Перейти к:
Гиперурикемия и подагра: влияние на костный метаболизм и суставной хрящ (обзор литературы)
https://doi.org/10.14341/omet12894
Аннотация
Подагра является системным заболеванием, характеризующимся отложением в тканях кристаллов моноурата натрия (МУН) и развивающимся в связи с этим воспалением у лиц с гиперурикемией (ГУ). Распространенность ГУ, которую можно считать первой стадией формирования подагры, различается в разных странах. Несмотря на это, доказано, что лишь небольшое число лиц с ГУ развивают симптомы подагры. Данные работ последних лет свидетельствуют, что ГУ является независимым фактором риска поражения хряща и костной ткани. Мочевая кислота как в виде кристаллов, так и в растворенной форме активирует повреждение и потенцирует гибель клеток путем высвобождения активных форм, активации пути некроптоза, нейтрофильных ловушек, синтеза провоспалительных цитокинов и других возможных патогенетических механизмов, обуславливающих негативное влияние ГУ и подагры на суставной хрящ и субхондральную кость. Ассоциация ГУ и остеоартрита общеизвестна и базируется на общности патогенеза, однако направление этой связи до сих пор остается дискуссионным вопросом. Накопленные данные предполагают необходимость более глубокого изучения взаимосвязи подагры и бессимптомной ГУ с патологическими процессами, приводящими к развитию и прогрессии остеоартрита и нарушений костного метаболизма.
Для цитирования:
Черёмушкина Е.В., Елисеев М.С. Гиперурикемия и подагра: влияние на костный метаболизм и суставной хрящ (обзор литературы). Ожирение и метаболизм. 2022;19(3):348-357. https://doi.org/10.14341/omet12894
For citation:
Cheremushkina E.V., Eliseev M.S. Hyperuricemia and gout: effects on bone and articular cartilage (literature review). Obesity and metabolism. 2022;19(3):348-357. (In Russ.) https://doi.org/10.14341/omet12894
ВВЕДЕНИЕ
Подагра (греч. рodos — нога, agra — захват, «нога в капкане») — системное тофусное заболевание, характеризующееся отложением в тканях кристаллов моноурата натрия (МУН) и развивающимся в связи с этим воспалением у лиц с гиперурикемией (ГУ), обусловленной внешнесредовыми и/или генетическими факторами [1]. Общеизвестно, что ГУ играет центральную роль в образовании кристаллов МУН, формировании симптомов острой и, при отсутствии рациональной уратснижающей терапии (УСТ), хронической тофусной подагры. Однако даже при сывороточном уровне мочевой кислоты (МК) крови более 10 мг/дл (около 600 мкмоль/л) за 15-летний период наблюдения лишь менее половины пациентов (48,57%) развивают клинические симптомы подагры [2].
Вне зависимости от генетической предрасположенности подагру стоит рассматривать как стадийно протекающее заболевание. У всех пациентов с подагрой определяется ГУ, которую можно считать отправной точкой развития заболевания, однако подавляющее большинство лиц с ГУ даже в длительной перспективе не демонстрируют типичные признаки подагры — сильнейшую боль, локальную гипертермию, припухание суставов, снижение их функции или формирование тофусов. Тем не менее результаты ряда работ свидетельствуют, что даже на стадии бессимптомной ГУ более чем в 20% случаев кристаллы МК обнаруживаются в различных органах и тканях, в том числе внутри суставов и периартикулярно, обуславливая хроническое субклиническое воспаление и повреждение тканей [3][4]. Однако важно понимать, что ГУ — отличный от подагры клинический синдром и необходимое, но не синонимичное подагре понятие, не всегда достаточное как для формирования кристаллов, так и для развития симптомов подагры [5]. Таким образом, в соответствии с клиническими, лабораторными и инструментальными признаками в нозогенезе подагры выделяют четыре последовательные, но не всегда переходящие из одной в другую стадии:
а) ГУ без симптомов или анамнеза подагры и с отсутствием депозитов кристаллов уратов;
б) бессимптомная ГУ с признаками наличия депозитов кристаллов уратов (по данным сонографии или двухэнергетической компьютерной томографии;
в) ГУ с текущим или предшествующим эпизодом подагрического артрита;
г) ГУ с наличием тофусов, хроническим артритом, эрозивным артритом по результатам методов лучевой диагностики.
При отсутствии адекватной УСТ заболевание прогрессирует. Сначала формируются кристаллы уратов, затем происходит их персистенция, стимулируя механизмы врожденного иммунитета, приводит к развитию острых приступов артрита, а далее — к хроническому течению подагры, увеличению частоты, тяжести и длительности приступов, формированию тофусов, артропатии, прогрессированию сопутствующих хронической ГУ заболеваний почек и сердечно-сосудистой системы [6].
