Description of clinical portraits of patients with hyperprolactinemia
https://doi.org/10.14341/omet9866
Abstract
Hyperprolactinemia is one of the most common endocrine diseases in the practice of different specialists. Interdisciplinary approach and unified principles of patient management are extremely relevant for this pathology due to the variety of clinical forms. The article demonstrates typical clinical manifestations of hyperprolactinemic syndrome on the example of three patients and shows the different approach to management and treatment.
About the Authors
Larisa K. DzeranovaEndocrinology Research Centre
Russian Federation
MD, PhD
Natalya S. Fedorova
Endocrinology Research Centre
Russian Federation
MD
Svetlana Yu. Vorotnikova
Endocrinology Research Centre
Russian Federation
MD, postgraduate student
Ekaterina A. Pigarova
Endocrinology Research Centre
Russian Federation
PhD
References
1. Borba VV, Zandman-Goddard G, Shoenfeld Y. Prolactin and Autoimmunity. Front. Immunol. 2018;9. doi: 10.3389/fimmu.2018.00073.
2. Soto-Pedre E, Newey PJ, Bevan JS, et al. The epidemiology of hyperprolactinaemia over 20 years in the Tayside region of Scotland: the Prolactin Epidemiology, Audit and Research Study (PROLEARS). Clin. Endocrinol. (Oxf.). 2017;86(1):60-67. doi: 10.1111/cen.13156.
3. Романцова Т.И. Репродукция и энергетический баланс: интегративная роль пролактина // Ожирение и метаболизм. – 2014. – Т. 11. -– №1. – C. 5-18. [Romantsova TI. Reproduction and energy balance: the integrative role of prolactin. Obesity and metabolism. 2014;11(1):5-18. (In Russ.)] doi: 10.14341/omet201415-18.
4. Pereira-Lima JFS, Leães CGS, Neto FMF, et al. Hyperprolactinemia and body weight: prevalence of obesity and overweight in patients with hyperprolactinemia. Research Journal of Endocrinology and Metabolism. 2013;1(1):2. doi: 10.7243/2053-3640-1-2.
5. Pala NA, Laway BA, Misgar RA, Dar RA. Metabolic abnormalities in patients with prolactinoma: response to treatment with cabergoline. Diabetol. Metab. Syndr. 2015;7(1). doi: 10.1186/s13098-015-0094-4.
6. Мельниченко Г.А., Гончаров Н.П., Дзеранова Л.К., Бармина И.И. Клинические и лабораторные аспекты феномена макропролактинемии. // Вестник российской академии медицинских наук. – 2007. – № 3. – С. 52-54. [Mel'nichenko GA, Goncharov NP, Dzeranova LK, Barmina II. Klinicheskie i laboratornye aspekty fenomena makroprolaktinemii. Annals of the Russian academy of medical sciences. 2007; (3):52-54.]
7. Melmed S, Casanueva FF, Hoffman AR, et al. Diagnosis and Treatment of Hyperprolactinemia: An Endocrine Society Clinical Practice Guideline. J. Clin. Endocr. Metab. 2011;96(2):273-288. doi: 10.1210/jc.2010-1692.
8. Molitch ME. Management of medically refractory prolactinoma. J. Neurooncol. 2013;117(3):421-428. doi: 10.1007/s11060-013-1270-8.
9. Babey M, Sahli R, Vajtai I, et al. Pituitary surgery for small prolactinomas as an alternative to treatment with dopamine agonists. Pituitary. 2010;14(3):222-230. doi: 10.1007/s11102-010-0283-y.
10. Bloomgarden E, Molitch ME. Surgical treatment of prolactinomas: cons. Endocrine. 2014;47(3):730-733. doi: 10.1007/s12020-014-0369-9.
11. Glezer A, Bronstein MD. Prolactinomas, cabergoline, and pregnancy. Endocrine. 2014;47(1):64-69. doi: 10.1007/s12020-014-0334-7.
12. Auriemma RS, Perone Y, Di Sarno A, et al. Results of a Single-Center Observational 10-Year Survey Study on Recurrence of Hyperprolactinemia after Pregnancy and Lactation. J. Clin. Endocr. Metab. 2013;98(1):372-379. doi: 10.1210/jc.2012-3039.
13. Rastogi A, Bhadada SK, Bhansali A. Pregnancy and tumor outcomes in infertile women with macroprolactinoma on cabergoline therapy. Gynecol. Endocrinol. 2016;33(4):270-273. doi: 10.1080/09513590.2016.1254177.
