Перейти к:
Описание клинических портретов пациентов с гиперпролактинемией
https://doi.org/10.14341/omet9866
Аннотация
Гиперпролактинемия – одно из самых распространенных эндокринных заболеваний, встречающихся в практике врачей разных специальностей. Учитывая многообразие клинических форм, междисциплинарный подход и единые принципы ведения пациентов крайне актуальны для данной патологии. В статье на примере трех пациенток рассмотрены характерные клинические проявления гиперпролактинемического синдрома, продемонстрированы различные подходы к ведению и лечению.
Для цитирования:
Дзеранова Л.К., Федорова Н.С., Воротникова С.Ю., Пигарова Е.А. Описание клинических портретов пациентов с гиперпролактинемией. Ожирение и метаболизм. 2018;15(3):65-69. https://doi.org/10.14341/omet9866
For citation:
Dzeranova L.K., Fedorova N.S., Vorotnikova S.Yu., Pigarova E.A. Description of clinical portraits of patients with hyperprolactinemia. Obesity and metabolism. 2018;15(3):65-69. (In Russ.) https://doi.org/10.14341/omet9866
Актуальность
Пролактин (ПРЛ) – гормон передней доли гипофиза, который обладает множеством биологических эффектов. Помимо хорошо изученного влияния на репродуктивную систему, ПРЛ оказывает действие на различные звенья липидного и углеводного обменов, иммунную систему, костный метаболизм [1]. Это приводит к многообразию клинических проявлений гиперпролактинемии. Гиперпролактинемия встречается как у мужчин, так и у женщин, может наблюдаться у людей любого возраста. В исследовании PROLEARS показана общая распространенность гиперпролактинемии на 1000 населения, самые высокие показатели заболеваемости были обнаружены у женщин в возрасте 25–44 лет [2].
Среди причин повышения ПРЛ в сыворотке крови ведущее место занимает ПРЛ-секретирующая опухоль гипофиза, которая является наиболее частой гормонально активной опухолью гипоталамо-гипофизарной области.
Нарушения менструального ритма по типу олиго- и аменореи в совокупности с бесплодием являются одной из основных причин обращения пациенток за медицинской помощью, что подразумевает тесное клиническое взаимодействие акушера-гинеколога и эндокринолога в процессе диагностики гиперпролактинемии и восстановления фертильности больных.
Мы представляем серию клинических портретов, отражающих различные сочетания симптомов гиперпролактинемии у женщин репродуктивного возраста.
Клинический портрет №1
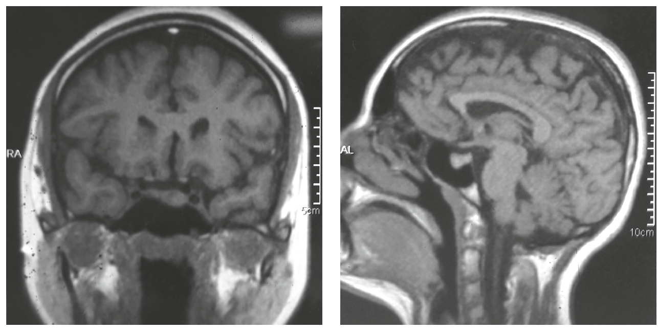
Пациентка Ж., 37 лет, наблюдается в ФГБУ «НМИЦ эндокринологии» Минздрава России с 24 лет. Впервые обратилась в 2005 г. с жалобами на нарушение менструального цикла по типу олигоменореи, увеличение массы тела на 10 кг в течение года. При осмотре обнаружена лакторея 1 степени. При лабораторном исследовании отмечено повышение уровня ПРЛ в сыворотке крови до 3088 мЕд/л, выявлен феномен макропролактинемии, уровень макропролактина составил 69%, при этом биологически активный ПРЛ также был повышен – 957 мЕд/л.
По данным МРТ головного мозга МР-картина эндоселлярной микроаденомы гипофиза размерами 8 × 10 мм (рис. 1А). Пациентке установлен диагноз пролактиномы и инициирована медикаментозная терапия каберголином (оригинальный препарат Достинекс) в начальной дозе 0,25 мг 2 раза в неделю.
