The results of immunohistochemical study of antibodies to CYP11B2 in primary hyperaldosteronism
https://doi.org/10.14341/omet12741
Abstract
Background: Aldosterone-producing adrenocortical adenoma (APA) is responsible for the majority of cases clinically diagnosed as primary aldosteronism. Aldosterone synthase (CYP11B2) is one of the enzymes that play essential roles in aldosterone synthesis and is involved in the pathogenesis of primary aldosteronism. Recent studies have demonstrated that various factors influence the expression and function of CYP11B2 in APA. In particular, somatic mutations, such as gain-of-function and loss-of-function mutations have been identified in several genes, each of which encodes a pivotal protein that affects the calcium signaling pathway, the expression of CYP11B2, and aldosterone production. On the other hand, CYP11B2 also catalyzes the conversion of cortisol to 18-hydroxycortisol and subsequently converts 18-hydroxycortisol to 18-oxocortisol. The article also discusses the clinical significance of 18-oxocortisol, an important biomarker for the diagnosis of primary aldosteronism. Somatic mutations in aldosterone-driver genes are strongly associated with CYP11B2 expression and have been only detected in the CYP11B2-positive tumor area, that indicating heterogeneous expression of CYP11B2 in tumor.
Aim: to assess the functional heterogeneity of adrenal tumors in primary aldosteronism
Materials and methods: Retrospective evaluation adrenal tumors from patients with primary aldosteronism (n=20). According to CT unilateral macrohyperplasia was detected in 19 patients (95% of total), all of them were confirmed to have unilateral hyperproduction of aldosterone according to AVS. Selected tumors werestained with anty-CYP11B2 antibody. We evaluated the CYP11B2 expression in the adenoma and in the adjacent adrenal cortex.
Results: Immunohistochemistry studies of the resected adrenals from 20 patients with PA operated due to unilateral production of aldosterone using CYP11B2 staining showed that 10 of those with an adenoma on CT scanning showed CYP11B2 staining in the adenoma. Furthermore, 5 cases of an unilateral adenoma, showed CYP11B2 staining in the adjacent adrenal cortex and an absence of staining for CYP11B2 in the adenoma. 5 cases showed CYP11B2 expression is heterogeneously immunolocalized throughout the tumor area.
Conclusion: Thus, the functional heterogeneity of adrenal tumors in primary aldosteronism has been proven. It is necessary to compare the data of immunohistochemical studies on the expression of CYP11B2 with the indicators of the level of 18-hydroxycortisol, 18-oxocortisol.
About the Authors
N. Yu. RomanovaRussian Federation
Natalia Yu. Romanova, MD
11 Dm. Ulyanova street, 117036 Moscow, Russia
L. S. Selivanova
Russian Federation
Liliya S. Selivanova, MD, PhD
Moscow
N. M. Platonova
Russian Federation
Nadezhda M. Platonova, MD, PhD
Moscow
D. G. Beltsevich
Russian Federation
Dmitriy G. Beltsevich, MD, PhD, professor
Moscow
E. A. Troshina
Russian Federation
Ekaterina A. Troshina, MD, PhD, professor
Moscow
References
1. Funder JW, Carey RM, Mantero F, et al. The Management of Primary Aldosteronism: Case Detection, Diagnosis, and Treatment: An Endocrine Society Clinical Practice Guideline. J Clin Endocrinol Metab. 2016;101(5):1889-1916. doi: https://doi.org/10.1210/jc.2015-4061
2. Curnow KM, Tusie-Luna M-T, Pascoe L, et al. The Product of the CYP11B2 Gene Is Required for Aldosterone Biosynthesis in the Human Adrenal Cortex. Mol Endocrinol. 1991;5(10):1513-1522. doi: https://doi.org/10.1210/mend-5-10-1513
