Перейти к:
Особенности поражения суставов позвоночника, грудной клетки и плечевого пояса у пациентов с акромегалией
https://doi.org/10.14341/omet13245
Аннотация
Обоснование. Акромегалия — тяжелое нейроэндокринное заболевание, вызванное гиперсекрецией гормона роста (ГР). Это заболевание затрагивает все органы и ткани, приводя к различным осложнениям, в том числе к поражению суставов, значительно ухудшающему качество жизни пациентов. Рентгенологические признаки остеоартрита (ОА) часто выявляются еще до постановки диагноза акромегалии и прогрессируют со временем, независимо от достижения биохимической ремиссии. Эффективных методов профилактики и лечения артропатии при акромегалии пока не существует.
Цель. Выявить особенности поражения суставов позвоночника, грудной клетки и плечевого пояса у пациентов с акромегалией.
Материалы и методы. Одноцентровое наблюдательное одномоментное ретроспективное сравнительное исследование. В исследование включены пациенты с акромегалией, способ формирования выборки — сплошной. Период набора: октябрь 2022 — ноябрь 2024 гг. Проведено сравнение особенностей структуры суставов позвоночника, грудной клетки и плечевого пояса у пациентов с акромегалией и в контрольной группе.
Результаты. В исследование включены 98 пациентов с акромегалией, из них 55 — женщины (56,1%) и 43 мужчины (43,9%). Средний возраст на момент установки диагноза составил 36 [31; 45] лет, а на момент обследования — 39,5 [32; 46] года. В группу контроля включены 12 мужчин (48%) и 13 женщин (52%). Медиана возраста составила 45 [39; 54] лет.
Наше исследование показало статистически значимую связь между рентгенологическими признаками остеоартрита (ОА) реберно-позвоночных суставов и возрастом у пациентов с акромегалией (p=0,001). ОА реберно-позвоночных суставов чаще встречался у пациентов старше 39 лет (медиана возраста в группе с ОА — 44 года [39; 54]). Кроме того, ОА акромиально-ключичных суставов имел более высокую частоту встречаемости у мужчин (p=0,006). Наконец, сравнительный анализ подтвердил значительно более высокую распространенность ОА реберно-позвоночных суставов у пациентов с акромегалией по сравнению с контрольной группой (p=0,001).
Заключение. ОА реберно-позвоночных суставов можно расценивать, как специфическое поражение опорно-двигательного аппарата (ОДА) у пациентов с акромегалией, а спондилоартроз, ОА грудино-реберных, плечевых, акромиально-ключичный сустав не являются таковым. Результаты нашего исследования демонстрируют необходимость комплексной оценки патологии ОДА у пациентов с акромегалией. Полученные данные могут послужить основой для усовершенствования алгоритмов реабилитации и дифференциальной диагностики сопутствующих заболеваний данной когорты пациентов, в том числе в мультидисциплинарном формате.
Ключевые слова
Для цитирования:
Перепелова М.А., Пржиялковская Е.Г., Луценко А.С., Берлович М.С., Першина-Милютина А.П., Тарбаева Н.В., Ковалевич Л.Д., Паневин Т.С., Пигарова Е.А., Дзеранова Л.К. Особенности поражения суставов позвоночника, грудной клетки и плечевого пояса у пациентов с акромегалией. Ожирение и метаболизм. 2025;22(2):86-96. https://doi.org/10.14341/omet13245
For citation:
Perepelova M.A., Przhyalkovskaya E.G., Lutsenko A.S., Berlovich M.S., Pershina-Milyutina A.P., Tarbaeva N.V., Kovalevich L.D., Panevin T.S., Pigarova E.A., Dzeranova L.K. Acromegaly and Osteoarthritis: a retrospective study of joint involvement in the spine, thorax, and shoulder complex. Obesity and metabolism. 2025;22(2):86-96. (In Russ.) https://doi.org/10.14341/omet13245
ВВЕДЕНИЕ
Акромегалия — тяжелое хроническое заболевание, характеризующееся персистирующим влиянием гормона роста на все органы и ткани. Известно, что у пациентов с акромегалией чаще встречается ОА крупных суставов (коленных, тазобедренных, плечевых) [1]. Эффективные методы профилактики и лечения акромегалической артропатии до сих пор не разработаны. На ранних стадиях ОА протекает бессимптомно, но затем проявляется болью при движении, отеками, деформациями суставов, ограничением подвижности. ОА и хроническая боль негативно сказываются на физическом и психическом здоровье. Silvestro O. и соавт. продемонстрировали, что болевой синдром, связанный с артропатией, приводит к повышенной тревожности и депрессии у пациентов с акромегалией [2]. Актуальность изучения особенностей патологии опорно-двигательного аппарата (ОДА) у данной группы пациентов обусловлена прогрессированием поражения даже на фоне ремиссии, необходимостью постоянного приема анальгетиков и эндопротезирования суставов [3].
Боль в спине — одна из наиболее распространенных проблем со здоровьем, затрагивающая значительную часть взрослого населения, варьируясь в пределах от 10 до 60%, приводит к выраженному дискомфорту, ограничению функциональных возможностей и существенному снижению уровня жизни [4]. Патология позвоночника включает поражение как костной ткани, так и хрящевой. Известно, что риск компрессионных переломов выше у пациентов с акромегалией, но в одном из последних многоцентровых исследований авторы выдвинули гипотезу, что в большей степени происходит деформация самих позвонков, отличная от компрессионных переломов [5]. Это указывает на необходимость комплексной оценки всех структурных изменений позвоночника у пациентов с акромегалией. Зафиксированы случаи серьезных поражений позвоночника у молодых пациентов с акромегалией, вплоть до инвалидизирующих состояний, таких как квадрипарез из-за шейного остеофитоза или миелопатия из-за оссификации задней продольной связки [5][6]. Это подчеркивает необходимость комплексного изучения изменений в позвоночнике при акромегалии.
Данное пилотное исследование посвящено особенностям поражения суставов позвоночника, грудной клетки и плечевого пояса у пациентов с акромегалией на территории Российской Федерации.