В основе патогенеза как подагры, так и других микрокристаллических артропатий лежит феномен супернасыщения синовиальной жидкости (СЖ) ионами. Независимо от системных нарушений электролитного баланса, перенасыщенная метаболическая среда должна быть локальной по отношению к тканям, в которых откладываются кристаллы. Кристаллы МУН выпадают в осадок в полости сустава и приобретают провоспалительные свойства по мере кристаллизации, однако накоплены данные, что образование кристаллов не всегда приводит к немедленной тканевой реакции [7]. Среда может оставаться в перенасыщенном ионами состоянии до тех пор, пока не произойдет событие, которое сделает ионы менее растворимыми и, таким образом, будет способствовать формированию кристаллов. Этим событием может быть увеличение концентрации свободных ионов, связанное с обезвоживанием ткани, изменением рН, активностью ферментов, снижением температуры. Уже существующие структурные повреждения хряща и изменения электролитного состава тканей, к примеру, обусловленные прогрессированием дегенеративно-дистрофических заболеваний костей и суставов, могут потенцировать деструкцию тканей [8]. Интересным представляется факт, что кристаллы МУН при выпадении в осадок на поверхности неповрежденной хрящевой ткани «выстраиваются» вдоль волокон коллагена, образуя так называемые «первичные сайты нуклеации», тогда как их образование на поверхности поврежденного хряща происходит более интенсивно, что предполагает наличие патогенетической связи между остеоартритом (ОА) и подагрой [9]. Действительно, ассоциация упомянутых заболеваний общеизвестна и базируется на общности патогенеза, однако направление этой связи (подагра влияет на прогрессирование ОА или ОА способствует развитию подагры) до сих пор остается дискуссионным вопросом.
Эпидемиология ГУ
По данным крупных исследований установлено, что распространенность ГУ в разных странах варьирует в диапазоне от 10 до 30% [10]. К примеру, в США ГУ обнаруживается примерно у 20% населения и продолжает расти [11]. В Китае по данным метаанализа 59 исследований B. Liu и соавт. (2011 г.) показано, что распространенность ГУ за последние годы составила 21,6% для мужчин и 8,6% для женщин [12]. Также было установлено, что возраст риска развития ГУ составлял у мужчин 30 лет, а для женщин — 50 лет. L. Qui и соавт. в крупном исследовании (более 8000 участников старше 18 лет) подтвердили преобладание ГУ среди мужчин: при общей распространенности 13,7% мужчины имели в 2,5 раза более высокую частоту ГУ, чем женщины (21% против 7,9%; р<0,0001) [13]. В Российской Федерации распространенность ГУ, по данным исследования ЭССЕ-РФ, составляет около 16,8% (25,3% среди мужчин и 11,3% среди женщин) и увеличивается с возрастом [14]. Половые различия прежде всего обусловлены урикозурическим действием эстрогенов, а также генетическими факторами и факторами внешней среды.
Ассоциация ГУ с другими нозологиями
ГУ является весьма неблагоприятным состоянием, ассоциированным с повышением риска развития сердечно-сосудистых заболеваний, болезней почек, обменных нарушений. В последнее время активно изучается и проблема нарушений костного метаболизма у пациентов с ГУ и подагрой.
Бессимптомная ГУ часто рассматривается как непатологическое состояние ввиду того, что до недавнего времени растворимая форма МК считалась инертной и не вызывающей воспалительной реакции. Однако T. Braga и соавт. показали, что и растворимая МК может активировать NLRP3 инфламмасому за счет продукции митохондриальных активных форм кислорода (АФК), что приводит к высвобождению провоспалительного цитокина, интерлейкина-1β (interleukin-1β, IL-1β) и поддержанию хронического воспаления [15].
Интересным представляется исследование, доказавшее, что растворимая форма МК модулирует аутофагию и усиление воспаления, индуцированного бактериальными агентами, поэтому можно предположить, что растворимая МК представляет собой молекулярный фрагмент, ассоциированный с повреждениями (damage associated molecular pattern, DAMP) [16]. Однако по данным нескольких рандомизированных исследований выявить причинно-следственную связь между уровнями МК в сыворотке и хроническими воспалительными заболеваниями не удалось, что не позволяет безапелляционно говорить о патологическом влиянии ГУ как о факторе, требующем коррекции в любых случаях [17][18].
В процессе изучения связи между ГУ и ОА прийти к единому мнению относительно взаимообусловленности данных состояний также не представляется возможным, однако наличие подобной ассоциации находит все больше подтверждений.
В 2001 г. Y. Sun и соавт. [19] обнаружили корреляцию между повышением сывороточного уровня МК и развитием генерализованного ОА у пациентов с ОА тазобедренного сустава, но не у пациентов с ОА коленного сустава. Примерно в то же время A.E. Denoble и соавт. [20] пришли к выводу, что МК в СЖ, но не в сыворотке крови, является предиктором развития и маркером тяжести ОА коленного сустава. S. Wang и соавт. [21] обнаружили, что влияние повышенного уровня МК на ОА коленного сустава было ассоциировано с наличием выраженной боли в коленном суставе при ОА у взрослых без ожирения и, в частности, у лиц с нормальным или недостаточным весом. Результаты данного исследования предполагают, что пациенты с более высоким уровнем МК могут быть подвержены риску более тяжелого течения заболевания, что подтверждено R. Dunkan и соавт. [22] и поднимает вопрос об участии уратов в патогенезе ОА. Таким образом, связь между повышением уровня МК сыворотки крови, но не СЖ, и развитием ОА остается открытой. Соответственно, оказывает ли УСТ терапевтический эффект на течение ОА за счет снижения уровня МК в сыворотке на сегодняшний день также неизвестно.