3. Reincke M, Fischer E, Gerum S, et al. Observational Study Mortality in Treated Primary Aldosteronism. Hypertension. 2012;60(3):618-624. doi: https://doi.org/10.1161/HYPERTENSIONAHA.112.197111
4. Nishimoto K, Seki T, Hayashi Y, et al. Human Adrenocortical Remodeling Leading to Aldosterone-Producing Cell Cluster Generation. Int J Endocrinol. 2016;2016:1-6. doi: https://doi.org/10.1155/2016/7834356
5. Choi M, Scholl UI, Yue P, et al. K+ Channel Mutations in Adrenal Aldosterone-Producing Adenomas and Hereditary Hypertension. Science (80- ). 2011;331(6018):768-772. doi: https://doi.org/10.1126/science.1198785
6. Williams TA, Monticone S, Mulatero P. KCNJ5 Mutations Are the Most Frequent Genetic Alteration in Primary Aldosteronism. Hypertension. 2015;65(3):507-509. doi: https://doi.org/10.1161/HYPERTENSIONAHA.114.04636
7. Fernandes-Rosa FL, Williams TA, Riester A, et al. Genetic Spectrum and Clinical Correlates of Somatic Mutations in Aldosterone-Producing Adenoma. Hypertension. 2014;64(2):354-361. doi: https://doi.org/10.1161/HYPERTENSIONAHA.114.03419
8. Taguchi R, Yamada M, Nakajima Y, et al. Expression and Mutations of KCNJ5 mRNA in Japanese Patients with Aldosterone-Producing Adenomas. J Clin Endocrinol Metab. 2012;97(4):1311-1319. doi: https://doi.org/10.1210/jc.2011-2885
9. Scholl UI, Stölting G, Nelson-Williams C, et al. Recurrent gain of function mutation in calcium channel CACNA1H causes early-onset hypertension with primary aldosteronism. Elife. 2015;4. doi: https://doi.org/10.7554/eLife.06315
10. Yamazaki Y, Nakamura Y, Omata K, et al. Histopathological classification of cross-sectional image-negative hyperaldosteronism. J Clin Endocrinol Metab. 2017;102:1182–1192. doi: https://doi.org/10.1210/jc.2016-2986
11. Nishimoto K, Tomlins SA, Kuick R, et al. Aldosterone-stimulating somatic gene mutations are common in normal adrenal glands. Proc Natl Acad Sci. 2015;112(33):E4591-E4599. doi: https://doi.org/10.1073/pnas.1505529112
12. Bassett MH, Mayhew B, Rehman K, et al. Expression Profiles for Steroidogenic Enzymes in Adrenocortical Disease. J Clin Endocrinol Metab. 2005;90(9):5446-5455. doi: https://doi.org/10.1210/jc.2005-0836
13. Gomez-Sanchez CE, Qi X, Velarde-Miranda C, et al. Development of monoclonal antibodies against human CYP11B1 and CYP11B2. Mol Cell Endocrinol. 2014;383(1-2):111-117. doi: https://doi.org/10.1016/j.mce.2013.11.022
14. Nakamura Y, Felizola SJA, Satoh F, et al. Dissecting the molecular pathways of primary aldosteronism. Pathol Int. 2014;64(10):482-489. doi: https://doi.org/10.1111/pin.12200
15. Ono Y, Nakamura Y, Maekawa T, et al. Different Expression of 11β-Hydroxylase and Aldosterone Synthase Between Aldosterone-Producing Microadenomas and Macroadenomas. Hypertension. 2014;64(2):438-444. doi: https://doi.org/10.1161/HYPERTENSIONAHA.113.02944
16. Nakamura Y, Kitada M, Satoh F, et al. Intratumoral heterogeneity of steroidogenesis in aldosterone-producing adenoma revealed by intensive double- and triple-immunostaining for CYP11B2/B1 and CYP17. Mol Cell Endocrinol. 2016;422:57-63. doi: https://doi.org/10.1016/j.mce.2015.11.014
17. Romanova NYu, Selivanova LS, Platonova NM, et al. Immunogistokhimicheskie kharakteristiki adenom nadpochechnikov pri pervichnom giperal’dosteronizme. In: Sbornik tezisov VIII (XXVI) Natsional’nogo kongressa endokrinologov s mezhdunarodnym uchastiem «Personalizirovannaya meditsina i prakticheskoe zdravookhranenie». 2019. P. 278. (In Russ.).