Рис. 1А. МРТ головного мозга пациентки Ж. с аденомой гипофиза до лечения
Нормализация уровня биоПРЛ достигнута на фоне приема каберголина 1,25 мг в неделю. У пациентки восстановился менструальный ритм, снизилась масса тела. Через 1 год лечения при проведении МРТ головного мозга отмечена положительная динамика в виде уменьшения размеров аденомы до 3,5 × 3,5 × 5 мм. При дальнейшем динамическом наблюдении в описании МРТ головного мозга отмечалось незначительное увеличение размеров (4 × 4,5 × 5 мм), однако отмечено появление кистозного компонента в структуре опухоли. Терапию каберголином в подобранной дозе пациентка получала до 2013 г.
В 2013 г. на фоне терапии каберголином наступила беременность, завершившаяся своевременными самопроизвольными родами в головном предлежании девочкой весом 3860 г, ростом 55 см, с оценкой по шкале Апгар 7/9 баллов. Установление факта беременности послужило основанием для отмены каберголина. Период лактации составил 13 месяцев.
Восстановление регулярного менструального цикла произошло через 3 месяца после родов. При обследовании после завершения периода лактации в 2015 г. уровень ПРЛ сыворотки крови составил 457 мЕд/л. При проведении МРТ головного мозга на фоне отсутствия лечения около 2 лет определялась кистозная микроаденома гипофиза размерами 4 × 4 × 5 мм (рис. 1Б).
Рис. 1Б. МРТ головного мозга пациентки Ж. с аденомой гипофиза на фоне лечения
В 2015 г. самостоятельно наступила вторая беременность, завершившаяся своевременными самопроизвольными родами в головном предлежании мальчиком весом 3640 г, ростом 53 см, по шкале Апгар 8/9 баллов. Период лактации составил 12 месяцев. После родов и завершения периода грудного вскармливания сохранялась аменорея, в связи с чем в 2017 г. пациентка повторно обратилась в ФГБУ «НМИЦ эндокринологии» Минздрава России. При лабораторном исследовании уровень ПРЛ сыворотки крови составил 2341 мЕд/л. По данным МРТ головного мозга – эндоселлярная кистозная аденома гипофиза размерами 4 × 6 × 5 мм, в сравнении с 2015 г. выявлено умеренное увеличение поперечного размера. Возобновлена терапия каберголином с постепенным увеличением дозы до 1,5 мг в неделю и достижением нормопролактинемии. На фоне приема каберголина восстановился регулярный менструальный цикл. В настоящее время терапия продолжается.
Клинический портрет №2
Пациентка Р., 36 лет, обратилась с жалобами на нарушение менструального цикла по типу олигоменореи в течение года, головные боли, нарушение зрения.
При осмотре у пациентки нормальное телосложение, ИМТ=24,2 кг/м2, при осмотре молочных желез лактореи выявлено не было. При лабораторном обследовании уровень ПРЛ в сыворотке крови при обращении – 1500 мЕд/л. Проведено МРТ головного мозга, (рис. 2), выявившее эндосупралатероселлярную макроаденому гипофиза размерами 18 × 22 × 19 мм. Пациентка консультирована офтальмологом. Данных за хиазмальный синдром не выявлено.
Рис. 2. МРТ головного мозга пациентки Р. с аденомой гипофиза
Пациентке установлен диагноз: Эндосупраселлярная аденома гипофиза, пролактинома. Вторичная аменорея. Назначено лечение каберголином (Достинексом) в дозе 0,5 мг в неделю.
На фоне проводимого медикаментозного лечения уровень ПРЛ нормализовался, пациентка отметила восстановление менструального ритма, уменьшение частоты возникновения головных болей. При обследовании через 6 мес по данным МРТ головного мозга размеры опухоли без отрицательной динамики, отмечено снижение плотности образования, расцененное как положительная динамика на фоне лечения. Продолжает прием каберголина 0,5 мг в неделю.
Клинический портрет №3
Пациентка Т., 21 год, обратилась к эндокринологу по поводу отсутствия менструаций (в течение 3 мес), белесоватых выделений из молочных желез при надавливании, незначительного ухудшения остроты зрения. При обследовании, на фоне нормальных показателей ЛГ, ФСГ, выявлено повышение уровня ПРЛ до 2894 мЕд/л. Учитывая клинические признаки гиперпролактинемического гипогонадизма, значимое повышение уровня ПРЛ, выполнено МРТ головного мозга, по результатам которого диагностирована аденома гипофиза размерами 10 × 9,7 × 11 мм. Инициирована терапия каберголином (Достинексом) в начальной дозе 0,25 мг 2 раза в неделю. Отсутствие терапевтического эффекта потребовало постепенного увеличения дозы до 4,5 мг в неделю в течение 1,5 лет (рис. 3).