В то же время за последнее десятилетие увеличилось и количество данных, подтверждающих благоприятное действие МК на костный метаболизм. Недавние исследования выявили положительную связь между сывороточным уровнем МК и минеральной плотностью костей (МПК) поясничного отдела позвоночника у большинства подростков и пожилых людей [23]. Проведенный N. Veronese и соавт. [24] метаанализ показал, что у пациентов с ГУ были значительно более высокие значения МПК в поясничном отделе позвоночника [стандартизированное среднее различие (ССР) 0,29; 95% доверительный интервал (ДИ) 0,22–0,35], бедренной кости (ССР 0,29; 95% ДИ 0,24–0,34) и шейки бедра (ССР 0,25; 95% ДИ 0,74–0,92). Однако D. Zhang и соавт. [25] обнаружили, что сывороточный уровень МК не зависит от МПК после применения многомерного анализа на выборке из 6579 взрослых американцев. Данные аналогичных исследований, проведенных в Китае и Корее, также не подтверждают ассоциацию ГУ и остеопороза [26][27]. Можно предположить, тем не менее, что если рассматривать подагру как заболевание прогрессирующее, то и негативное влияние заболевания, в том числе, на костные структуры и хрящ, будет нарастать параллельно его прогрессии.
Физико-химические основы процесса кристаллизации МК
Считается, что общий физико-химический процесс кристаллизации МК имеет сходство с образованием других кристаллов и характеризуется зависимостью как от концентрации уратов, так и от местных факторов, например, снижения температуры, механического повреждения тканей, способствующего локальному перенасыщению уратами, и факторов врожденного и адаптивного иммунитета. В исследовании N. McGrill и соавт. [28] было экспериментально показано, что суставная жидкость и хрящевые элементы играют важную роль в образовании кристаллов уратов. Добавление СЖ больных подагрой к перенасыщенным растворам in vitro способствовало кристаллизации МК, в то время как СЖ больных ревматоидным артритом (РА) или ОА таким эффектом не обладала. Важно отметить, что результат не зависел от концентрации уратов в СЖ, и, возможно, пораженный сустав в определенных условиях сам создает благоприятную среду для образования кристаллов МК. В ряде исследований была изучена возможность потенцирования кристаллизации МК белками и другими органическими макромолекулами. H. Burt и соавт. [29] проанализировали кинетику роста кристаллов МУН и обнаружили, что как хондроитина сульфат, так и фосфатидилхолин, в отличие от фоcфатидилсерина, усиливают нуклеацию и кристаллизацию МК in vitro. При этом содержание хондроитин-4-сульфата и хондроитин-6-сульфата в СЖ при ОА повышено, например, в сравнении с РА, отражая разрушение суставного хряща, обусловленное ОА. Однако в ходе исследований данные относительно хондроитина сульфата оказались противоречивы: усиление процесса кристаллизации было отмечено по данным работы T. Lawrent и соавт. [30], что противоречило результатам исследования H. Tak и соавт. [31].
Роль кристаллов МК в формировании кристалл-индуцированного воспаления и его влияние на костный метаболизм и суставной хрящ
Отложение кристаллов МК в синовиальной оболочке вызывает высвобождение АФК и реактивных форм азота, неизбежно приводящих к гибели клеток [32]. Однако кристаллы МК, помимо опосредованного действия, обладают свойством прямой цитотоксичности, приводящей к воспалению и, как следствие, некрозу клеток синовиальной оболочки [33]. Следует отметить, что некроз может активировать ряд биохимических сигнальных путей. К примеру, было доказано, что индуцированный кристаллами МК некроз клеток может быть опосредован серин/треонин-протеинкиназой-3 (Receptor-interacting serine/threonine-protein kinase 3, RIPK3) и серин/треонин-протеинкиназой-1 (Receptor-interacting serine/threonine-protein kinase 1, RIPK1), а также псевдокиназами смешанного происхождения (mixed-lineage kinase domain-like, MLKL) пути некроптоза [34][35]. Как только RIPK3 и MLKL образуют некросомальный комплекс, последний может интегрироваться в плазматическую имитохондриальную мембраны и разрушать их, что приводит к клеточной гибели [36]. Эти некротические клетки вызывают дальнейшую воспалительную реакцию, высвобождая иммуностимулирующие молекулы, DAMPs, к которым относят гистоны, амфотерины, ДНК, а также алармины, например интерлейкин 1а (interleukin-1a, IL-1a) [37]. Кроме того, было доказано, что выделенные из очага воспаления кристаллы МУН обычно покрыты иммуноглобулинами (Ig), в основном класса IgG, поверхностные концентрации которых снижаются по мере разрешения воспаления (обратно коррелирует с повышением поверхностного покрытия аполипопротеином B), что указывает на роль IgG в промотировании воспаления острого приступа [38]. Таким образом, очевидно, что некротические клетки в синовиальной оболочке дополнительно активируют иммунный ответ и приток нейтрофилов и макрофагов в синовиальную оболочку.