18. Nanba K, Chen AX, Omata K, et al. Molecular Heterogeneity in Aldosterone-Producing Adenomas. J Clin Endocrinol Metab. 2016;101(3):999-1007. doi: https://doi.org/10.1210/jc.2015-3239
19. Miller WL, Auchus RJ. The Molecular Biology, Biochemistry, and Physiology of Human Steroidogenesis and Its Disorders. Endocr Rev. 2011;32(1):81-151. doi: https://doi.org/10.1210/er.2010-0013
20. Hattangady NG, Olala LO, Bollag WB, Rainey WE. Acute and chronic regulation of aldosterone production. Mol Cell Endocrinol. 2012;350(2):151-162. doi: https://doi.org/10.1016/j.mce.2011.07.034
21. Nishimoto K, Nakagawa K, Li D, et al. Adrenocortical Zonation in Humans under Normal and Pathological Conditions. J Clin Endocrinol Metab. 2010;95(5):2296-2305. doi: https://doi.org/10.1210/jc.2009-2010
22. Yamazaki Y, Nakamura Y, Omata K, et al. Histopathological classification of cross-sectional image negative hyperaldosteronism. J Clin Endocrinol Metab. 2017;102:1182-1192. doi: https://doi.org/10.1210/jc.2016-2986
23. Nakamura Y, Maekawa T, Felizola SJA, et al. Adrenal CYP11B1/2 expression in primary aldosteronism: Immunohistochemical analysis using novel monoclonal antibodies. Mol Cell Endocrinol. 2014;392(1-2):73-79. doi: https://doi.org/10.1016/j.mce.2014.05.002
24. Teo AE Der, Garg S, Johnson TI, et al. Physiological and Pathological Roles in Human Adrenal of the Glomeruli-Defining Matrix Protein NPNT (Nephronectin). Hypertension. 2017;69(6):1207-1216. doi: https://doi.org/10.1161/HYPERTENSIONAHA.117.09156
25. Freel EM, Shakerdi LA, Friel EC, et al. Studies on the Origin of Circulating 18-Hydroxycortisol and 18-Oxocortisol in Normal Human Subjects. J Clin Endocrinol Metab. 2004;89(9):4628-4633. doi: https://doi.org/10.1210/jc.2004-0379
26. Ulick S, Chu MD, Land M. Biosynthesis of 18-oxocortisol by aldosterone-producing adrenal tissue. J Biol Chem. 1983;258(9):5498-5502. doi: https://doi.org/10.1016/S0021-9258(20)81918-8
27. Takeda Y. Genetic Analysis of Aldosterone Synthase in Patients with Idiopathic Hyperaldosteronism. J Clin Endocrinol Metab. 1999;84(5):1633-1637. doi: https://doi.org/10.1210/jc.84.5.1633
28. Omura M, Sasano H, Saito J, et al. Clinical Characteristics of Aldosterone-Producing Microadenoma, Macroadenoma, and Idiopathic Hyperaldosteronism in 93 Patients with Primary Aldosteronism. Hypertens Res. 2006;29(11):883-889. doi: https://doi.org/10.1291/hypres.29.883
29. Boulkroun S, Samson-Couterie B, Dzib J-FG, et al. Adrenal Cortex Remodeling and Functional Zona Glomerulosa Hyperplasia in Primary Aldosteronism. Hypertension. 2010;56(5):885-892. doi: https://doi.org/10.1161/HYPERTENSIONAHA.110.158543
30. Nanba K, Tsuiki M, Sawai K, et al. Histopathological Diagnosis of Primary Aldosteronism Using CYP11B2 Immunohistochemistry. J Clin Endocrinol Metab. 2013;98(4):1567-1574. doi: https://doi.org/10.1210/jc.2012-3726
31. Nanba AT, Nanba K, Byrd JB, et al. Discordance between imaging and immunohistochemistry in unilateral primary aldosteronism. Clin Endocrinol (Oxf). 2017;87(6):665-672. doi: https://doi.org/10.1111/cen.13442
32. Chao C-T, Wu V-C, Kuo C-C, et al. Diagnosis and management of primary aldosteronism: An updated review. Ann Med. 2013;45(4):375-83. doi: https://doi.org/10.3109/07853890.2013.785234
33. Ono Y, Nakamura Y, Maekawa T, et al. Different expression of 11beta-hydroxylase and aldosterone synthase between aldosterone-producing microadenomas and macroadenomas. Hypertension. 2014;64:438-444.
