Перейти к:
Синдром тестикулярной феминизации: превентивная гонадэктомия, «за» и «против»
https://doi.org/10.14341/omet13024
Аннотация
Синдром тестикулярной феминизации (СТФ) представляет собой генетическое расстройство, характеризующееся полной или частичной нечувствительностью к андрогенам у индивидуумов с генотипом 46XY. СТФ также является наиболее частой причиной нарушений половой дифференциации у пациентов с кариотипом 46XY. Данное заболевание обусловлено дефектом гена рецептора к андрогенам (AR), что приводит к нарушению нормального развития мужских половых органов, формирования мужских вторичных половых признаков и проявлению фенотипических особенностей, характерных для женского пола.
Одним из важных вопросов, связанных с лечением СТФ, является необходимость превентивной гонадэктомии. Однако целесообразность профилактического удаления гонад до сих пор остается предметом дискуссий. В данной статье представлен клинический случай женщины 37 лет с полной формой СТФ. Несмотря на рекомендацию проведения гонадэктомии, основанную на подозрительных МР-характеристиках гонад, пациентка приняла решение отказаться от хирургического вмешательства, оправдывая свой выбор положительным влиянием гормональной активности гонад на ее внешний облик и физические характеристики. Этот клинический случай подчеркивает сложность принятия решения в лечении СТФ, где потребности и предпочтения пациента могут играть важную роль, несмотря на потенциальные риски и рекомендации медицинских специалистов.
Ключевые слова
Для цитирования:
Старостина Е.А., Фролкова Н.В., Сеидова С.М., Пржиялковская Е.Г., Платонова Н.М., Трошина Е.А. Синдром тестикулярной феминизации: превентивная гонадэктомия, «за» и «против». Ожирение и метаболизм. 2024;21(1):85-91. https://doi.org/10.14341/omet13024
For citation:
Starostina E.A., Frolkova N.V., Seidova S.M., Przhiyalkovskaya E.G., Platonova N.M., Troshina E.A. Androgen insensitivity syndrome: preventive gonadectomy, pros and cons. Obesity and metabolism. 2024;21(1):85-91. (In Russ.) https://doi.org/10.14341/omet13024
АКТУАЛЬНОСТЬ
СТФ (синонимы: синдром Морриса [1], синдром нечувствительности к андрогенам, синдром феминизации яичек, ложный мужской гермафродитизм [2][3]) представляет собой редкое генетическое заболевание, вызывающее появление фенотипических признаков женского пола у лиц с кариотипом XY [3-5]. Встречаемость СТФ составляет примерно 1 случай на 20 000–60 000 новорожденных мужского пола и 1 случай на 50 000–70 000 всех новорожденных. Это редкое генетическое расстройство, и его точная частота встречаемости может варьировать в различных популяциях и географических регионах [3]. История и описания СТФ имеют давние истоки. В 1817 г. Г. Стегленер впервые описал данное состояние, а в русской медицинской литературе оно было впервые описано С.И. Благоволиным в 1893 г. Однако термин «тестикулярная феминизация» был введен американским гинекологом Джоном Моррисом (J. Morris) лишь в 1953 г., когда он описал 82 пациентки с яичками, но женским фенотипом [1][2].
Данное заболевание проявляется в полном или частичном отсутствии чувствительности тканей организма к андрогенам, как до, так и после рождения, обусловлено дефектом гена AR [2][6][7][8]. К настоящему времени обнаружено более 400 различных мутаций в гене AR, расположенном на коротком плече Х-хромосомы, в локусе Xq11-Xq12, а также выявлено, что передача мутаций происходит по Х-сцепленному рецессивному типу наследования от матери к сыну [1][2][3][4][6][7]. Однако наследование мутаций в гене AR является не единственным механизмом развития СТФ. Исследования также подтверждают возможность возникновения новых мутаций (de novo) в зародышевых клетках. Такие случаи представляют особый интерес, поскольку подчеркивают роль спонтанных генетических изменений в развитии СТФ [2].
Большинство пациентов с СТФ выбирают жизнь в социальной роли женщины, однако возникает вопрос о целесообразности проведения превентивной гонадэктомии. С одной стороны, превентивная гонадэктомия может быть эффективным способом предотвращения развития злокачественных опухолей гонад, с другой — хирургическое лечение может нести эндокринные и психологические последствия и противоречить желанию пациентов.
Патогенез синдрома тестикулярной феминизации
В эмбриогенезе у пациентов с СТФ гонады дифференцируются как полноценные яички, но с ограниченными функциональными возможностями [1][2]. Хотя яички пациентов с СТФ не способны к сперматогенезу, они сохраняют способность к продукции тестостерона и ингибина-Б — вещества, ингибирующего развитие Мюллеровых протоков [1][2]. Однако из-за нарушенной чувствительности тканей к андрогенам влияние тестостерона на развитие внешних половых органов ограничено, что приводит к появлению фенотипических особенностей, свойственных женскому полу. Мюллеровы протоки представляют собой эмбриональные структуры, которые при нормальном развитии женских половых органов преобразуются в матку, трубы и верхние части влагалища. В случае СТФ яички продуцируют ингибин-Б, который предотвращает развитие Мюллеровых протоков, что соответствует мужскому фенотипу половых органов [1][2].