Подагра характеризуется асептическим воспалением суставов, опосредованным главным образом действием макрофагов и полиморфноядерных нейтрофильных гранулоцитов (polymorphonuclear neutrophils, PMN). Эти клетки врожденного иммунного ответа ошибочно распознают кристаллы МК как опасность и подвергаются чрезмерной активации, приводящей к формированию воспаления. Известно, что инициаторами активации воспалительного каскада являются макрофаги, тогда как PMN играют важную роль в эскалации воспалительного процесса [39]. При ОА была выявлена явная положительная корреляция между количеством PMN и концентрацией сульфатированного гликозаминогликана и отрицательная — между степенью повреждения хондроцитов и концентрацией гликозаминогликана в СЖ у пациентов с посттравматическим ОА, предполагая важную роль в прогрессировании и хронизации повреждения хондроцитов при вторичном ОА [40].
Активация NLRP3-инфламмасомы, интегрирующей многочисленные пути опасности (Danger pathways), приводящие к каспазо-1-зависимому расщеплению про-IL-1β, запускает высвобождение зрелого IL-1β макрофагами и дендритными клетками, а также продукцию цитокинов и хемокинов, таким образом приводя к локальному воспалению или системным эффектам, например, в виде лихорадки. IL-1, высвобождаемый иммунными клетками, дополнительно активирует провоспалительные цитокины, такие как IL-8, IL-6, а также селектины и интегрины на люминальной поверхности эндотелиальных клеток, что может дополнительно усиливать рекрутирование нейтрофилов [41]. В процессе исследований было установлено, что кристаллы МК активируют PMN, не только вызывая секрецию цитокинов, но и индуцируя образование нейтрофильных внеклеточных ловушек (Neutrophil Extracellular Traps, NETs) [42]. Данный процесс, в свою очередь, приводит к активации провоспалительного каскада реакций через Toll-подобные рецепторы (Toll-like receptors, TLR): TLR2, -4 и -9 и NLRP3-инфламмасому, что способствует высвобождению хемокина CXCL8, который дополнительно активирует врожденный иммунный ответ [43]. Более того, в ряде исследований было показано, что внеклеточные гистоны, оказывая прямое цитотоксическое действие, могут вызывать некроз эндотелиальных клеток как in vitro, так и на мышиных моделях воспаления при сепсисе [44][45]. Известно, что высвобождение гистонов в процессе формирования NETs играет важную роль в прогрессировании воспалительной реакции и, как следствие, в гибели клеток, что может говорить о важности роли гистонов в развитии острых приступов подагры. Таким образом, кристаллы МК являются триггером событий, включающих воспаление и некроптоз, усиливающих друг друга и приводящих к формированию типичных признаков острого подагрического артрита.
Так как кристаллы МК могут быть обнаружены у пациентов до клинической манифестации подагры, а также при верифицированном диагнозе ОА, то это поднимает вопрос об участии кристаллов уратов в патогенезе ОА. Известно, что присутствие кристаллов в суставе не обязательно приводит к возникновению микрокристаллического артрита, однако все кристаллы (включая ураты и пирофосфаты) являются потенциальными активаторами NLRP3-ассоциированного воспалительного пути, что приводит к каспаза-1-зависимому процессингу внутриклеточного про-IL-1β [46][47]. В исследовании E. Denoble [20] было взято 132 образца СЖ 69 пациентов (49 женщин (71%), 20 мужчин (29%)) пациентов с ОА, ранее не демонстрировавших признаки подагры. Было выявлено, что концентрация кристаллов МК в СЖ статистически значимо коррелировала с IL-1β (в тех образцах, в которых его можно было измерить) (р<0,0001) и фактором некроза опухолей-α (Tumor necrosis factor, TNF-α) (r2=0,061, P=0,002). Кроме того, стадия ОА, верифицируемая на основании рентгенографии, коррелировала с уровнями IL-1β, что позволило предположить возможность использования данного показателя в качестве потенциального биомаркера тяжести ОА. При этом корреляции содержания хондроитинсульфата и аллантоина в СЖ друг с другом или с какими-либо другими показателями СЖ (МК, IL-1β, TNF-α) выявлено не было. Таким образом, на основании приведенных данных можно сделать вывод, что непосредственное ассоциируется с наличием рентгенологического ОА уровень МК в СЖ, но не в сыворотке крови.
Интересна работа C. Muehleman и соавт. [48], которые исследовали 7855 образцов человеческих трупных таранных костей от 4007 доноров на наличие поверхностных и подповерхностных кристаллов МУН. Случайная выборка препаратов с кристаллами и без них подверглась анализу с помощью инфракрасной спектроскопии с преобразователем Фурье (FTIR), гистологическому и иммуногистохимическому исследованиям на наличие белка S100, белка поверхностной зоны и коллагена X. 34% случайных выборок кристаллов содержали кристаллы ПФК (пирофосфатов кальция), а остальные 66% — кристаллы МУН. Наличие обоих типов кристаллов было связано с более высокими уровнями белка S100, белка поверхностной зоны и коллагена X. Также было показано, что отложения кристаллов МУН на поверхности сильно коррелируют с поражением хряща таранной кости. Данное исследование доказало, что кристаллы МУН могут способствовать как инициации, так ираспространению деградации хряща и разрушению костной ткани в рамках ОА.