ЦЕЛЬ ИССЛЕДОВАНИЯ
Выявить особенности поражения суставов позвоночника, грудной клетки и плечевого пояса у пациентов с акромегалией
МАТЕРИАЛЫ И МЕТОДЫ
Место и время проведения исследования
Место проведения. ГНЦ РФ ФГБУ «НМИЦ эндокринологии им. академика И.И. Дедова» Минздрава России.
Время исследования. Период набора октябрь 2022 — ноябрь 2024 гг.
Изучаемые популяции (одна или несколько)
В рамках исследования изучалась популяция пациентов с акромегалией и группа сравнения.
Для пациентов с акромегалией
Критерии включения: мужской и женский пол, возраст 18 лет и старше, активная стадия акромегалии (код МКБ-10 E22.0), подтвержденная характерными клиническими проявлениями, повышением уровня инсулиноподобного фактора роста — 1 (ИФР-1) (согласно возрастному референсному диапазону).
Критерии исключения: возраст старше 60 лет; иммуновоспалительные ревматические заболевания в анамнезе.
Для группы сравнения
Критерии включения: мужской и женский пол, возраст 18 лет и старше, отсутствие акромегалии.
Критерии исключения: возраст старше 60 лет; иммуновоспалительные ревматические заболевания в анамнезе.
Способ формирования выборки из изучаемой популяции (или нескольких выборок из нескольких изучаемых популяций)
Способ формирования выборки — сплошной.
Дизайн исследования
Одноцентровое наблюдательное одномоментное ретроспективное сравнительное исследование.
Методы
Мультиспиральная компьютерная томография органов грудной клетки (МСКТ ОГК) выполнялась на двуэнергетическом компьютерном томографе Revolution CT (540 срезов). Диагноз «ОА» устанавливался на основании характерных рентгенологических признаков: сужения суставной щели, склеротические изменения замыкательных пластинок суставных поверхностей с наличием костных разрастаний (остеофитов) и/или субхондральных кист.
Лабораторные исследования: ИФР-1 измеряли иммунохемилюминесцентным методом на аппарате Cobas 6000+ Cobas e 601, использован референсный диапазон по возрасту.
Степень ожирения оценивалась при помощи градации индекса массы тела (ИМТ) в соответствии с рекомендациями Всемирной организации здравоохранения, кг/м2: 16–18,5 — недостаточная (дефицит) масса тела; 18,5–25 — норма; 25,1–30 — избыточная масса тела (предожирение); 30,1–35 — ожирение первой степени; 35,1–40 — ожирение второй степени; 40,1 и более — ожирение третьей степени (морбидное).
Статистический анализ
Статический анализ проводился с использованием прикладной программы Statistica 13 (Tibco, США). Описательная статистика количественных данных представлена медианами и интерквартильными диапазонами (Me [Q1; Q3]), качественных данных — в виде абсолютных и относительных частот (n (%)). Для сравнения двух независимых групп по количественным признакам применялся критерий Манна-Уитни, по качественным — точный двусторонний критерий Фишера. Для выявления статистически значимых различий между качественными признаками трех независимых групп — критерий Фримена-Холтона. Критический уровень значимости при проверке статистических гипотез принимался равным 0,05. При множественных сравнениях применяли поправку Бонферрони, корректируя критический уровень значимости. Для оценки прогностической значимости возраста в отношении наличия рентгенологических признаков ОА реберно-позвоночных суставов выполнен ROC-анализ (использовалось программное обеспечение IBM SPSS Statistics) с определением точка Cut-off возраста с использованием критерия Юдена.
Этическая экспертиза
Проведение исследования одобрено локальным этическим комитетом ФГБУ «НМИЦ эндокринологии им. академика И.И. Дедова» Минздрава России: «Планируемая научная работа соответствует этическим стандартам добросовестной клинической практики и может быть проведена на базе отделения нейроэндокринологии ФГБУ «НМИЦ эндокринологии им. академика И.И. Дедова» Минздрава России» (протокол заседания №18 от 12 октября 2022 г.).
Результаты
В наше исследование включено 98 пациентов с акромегалией, из них 55 женщин (56,1%) и 43 мужчины (43,9%). Средний возраст на момент подтверждения диагноза составил 36 [ 31; 45] лет, а на момент обследования — 39,5 [ 32; 46] года. Медиана длительности заболевания до выявления акромегалии составила один год [ 0; 4], максимально — 10 лет. Количество пациентов в активной стадии акромегалии без какого-либо предшествующего лечения — 36 (36,7%), также у 3 (3,1%) пациентов отмечался медикаментозный контроль заболевания, у остальных наблюдалось отсутствие контроля заболевания, несмотря на проводимое лечение.
Основные клинические характеристики пациентов представлены в таблице 1.
У большинства пациентов регистрировалась либо избыточная масса тела, либо ожирение различной степени (табл. 2).
При первичном осмотре у пациентов собран анамнез по активно предъявляемым жалобам. Лидирующие позиции заняли изменения внешности, такие как огрубение черт лица в 79,6% и укрупнение конечностей в 83,7%. Пациентов также беспокоили головная боль (73,5%), общая слабость (67,3%) и потливость (55,1%). Основные жалобы представлены на рисунке 1.
В нашем исследовании проведен анализ патологии позвоночника и суставов у пациентов с акромегалией. Спондилоартроз выявлен почти у всех пациентов — 95,9%, чуть реже визуализирован ОА реберно-позвоночных суставов 89,8% и ОА грудино-реберных суставов в 75,9% случаев (табл. 3, рис. 2–5).
В группу сравнения включены 12 мужчин (48%) и 13 женщин (52%). У всех пациентов исключена акромегалия — ИФР-1 в пределах референсных значений. Медиана возраста составила 45 [ 39; 54]. Спондилоартроз так же часто встречался и в группе сравнения — 96%, а ОА реберно-позвоночных суставов — в 68% случаев (табл. 4).
При сравнении двух групп статически значимо ОА реберно-позвоночных суставов встречался чаще у пациентов с акромегалией (р=0,001) (табл. 5).
