations of craniopharingioma
Abstract
The key structure in the regulation of energy homeostasis is the hypothalamus. The damage of the hypothalamic region can lead to imbalance of energy exchange with the development of obesity or cachexia. The most common metabolic disorders occur in case of craniopharyngiomas. The article presents two clinical observations of papillary craniopharyngioma in young women. Cases were accompanied by different disturbances of the energy balance, in one - with the development of obesity, in the other - cachexia.
About the Authors
Liudmila I. AstafievaN.N. Burdenko National Medical Research Center of Neurosurgery
Russian Federation
Sc.D.
Irina S. Klochkova
N.N. Burdenko National Medical Research Center of Neurosurgery
Russian Federation
Pavel L. Kalinin
N.N. Burdenko National Medical Research Center of Neurosurgery
Russian Federation
Sc.D.
Boris A. Kadashev
N.N. Burdenko National Medical Research Center of Neurosurgery
Russian Federation
Sc.D., Professor
Aleksandr N. Konovalov
N.N. Burdenko National Medical Research Center of Neurosurgery
Russian Federation
Sc.D., prof., academician of RAS
Dmitrii V. Fomichev
N.N. Burdenko National Medical Research Center of Neurosurgery
Russian Federation
PhD
Maksim A. Kutin
N.N. Burdenko National Medical Research Center of Neurosurgery
Russian Federation
PhD
Oleg I. Sharipov
N.N. Burdenko National Medical Research Center of Neurosurgery
Russian Federation
PhD
Ylia G. Sidneva
N.N. Burdenko National Medical Research Center of Neurosurgery
Russian Federation
PhD
Dina A. Yatsenko
FGBU RMANPO
Russian Federation
MD
Larisa K. Dzeranova
Endocrinology Research Centre
Russian Federation
Sc.D
References
1. Kalra SP, Dube MG, Pu S, et al. Interacting Appetite-Regulating Pathways in the Hypothalamic Regulation of Body Weight1. Endocr. Rev. 1999;20(1):68-100. doi: 10.1210/edrv.20.1.0357
2. Austin J, Marks D. Hormonal Regulators of Appetite. Int. J. Pediatr. Endocrinol. 2009;2009:1-9. doi: 10.1155/2009/141753.
3. Sohn J-W. Network of hypothalamic neurons that control appetite. BMB Reports. 2015;48(4):229-233. doi: 10.5483/BMBRep.2015.48.4.272.
4. Castro DC, Cole SL, Berridge KC. Lateral hypothalamus, nucleus accumbens, and ventral pallidum roles in eating and hunger: interactions between homeostatic and reward circuitry. Front. Syst. Neurosci. 2015;9. doi: 10.3389/fnsys.2015.00090.
5. Sorva R, Heiskanen O, Perheentupa J. Craniopharyngioma in adults. Ann. Clin. Res. 1987;19(5):339-343.
6. Bunin GR, Surawicz TS, Witman PA, et al. The descriptive epidemiology of craniopharyngioma. J. Neurosurg. 1998;89(4):547-551. doi: 10.3171/jns.1998.89.4.0547.
7. Семенова Ж.Б. Гистобиология краниофарингиом и особенности течения заболевания. Дис. ... док. мед. наук. – Москва; 2000. [Semenova ZhB. Gistobiologiya kraniofaringiom i osobennosti techeniya zabolevaniya. [Dissertation] Moscow; 2000. (In Russ)] Доступно по: https://vivaldi.nlr.ru/bd000128590/details
8. Hoffmann A, Gebhardt U, Sterkenburg AS, et al. Diencephalic Syndrome in Childhood Craniopharyngioma—Results of German Multicenter Studies on 485 Long-term Survivors of Childhood Craniopharyngioma. J. Clin. Endocr. Metab. 2014;99(11):3972-3977. doi: 10.1210/jc.2014-1680
9. Müller HL, Emser A, Faldum A, et al. Longitudinal Study on Growth and Body Mass Index before and after Diagnosis of Childhood Craniopharyngioma. J. Clin. Endocr. Metab. 2004;89(7):3298-3305. doi: 10.1210/jc.2003-031751.
10. Muller HL, Gebhardt U, Teske C, et al. Post-operative hypothalamic lesions and obesity in childhood craniopharyngioma: results of the multinational prospective trial KRANIOPHARYNGEOM 2000 after 3-year follow-up. European journal of endocrinology / European Federation of Endocrine Societies. 2011;165(1):17-24. doi: 10.1530/eje-11-0158.
11. Daubenbüchel A, Müller H. Neuroendocrine Disorders in Pediatric Craniopharyngioma Patients. Journal of Clinical Medicine. 2015;4(3):389-413. doi: 10.3390/jcm4030389.
12. Roth CL, Eslamy H, Werny D, et al. Semiquantitative analysis of hypothalamic damage on MRI predicts risk for hypothalamic obesity. Obesity. 2015;23(6):1226-1233. doi: 10.1002/oby.21067.