Интересно влияние IL-1β на развитие остеопороза. Около 80% пациентов с остеопорозом составляют женщины, эти данные во многом обусловлены заметной потерей МПК в результате ускоренного ремоделирования кости и, как следствие, — ухудшения трабекулярной архитектуры, связанной со снижением концентрации эстрогенов в постменопаузе, что заметно увеличивает активность остеокластов [49]. Однако недавняя гипотеза предполагает, что недостаток эстрогенов может иметь лишь незначительный эффект. Снижение функции яичников после менопаузы связано со спонтанным увеличением провоспалительных цитокинов, как это наблюдается у крыс после овариэктомии, и эти значения коррелируют со снижением МПК. Напротив, введение IL-1 после овариэктомии улучшало МПК в эксперименте R. Kimble [50]. У мышей с отсутствием функционального рецептора IL-1 1 типа (IL-1RI) сохранялась МПК после овариэктомии, в то время как у мышей дикого типа МПК была значительно снижена, что еще больше подчеркивает важность как IL-1β, так и других молекул семейства ИЛ-1 в опосредованной дефицитом эстрогена потере костной массы.
Хроническая тофусная подагра и костная ткань
Кристаллы МК вызывают активацию воспаления в основном за счет незавершенного фагоцитоза, процесса, характеризующегося либо аберрантной полимеризацией актина, либо лизосомальным повреждением, при котором содержимое лизосом попадает в цитозоль. Лизосомальные протеазы действуют как DAMPs, более того, они способны перерабатывать жизненно важные белки и воздействовать на другие органеллы, к примеру митохондрии [43][51]. Кроме того, кристаллы МК могут напрямую воздействовать на клеточные мембраны без участия клеточных рецепторов, то есть обладают прямой цитотоксичностью. Логично предположить, что чем больше кристаллов уратов наличествует у пациентов с хронической тофусной подагрой, тем более развернутого иммунного ответа следует ожидать.
Микроскопически тофусы представляют собой гранулемоподобные структуры, содержащие скопление кристаллов МУН, окруженное воспалительными клетками и соединительной тканью. «Корона» и внешние рыхлые фиброваскулярные зоны, окружающие упакованные кристаллы, включают фагоциты, тучные клетки, В- и Т-лимфоциты, а также плазматические клетки [52] (рис. 1).

Рисунок 1. Клеточная модель подагрического тофуса (адаптировано из Dalbeth N. и соавт., 2010) [52]. Клетки идентифицированы при помощи количественной иммуногистохимии (MNC — мононуклеарные клетки; TRAP — клетки, устойчивые к тартрату и кислой фосфатазе).
Figure 1. Cellular model of gouty tophus (adapted from Dalbeth N. et al., 2010) [52]. Cells were identified by quantitative immunohistochemistry (MNC, mononuclear cells; TRAP, tartrate and acid phosphatase resistant cells).
Макрофаги являются основным эффектором хронического воспаления и постоянно рекрутируются в очаги скопления кристаллов МУН. N. Dalbeth и соавт. [53] показали наличие усиленного остеокластогенеза у пациентов с хронической тофусной подагрой и впоследствии продемонстрировали, что подагрические тофусы представляют собой организованный хронический воспалительный ответ ткани с участием как врожденных, так и адаптивных иммунных клеток на депонирование кристаллов МУН. Однако клеточные механизмы, с помощью которых цитокины вовлечены в процесс остеокластогенеза в ответ на кристаллы МУН, остаются неизвестными.
Известно, что при хроническом артрите, таком как РА и псориатический артрит, остеокласты играют важную роль в патогенезе эрозирования костной ткани. В недавнем исследовании было показано, что тартрат-устойчивые многоядерные клетки (Tartrate-resistant acid phosphatase positive, TRAP+) (остеокластоподобные) присутствуют в зоне «Короны» подагрического тофуса [52]. Кроме того, было высказано предположение, что остеокласты и система рецептор-активатор лиганда ядерного фактора-κB (RANK/RANKL) важны для опосредования образования костной эрозии при подагрическом артрите [54]. Однако данных о клеточном происхождении RANKL/RANK и гистологической характеристике многоядерных клеток TRAP+ в подагрическом тофусе крайне мало. Роль RANKL-экспрессирующих клеток в процессе остеокластогенеза при подагрическом артрите требует дальнейшего изучения.
В небольшом исследовании влияния RANKL на костный метаболизм при хронической тофусной подагре было обнаружено, что ацинусы макрофагов формировались вокруг кристаллов МУН, а окружающие интерстициальные ткани были диффузно инфильтрированы Т-, В- и тучными клетками [54]. Интересно, что было обнаружено аналогичное таковому при РА расположение инфильтрирующих клеток в подагрических тофусах, что авторы интерпретировали как «подтип ревматоидного синовита» (диффузный синовит).