У пациентов с акромегалией ОА реберно-позвоночных и плечевых суставов имел четкую корреляцию с возрастом (р=0,014 и р=0,001) и встречался у лиц более старшего возраста вне зависимости от гендерной принадлежности. ОА АКС зависел от пола (р=0,006) и чаще встречался у мужчин, также отмечена тенденция к различию у пациентов с ОА грудинно-реберных суставов. Выявлена тенденция возникновения ОА плечевых суставов у пациентов с акромегалией в зависимости от показателя ИМТ (р=0,013). Взаимосвязь потенциальных факторов риска ОА у пациентов с акромегалией представлена в таблице 6.
В группе сравнения ОА плечевых суставов чаще встречался у мужчин (р=0,0152), а ОА реберно-позвоночных и ОА АКС встречался у лиц более старшего возраста (табл. 7).
Учитывая выявленное специфическое поражение реберно-позвоночных суставов у пациентов с акромегалией, рассчитана отрезная точка возраста появления данной патологии, которая равна ≥39 лет. Точность — 0,622 (0,526–0,718), чувствительность — 0,580 (0,476–0,683), специфичность — 1,000 (1,000–1,000). Оценка прогностической ценности положительного и отрицательного результатов 1,000 и 0,213 соответственно, р=0,013 (рис. 6).
Таблица 1. Основные характеристики пациентов с акромегалией
Table 1. Main characteristics of patients with acromegaly
|
Признак |
N |
Me [Q1; Q3]/n (%) |
|
|
Пол |
Мужской |
98 |
43 (43,9%) |
|
Женский |
55 (56,1%) |
||
|
Возраст в дебюте симптомов акромегалии, лет |
98 |
32 [ 26; 39] |
|
|
Возраст диагностирования акромегалии, лет |
98 |
36 [ 31; 45] |
|
|
Возраст при проведении МСКТ ОГК, лет |
98 |
39,5 [ 32; 46] |
|
|
Длительность заболевания на момент проведения исследования, лет |
98 |
5 [ 2; 8] |
|
|
ИФР-1 в дебюте акромегалии, нг/мл |
88 |
625,995 [ 480,45; 859,5] |
|
|
ИФР-1 во время обследования, нг/мл |
98 |
661,6 [ 475,8; 833,9] |
|
|
Предшествующее оперативное лечение |
98 |
22 (22,4%) |
|
|
Предшествующая лучевая терапия |
98 |
2 (2%) |
|
|
Терапия октреотидом |
98 |
31 (31,6%) |
|
|
Терапия ланреотидом |
98 |
5 (5,1%) |
|
|
Терапия пэгвисомантом |
98 |
4 (4,1%) |
|
|
Терапия каберголином |
98 |
26 (26,5%) |
|
|
Активная стадия без лечения |
98 |
36 (36,7%) |
|
Таблица 2. ИМТ пациентов с акромегалией на момент проведения исследования
Table 2. BMI of patients with acromegaly at the time of the study
|
Признак |
N |
Me [Q1; Q3]/n (%) |
|
|
ИМТ |
Дефицит массы тела |
98 |
0 (0%) |
|
Норма |
18 (18,4%) |
||
|
Избыточная масса тела |
40 (40,8%) |
||
|
Ожирение |
28 (28,6%) |
||
|
Ожирение II |
8 (8,2%) |
||
|
Ожирение III |
4 (4,1%) |
||

Рисунок 1. Основные жалобы у пациентов с акромегалией, % от общего количества пациентов.
Figure 1. Main complaints in patients with acromegaly, % of the total number of patients
Таблица 3. Патология суставов у пациентов с акромегалией
Table 3. Joint pathology in patients with acromegaly
|
Признак |
N |
Me [Q1; Q3]/n (%) |
|
Спондилоартроз |
98 |
94 (95,9%) |
|
ОА реберно-позвоночных суставов |
98 |
88 (89,8%) |
|
ОА грудино-реберных суставов |
79 |
60 (75,9%) |
|
ОА плечевых суставов |
98 |
35 (35,7%) |
|
ОА акромиально-ключичных суставов (АКС) |
98 |
16 (16,3%) |

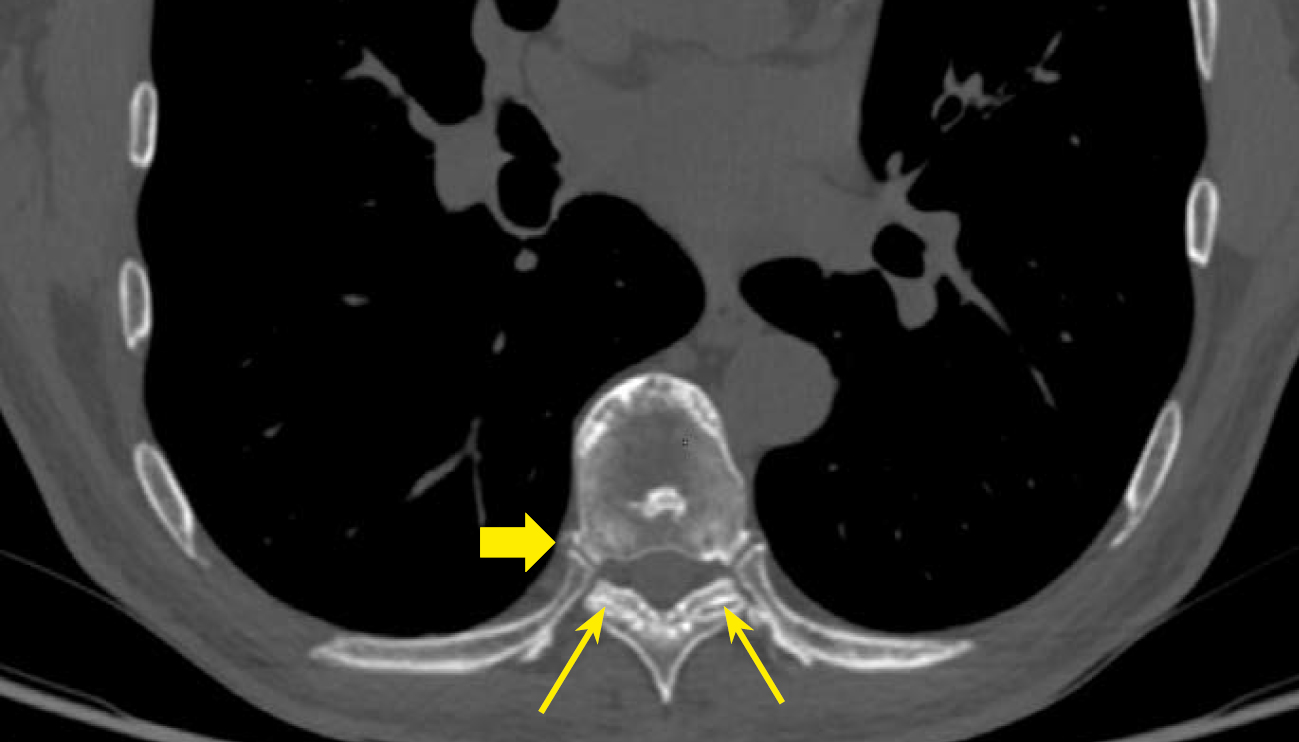
Рисунок 2. МСКТ пациента А. с акромегалией 37 лет, аксиальная проекция (склероз субхондральных отделов с сужением суставной щели, тонкие стрелки), ОА реберно-позвоночных суставов (склероз субхондральных отделов с наличием остеофитов, толстая стрелка).
