Multiple hormonal resistance and metabolic disorders in pseudogypoparatiosis
https://doi.org/10.14341/OMET20182
Abstract
Pseudohypoparathyroidism is a rare group of clinically and genetically heterogeneous diseases caused by the inactivation of the PTH-signaling pathway. The main component of the disease is resistance to PTH, causing a disturbance of calcium-phosphorus metabolism. With pseudohypoparathyroidism, there may also be a development of insensitivity to thyrotropic and gonadotropic hormones of the pituitary gland and the formation of characteristic clinical features in the form of subcutaneous calcifications, brachidactyly, obesity, stuntedness, mental retardation. This article describes the clinical case of pseudohypoparathyroidism in a 35-year-old woman with classic phenotypic hypoparathyroidism with hereditary Albright osteodystrophy and a proven mutation in the GNAS gene, and discusses the spectrum of metabolic disorders of the disease.
About the Authors
Larisa K. DzeranovaEndocrinology Research Centre
Russian Federation
ScD
Nadezhda V. Makazan
Endocrinology Research Centre
Russian Federation
MD
Ekaterina A. Pigarova
Endocrinology Research Centre
Russian Federation
PhD
Anna N. Tiuliakova
Endocrinology Research Centre
Russian Federation
resident
Ekaterina V. Artemova
Endocrinology Research Centre
Russian Federation
MD
Tatiana V. Soldatova
Endocrinology Research Centre
Russian Federation
PhD
Denis O. Tulupov
Pirogov Russian National Research Medical University
Russian Federation
Alexandr V. Vorontsov
Endocrinology Research Centre
Russian Federation
ScD
Galina A. Mel`nichenko
Endocrinology Research Centre
Russian Federation
academician of RAS, ScD, Professor
References
1. Albright F, Burnett, C, Smith, P. H, Parson, W. Pseudo-hypoparathyroidism--an example of ‘Seabright-Bantam syndrome’: report of three cases. Endocrinology. 1942;30:922–32.
2. Levine MA, Downs RW, Jr., Singer M, et al. Deficient activity of guanine nucleotide regulatory protein in erythrocytes from patients with pseudohypoparathyroidism. Biochem. Biophys. Res. Commun.1980;94(4):1319-1324.
3. Patten JL, Johns DR, Valle D, et al. Mutation in the Gene Encoding the Stimulatory G Protein of Adenylate Cyclase in Albright's Hereditary Osteodystrophy. N. Engl. J. Med. 1990;322(20):1412-1419. doi: 10.1056/nejm199005173222002.
4. Elli FM, Linglart A, Garin I, et al. The Prevalence ofGNASDeficiency-Related Diseases in a Large Cohort of Patients Characterized by the EuroPHP Network. J. Clin. Endocr. Metab. 2016;101(10):3657-3668. doi: 10.1210/jc.2015-4310.
5. Fernández-Rebollo E, Lecumberri B, Gaztambide S, et al. Endocrine Profile and Phenotype-(Epi)Genotype Correlation in Spanish Patients with Pseudohypoparathyroidism. J. Clin. Endocr. Metab.2013;98(5):E996-E1006. doi: 10.1210/jc.2012-4164.
6. Sano S, Nakamura A, Matsubara K, et al. (Epi)genotype-Phenotype Analysis in 69 Japanese Patients With Pseudohypoparathyroidism Type I. Journal of the Endocrine Society. 2018;2(1):9-23. doi: 10.1210/js.2017-00293.
7. Mantovani G. Pseudohypoparathyroidism: Diagnosis and Treatment. J. Clin. Endocr. Metab.2011;96(10):3020-3030. doi: 10.1210/jc.2011-1048.
8. Thiele S, Mantovani G, Barlier A, et al. From pseudohypoparathyroidism to inactivating PTH/PTHrP signalling disorder (iPPSD), a novel classification proposed by the EuroPHP network. European journal of endocrinology / European Federation of Endocrine Societies. 2016;175(6):P1-P17. doi: 10.1530/eje-16-0107.
9. Saleem S, Aslam H, Anwar M, et al. Fahr’s syndrome: literature review of current evidence. Orphanet J. Rare Dis. 2013;8(1):156. doi: 10.1186/1750-1172-8-156.
10. Otheman Y, Khalloufi H, Benhima I, Ouanass A. Manifestations neuropsychiatriques révélant une pseudohypoparathyroïdie avec un syndrome de Fahr. L'Encéphale. 2011;37(1):54-58. doi: 10.1016/j.encep.2010.03.001.
11. Farfel Z, Friedman E. Mental deficiency in pseudohypoparathyroidism type I is associated with Ns-protein deficiency. Ann. Intern. Med. 1986;105(2):197-199.
12. Mouallem M, Shaharabany M, Weintrob N, et al. Cognitive impairment is prevalent in pseudohypoparathyroidism type Ia, but not in pseudopseudohypoparathyroidism: possible cerebral imprinting of Gs? Clin. Endocrinol. (Oxf.). 2007;0(0):070907132242011-??? doi: 10.1111/j.1365-2265.2007.03025.x.
13. Perez KM, Lee EB, Kahanda S, et al. Cognitive and behavioral phenotype of children with pseudohypoparathyroidism type 1A. Am. J. Med. Genet. A. 2018;176(2):283-289. doi: 10.1002/ajmg.a.38534.