При морфологическом исследовании хрящевой ткани, пораженной отложениями МУН, можно обнаружить погибшие хондроциты непосредственно в локации отложения кристаллов, что, вероятно, является результатом нарушения процесса диффузии питательных веществ через барьер кристаллического агрегата в хрящевой матрикс [55]. Данный процесс приводит к неспособности поддерживать стабильность хрящевого матрикса. На поврежденных участках хряща, кристаллические агрегаты увеличиваются в размерах и проникают глубже, в конечном итоге достигая субхондральной кости [55]. В случае продвинутой стадии подагры, депозиты МУН проникают в костную ткань, замещая трабекулярные пространства и формируя эрозии кортикальной кости, что при дальнейшем прогрессировании заболевания может имитировать опухоли, остеомиелит [56]. Кроме того, подагра может имитировать РА. Доказано [57], что в проекции поверхностно расположенного тофуса происходит нарастание синовиальной выстилки, что могло бы изолировать кристаллы от суставной поверхности. Однако макрофагальная гигантоклеточная реакция сохраняется и благодаря продукции цитокинов, особенно IL-1β, способствует резорбции, ремоделированию костной ткани и формированию эрозий суставных поверхностей, которые внешне имитируют эрозии при РА.
Уратснижающая терапия
Вопрос о месте УСТ в лечении бессимптомной ГУ до сих пор остается дискуссионным, а данные исследований неоднозначны. Корреляция ГУ с сердечно-сосудистыми и хроническими почечными заболеваниями общеизвестна. При этом, по данным некоторых авторов, прогноз пациентов с ишемической болезнью сердца, хронической болезнью почек и артериальной гипертензией с ранним началом и персистирующей ГУ может улучшиться при назначении УСТ [58]. Однако, основываясь на одних только данных наблюдений, невозможно назначать регулярную лекарственную терапию, учитывая частое несоответствие между обсервационными исследованиями и рандомизированными контролируемыми исследованиями [59][60]. Предполагается, что для окончательного решения необходимы данные двойных слепых плацебо-контролируемых исследований, в которых изучалось бы влияние адекватных доз уратснижающих препаратов, длительность исследований превышала 3 года, а статистическая мощность была бы достаточной для выявления различий в частоте исследуемых событий не менее чем на 25% [60].
В то же время подобные диспуты о целесообразности УСТ при подагре на сегодняшний день потеряли актуальность, учитывая, что медикаментозная терапия может быть единственным доказанным методом абсолютного контроля над заболеванием, заключающимся в полной редукции отложений кристаллов уратов, поддержании сывороточного уровня МК<360 мкмоль/л и, как следствие, отсутствии приступов артрита в долгосрочной перспективе.
Так, у пациентов с тофусной подагрой мониторирование концентрации МК сыворотки крови и поддержание ее на должном уровне, назначение адекватной УСТ (прежде всего аллопуринола или фебуксостата) способно привести к редукции тофусов. M. Becker и соавт. [61] доказали, что при достижении нормоурикемии на фоне приема УСТ кристаллы МУН в СЖ перестают определяться через 3–33 мес от начала лечения. В то же время в исследовании ЕXCEL (Febuxostat vs Allopurinol Comparative Extension Longterm Study), помимо достижения целевого уровня МК и исчезновения приступов острого артрита через 40 мес лечения, отмечено рассасывание тофусов при терапии как фебуксостатом (у 36–46% пациентов), так и аллопуринолом (у 29%) [62]. В работе P. Primatesta и соавт. [63] оценены темпы редукции тофусов у 63 пациентов с тяжелой тофусной подагрой при лечении аллопуринолом, бензбромароном и их сочетанием. Отмечена зависимость скорости рассасывания тофусов в зависимости от концентрации МК в сыворотке крови: при уровне МК 6,1–7,0 мг/дл скорость редукции тофусов составляла 0,53±0,59 мм/мес; при уровне 5,1–6,0 мг/дл — 0,77±0,41 мм/мес; 4,1–5,0 мг/дл — 0,99±0,50 мм/мес. Наилучшие результаты были получены при концентрации МК в сыворотке крови ≤4,0 мг/дл (скорость редукции — 1,52±0,67 мм/мес). К 64-му месяцу терапии у всех пациентов наблюдалось полное разрешение тофусов, что свидетельствует о важности подбора УСТ и достижения целевого уровня МК сыворотки крови. Это в полной мере относится и к «внутрикостным» тофусам.