Figure 2. MSCT of patient A. with acromegaly, 37 years old, axial view (sclerosis of subchondral regions with joint space narrowing, thin arrows), OA of costovertebral joints (sclerosis of subchondral regions with osteophytes, thick arrow).

Рисунок 3. МСКТ пациента А. с акромегалией 37 лет, коронарная проекция. ОА плечевого сустава, грубые костные разрастания по контурам головки плечевой кости (стрелка).
Figure 3. MSCT of patient A. with acromegaly, 37 years old, coronal view. OA of the shoulder joint, rough bone growths along the contours of the humeral head (arrow).

Рисунок 4. МСКТ пациента А. с акромегалией 37 лет, коронарная проекция. Остеофиты по контурам тел позвонков, формирующие «костные мостики» (стрелки).
Figure 4. MSCT of patient A. with acromegaly, 37 years old, coronal view. Osteophytes along the contours of the vertebral bodies, forming "bony bridges" (arrows).

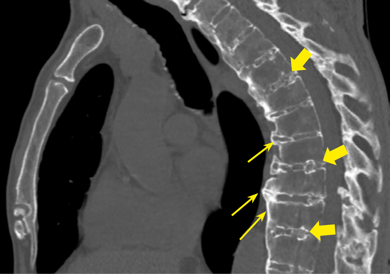
Рисунок 5. МСКТ пациента А. с акромегалией 37 лет, сагиттальная проекция. Остеохондроз грудного отдела позвоночника. Остеофиты по контурам тел позвонков, формирующие «костные мостики» (стрелки), клиновидная деформация тел позвонков, снижение высоты межпозвонковых дисков, участки обызвествления в межпозвонковых дисках (толстые стрелки).
Figure 5. MSCT of patient A. with acromegaly, 37 years old, sagittal view. Osteochondrosis of the thoracic spine. Osteophytes along the contours of the vertebral bodies, forming "bony bridges" (arrows), wedge-shaped deformity of vertebral bodies, decreased height of intervertebral discs, areas of calcification in intervertebral discs (thick arrows).
Таблица 4. Группа сравнения
Table 4. Control group
|
Признак |
N |
Me [Q1; Q3]/n (%) |
|
|
Пол |
Мужской |
25 |
12 (48%) |
|
Женский |
13 (52%) |
||
|
Возраст во время проведения исследования |
25 |
45 [ 39; 54] |
|
|
ОА грудинно-реберных суставов |
25 |
22 (88%) |
|
|
Спондилоартроз |
25 |
24 (96%) |
|
|
ОА реберно-позвоночных суставов |
25 |
17 (68%) |
|
|
ОА АКС |
25 |
6 (24%) |
|
|
ОА плечевых суставов |
25 |
5 (20%) |
|
Таблица 5. Сравнение групп
Table 5. Comparison of groups
|
Признак |
p |
|
ОА грудинно-реберных суставов |
0,2662 |
|
Грыжа межпозвонковых дисков |
1,0002 |
|
Спондилоартроз |
1,0002 |
|
ОА реберно-позвоночных суставов |
<0,0012 |
|
ОА АКС |
0,3872 |
|
ОА плечевых суставов |
0,1582 |
Примечание: 1 — критерий Манна-Уитни; 2 — точный двусторонний критерий Фишера. Поправка Бонферрони: 0,05/6 = 0,008.
Таблица 6. Взаимосвязь потенциальных факторов риска ОА у пациентов с акромегалией
Table 6. Correlation of potential risk factors for OA in patients with acromegaly
|
Признак |
Патология есть |
Патология отсутствует |
р |
|||
|
N |
Me [Q1; Q3]/n(%) |
N |
Me [Q1; Q3]/n(%) |
|||
|
ОА грудинно-реберных суставов |
||||||
|
Возраст |
60 |
38 [ 32; 44] |
19 |
33 [ 30; 41] |
0,0351 |
|
|
ОА реберно-позвоночных суставов |
||||||
|
Возраст |
88 |
40 [ 32,5; 47] |
10 |
34 [ 31; 36] |
0,0141 |
|
|
ОА АКС |
||||||
|
Пол |
16 |
2 (12,5%) |
82 |
41 (50%) |
0,0062 |
|
|
ОА плечевых суставов |
||||||
|
Возраст |
35 |
44 [ 39; 54] |
63 |
36 [ 31; 44] |
<0,0011 |
|
|
ИМТ |
Дефицит |
35 |
0 (0%) |
63 |
0 (0%) |
0,0132 |
|
Норма |
1 (2,9%) |
17 (27%) |
||||
|
Избыточная |
16 (45,7%) |
24 (38,1%) |
||||
|
Ожирение I |
14 (40%) |
14 (22,2%) |
||||
|
Ожирение II |
2 (5,7%) |
6 (9,5%) |
||||
|
Ожирение III |
2 (5,7%) |
2 (3,2%) |
||||
Примечание:
1 — критерий Манна-Уитни;
2 — точный двусторонний критерий Фишера.