Критический период для вирилизации гениталий, то есть процесса развития мужских половых органов, происходит между 8 и 14 неделями беременности. В этот период наличие андрогенов и функционирующего AR играют решающую роль в формировании мужских половых органов. Важно отметить, что критический период вирилизации гениталий является временным окном, в котором развитие половых органов наиболее чувствительно к воздействию андрогенов на AR. После этого периода изменения в половом развитии становятся менее вероятными или значительно затрудненными [8].
В норме тестостерон взаимодействует с 5-альфа-редуктазой, которая превращает его в биологически активный дигидротестостерон. Именно дигидротестостерон отвечает за формирование мужского фенотипа. Однако оба андрогена, тестостерон и дигидротестостерон, проявляют свои эффекты только после связывания с AR [5][9]. После связывания гормонов с рецептором происходят фосфорилирование и конформационные изменения в рецепторе, в результате чего рецепторы димеризуются, то есть образуется комплекс из двух рецепторов, и этот димеризованный комплекс связывается с ДНК [5], что приводит к активации транскрипции генов-мишеней и процессу создания РНК-копий генов для последующего синтеза белков, которые регулируют различные биологические процессы в клетке [5]. Мутации, возникающие в гене AR, могут влиять на любой этап этого процесса, начиная от синтеза белка AR до транскрипционной способности димеризованного комплекса, что может проявляться различными фенотипическими проявлениями, включая СТФ [5][9].
Секреция эстрогенов надпочечниками и частично гонадами (яичками) играет важную роль в формировании женского фенотипа при отсутствии развития Мюллеровых протоков. В норме Мюллеровы протоки превращаются в маточные трубы, матку и верхнюю треть влагалища под влиянием эстрогенов. Однако в случае СТФ, развития Мюллеровых протоков не происходит. В то же время надпочечники и яички пациентов с СТФ продолжают вырабатывать эстрогены. Высокий уровень эстрогенов в крови вместе с отсутствием развития Мюллеровых протоков приводит к формированию женского фенотипа [1]. В результате этих процессов в ходе эмбрионального развития формируются вторичные половые признаки пациенток с полной формой СТФ. Гонады (яички) обычно располагаются у стенок таза или, чаще всего, в паховых каналах или толще больших половых губ. Взрослые пациентки с полной формой СТФ, несмотря на наличие кариотипа 46XY и яичек, не опустившихся в мошонку, отличаются женским телосложением. У них развиты молочные железы, они имеют скудное лобковое и подмышечное оволосение, отсутствуют внутренние половые органы, глубина влагалища может варьировать от нормальной до укороченной [1].
Диагностика и дифференциальная диагностика синдрома тестикулярной феминизации
В зависимости от степени нечувствительности периферических рецепторов к андрогенам, выделяют различные формы СТФ: полную, частичную и легкую [2][3][8]. Полная форма СТФ характеризуется наличием нормальных внешних женских гениталий при рождении. В данном случае периферические рецепторы абсолютно нечувствительны к андрогенам, что приводит к формированию женского фенотипа. Частичная форма СТФ характеризуется различной степенью неправильного формирования половых органов, что может проявляться многообразными вариантами гипоспадий (аномальное положение мочеиспускательного отверстия), а также микропенисом [2][3][8]. В случае легкой формы наблюдается развитие нормального мужского фенотипа, однако пациенты с данной формой СТФ могут столкнуться с бесплодием и/или возникновением гинекомастии в пубертатный период [2][3][8].
За исключением случаев семейного наследования, диагноз СТФ устанавливается при наличии трех основных критериев [4][8].
1.Выявление кариотипа 46XY (наличие мужского генетического пола) при пренатальном определении пола у плода с внешними гениталиями, соответствующими женскому фенотипу.
2.Обнаружение паховой грыжи, содержащей мужские гонады (яички), у девочек.
3.Диагностирование первичной аменореи (отсутствие менструаций) в период полового созревания.
Данные условия позволяют диагностировать полную форму СТФ и отличить ее от других нарушений полового развития. Эти критерии важны для раннего выявления и своевременной диагностики полной формы СТФ, что позволяет начать адекватное лечение пациентов.
В рамках дифференциальной диагностики СТФ необходимо учитывать другие генетические заболевания, которые могут проявляться схожими признаками. Некоторые из них включают [3]:
- Синдром Клайнфельтера (46XXY) — генетическое заболевание, при котором мужской индивидуум имеет дополнительную Х-хромосому (XYY), в результате чего возникает ряд фенотипических особенностей, включающих задержку полового развития, гинекомастию, изменения внешних половых органов и бесплодие.