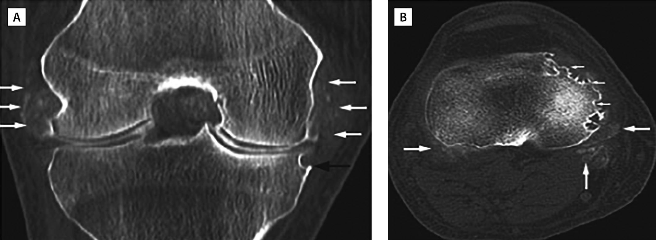
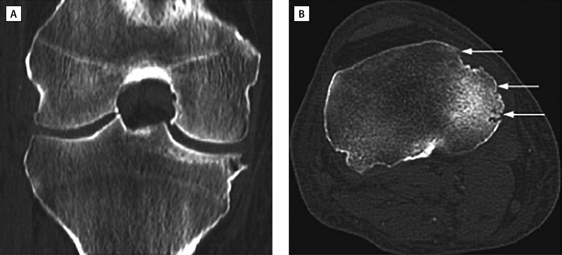
Например, S. Chatterjee и соавт. [64] описали клинический случай пациента 67 лет, страдающего хронической тофусной подагрой более 30 лет. На момент осмотра пациент предъявлял жалобы на артрит правого коленного сустава с типичными для подагры характеристиками. Назначенная 6 мес назад УСТ (аллопуринол 100 мг/сут) не привела к нормоурикемии (МК сыворотки — 410 мкмоль/л). Однако увеличение дозы препарата до 200 мг/сут в отдаленной перспективе способствовало не только снижению частоты и интенсивности приступов, но и рассасыванию, в том числе, «внутрикостных» тофусов, обнаруженных на КТ, проявляющемуся в уменьшении числа и размеров костных эрозий (рис. 2, 3).

Рисунок 2. КТ правого колена пациента с хронической тофусной подагрой при поступлении (адаптировано из Chatterjee S. и соавт., 2008) [64].
(A) Тофусные отложения (белые стрелки) в коленном суставе, прилегающие к медиальной и латеральной коллатеральным связкам и межмыщелковой вырезке. Выраженная эрозия на медиальном мыщелке большеберцовой кости (черная стрелка).
(В) Тофусные отложения вдоль медиальной и латеральной сторон коленного сустава (большие стрелки) и эрозии мыщелка большеберцовой кости (маленькие стрелки).
Figure 2. CT scan of the right knee of a patient with chronic tophi gout on admission (adapted from Chatterjee S. et al., 2008) [64].
(A) Tophi deposits (white arrows) in the knee joint adjacent to the medial and lateral collateral ligaments and intercondylar notch. Severe erosion on the medial tibial condyle (black arrow).
(B) Tophi deposits along the medial and lateral sides of the knee joint (large arrows) and erosion of the tibial condyle (small arrows).

Рисунок 3. КТ правого коленного сустава пациента с хронической тофусной подагрой через 3 года после обращения (адаптировано из Chatterjee S. и соавт., 2008) [64].
(A) Разрешение тофусов; уменьшение эрозии медиального мыщелка большеберцовой кости.
(B) Полное разрешение тофусов и частичное заживление эрозий (стрелки).
Figure 3. CT scan of the right knee of a patient with chronic tophi gout 3 years after presentation (adapted from Chatterjee S. et al., 2008) [64].
(A) Resolution of tophi; reduced erosion of the medial tibial condyle.
(B) Complete resolution of tophi and partial healing of erosions (arrows).
Интересным представляется исследование I.R. Orriss и соавт. [65], в котором было доказано, что аллопуринол и его активный метаболит оксипуринол посредством ингибирования ксантиноксидазы повышают экспрессию маркеров зрелых остеобластов: тканенеспецифической щелочной фосфатазы и остеокальцина, таким образом способствуя их дифференцировке и остеогенезу in vitro. При этом экспрессия нуклеотидпирофосфатазы/фосфодиэстеразы-1 (NPP1), фермента, ответственного за образование ингибитора минерализации, пирофосфата, резко снижалась (в 5 раз). Кроме того, по полученным данным, терапия аллопуринолом или оксипуринолом не влияла на образование остеокластов и резорбтивную активность.
Таким образом, тофусное поражение костной структуры является обратимым. Применение УСТ, в частности ингибиторов ксантиноксидазы (аллопуринола и фебуксостата), способствует снижению продукции АФК, потенцирующих резорбцию костной ткани, приводит к рассасыванию отложений кристаллов МУН, купированию микрокристаллического воспаления и индукции остеобластогенеза, что способствует репарации костной ткани. Клиническое значение этого феномена позволяет считать УСТ протективной при поражении костной ткани у пациентов с подагрой, а возможно, и при бессимптомной ГУ.
ОБСУЖДЕНИЕ
Интерес к подагре как к потенциально излечимому заболеванию возрастает. Открытие цитотоксичности, вызванной растворимой формой МК, позволило пересмотреть вопросы патогенеза подагры и выделить несколько стадий развития заболевания. АГУ можно считать отправной точкой нозогенеза подагры. Важным является факт, что наличие повышенного уровня МК не всегда является достаточным условием для кристаллизации и развития немедленной тканевой реакции в виде приступа артрита. И, несмотря на ряд исследований, выделить фактор, предопределяющий развитие подагрической атаки у пациентов с ГУ без кристаллов МК и с ними, до сих пор не удается. Кристаллы МК, депонируясь на поверхности суставного хряща, сначала способствуют нарушению трофических процессов, потенцируют воспаление, а далее — проникают вглубь костной ткани.