13. Van Gompel JJ, Nippoldt TB, Higgins DM, Meyer FB. Magnetic resonance imaging–graded hypothalamic compression in surgically treated adult craniopharyngiomas determining postoperative obesity. Neurosurg. Focus. 2010;28(4):E3. doi: 10.3171/2010.1.focus09303.
14. Müller HL. Craniopharyngioma and hypothalamic injury. Current Opinion in Endocrinology & Diabetes and Obesity. 2016;23(1):81-89. doi: 10.1097/med.0000000000000214.
15. Elowe-Gruau E, Beltrand J, Brauner R, et al. Childhood Craniopharyngioma: Hypothalamus-Sparing Surgery Decreases the Risk of Obesity. J. Clin. Endocr. Metab. 2013;98(6):2376-2382. doi: 10.1210/jc.2012-3928.
16. Kim JH, Choi J-H. Pathophysiology and clinical characteristics of hypothalamic obesity in children and adolescents. Annals of Pediatric Endocrinology & Metabolism. 2013;18(4):161. doi: 10.6065/apem.2013.18.4.161.
17. Roth CL. Hypothalamic Obesity in Patients with Craniopharyngioma: Profound Changes of Several Weight Regulatory Circuits. Front. Endocrinol. (Lausanne). 2011;2. doi: 10.3389/fendo.2011.00049.
18. Cohen M, Syme C, McCrindle BW, Hamilton J. Autonomic nervous system balance in children and adolescents with craniopharyngioma and hypothalamic obesity. European journal of endocrinology / European Federation of Endocrine Societies. 2013;168(6):845-852. doi: 10.1530/eje-12-1082.
19. Roth CL, Hunneman DH, Gebhardt U, et al. Reduced Sympathetic Metabolites in Urine of Obese Patients With Craniopharyngioma. Pediatr. Res. 2007;61(4):496-501. doi: 10.1203/pdr.0b013e3180332cd6.
20. Holmer H, Pozarek G, Wirfält E, et al. Reduced Energy Expenditure and Impaired Feeding-Related Signals But Not High Energy Intake Reinforces Hypothalamic Obesity in Adults with Childhood Onset Craniopharyngioma. J. Clin. Endocr. Metab. 2010;95(12):5395-5402. doi: 10.1210/jc.2010-0993.
21. Olsson DS, Andersson E, Bryngelsson I-L, et al. Excess Mortality and Morbidity in Patients with Craniopharyngioma, Especially in Patients with Childhood Onset: A Population-Based Study in Sweden. J. Clin. Endocr. Metab. 2015;100(2):467-474. doi: 10.1210/jc.2014-3525.
22. Erfurth EM, Holmer H, Fjalldal SB. Mortality and morbidity in adult craniopharyngioma. Pituitary. 2012;16(1):46-55. doi: 10.1007/s11102-012-0428-2.
23. Kohira I, Yoshimura Y, Ninomiya Y, et al. [Pilocytic astrocytoma and diencephalic syndrome in an adult with neurofibromatosis type 1]. Rinsho Shinkeigaku. 2003;43(6):327-329.
24. Tanabe M, Watanabe T, Hori T. Von Recklinghausen's disease with diencephalic syndrome in an adult. J. Neurosurg. 1994;80(3):556-558. doi: 10.3171/jns.1994.80.3.0556.
25. Sharma RR, Chandy MJ, Lad SD. Diencephalic syndrome of emaciation in an adult associated with a suprasellar craniopharyngioma—A case report. Br. J. Neurosurg. 2009;4(1):77-80. doi: 10.3109/02688699009000687.
26. Miyoshi Y, Yunoki M, Yano A, Nishimoto K. Diencephalic Syndrome of Emaciation in an Adult Associated with a Third Ventricle Intrinsic Craniopharyngioma: Case Report. Neurosurgery. 2003;52(1):224-227. doi: 10.1097/00006123-200301000-00029.
27. Stival A, Lucchesi M, Farina S, et al. An infant with hyperalertness, hyperkinesis, and failure to thrive: a rare diencephalic syndrome due to hypothalamic anaplastic astrocytoma. BMC Cancer. 2015;15(1). doi: 10.1186/s12885-015-1626-x.
28. Rose C. Diencephalic Syndrome due to Hypothalamic Tumor: A Model of the Relationship between Weight and Puberty Onset. J. Clin. Endocr. Metab. 2006;91(7):2467-2473. doi: 10.1210/jc.2006-0322.
29. Brauner R, Trivin C, Zerah M, et al. Diencephalic Syndrome due to Hypothalamic Tumor: A Model of the Relationship between Weight and Puberty Onset. J. Clin. Endocr. Metab. 2006;91(7):2467-2473. doi: 10.1210/jc.2006-0322.