- Синдром Тернера (45XO) — генетическое расстройство, при котором женщина имеет только одну X-хромосому, что приводит к различным фенотипическим проявлениям, включая задержку полового развития, отсутствие вторичных половых признаков и бесплодие.
- Смешанная гонадная диссинергия (45XO/46XY) — редкое генетическое расстройство, при котором индивидуум имеет комбинацию клеток с одной Х-хромосомой (45XO) и клеток с двумя Х-хромосомами и одной Y-хромосомой (46XY).
- Тетрагаметический химеризм (46XX/46XY) — редкое генетическое состояние, при котором индивидуум имеет два различных комплекта генетического материала в своих клетках, 3 один с двумя Х-хромосомами (46XX) и другой с Х- и Y-хромосомами (46XY).
Дифференциальная диагностика между СТФ и вышеперечисленными генетическими заболеваниями важна для определения прогноза и разработки индивидуального подхода к лечению.
Лечение пациентов с синдромом тестикулярной феминизации
Лечение СТФ требует индивидуального и комплексного подхода, учитывая фенотип и социальный пол пациента [8]. Терапевтические методы различаются в зависимости от формы СТФ. Пациентам с легкими формами СТФ обычно не требуется специфическое лечение [3]. В случаях, когда у пациентов с СТФ наблюдаются гинекомастия и/или гипоспадия, может потребоваться хирургическое вмешательство с целью коррекции данных состояний. Пациентам, нуждающимся в развитии вторичных половых признаков, соответствующих социальному полу (таких как увеличение мышечной массы, рост волос на лице и теле, изменение голоса и другие аспекты мужского фенотипа), назначаются препараты тестостерона для стимуляции их развития. Андрогенная терапия позволяет достичь максимального вирилизирующего эффекта примерно через 6 месяцев лечения. В некоторых случаях при сохраненной функции яичек и нормальной секреции тестостерона андрогенная терапия может быть прекращена после достижения желаемых результатов [3][8].
Birnbaum W и соавт. провели многоцентровое двойное слепое рандомизированное перекрестное исследование в трех университетских медицинских центрах и трех специализированных лечебных учреждениях Германии. В данном исследовании пациенткам в возрасте 18–54 лет с кариотипом 46,XY, генетически подтвежденным СТФ, полная форма, удаленными гонадами, проводилась терапия либо препаратами эстрадиола в дозе 1,5 мг/сут в течение 6 месяцев с последующим переходом на тестостерон 50 мг/день в течение 6 месяцев (последовательность А), либо препаратами тестостерона 50 мг/день в течение 6 месяцев с последующим переходом на эстрадиол 1,5 мг/сут в течение 6 месяцев (последовательность В).
В ходе исследования тестостерон хорошо переносился и был так же безопасен, как эстроген. Авторы предположили, что тестостерон может быть альтернативной заместительной терапией при СТФ, в частности для пациенток со сниженной сексуальной функцией. [10]
При лечении пациентов с частичными формами СТФ требуется более серьезный и комплексный подход [5]. Одним из ключевых аспектов является тщательный выбор пола новорожденных, учитывающий несколько факторов. Необходимо учитывать потенциал развития мужских признаков (вирилизации), возможность сохранения репродуктивной функции, сложность реконструктивного хирургического вмешательства, а также предпочтения семьи пациента относительно пола [5].
Процесс принятия решения относительно выбора пола представляет собой сложную задачу, требующую взаимодействия лечащего врача и семьи пациента. В современных условиях, с учетом знаний о генетических особенностях, большинство пациентов с частичным СТФ идентифицируются как мужчины. Однако, стоит отметить, что результаты исследований свидетельствуют о том, что примерно 25% пациентов не удовлетворены выбранным полом. Эти данные указывают на необходимость персонализированного подхода и подчеркивают важность учета мнения семьи пациента при принятии решений такого рода [5].
Для пациентов с частичными формами СТФ реконструктивные хирургические вмешательства могут играть важную роль в их лечении. Эти процедуры направлены на коррекцию нарушений формирования половых органов или других аномалий с целью достижения наилучшего функционального и эстетического результата [5]. Одной из таких процедур является генитопластика, включающая реконструкцию клитора, лабиопластику, а также формирование или реконструкцию влагалища [5]. Кроме того, пластика мочеиспускательного канала может быть необходима для исправления аномалий в структуре мочеполовой системы, например, перенаправление мочеиспускательного отверстия [5]. Проводить коррекцию крипторхидизма и гипоспадии рекомендуется как можно раньше, предпочтительно до достижения ребенком двухлетнего возраста, что связано с лучшей переносимостью и эффективностью хирургического вмешательства в данном возрасте [3][8].