Поправка Бонферрони: 0,05/3=0,017.
Таблица 7. Взаимосвязь потенциальных факторов риска ОА у здоровых добровольцев
Table 7. Correlation of potential risk factors for OA in healthy volunteers
|
Признак |
Патология есть |
Патология отсутствует |
р |
||
|
N |
Me [Q1; Q3]/n (%) |
N |
Me [Q1; Q3]/n (%) |
||
|
ОА реберно-позвоночных суставов |
|||||
|
Возраст |
17 |
48 [ 43; 56] |
8 |
37,5 [ 34,5; 40,5] |
0,0031 |
|
ОА АКС |
|||||
|
Возраст |
6 |
56,5 [ 45; 63] |
19 |
41 [ 37; 48] |
0,0241 |
|
ОА плечевых суставов |
|||||
|
Пол |
5 |
5 (100%) |
20 |
7 (35%) |
0,0152 |
Примечание:
1 — критерий Манна-Уитни;
2 — точный двусторонний критерий Фишера.
Поправка Бонферрони: 0,05/2=0,025.

Рисунок 6. ROC-кривая: зависимость появления ОА реберно-позвоночных суставов от возраста у пациентов с акромегалией.
Figure 6. ROC curve: dependence of the appearance of OA of costovertebral joints on age in patients with acromegaly.
Обсуждение
У пациентов с акромегалией, особенно в активной стадии, часто превалируют жалобы на боли в суставах различной локализации. Данный симптом может быть одним из первых проявлений нейроэндокринного заболевания и прогрессирует при отсутствии необходимого лечения. Так, Cao R. и соавт. продемонстрировали клинический случай пациентки 50 лет, которая изначально обращалась с болью и отеками суставов. В ходе исключения различных артритов аутоиммунного и инфекционного генезов, заподозрена акромегалия. После нейрохирургического лечения боли значительно уменьшились, что может свидетельствовать о положительной роли уменьшения отеков в послеоперационном периоде на болевой синдром [7]. В нашем исследовании жалобы на боли в суставах предъявляли 34,7% пациентов. Вероятно, это объясняется тем, что пациенты были сосредоточены на основном заболевании (акромегалии) и больше внимания уделяли жалобам на изменение внешности и головную боль. Ретроспективный характер исследования не позволил детально изучить состояние всех суставов.
Несмотря на успешное достижение ремиссии акромегалии, проблемы, связанные с патологией ОДА, могут сохраняться и значительно ухудшать качество жизни пациентов. Layton M.W. и соавт. выявили уменьшение болевого синдрома, связанного с артропатией, после достижения нормализации ИФР-1 у 8 из 9 пациентов. В дальнейшем при расширении выборки пациентов такой взаимосвязи не выявляли [8]. Так, Pelsma I.C.M. и соавт. продемонстрировали, что, несмотря на биохимическую ремиссию акромегалии, у больных продолжали прогрессировать дегенеративные изменения суставов [9]. В нашем исследовании рентгенологические поражения суставов также отмечались у всех пациентов в ремиссии. Ограничением исследования является малое количество больных в ремиссии. Связано это с тем, что в исследование включены пациенты в основном перед первичным или повторным нейрохирургическим вмешательством и медиана уровня ИФР-1 составляла 661,6 [ 475,8; 833,9] нг/мл. Поэтому первыми, к кому могут обратиться пациенты с болью в суставах и акромегалией, это терапевты, ревматологи или травматологи-ортопеды, что диктует повышение информированности специалистов об акромегалии и ее скрининге с помощью оценки уровня ИФР-1.
Представляет интерес поражение грудинно-реберных суставов в целом. Чаще всего данную патологию связывают со спондилоартритами, реже — травмой грудной клетки, тяжелым интенсивным трудом или со спортивными повреждениями. Считается, что избыточная пролиферация хрящевой ткани при акромегалии сдавливает нервные волокна и становится причиной возникновения болевого синдрома [10]. Реберный хондрит сопровождается локальным отеком в области грудины и болью, которая может иррадиировать в руку или грудную клетку. Данная патология более известна как синдром Титце, а сочетание его с акромегалией описано не было. Также поражение грудинно-реберных суставов имеет большое значение в дифференциальной диагностике с ишемической болезнью сердца и межреберной невралгией [11]. При акромегалии механические изменения в эластичности дыхательной системы и геометрии дыхательных мышц могут потенциально способствовать развитию легочных заболеваний. У таких пациентов наблюдаются изменения в силе дыхательных мышц, сокращение времени вдоха, возможное увеличение частоты дыхания и возникновение субклинической гипоксемии [12]. В нашем исследовании у 75,9% пациентов встречалась патология грудинно-реберных суставов. Учитывая ретроспективный характер нашего исследования, наличие отека и боли в области грудной клетки оценить не представлялось возможным. Обращая внимание на то, что пациенты с акромегалией относятся к группе высокого риска сердечно-сосудистых осложнений [13], вовремя выявленный артроз грудинно-реберных суставов может помочь в выборе оптимальной тактики лечения и дифференциальной диагностике болевого синдрома.
Реберно-позвоночные суставы часто упускаются из внимания ввиду топографических особенностей. Существуют данные о распространенности артроза реберно-позвоночных суставов, но конкретные цифры могут варьировать в зависимости от популяции и методов исследования [14]. В общем, артроз реберно-позвоночных суставов часто проявляется у пожилых людей и у пациентов с хроническими заболеваниями, такими как ОА, а также у лиц с предрасполагающими факторами, такими как травмы или избыточная масса тела. В нашем исследовании корреляции с массой тела выявлено не было, но отмечена взаимосвязь с возрастом пациентов, отрезная точка составила 39 лет.