34. Nakamura Y, Kitada M, Satoh F, et al. Intratumoral heterogeneity of steroidogenesis in aldosterone-producing adenoma revealed by intensive double- and triple-immunostaining for CYP11B2/B1 and CYP17. Mol Cell Endocrinol. 2016;422:57-63. doi: https://doi.org/10.1016/j.mce.2015.11.014
35. Mulatero P, di Cella SM, Monticone S, et al. 18-Hydroxycorticosterone, 18-Hydroxycortisol, and 18-Oxocortisol in the Diagnosis of Primary Aldosteronism and Its Subtypes. J Clin Endocrinol Metab. 2012;97(3):881-889. doi: https://doi.org/10.1210/jc.2011-2384
Supplementary files
|
|
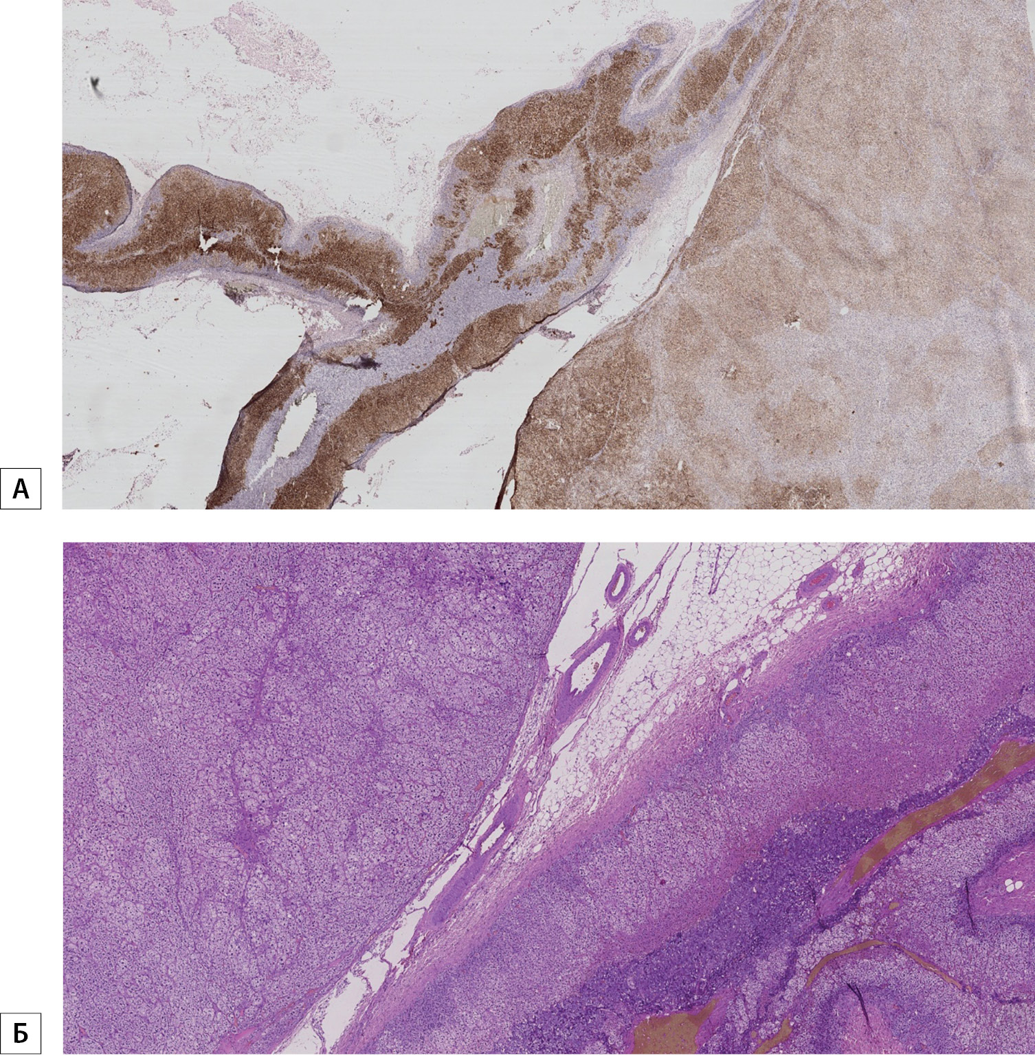
1. Figure 1. An intense reaction of antibodies to CYP11B2 with an expression both in the tumor and in the adjacent adrenal cortex. A — aldosteroma. Hematoxylin-eosin staining. Magnification × 50. B — aldosteroma. Magnification × 50. C — aldosteroma. Magnification × 100. | |
| Subject | ||