Помимо лекарственных и хирургических аспектов, психологическая поддержка играет значительную роль в лечении пациентов с СТФ. Процесс принятия решения о выборе пола и пройденные лечебные процедуры могут вызывать эмоциональные и психологические трудности у пациентов и их семей. Психологическая поддержка помогает пациентам развивать стратегии приспособления, повышать самооценку и находить способы принятия решений, которые наилучшим образом соответствуют их индивидуальным потребностям и желаниям. Работа с психологом может включать помощь в формировании гендерной идентичности и понимании своей собственной личности. Психологическая поддержка может быть оказана и семье пациента. Родители и близкие сталкиваются с эмоциональными и психологическими вызовами, связанными с диагнозом и лечением СТФ. Работа семейного терапевта помогает поддерживать семью и справляться с возникающими трудностями.
Малигнизация гонад у пациентов с полной формой синдрома тестикулярной феминизации
У пациентов с интерсексуальными состояниями гонады имеют высокий риск малигнизации [1][11][12]. Эти новообразования относятся к группе опухолей зародышевых клеток типа II, которые включает семиному яичка/дисгерминому яичника или дисгенетическую гонаду, а также различные несеминоматозные опухоли [1][11]. Карцинома in situ (CIS) и гонадобластома являются неинвазивными предшественниками опухолей зародышевых клеток [6, 11]. Карцинома in situ представляет собой предраковую опухоль, при которой аномальные клетки зародышевых гонад находятся в месте своего обычного развития [6][11][13]. Гонадобластома тестикул является особым типом гонадной опухоли, которая встречается в 20–50% случаев. Гонадобластома обычно развивается в тестикулах и представляет собой смесь зрелых и незрелых клеток. У пациентов с интерсексуальными состояниями и наличием гонадобластом повышается риск развития рака яичка. Поэтому рекомендуется профилактическое удаление гонад [6][11]. Выявление карциномы in situ и гонадобластомы является важным аспектом мониторинга и контроля пациентов с интерсексуальными состояниями. Раннее обнаружение и удаление этих предшественников опухолей помогает предотвратить возможное развитие злокачественных опухолей и снизить риск осложнений, связанных с ними.
Вопрос о необходимости и сроках удаления гонад у женщин с полной формой синдрома тестикулярной феминизации (СТФ) является предметом дискуссии среди медицинских специалистов. Эта дискуссия началась в 1950-х годах и продолжается по сей день [4][11]. Одна из точек зрения заключается в том, что удаление яичек следует проводить как можно раньше, как только они обнаружены, даже до достижения полового созревания. Этот подход обосновывается высоким риском развития опухолей в гонадах и стремлением предотвратить возможные осложнения. Другая точка зрения заключается в сохранении яичек до завершения полового созревания, а затем принятии решения об их удалении или проведении тщательного мониторинга для раннего выявления возможных новообразований. Этот подход учитывает потенциальную пользу от сохранения яичек в отношении естественного гормонального функционирования и возможности репродуктивного выбора в будущем [4][11].
В настоящее время хирургическая тактика в отношении удаления яичек сводится к проведению лапароскопической гонадэктомии. Эта процедура является минимально инвазивной, позволяющей сократить риск осложнений и обеспечить более быстрое восстановление после операции [6]. После удаления яичек терапия эстрогенами становится необходимой для поддержания дальнейшего формирования женского фенотипа и профилактики остеопороза. Терапия эстрогенами может проводиться различными лекарственными формами и дозировками препаратов: внутрь в виде таблеток, трансдермально в виде пластырей или кремов, или в виде инъекций. Выбор конкретного метода и дозировки зависит от индивидуальных особенностей пациентки и ее предпочтений [6]. При проведении гонадэктомии до наступления половой зрелости начало терапии эстрогенами рекомендуется в возрасте 11–12 лет. В этом случае эстрогены могут быть принимаемыми перорально в виде таблеток или трансдермально в виде пластырей или кремов [8]. Поскольку у пациенток с полной формой СТФ отсутствует матка, терапия прогестероном не требуется.
При частичной форме СТФ риск возникновения герминогенных опухолей составляет около 15%. В связи с чем рекомендуется проведение двусторонней гонадэктомии в детском возрасте у всех лиц, воспитываемых в женском социальном поле [8]. Для мужчин с частичной формой СТФ, когда яички не удаляются, рекомендуется помещение яичка в мошонку и регулярный динамический контроль, позволяющий своевременно выявить возможные изменения [8].
Для женщин, желающих сохранить гонады, предложена программа ежегодного скрининга, включающая ряд диагностических процедур [6]:
- визуализация гонад с помощью магнитно-резонансной томографии;
- определение опухолевых маркеров: альфа-фетопротеина, бета-ХГЧ, лактатдегидрогеназы и плацентарной щелочной фосфатазы;
- оценка гормонального статуса: измерение уровней гормонов, таких как лютеинизирующий гормон, фолликулостимулирующий гормон, тестостерон и ингибин В.
Программа ежегодного скрининга направлена на раннее выявление возможных опухолей и мониторинг гормонального статуса пациенток.