Рис. 3. Динамика уровня ПРЛ и титрование дозы каберголина (в неделю).
Переносимость препарата оставалась удовлетворительной, однако нормализации уровня ПРЛ добиться не удавалось, менструальный цикл не восстанавливался. По результатам повторной МРТ диагностированы признаки кровоизлияния в аденому гипофиза с образованием геморрагической кисты размерами 10 × 11 × 9 мм, размеры аденомы увеличились незначительно, однако отмечалась тенденция к супраселлярному росту. Учитывая наличие абсолютных показаний к оперативному вмешательству (угроза потери зрения) на фоне частичной резистентности к лечению агонистами дофамина, пациентке выполнено трансназальное удаление аденомы гипо физа.
В послеоперационном периоде уровень ПРЛ не нормализовался и составил 1338 мЕд/л, что потребовало возобновления лечения каберголином в стартовой дозе с последующим увеличением до 1,5 мг в неделю. На этом фоне отмечено восстановление менструального ритма, снижение уровня ПРЛ до 726 мЕд/л, что сопровождалось восстановлением овуляторных менструальных циклов (положительные результаты на овуляции по данным тест-систем). Через 12 мес терапии каберголином (Достинексом) у пациентки наступила беременность. После подтверждения факта беременности прием Достинекса прекращен на период беременности и лактации.
Период гестации протекал без осложнений. Беременность завершилась срочными родами здоровым ребенком. Период грудного вскармливания продолжался около 12 мес.
Обсуждение
Представлены клинические портреты трех молодых женщин с гиперпролактинемией опухолевого генеза. Продемонстрировано разнообразие клинических проявлений гиперпролактинемии, различные сочетания жалоб и симптомов, доз каберголина, чувствительность к медикаментозному лечению.
Для гиперпролактинемического гипогонадизма характерен гипоменструальный синдром по типу олиго-/аменореи, а также ановуляция, недостаточность лютеиновой фазы. Во всех вышеописанных случаях у пациенток в дебюте заболевания наблюдались типичные нарушения менструального цикла.
У первой пациентки, кроме нарушения ритма менструаций, отмечалась значительная прибавка массы тела, а также выявлена лакторея.
Наряду с нарушениями функции репродуктивной системы избыточная масса тела либо ожирение относятся к числу нередких проявлений заболевания [3]. В исследовании J. Pereira-Lima и соавт., включавшем 138 больных с гиперпролактинемией различного генеза, избыточная масса тела или ожирение выявлены у 65% пациентов [4]. Во многих исследованиях показано снижение массы тела у больных с пролактиномами после назначения терапии агонистами дофамина. В работе N.A. Pala продемонстрировано снижение массы тела и уменьшение абдоминального ожирения уже через 3 мес от начала приема агонистов дофамина [5].
Интересно отметить, что у пациентки Ж. с микроаденомой гипофиза выявлен феномен макропролактинемии, при этом биоПРЛ выше референсных значений, хотя чаще в клинической практике встречаются ситуации, при которых феномен макропролактинемии диагностируют при умеренной гиперпролактинемии без клинических проявлений, и назначения агонистов дофамина не требуется [6].
У второй пациентки нарушение менструального цикла сочеталось с жалобами на головную боль и нарушение зрения. В данном клиническом наблюдении при наличии макроаденомы гипофиза головная боль и жалобы на нарушение зрения обусловлены масс-эффектом опухоли, хотя при проведении периметрии изменений полей зрения не выявлено.
Медикаментозная терапия агонистами дофамина является методом выбора в лечении больных с пролактиномами [7]. При инициации терапии агонистами дофамина (а именно, каберголина) назначается стартовая доза, обычно ½ табл. 2 раза в неделю, иногда ½ табл. 1 раз в неделю, с дальнейшим контролем уровня ПРЛ в сыворотке крови 1 раз в месяц до достижения нормопролактинемии. Повышение дозы каберголина проводится постепенно с учетом индивидуальной переносимости препарата, обычно увеличивается на 0,5 мг в месяц.