30. Vlachopapadopoulou E, Tracey KS, Capella M, et al. Increased energy expenditure in a patient with diencephalic syndrome. The Journal of Pediatrics. 1993;122(6):922-924. doi: 10.1016/s0022-3476(09)90021-x.
31. Burr IM, Slonim AE, Danish RK, et al. Diencephalic syndrome revisited. The Journal of Pediatrics. 1976;88(3):439-444. doi: 10.1016/s0022-3476(76)80260-0.
32. Lustig RH. Hypothalamic Obesity after Craniopharyngioma: Mechanisms, Diagnosis, and Treatment. Front. Endocrinol. (Lausanne). 2011;2. doi: 10.3389/fendo.2011.00060.
33. Hetherington AW, Ranson SW. Hypothalamic lesions and adiposity in the rat. The Anatomical Record. 1940;78(2):149-172. doi: 10.1002/ar.1090780203.
34. Daousi C, Dunn AJ, Foy PM, et al. Endocrine and neuroanatomic features associated with weight gain and obesity in adult patients with hypothalamic damage. The American Journal of Medicine. 2005;118(1):45-50. doi: 10.1016/j.amjmed.2004.06.035.
35. Müller HL. Consequences of Craniopharyngioma Surgery in Children. J. Clin. Endocr. Metab. 2011;96(7):1981-1991. doi: 10.1210/jc.2011-0174.
36. Gorelyshev S., Matuev K., Lubnin A., et al. Brain tumors in infants: a report on 102 cases.// J Neuro-Oncology, Toronto, Ontario, Canada, June 24-27, 2012: Gorelyshev S, Matuev K, Lubnin A, et al., editors. Brain tumors in infants: a report on 103 cases. Neuro-oncology; 2012: OXFORD univ press inc journals dept, 2001 EVANS RD, CARY, NC 27513 USA.
37. Apuzzo MLJ, Levy ML, Tung H. Surgical Strategies and Technical Methodologies in Optimal Management of Craniopharyngioma and Masses Affecting the Third Ventricular Chamber. 1991;53:77-88. doi: 10.1007/978-3-7091-9183-5_14.
Supplementary files
|
1. рисунки к статье ОЖИРЕНИЕ И КАХЕКСИЯ В КАЧЕСТВЕ ПЕРВЫХ ПРОЯВЛЕНИЙ ПАПИЛЛЯРНОЙ КРАНИОФАРИНГИОМЫ (описание двух клинических случаев). | |
| Subject | ||
| Type | Исследовательские инструменты | |
Download
(11MB)
|
Indexing metadata ▾ | |
|
|
2. Fig. 1. Appearance of the patient D. 36 years old. | |
| Subject | ||
| Type | Исследовательские инструменты | |
View
(2MB)
|
Indexing metadata ▾ | |
|
|
3. Fig. 2. Appearance of the patient P. 24 years old | |
| Subject | ||
| Type | Исследовательские инструменты | |
View
(2MB)
|
Indexing metadata ▾ | |
|
|
4. Fig. 3. MRI of patient D. 36 years old with contrast enhancement in T1 mode in sagittal (a) and frontal (b) projections prior to surgery. | |
| Subject | ||
| Type | Исследовательские инструменты | |
View
(591KB)
|
Indexing metadata ▾ | |
|
|
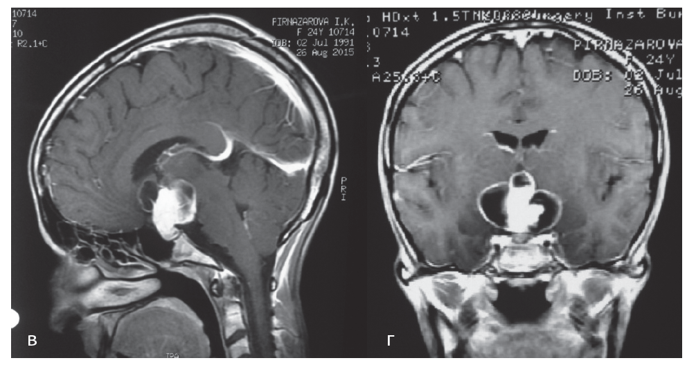
5. Fig. 3. MRI of patient P. 24 years old with contrast enhancement in T1 mode in sagittal (in) and frontal (d) projections before surgery. | |
| Subject | ||
| Type | Исследовательские инструменты | |
View
(633KB)
|
Indexing metadata ▾ | |
Review
For citations:
Astafieva L.I., Klochkova I.S., Kalinin P.L., Kadashev B.A., Konovalov A.N., Fomichev D.V., Kutin M.A., Sharipov O.I., Sidneva Y.G., Yatsenko D.A., Dzeranova L.K. Obesity and cahexia as the first manifestations of craniopharingioma. Obesity and metabolism. 2018;15(1):43-49. (In Russ.)




