ОПИСАНИЕ СЛУЧАЯ
Пациентка Т., 37 лет, с синдромом тестикулярной феминизации, полная форма, (кариотип 46XY) поступила в марте 2023 г. в отделение нейроэндокринологии ФГБУ «НМИЦ Эндокринологии» МЗ РФ с жалобами на выраженный болевой синдром в подвздошной области, преимущественно справа, болевые ощущения в области молочных желез, выраженную слабость, сонливость, повышенную утомляемость, набор массы тела на 7 кг в течение 6 месяцев.
Из анамнеза
Впервые обратилась к врачу в возрасте 14 лет с жалобами на отсутствие менструаций. На основании клинических и лабораторно-инструментальных данных, исследования кариотипа (46XY) и данных семейного анамнеза (СТФ у родной сестры пациентки) был установлен диагноз полная форма СТФ. Гонадэктомия в постпубертатном возрасте не проводилась.
Замужем, есть 2 детей от суррогатной матери и донорской яйцеклетки.
При обследовании, по данным УЗИ органов малого таза от 20.09.2022: эхографические признаки аплазии матки, в проекции яичниковых ямок выявлены неоднородные гипоэхогенные структуры с четкими контурами, размерами до 34,4 мм с обеих сторон. При амбулаторном лабораторном обследовании от 20.09.2022 было отмечено повышение уровня тестостерона до 36,26 нмоль/л (норма для женщин — до 1,85 нмоль/л), повышение 17ОНпрогестерона — до 6,19 нмоль/л, а также нормальные значения эстрадиола (142 пмоль/л) и пролактина (116,4 мМЕ/л). По данным УЗИ молочных желез, эхографические признаки диффузной фиброзно-кистозной мастопатии: слева — образование 23х13 мм (BIRADS 3).
При клиническом осмотре пациентки при поступлении в отделение отмечается полное соответствие женскому фенотипу, отсутствие волос в подмышечной и лобковой областях, наличие влагалища достаточной глубины, заканчивающегося слепо. При пальпации молочных желез отмечались болезненность, выделения отсутствуют.
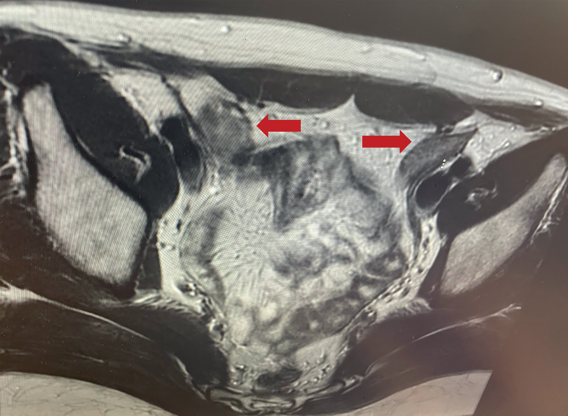
В ходе госпитализации, по данным гормонального анализа крови, выявлены изменения гормонального профиля, характерные для СТФ: повышение тестостерона до 19,4 нмоль/л (норма — до 2,7), ЛГ — до 28,9 Ед/л, нормальные значения ФСГ (2,06 Ед/л) и эстрадиола — 135,7 пмоль/л. При МРТ органов малого таза визуализировались признаки гонад (яичек): в правой подвздошной области размерами 23х20х38 мм, с четкими неровными контурами, неоднородной структуры, с признаками накопления контрастного препарата; также справа — зона размерами 26х23х28 мм, с кистозными включениями; в левой подвздошной области определяется структура овальной формы, размерами около 32х14х29 мм, с четкими неровными контурами, неоднородной структуры, с признаками накопления контрастного препарата; МР-признаки аплазии матки и шейки матки (рис. 1). С целью исключения остеопороза на фоне основного заболевания выполнена рентгеновская остеоденситометрия поясничного отдела позвоночника и проксимального отдела бедренной кости, по данным которой снижения минеральной плотности костей не выявлено.

Рисунок 1. МРТ органов малого таза. Стрелки указывают на гонады (яички) в паховом канале.
Figure 1. MRI of the pelvic organs. Arrows indicate the gonads (testes) in the inguinal canal.
Пациентка консультирована гинекологом, учитывая высокий риск малигнизации гонад рекомендовано оперативное лечение в плановом порядке. Однако, несмотря на подробное информирование о потенциальных рисках малигнизации образований, пациентка сознательно отказывается от проведения хирургического лечения.
ОБСУЖДЕНИЕ
Вопрос необходимости превентивной гонадэктомии при СТФ вызывает продолжительные и интенсивные дискуссии на протяжении многих десятилетий. Данная проблема до сих пор оставляет место для широкого спектра мнений в научном сообществе. Решение об оперативном лечении основывается на множестве факторов, таких как риск малигнизация гонад, потенциальная польза хирургического лечения, а также желание пациента.