В клинических примерах 1 и 2 отмечена высокая чувствительность к каберголину, нормализация уровня ПРЛ сыворотки, положительная динамика размеров и структуры аденомы, нивелирование клинических проявлений у пациенток произошли на фоне терапии стандартными дозами каберголина (1,25 и 0,5 мг в неделю соответ ственно).
В третьем клиническом примере у пациентки Т. в дебюте заболевания выявлена классическая комбинация олигоменореи и лактореи, однако при назначении терапии каберголином выявлена резистентность к лечению агонистами дофамина, которая, по литературным данным, встречается примерно в 10–20% случаев терапии пролактином [8]. После проведения хирургического лечения (транссфеноидальная аденомэктомия) наблюдалось повышение чувствительности остаточной ткани опухоли к терапии каберголином, что позволило восстановить менструальную и репродуктивную функции.
Данные научных исследований показывают, что результаты транссфеноидальной аденомэктомии отличаются у пациентов с микро- и макропролактиномами. При микроаденомах нормализация уровня ПРЛ крови наблюдается в 85–90% [7], тогда как при макроаденомах успех лечения зависит от размеров опухоли и ее инвазивности [10]. В то же время именно консервативная терапия является первой линии при рассмотрении подходов к пациентам с пролактиномами.
Во всех трех случаях применялся оригинальный препарат каберголина (Достинекс), согласно клиническим данным, доказавший свое преимущество в эффективности и переносимости в группе агонистов дофамина. В ходе различных исследований также не получено данных о его неблагоприятном воздействии на плод и/или течение беременности, на основании этого можно сделать вывод, что на фоне приема Достинекса зачатие допустимо и безопасно [11–13].
Медикаментозная терапия каберголином позволила устранить клинические проявления гиперпролактинемии, в том числе со стороны репродуктивной системы, уменьшить объем аденомы гипофиза.
Таким образом, гиперпролактинемия имеет множество специфических и неспецифических клинических проявлений. Заподозрить гиперпролактинемию могут врачи различных специальностей, прежде всего гинекологи, к которым обращаются женщины с жалобами на нарушение менструального цикла. В связи с чем особенно важны преемственность и согласованность между врачами различных специальностей.
Дополнительная информация
Конфликт интересов. Авторы декларируют отсутствие явных и потенциальных конфликтов интересов, связанных с публикацией настоящей статьи, о которых следует сообщить.
Согласие пациентов. Авторы настоящей статьи получили письменное разрешение от упоминаемых в статье пациентов на публикацию их медицинских данных в журнале Ожирение и метаболизм.
Список литературы
1. Borba VV, Zandman-Goddard G, Shoenfeld Y. Prolactin and Autoimmunity. Front. Immunol. 2018;9. doi: 10.3389/fimmu.2018.00073.
2. Soto-Pedre E, Newey PJ, Bevan JS, et al. The epidemiology of hyperprolactinaemia over 20 years in the Tayside region of Scotland: the Prolactin Epidemiology, Audit and Research Study (PROLEARS). Clin. Endocrinol. (Oxf.). 2017;86(1):60-67. doi: 10.1111/cen.13156.
3. Романцова Т.И. Репродукция и энергетический баланс: интегративная роль пролактина // Ожирение и метаболизм. – 2014. – Т. 11. -– №1. – C. 5-18. [Romantsova TI. Reproduction and energy balance: the integrative role of prolactin. Obesity and metabolism. 2014;11(1):5-18. (In Russ.)] doi: 10.14341/omet201415-18.
4. Pereira-Lima JFS, Leães CGS, Neto FMF, et al. Hyperprolactinemia and body weight: prevalence of obesity and overweight in patients with hyperprolactinemia. Research Journal of Endocrinology and Metabolism. 2013;1(1):2. doi: 10.7243/2053-3640-1-2.
5. Pala NA, Laway BA, Misgar RA, Dar RA. Metabolic abnormalities in patients with prolactinoma: response to treatment with cabergoline. Diabetol. Metab. Syndr. 2015;7(1). doi: 10.1186/s13098-015-0094-4.
6. Мельниченко Г.А., Гончаров Н.П., Дзеранова Л.К., Бармина И.И. Клинические и лабораторные аспекты феномена макропролактинемии. // Вестник российской академии медицинских наук. – 2007. – № 3. – С. 52-54. [Mel'nichenko GA, Goncharov NP, Dzeranova LK, Barmina II. Klinicheskie i laboratornye aspekty fenomena makroprolaktinemii. Annals of the Russian academy of medical sciences. 2007; (3):52-54.]