Некоторые исследования предполагают, что поражение реберно-позвоночных суставов встречается у 30–50% людей старше 65 лет в общей популяции. Однако данные по этому вопросу могут быть ограничены, и необходимы дополнительные исследования для более точной оценки распространенности. Они имеют важное значение в стабилизации, переносимости нагрузок, подвижности, защите и движении грудной клетки. Артроз реберно-позвоночных суставов может приводить к умеренной ригидности грудной клетки и последующей неспособности полностью расширить грудную клетку на вдохе [15]. Это приводит к значительному снижению физической работоспособности и ухудшению качества жизни. В нашем исследовании артроз реберно-позвоночных суставов встречался у 89,8% пациентов с акромегалией, чаще, чем в группе сравнения (р<0,001).
Признаки спондилоартроза по результатам МСКТ обнаружены у 94 (95,9%) пациентов с акромегалией, предполагающих факторов риска развития выявлено не было. В группе сравнения данная патология диагностирована у 94% здоровых добровольцев, что свидетельствует о неспецифичности развития спондилоартроза для пациентов с акромегалией.
АКС является важным компонентом плечевого пояса, и его поражение может приводить к хроническому болевому синдрому. Специфика строения и функционирования соединения между ключицей и лопаткой, отвечающего за диапазон, амплитуду и плавность движений в плечевом суставе, в значительной степени влияет на характер и причины возникновения травм АКС. Чаще всего такое повреждение встречается у спортсменов в возрасте от 15 до 25 лет, достигая 10% по распространенности поражения плечевого пояса [16]. Неконгруэнтность сустава, пораженный внутрисуставной диск и/или высокие нагрузки на сустав предрасполагают к раннему развитию ОА, который обычно проявляется у лиц 50—60 лет [17]. Мало что известно о патофизиологии нетравматического дегенеративного заболевания АКС, поэтому изучение этой патологии у пациентов с акромегалией представляет огромный интерес. Ранее описан клинический случай повреждения АКС у пациентки с акромегалией 30 лет, которой в дальнейшем успешно проведен курс физиотерапевтического лечения [18]. В нашем исследовании поражение АКС у 16 (16,3%) пациентов чаще встречалось у женщин, в отличие от группы сравнения.
ОА плечевого сустава может стать причиной болевого синдрома, ограничения подвижности сустава и дальнейшей инвалидизации пациента. В современной популяции распространенность боли в суставе, обусловленная воспалительным и дегенеративным поражением структур, может достигать 20–33% [19]. Garofoli R. и соавт. продемонстрировали, что поражение плечевого сустава может быть одним из первых симптомов акромегалии. Авторы представили описание пациента 50 лет, у которого наблюдалось ограничение подвижности в плечевом суставе в связи с болевым синдромом на протяжении нескольких месяцев. В ходе дифференциальной диагностики выявлена акромегалия, проведена трансназальная аденомэктомия. Параллельно проводилось лечение ОА плечевого сустава в виде внутрисуставного введения глюкокортикоидов, физиотерапии и лечебной физкультуры. Через 6 месяцев лечения ОА и 3 месяцев после нейрохирургического лечения акромегалии отмечалась значимая положительная динамика (уменьшение болевого синдрома, улучшение подвижности), что указывает на необходимость мультидисциплинарного подхода при поражении ОДА у пациентов с акромегалией. Примечательно, что ОА плечевого сустава связан с тяжестью ОА суставов кисти, что подтвердили в своем наблюдении Pelsma I.C.M. и соавт. [20]. В исследовании Kropf L. и соавт. поражение плечевых суставов на основе опросников и физикального осмотра диагностировано у 35% пациентов с акромегалией из 71, и выявлена взаимосвязь с ИМТ. В нашем исследовании поражение плечевых суставов обнаружено у 35 (35,7%) пациентов, что согласуется с данными предыдущего исследования, описанного ранее. Обращает на себя внимание, что патология встречалась в равной степени как у мужчин, так и у женщин, по сравнению с группой контроля. Более старший возраст и повышенный ИМТ являлись фактором риска развития ОА плечевого сустава у пациентов с акромегалией. Учитывая, что данная патология выявлена у 20% лиц из группы сравнения, вероятно, ОА плечевого сустава не является столь специфичным поражением для пациентов с акромегалией.
Ограничения исследования
Учитывая ретроспективный характер исследования, провести подробный расспрос о боли в суставах у пациентов с акромегалией и группой контроля не представлялось возможным. Также имеются ограничения в оценке функционального состояния всех суставов. Малая выборка группы здоровых добровольцев может привести к низкой статистической мощности, что снижает вероятность обнаружения статистически значимых различий между группами, даже если они существуют на самом деле. Результаты могут быть не обобщаемы на более широкую популяцию.
Заключение
ОА реберно-позвоночных суставов можно расценивать как специфическое поражение ОДА у пациентов с акромегалией, а спондилоартроз, ОА грудино-реберных, плечевых, АКС не являются таковым. Результаты нашего исследования демонстрируют необходимость комплексной оценки патологии ОДА у пациентов с акромегалией. Полученные данные могут послужить основой для усовершенствования алгоритмов реабилитации и дифференциальной диагностики сопутствующих заболеваний данной когорты пациентов, в том числе в мультидисциплинарном формате.
Дополнительная информация
Источники финансирования. Работа выполнена в рамках гранта РНФ №23-75-01151 «Генетические и молекулярные маркеры неблагоприятного течения артропатий у пациентов с акромегалией».
Конфликт интересов. Авторы декларируют отсутствие явных и потенциальных конфликтов интересов, связанных с содержанием настоящей статьи.
Участие авторов. Перепелова М.А. — сбор материала и анализ данных, написание текста рукописи; Луценко А.С. — анализ данных, внесение в рукопись важной правки; Пржиялковская Е.Г. — курация пациентов, одобрение финальной версии рукописи; Берлович М.С. — сбор, анализ и составление базы данных; Першина-Милютина А.П. — обработка материала, статистический анализ данных; Тарбаева Н.В. — описание МСКТ снимков, внесение в рукопись важной правки; Паневин Т.С. — внесение в рукопись важной правки; Ковалевич Л.Д. — описание МСКТ снимков, внесение в рукопись важной правки; Дзеранова Л.К., Пигарова Е.А. — разработка концепции и дизайна исследования, одобрение финальной версии рукописи.