Представленный клинический случай иллюстрирует сложности, с которыми сталкиваются медицинские специалисты при лечении пациентов с СТФ. Как упоминалось ранее, пациентке, возрастом 37 лет, с установленным диагнозом полной формы СТФ и подозрительными МР-характеристиками образований органов малого таза была рекомендована гонадэктомия в плановом порядке. Вопреки подробным обсуждениям возможного риска малигнизации гонад и пользы терапии эстрогенами в послеоперационном периоде, пациентка приняла решение воздержаться от хирургического лечения. Единственным мотивом, лежащим в основе ее решения, было «положительное влияние» гормонов, вырабатываемых гонадами, на внешние аспекты ее женского облика.
Высокий риск возникновения герминогенных опухолей in situ у пациентов с СТФ является одним из основных аргументов в пользу проведения гонадэктомии [14]. Некоторые исследования подтверждают более высокую частоту неоплазии зародышевых клеток in situ (карцинома in situ) в гонадах у пациентов с полной и частичными формами СТФ по сравнению с общей популяцией мужчин [14]. Карцинома in situ представляет собой предраковое состояние, когда аномальные клетки появляются в тканях и не распространяются за пределы первоначального места образования, однако без своевременного вмешательства карцинома in situ может прогрессировать в инвазивные раковые опухоли. Превентивная гонадэктомия снижает риск развития рака и устраняет источник потенциальной злокачественной дегенерации.
Однако истинная распространенность герминогенных опухолей гонад в настоящее время неизвестна. Ранняя превентивная гонадэктомия затрудняет точное определение частоты опухолей у пациентов с СТФ. Кроме того, отсутствие подтверждения диагноза с использованием секвенирования гена AR и неизвестное количество недиагностированных случаев СТФ у условно здоровых женщин искажают оценку частоты возникновения опухолей [12]. Предвзятость в проведенных исследованиях и публикациях также может влиять на достоверность данных о частоте предраковых опухолей гонад при СТФ. Наиболее часто публикуются случаи с осложнениями или высоким риском рака, что создает впечатление о более высокой распространенности опухолей.
В свете этих факторов необходимо признать, что точная частота карцином при СТФ до сих пор остается неизученной. Подтверждение этой гипотезы обеспечивают исследования, направленные на гистологический анализ ткани после гонадэктомии. В большинстве случаев были обнаружены неоплазии зародышевых клеток in situ [15]. Семиномы, злокачественные опухоли клеток Лейдига и смешанные опухоли встречались значительно реже [16]. Также надо отметить, что при раннем обнаружении и хирургическом лечении герминогенных опухолей прогноз обычно благоприятный и показатели выживаемости достигают 100% [17]. Ранняя стадия герминогенных опухолей характеризуется ограниченным распространением опухолевого процесса без захвата окружающих тканей или лимфатических узлов [17].
Гонады, особенно яички, играют важную роль в синтезе половых гормонов, таких как эстрогены и тестостерон, имеющих существенное значение для регуляции множества физиологических процессов в организме. Поэтому, в случае гонадэктомии, важно проводить ЗГТ, которая поможет поддерживать баланс гормонов и предотвращать потенциальные долгосрочные последствия недостатка этих веществ. У некоторых пациентов качество жизни сохраняется после гонадэктомии, в то время как другие могут столкнуться с изменениями, связанными с отсутствием гонад. Необходимость постоянной заместительной терапии эстрогенами после гонадэктомии является еще одним важным аспектом [18]. Проведенные исследования на небольшой группе женщин с полной формой СТФ показали повышенный риск развития снижения минеральной плотности костной ткани при использовании терапии эстрогенами, по сравнению с эндогенной продукцией гормонов в интактных гонадах [19].
ЗАКЛЮЧЕНИЕ
Перед лечащими врачами пациента с СТФ, а также перед семьей и самим пациентом возникает ряд важных вопросов по поводу дальнейшей тактики ведения. При принятии решения относительно выбора пола необходимо учитывать потенциал вирилизации, возможность сохранения репродуктивной функции, сложность реконструктивного хирургического вмешательства, а также предпочтения семьи пациента относительно пола ребенка. В настоящее время, основываясь на знаниях о генетических особенностях, большинство пациентов с частичным СТФ идентифицируются как мужчины, однако результаты исследований указывают на то, что примерно 25% неудовлетворены выбранным полом.
Другим важным вопросом, который до сих пор остается предметом дискуссий, является обоснованность профилактического удаления гонад у пациентов с полной формой СТФ. Представленный клинический случай подчеркивает сложность принятия решения в лечении СТФ, где потребности и предпочтения пациента могут играть важную роль, несмотря на потенциальные риски и рекомендации медицинских специалистов.