Supplementary files
|
|
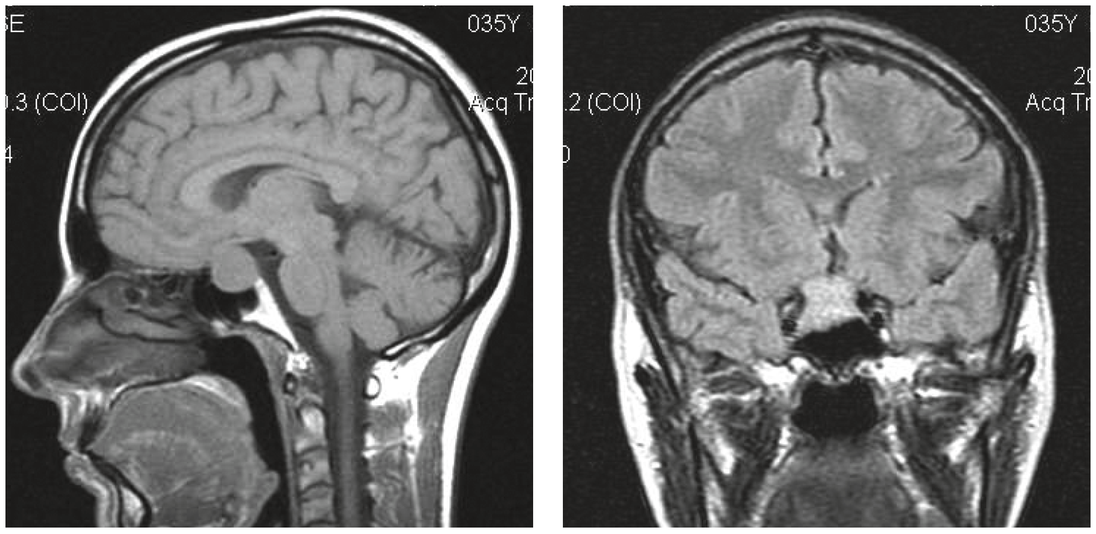
1. Fig. 1A. MRI of the patient's J. brain with pituitary adenoma before treatment | |
| Subject | ||
| Type | Исследовательские инструменты | |
View
(870KB)
|
Indexing metadata ▾ | |
|
|
2. Fig. 1B. MRI of the patient's J. brain with pituitary adenoma during treatment | |
| Subject | ||
| Type | Исследовательские инструменты | |
View
(620KB)
|
Indexing metadata ▾ | |
|
|
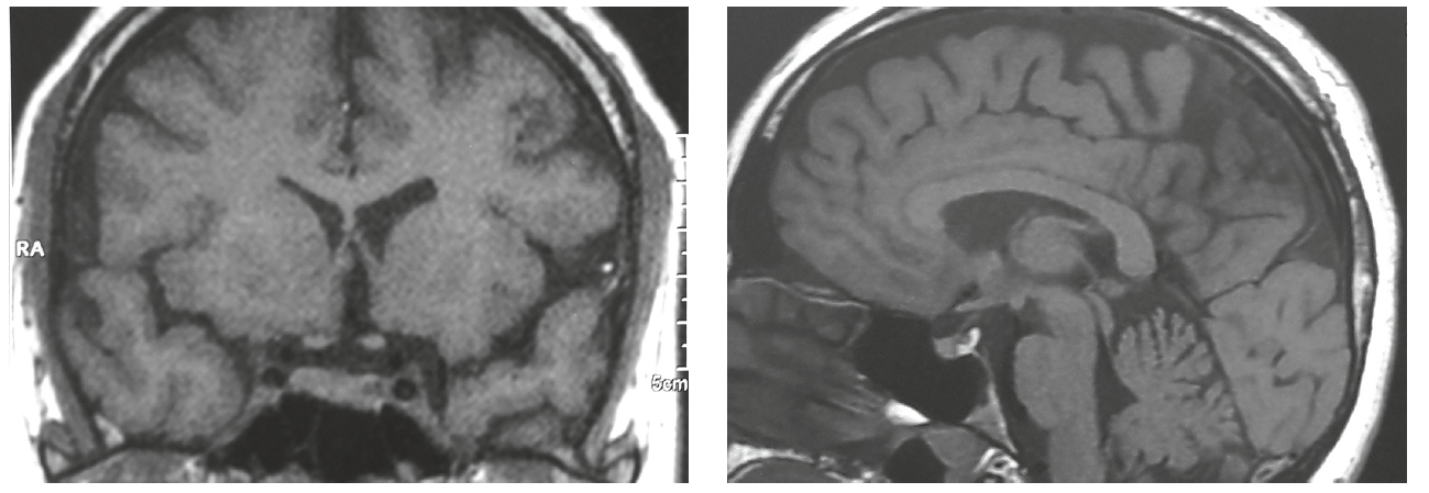
3. Fig. 2. MRI of the patient's R. brain with pituitary adenoma. | |
| Subject | ||
| Type | Исследовательские инструменты | |
View
(1MB)
|
Indexing metadata ▾ | |
|
|
4. Fig. 3. Dynamics of PRL level and titration of cabergoline dose (per week). | |
| Subject | ||
| Type | Исследовательские инструменты | |
View
(73KB)
|
Indexing metadata ▾ | |
Review
For citations:
Dzeranova L.K., Fedorova N.S., Vorotnikova S.Yu., Pigarova E.A. Description of clinical portraits of patients with hyperprolactinemia. Obesity and metabolism. 2018;15(3):65-69. (In Russ.) https://doi.org/10.14341/omet9866
This work is licensed under a Creative Commons Attribution-NonCommercial-NoDerivatives 4.0 International License (CC BY-NC-ND 4.0).




