Все авторы одобрили финальную версию статьи перед публикацией, выразили согласие нести ответственность за все аспекты работы, подразумевающую надлежащее изучение и решение вопросов, связанных с точностью или добросовестностью любой части работы.
Список литературы
1. Перепелова М.А., Луценко А.С., Уткина М.B., Тарбаева Н.В., Пржиялковская Е.Г. Поражение суставов у пациентов с акромегалией: потенциальные маркеры ранней диагностики. // Ожирение и метаболизм. — 2024. — Т.21. — №2. — С.195-204. doi: https://doi.org/10.14341/omet13133
2. Silvestro O, Lund-Jacobsen T, Ferraù F, Blanca ES, Catalano A, et al. Anxiety, depression and acromegaly: a systematic review. J Endocrinol Invest. 2025;48(3):527-546. doi: https://doi.org/10.1007/s40618-024-02483-3
3. Rosendal C, Arlien-Søborg MC, Nielsen EH, Feltoft CL, Rasmussen ÅK, et al. Musculoskeletal disease in acromegaly-a population-based registry study. Eur J Endocrinol. 2025;192(3):308-317. doi: https://doi.org/10.1093/ejendo/lvaf047
4. Каратеев А.Е. Хроническая боль в спине как проявление остеоартрита позвоночника: обоснование и практика применения симптоматических средств замедленного действия. // Современная ревматология. — 2022. — Т.16. — №4. — С.88-97. doi: https://doi.org/10.14412/1996-7012-2022-4-88-97
5. Plard C, Hochman C, Hadjadj S, Le Goff B, Maugars Y, Cariou B, Drui D, Guillot P. Acromegaly is associated with vertebral deformations but not vertebral fractures: Results of a cross-sectional monocentric study. Joint Bone Spine. 2020;87(6):618-624. doi: https://doi.org/10.1016/j.jbspin.2020.04.020
6. Lalwani S, Nachankar A, Modi S, Shekhawat VS. Cervical osteophyte complex causing compressive myelopathy leading to a diagnosis of acromegaly. BMJ Case Rep. 2025;18(5):e262123. doi: https://doi.org/10.1136/bcr-2024-262123
7. Cao R, Zhang D, Xing H, Wang M, Lu Z, Fan B. Acromegaly with joint pain as an initial symptom: A case report. Int J Rheum Dis. 2023;26(6):1129-1133. doi: https://doi.org/10.1111/1756-185X.14572
8. Layton MW, Fudman EJ, Barkan A, Braunstein EM, Fox IH. Acromegalic arthropathy. Characteristics and response to therapy. Arthritis Rheum. 1988;31(8):1022-7. doi: https://doi.org/10.1002/art.1780310813
9. Pelsma ICM, Biermasz NR, van Furth WR, Pereira AM, Kroon HM, et al. Progression of acromegalic arthropathy in long-term controlled acromegaly patients: 9 years of longitudinal follow-up. J Clin Endocrinol Metab. 2021;106(1):188-200. doi: https://doi.org/10.1210/clinem/dgaa747
10. Giustina A, Barkan A, Beckers A, Biermasz N, Biller BMK, et al. A Consensus on the Diagnosis and Treatment of Acromegaly Comorbidities: An Update. J Clin Endocrinol Metab. 2020;105(4):dgz096. doi: https://doi.org/10.1210/clinem/dgz096
11. Matsuki Y, Nakamura T. Spondyloarthritis and Tietze’s syndrome: A re-evaluation. Mod Rheumatol. 2024;35(1):1-6. doi: https://doi.org/10.1093/mr/roae086
12. Chanson P, Salenave S. Acromegaly. Orphanet J Rare Dis. 2008,3:1-17. doi: https://doi.org/10.1186/1750-1172-3-1
13. Ковалева Ю.А., Иловайская И.А., Древаль А.В., Старостина Е.Г. Кардиореспираторные нарушения при акромегалии // РМЖ. — 2016. — №1. — С. 19–24. [Kovaleva YuA, Ilovajskaya IA, Dreval’ AV, Starostina EG. Kardiorespiratornye narusheniya pri akromegalii // RMZh. 2016;1:19-24 (In Russ.).]
14. Chui ETF, Tsang HHL, Lee KH, Lau CS, Wong CH, Chung HY. MRI inflammation of facet and costovertebral joints is associated with restricted spinal mobility and worsened functional status. Rheumatology (Oxford). 2020;59(9):2591-2602. doi: https://doi.org/10.1093/rheumatology/kez649
15. Saker E, Graham RA, Nicholas R, D’Antoni AV, Loukas M, Oskouian RJ, Tubbs RS. Ligaments of the Costovertebral Joints including Biomechanics, Innervations, and Clinical Applications: A Comprehensive Review with Application to Approaches to the Thoracic Spine. Cureus. 2016;8(11):e874. doi: https://doi.org/10.7759/cureus.874
16. Pallis M, Cameron KL, Svoboda SJ, et al. Epidemiology of acromioclavicular joint injury in young athletes. Am J Sports Med. 2012;40(9):2072–7
17. Buttaci CJ, Stitik TP, Yonclas PP, et al. Osteoarthritis of the acromioclavicular joint: a review of anatomy, biomechanics, diagnosis, and treatment. Am J Phys Med Rehabil. 2004;83(10):791–7
18. Cirolia JT. Acromegalic Arthropathy. J Orthop Sports Phys Ther. 2019;49(11):864. doi: https://doi.org/10.2519/jospt.2019.8302
19. Каратеев А.Е., Лила А.М., Загородний Н.В., Алексеева Л.И., Архипов С.В., Арьков В.В., и др. Совет экспертов: хроническая боль в области плечевого сустава как мультидисциплинарная проблема. // Современная ревматология. — 2023. — Т.17. — №3. — С.111-120. doi: https://doi.org/10.14412/1996-7012-2023-3-111-120
20. Pelsma ICM, Kroon HM, van Trigt VR, Pereira AM, Kloppenburg M, Biermasz NR, Claessen KMJA. Clinical and radiographic assessment of peripheral joints in controlled acromegaly. Pituitary. 2022;25(4):622-635. doi: https://doi.org/10.1007/s11102-022-01233-z
Об авторах
М. А. ПерепеловаРоссия
Перепелова Маргарита Александровна – аспирант.