В свете высоких показателей выживаемости при выявлении ранних стадий герминогенных опухолей у пациентов с СТФ регулярный мониторинг и соблюдение рекомендаций врача представляются допустимыми мерами, способствующими наилучшему исходу лечения. Для определенной категории пациентов проведение регулярного скрининга вместо профилактической гонадэктомии может представлять собой более комфортный вариант. Важно отметить, что решение о динамическом наблюдении должно быть основано на тщательном учете всех факторов, связанных с риском малигнизации, совместно с пациентом. Пациенты, выбирающие стратегию динамического наблюдения, должны быть готовы к оперативному вмешательству, если показания для гонадэктомии станут более очевидными. Персонализированный подход играет важную роль в определении оптимального лечебного плана для каждого пациента с СТФ.
ДОПОЛНИТЕЛЬНАЯ ИНФОРМАЦИЯ
Источники финансирования. Работа выполнена по инициативе авторов без привлечения финансирования.
Конфликт интересов. Работа выполнена в соавторстве с членом редакционной коллегии журнала «Ожирение и метаболизм» Трошиной Е.А.
Согласие пациента. Пациентка добровольно подписала информированное согласие на публикацию персональной медицинской информации в обезличенной форме (именно в этом журнале).
Участие авторов. Старостина Е.А. — сбор, анализ и интерпретация данных, написание текста, разработка концепции; Фролкова Н.В. — сбор, анализ и интерпретация данных, написание текста; Сеидова С.М. — сбор, анализ и интерпретация данных, написание текста; Пржиялковская Е.Г. — проверка интеллектуального содержания, окончательное утверждение для публикации рукописи; Платонова Н.М. — проверка интеллектуального содержания, окончательное утверждение для публикации рукописи; Трошина Е.А. — проверка интеллектуального содержания, окончательное утверждение для публикации рукописи.
Все авторы одобрили финальную версию статьи перед публикацией, выразили согласие нести ответственность за все аспекты работы, подразумевающую надлежащее изучение и решение вопросов, связанных с точностью или добросовестностью любой части работы.
Список литературы
1. Gavrilyuk VP, Kostin S V., Statina MI, Severinov DA, Ageeva EO. Syndrome of complete insensitivity to androgens of the 4-years-old child. Russ J Pediatr Surgery, Anesth Intensive Care. 2020;10(1):89-94. doi: https://doi.org/10.17816/psaic566
2. Pavlov SYMVN, Papoyan AO, Davydovich MG, Lasynova GH. A clinical case of the family variant of the full form of false. 2021;3(93):72-76
3. Gingu C, Dick A, Patrajcoiu S, et al. Testicular feminization: Complete androgen insensitivity syndrome. discussions based on a case report. Rom J Morphol Embryol. 2014;55(1):177-181
4. Bertelloni S. Gonadal Surgery in Complete Androgen Insensitivity Syndrome: A Debate. Sex Dev. 2017;11(4):169-170. doi: https://doi.org/10.1159/000475907
5. Tyutyusheva N, Mancini I, Baroncelli GI, et al. Complete androgen insensitivity syndrome: From bench to bed. Int J Mol Sci. 2021. doi: https://doi.org/10.3390/ijms22031264
6. Dohnert U, Wunsch L, Hiort O. Gonadectomy in Complete Androgen Insensitivity Syndrome: Why and When? Sex Dev. 2017;11(4):171-174. doi: https://doi.org/10.1159/000478082
7. Audi L, Fernandez-Cando M, Carrascosa A, et al. Novel (60%) and Recurrent (40%) Androgen Receptor Gene Mutations in a Series of 59 Patients with a 46,XY Disorder of Sex Development. J Clin Endocrinol Metab. 2010;95(4):1876-1888. doi: https://doi.org/10.1210/jc.2009-2146
8. Batista RL, Costa EMF, Rodrigues A de S, et al. Androgen insensitivity syndrome: a review. Arch Endocrinol Metab. 2018;62(2):227-235. doi: https://doi.org/10.20945/2359-3997000000031
9. Hannema S, Scott I, Rajpert-De Meyts E, Skakkebak N, Coleman N, Hughes I. Testicular development in the complete androgen insensitivity syndrome. J Pathol. 2006;208(4):518-527. doi: https://doi.org/10.1002/path.1890
10. Birnbaum W, Marshall L, Werner R, et al. Oestrogen versus androgen in hormone-replacement therapy for complete androgen insensitivity syndrome: a multicentre, randomised, double-dummy, double-blind crossover trial. Lancet Diabetes Endocrinol. 2018;6(10):771-780. doi:10.1016/S2213-8587(18)30197-9