7. Melmed S, Casanueva FF, Hoffman AR, et al. Diagnosis and Treatment of Hyperprolactinemia: An Endocrine Society Clinical Practice Guideline. J. Clin. Endocr. Metab. 2011;96(2):273-288. doi: 10.1210/jc.2010-1692.
8. Molitch ME. Management of medically refractory prolactinoma. J. Neurooncol. 2013;117(3):421-428. doi: 10.1007/s11060-013-1270-8.
9. Babey M, Sahli R, Vajtai I, et al. Pituitary surgery for small prolactinomas as an alternative to treatment with dopamine agonists. Pituitary. 2010;14(3):222-230. doi: 10.1007/s11102-010-0283-y.
10. Bloomgarden E, Molitch ME. Surgical treatment of prolactinomas: cons. Endocrine. 2014;47(3):730-733. doi: 10.1007/s12020-014-0369-9.
11. Glezer A, Bronstein MD. Prolactinomas, cabergoline, and pregnancy. Endocrine. 2014;47(1):64-69. doi: 10.1007/s12020-014-0334-7.
12. Auriemma RS, Perone Y, Di Sarno A, et al. Results of a Single-Center Observational 10-Year Survey Study on Recurrence of Hyperprolactinemia after Pregnancy and Lactation. J. Clin. Endocr. Metab. 2013;98(1):372-379. doi: 10.1210/jc.2012-3039.
13. Rastogi A, Bhadada SK, Bhansali A. Pregnancy and tumor outcomes in infertile women with macroprolactinoma on cabergoline therapy. Gynecol. Endocrinol. 2016;33(4):270-273. doi: 10.1080/09513590.2016.1254177.
Об авторах
Лариса Константиновна ДзерановаФГБУ «Национальный медицинский исследовательский центр эндокринологии» Минздрава России
Россия
д.м.н.
Наталья Сергеевна Федорова
ФГБУ «Национальный медицинский исследовательский центр эндокринологии» Минздрава России
Россия
научный сотрудник
Светлана Юрьевна Воротникова
ФГБУ «Национальный медицинский исследовательский центр эндокринологии» Минздрава России
Россия
аспирант
Екатерина Александровна Пигарова
ФГБУ «Национальный медицинский исследовательский центр эндокринологии» Минздрава России
Россия
к.м.н.
Дополнительные файлы
|
|
1. Рис. 1А. МРТ головного мозга пациентки Ж. с аденомой гипофиза до лечения | |
| Тема | ||
| Тип | Исследовательские инструменты | |
Посмотреть
(870KB)
|
Метаданные ▾ | |
|
|
2. Рис. 1Б. МРТ головного мозга пациентки Ж. с аденомой гипофиза на фоне лечения | |
| Тема | ||
| Тип | Исследовательские инструменты | |
Посмотреть
(620KB)
|
Метаданные ▾ | |
|
|
3. Рис. 2. МРТ головного мозга пациентки Р. с аденомой гипофиза | |
| Тема | ||
| Тип | Исследовательские инструменты | |
Посмотреть
(1MB)
|
Метаданные ▾ | |
|
|
4. Рис. 3. Динамика уровня ПРЛ и титрование дозы каберголина (в неделю). | |
| Тема | ||
| Тип | Исследовательские инструменты | |
Посмотреть
(73KB)
|
Метаданные ▾ | |
Рецензия
Для цитирования:
Дзеранова Л.К., Федорова Н.С., Воротникова С.Ю., Пигарова Е.А. Описание клинических портретов пациентов с гиперпролактинемией. Ожирение и метаболизм. 2018;15(3):65-69. https://doi.org/10.14341/omet9866
For citation:
Dzeranova L.K., Fedorova N.S., Vorotnikova S.Yu., Pigarova E.A. Description of clinical portraits of patients with hyperprolactinemia. Obesity and metabolism. 2018;15(3):65-69. (In Russ.) https://doi.org/10.14341/omet9866
Контент доступен под лицензией Creative Commons Attribution-NonCommercial-NoDerivatives 4.0 International License (CC BY-NC-ND 4.0).




