117292, Москва, ул. Дм. Ульянова, д. 11
Конфликт интересов:
Авторы декларируют отсутствие явных и потенциальных конфликтов интересов, связанных с содержанием настоящей статьи
Е. Г. Пржиялковская
Россия
Пржиялковская Елена Георгиевна - к.м.н.
Москва
Конфликт интересов:
Авторы декларируют отсутствие явных и потенциальных конфликтов интересов, связанных с содержанием настоящей статьи
А. С. Луценко
Россия
Луценко Александр Сергеевич - к.м.н.
Москва
Конфликт интересов:
Авторы декларируют отсутствие явных и потенциальных конфликтов интересов, связанных с содержанием настоящей статьи
М. С. Берлович
Россия
Берлович Мария Сергеевна – ординатор.
Москва
Конфликт интересов:
Авторы декларируют отсутствие явных и потенциальных конфликтов интересов, связанных с содержанием настоящей статьи
А. П. Першина-Милютина
Россия
Першина-Милютина Анастасия Павловна
Москва
Конфликт интересов:
Авторы декларируют отсутствие явных и потенциальных конфликтов интересов, связанных с содержанием настоящей статьи
Н. В. Тарбаева
Россия
Тарбаева Наталья Викторовна - к.м.н.
Москва
Конфликт интересов:
Авторы декларируют отсутствие явных и потенциальных конфликтов интересов, связанных с содержанием настоящей статьи
Л. Д. Ковалевич
Россия
Ковалевич Лилия Дмитриевна
Москва
Конфликт интересов:
Авторы декларируют отсутствие явных и потенциальных конфликтов интересов, связанных с содержанием настоящей статьи
Т. С. Паневин
Россия
Паневин Тарас Сергеевич - к.м.н., н.с.
Москва, Хабаровск
Конфликт интересов:
Авторы декларируют отсутствие явных и потенциальных конфликтов интересов, связанных с содержанием настоящей статьи
Е. А. Пигарова
Россия
Пигарова Екатерина Александровна - д.м.н.
Москва
Конфликт интересов:
Авторы декларируют отсутствие явных и потенциальных конфликтов интересов, связанных с содержанием настоящей статьи
Л. К. Дзеранова
Россия
Дзеранова Лариса Константиновна - д.м.н.
Москва
Конфликт интересов:
Авторы декларируют отсутствие явных и потенциальных конфликтов интересов, связанных с содержанием настоящей статьи
Дополнительные файлы
|
|
1. Рисунок 1. Основные жалобы у пациентов с акромегалией, % от общего количества пациентов. | |
| Тема | ||
| Тип | Исследовательские инструменты | |
Посмотреть
(231KB)
|
Метаданные ▾ | |
|
|
2. Рисунок 2. МСКТ пациента А. с акромегалией 37 лет, аксиальная проекция (склероз субхондральных отделов с сужением суставной щели, тонкие стрелки), ОА реберно-позвоночных суставов (склероз субхондральных отделов с наличием остеофитов, толстая стрелка). | |
| Тема | ||
| Тип | Исследовательские инструменты | |
Посмотреть
(220KB)
|
Метаданные ▾ | |
|
|
3. Рисунок 3. МСКТ пациента А. с акромегалией 37 лет, коронарная проекция. ОА плечевого сустава, грубые костные разрастания по контурам головки плечевой кости (стрелка). | |
| Тема | ||
| Тип | Исследовательские инструменты | |
Посмотреть
(241KB)
|
Метаданные ▾ | |
|
|
4. Рисунок 4. МСКТ пациента А. с акромегалией 37 лет, коронарная проекция. Остеофиты по контурам тел позвонков, формирующие «костные мостики» (стрелки). | |
| Тема | ||
| Тип | Исследовательские инструменты | |
Посмотреть
(269KB)
|
Метаданные ▾ | |
|
|
5. Рисунок 5. МСКТ пациента А. с акромегалией 37 лет, сагиттальная проекция. Остеохондроз грудного отдела позвоночника. Остеофиты по контурам тел позвонков, формирующие «костные мостики» (стрелки), клиновидная деформация тел позвонков, снижение высоты межпозвонковых дисков, участки обызвествления в межпозвонковых дисках (толстые стрелки). | |
| Тема | ||
| Тип | Исследовательские инструменты | |
Посмотреть
(342KB)
|
Метаданные ▾ | |
|
|
6. Рисунок 6. ROC-кривая: зависимость появления ОА реберно-позвоночных суставов от возраста у пациентов с акромегалией. | |
| Тема | ||
| Тип | Исследовательские инструменты | |
Посмотреть
(236KB)
|
Метаданные ▾ | |
Рецензия
Для цитирования:
Перепелова М.А., Пржиялковская Е.Г., Луценко А.С., Берлович М.С., Першина-Милютина А.П., Тарбаева Н.В., Ковалевич Л.Д., Паневин Т.С., Пигарова Е.А., Дзеранова Л.К. Особенности поражения суставов позвоночника, грудной клетки и плечевого пояса у пациентов с акромегалией. Ожирение и метаболизм. 2025;22(2):86-96. https://doi.org/10.14341/omet13245
For citation:
Perepelova M.A., Przhyalkovskaya E.G., Lutsenko A.S., Berlovich M.S., Pershina-Milyutina A.P., Tarbaeva N.V., Kovalevich L.D., Panevin T.S., Pigarova E.A., Dzeranova L.K. Acromegaly and Osteoarthritis: a retrospective study of joint involvement in the spine, thorax, and shoulder complex. Obesity and metabolism. 2025;22(2):86-96. (In Russ.) https://doi.org/10.14341/omet13245
JATS XML
Контент доступен под лицензией Creative Commons Attribution-NonCommercial-NoDerivatives 4.0 International License (CC BY-NC-ND 4.0).




