11. Cools M, Wolffenbuttel KP, Hersmus R, et al. Malignant testicular germ cell tumors in postpubertal individuals with androgen insensitivity: prevalence, pathology and relevance of single nucleotide polymorphism-based susceptibility profiling. Hum Reprod. 2017;32(12):2561-2573. doi: https://doi.org/10.1093/humrep/dex300
12. Deans R, Creighton SM, Liao LM, Conway GS. Timing of gonadectomy in adult women with complete androgen insensitivity syndrome (CAIS): Patient preferences and clinical evidence. Clin Endocrinol (Oxf). 2012. doi: https://doi.org/10.1111/j.1365-2265.2012.04330.x
13. Juniarto AZ, Setyawati BA, Miranti IP, et al. Gonadal malignancy in 13 consecutive collected patients with disorders of sex development (DSD) from Semarang (Indonesia). J Clin Pathol. 2013. doi: https://doi.org/10.1136/jclinpath-2012-201062
14. Cools M, Simmonds M, Elford S, et al. Response to the Council of Europe Human Rights Commissioner's Issue Paper on Human Rights and Intersex People. Eur Urol. 2016;70(3):407-409. doi: https://doi.org/10.1016/j.eururo.2016.05.015
15. Cheikhelard A, Morel Y, Thibaud E, et al. Long-Term Followup and Comparison Between Genotype and Phenotype in 29 Cases of Complete Androgen Insensitivity Syndrome. J Urol. 2008;180(4):1496-1501. doi: https://doi.org/10.1016/j.juro.2008.06.045
16. Iwamoto I, Yanazume S, Fujino T, Yoshioka T, Douchi T. Leydig cell tumor in an elderly patient with complete androgen insensitivity syndrome. Gynecol Oncol. 2005. doi: https://doi.org/10.1016/j.ygyno.2004.11.015
17. Ehrlich Y, Margel D, Lubin MA, Baniel J. Advances in the treatment of testicular cancer. Transl Androl Urol. 2015. doi: https://doi.org/10.3978/j.issn.2223-4683.2015.06.02
18. Bertelloni S, Dati E, Baroncelli GI, Hiort O. Hormonal Management of Complete Androgen Insensitivity Syndrome from Adolescence Onward. Horm Res Paediatr. 2011;76(6):428-433. doi: https://doi.org/10.1159/000334162
19. Bertelloni S, Baroncelli GI, Mora S. Bone health in disorders of sex differentiation. Sex Dev. 2010. doi: https://doi.org/10.1159/000315961
Об авторах
Е. А. СтаростинаРоссия
Старостина Евгения Александровна - к.м.н.
117036, Москва, ул. Дм. Ульянова, д. 11
Конфликт интересов:
Работа выполнена в соавторстве с членом редакционной коллегии журнала «Ожирение и метаболизм» Трошиной Е.А.
Н. В. Фролкова
Россия
Фролкова Надежда Викторовна.
Москва
Конфликт интересов:
Работа выполнена в соавторстве с членом редакционной коллегии журнала «Ожирение и метаболизм» Трошиной Е.А.
С. М. Сеидова
Россия
Сеидова Сеидбике Мирсамедовна.
Москва
Конфликт интересов:
Работа выполнена в соавторстве с членом редакционной коллегии журнала «Ожирение и метаболизм» Трошиной Е.А.
Е. Г. Пржиялковская
Россия
Пржиялковская Елена Георгиевна - к.м.н.
Москва
Конфликт интересов:
Работа выполнена в соавторстве с членом редакционной коллегии журнала «Ожирение и метаболизм» Трошиной Е.А.
Н. М. Платонова
Россия
Платонова Надежда Михайловна - д.м.н.
Москва
Конфликт интересов:
Работа выполнена в соавторстве с членом редакционной коллегии журнала «Ожирение и метаболизм» Трошиной Е.А.
Е. А. Трошина
Россия
Трошина Екатерина Анатольевна - д.м.н., проф.
Москва
Конфликт интересов:
Работа выполнена в соавторстве с членом редакционной коллегии журнала «Ожирение и метаболизм» Трошиной Е.А.
Дополнительные файлы
|
|
1. Рисунок 1. МРТ органов малого таза. Стрелки указывают на гонады (яички) в паховом канале. | |
| Тема | ||
| Тип | Исследовательские инструменты | |
Посмотреть
(436KB)
|
Метаданные ▾ | |
Рецензия
Для цитирования:
Старостина Е.А., Фролкова Н.В., Сеидова С.М., Пржиялковская Е.Г., Платонова Н.М., Трошина Е.А. Синдром тестикулярной феминизации: превентивная гонадэктомия, «за» и «против». Ожирение и метаболизм. 2024;21(1):85-91. https://doi.org/10.14341/omet13024
For citation:
Starostina E.A., Frolkova N.V., Seidova S.M., Przhiyalkovskaya E.G., Platonova N.M., Troshina E.A. Androgen insensitivity syndrome: preventive gonadectomy, pros and cons. Obesity and metabolism. 2024;21(1):85-91. (In Russ.) https://doi.org/10.14341/omet13024
Контент доступен под лицензией Creative Commons Attribution-NonCommercial-NoDerivatives 4.0 International License (CC BY-NC-ND 4.0).




