| Type | Исследовательские инструменты | |
View
(1022KB)
|
Indexing metadata ▾ | |
|
|
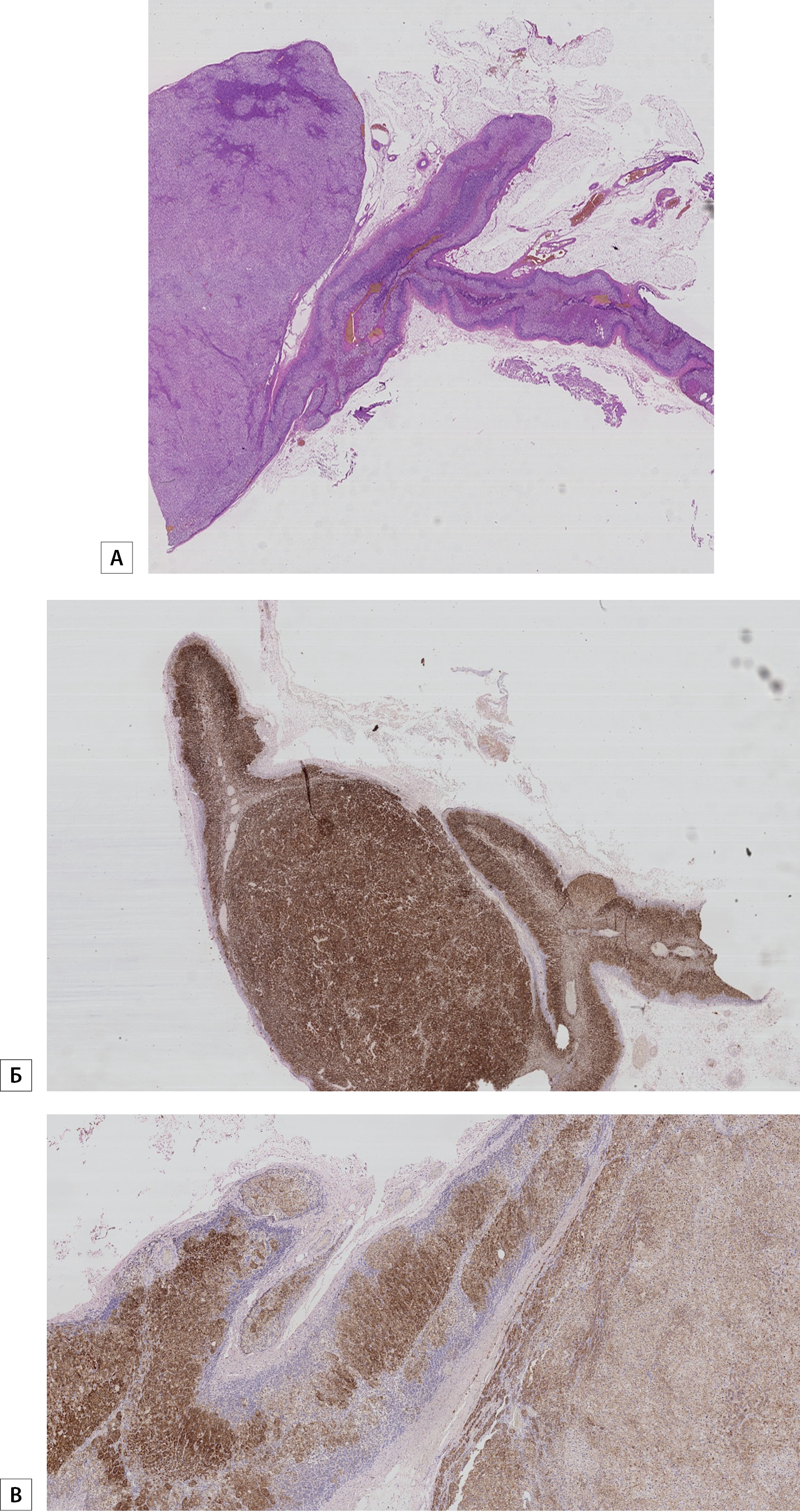
2. Figure 2. An intense reaction of antibodies to CYP11B2 with expression in the adjacent adrenal cortex, moderate in the tumor. A — aldosteroma. Magnification × 50. B — aldosteroma. Hematoxylin-eosin staining. Magnification × 100. | |
| Subject | ||
| Type | Исследовательские инструменты | |
View
(865KB)
|
Indexing metadata ▾ | |
Review
For citations:
Romanova N.Yu., Selivanova L.S., Platonova N.M., Beltsevich D.G., Troshina E.A. The results of immunohistochemical study of antibodies to CYP11B2 in primary hyperaldosteronism. Obesity and metabolism. 2021;18(3):245-253. (In Russ.) https://doi.org/10.14341/omet12741
This work is licensed under a Creative Commons Attribution-NonCommercial-NoDerivatives 4.0 International License (CC BY-NC-ND 4.0).




