14. Chen M, Berger A, Kablan A, et al. Gsα Deficiency in the Paraventricular Nucleus of the Hypothalamus Partially Contributes to Obesity Associated with Gsα Mutations. Endocrinology. 2012;153(9):4256-4265. doi: 10.1210/en.2012-1113.
15. Roizen JD, Danzig J, Groleau V, et al. Resting Energy Expenditure Is Decreased in Pseudohypoparathyroidism Type 1A. J. Clin. Endocr. Metab. 2016;101(3):880-888. doi: 10.1210/jc.2015-3895.
16. 1Carel JC, Le Stunff C, Condamine L, et al. Resistance to the Lipolytic Action of Epinephrine: A New Feature of Protein GsDeficiency. J. Clin. Endocr. Metab. 1999;84(11):4127-4131. doi: 10.1210/jcem.84.11.6145.
17. Chen M, Shrestha YB, Podyma B, et al. Gsα deficiency in the dorsomedial hypothalamus underlies obesity associated with Gsα mutations. J. Clin. Invest. 2016;127(2):500-510. doi: 10.1172/jci88622.
Supplementary files
|
|
1. Неозаглавлен | |
| Subject | ||
| Type | Other | |
View
(153KB)
|
Indexing metadata ▾ | |
|
|
2. Неозаглавлен | |
| Subject | ||
| Type | Other | |
View
(297KB)
|
Indexing metadata ▾ | |
|
|
3. Неозаглавлен | |
| Subject | ||
| Type | Other | |
View
(254KB)
|
Indexing metadata ▾ | |
|
|
4. Неозаглавлен | |
| Subject | ||
| Type | Other | |
View
(80KB)
|
Indexing metadata ▾ | |
|
|
5. Неозаглавлен | |
| Subject | ||
| Type | Other | |
View
(109KB)
|
Indexing metadata ▾ | |
|
|
6. Неозаглавлен | |
| Subject | ||
| Type | Other | |
View
(230KB)
|
Indexing metadata ▾ | |
|
|
7. Неозаглавлен | |
| Subject | ||
| Type | Other | |
View
(224KB)
|
Indexing metadata ▾ | |
|
|
8. Неозаглавлен | |
| Subject | ||
| Type | Other | |
View
(102KB)
|
Indexing metadata ▾ | |
|
|
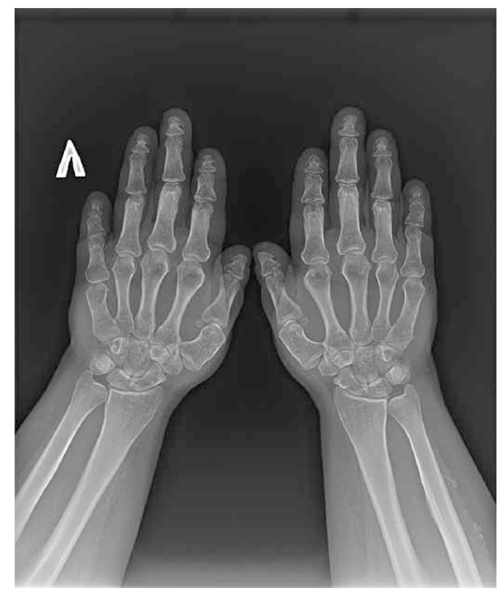
9. Fig. 1. Brahidactyly: pronounced shortening of the fifth metacarpal bone to the left. | |
| Subject | ||
| Type | Исследовательские инструменты | |
View
(422KB)
|
Indexing metadata ▾ | |
|
|
10. Fig. 2. Brahidactyly: shortening of the IV metatarsal to the left. | |
| Subject | ||
| Type | Исследовательские инструменты | |
View
(335KB)
|
Indexing metadata ▾ | |
|
|
11. Fig. 3. Calcification of calcification in the basal ganglia and subcortical areas. | |
| Subject | ||
| Type | Исследовательские инструменты | |
View
(368KB)
|
Indexing metadata ▾ | |
|
|
12. Fig. 4. Brachydactyly, photos of the patient's brushes | |
| Subject | ||
| Type | Исследовательские инструменты | |
View
(161KB)
|
Indexing metadata ▾ | |
|
|
13. Fig. 5. Brahidactyly, photo of the patient's foot | |
| Subject | ||
| Type | Исследовательские инструменты | |
View
(276KB)
|
Indexing metadata ▾ | |
|
|
14. Fig. 6. Brachimetaphalangism - flatness in the region of IV-V metacarpophalangeal joints. | |
| Subject | ||
| Type | Исследовательские инструменты | |
View
(241KB)
|
Indexing metadata ▾ | |
|
|
15. Fig. 7. Absence of echographic signs of autoimmune thyroid disease | |
| Subject | ||
| Type | Исследовательские инструменты | |
View
(311KB)
|
Indexing metadata ▾ | |
Review
For citations:
Dzeranova L.K., Makazan N.V., Pigarova E.A., Tiuliakova A.N., Artemova E.V., Soldatova T.V., Tulupov D.O., Vorontsov A.V., Mel`nichenko G.A. Multiple hormonal resistance and metabolic disorders in pseudogypoparatiosis. Obesity and metabolism. 2018;15(2):51-55. (In Russ.) https://doi.org/10.14341/OMET20182
This work is licensed under a Creative Commons Attribution-NonCommercial-NoDerivatives 4.0 International License (CC BY-NC-ND 4.0).




