В последние годы изменяются представления о подагре: если несколько лет назад подагру относили к метаболическим заболеваниям, то сейчас есть основания рассматривать ее как аутовоспалительный процесс. МК, выступая в роли молекулы, ассоциированной с повреждением, способствует развертыванию событий, включающих воспаление и некроптоз, усиливающих друг друга и приводящих к формированию типичных признаков острого подагрического артрита.
Целесообразность применения УСТ на стадии «клинической» подагры, то есть при развитии атак артритов и/или формировании тофусов, сомнений не вызывает, тогда как наличие АГУ или ГУ с кристаллами МК не всегда требует коррекции уровня урикемии. Зная, что в настоящее время невозможно предсказать вероятность развития подагрической атаки у пациентов с ГУ, требуется проведение дальнейших исследований, что улучшит понимание патогенеза подагры и расширит терапевтические возможности.
ЗАКЛЮЧЕНИЕ
Влияние растворимой формы МК, и особенно, кристаллов МУН, на хрящ и костную ткань может различаться в зависимости от их концентрации в СЖ и стадии подагры. Установлено, что на поврежденных кристаллами МУН участках хряща кристаллические агрегаты увеличиваются в размерах и проникают глубже, достигая субхондральной кости. В случае продвинутой стадии подагры депозиты МУН оккупируют костную ткань, замещая трабекулярные пространства и формируя эрозии кортикальной кости. Напротив, УСТ может не только замедлить повреждение костной ткани, но и обратить вспять процесс ее разрушения. Для лучшего понимания роли ГУ и подагры в метаболизме хрящевой и костной ткани, возможностей лекарственной терапии следует констатировать необходимость проведения дальнейших исследований.
ДОПОЛНИТЕЛЬНАЯ ИНФОРМАЦИЯ
Источники финансирования. Работа выполнена в рамках фундаментальной научной темы «Разработка междисциплинарной персонализированной модели оказания помощи пациентам с аутовоспалительными дегенеративными заболеваниями» № 1021051403074-2.
Конфликт интересов. Авторы декларируют отсутствие явных и потенциальных конфликтов интересов, связанных с содержанием настоящей статьи.
Участие авторов. Черёмушкина Е.В. — существенный вклад в получение, анализ данных и их интерпретацию, а также написание статьи; Елисеев М.С. —вклад в формирование концепции данной статьи и внесение правок с целью повышения научной ценности статьи. Все авторы одобрили финальную версию статьи перед публикацией, выразили согласие нести ответственность за все аспекты работы, подразумевающую надлежащее изучение и решение вопросов, связанных с точностью или добросовестностью любой части работы.
Список литературы
1. Насонова В.А., Барскова В.Г. Ранние диагностика и лечение подагры — научно обоснованное требование улучшения трудового и жизненного прогноза больных // Научнопрактическая ревматология. — 2004. — Т. 42. — №1. — С. 5-7. doi: https://doi.org/10.14412/1995-4484-2004-1374
2. Dalbeth N, Phipps-Green A, Frampton C, et al. Relationship between serum urate concentration and clinically evident incident gout: an individual participant data analysis. Ann Rheum Dis. 2018;77(7):1048-1052. doi: https://doi.org/10.1136/annrheumdis-2017-212288
3. Dalbeth N, House ME, Aati O, et al. Urate crystal deposition in asymptomatic hyperuricaemia and symptomatic gout: a dual energy CT study. Ann Rheum Dis. 2015;74(5):908-911. doi: https://doi.org/10.1136/annrheumdis-2014-20639.
4. Желябина О.В., Елисеев М.С. Ингибиторы ксантиноксидазы при асимптоматической гиперурикемии // Современная ревматология. — 2019. — Т. 13. — №4. — С. 137-114. doi: https://doi.org/10.14412/1996-7012-2019-4-137-142
5. Елисеев М.С. Гиперурикемия как фактор поражения почек и мишень терапии // Эффективная фармакотерапия. — 2020. — Т. 16. — №6. — С. 30–35. doi: https://doi.org/10.33978/2307-3586-2020-16-6-30-35
6. Ragab G, Elshahaly M, Bardin T. Gout: An old disease in new perspective — A review. J Adv Res. 2017;8(5):495-511. doi: https://doi.org/10.1016/j.jare.2017.04.008
7. Narang RK, Dalbeth N. Pathophysiology of Gout. Semin Nephrol. 2020;40(6):550-563. doi: https://doi.org/10.1016/j.semnephrol.2020.12.001.
8. Chhana A, Pool B, Wei Y, et al. Human Cartilage Homogenates Influence the Crystallization of Monosodium Urate and Inflammatory Response to Monosodium Urate Crystals: A Potential Link Between Osteoarthritis and Gout. Arthritis Rheumatol. 2019;71(12):2090-2099. doi: https://doi.org/10.1002/art.41038
9. Pascual E, Addadi L, Andrés M, Sivera F. Mechanisms of crystal formation in gout-a structural approach. Nat Rev Rheumatol. 2015;11(12):725-730. doi: https://doi.org/10.1038/nrrheum.2015.125
10. Yip K, Cohen RE, Pillinger MH. Asymptomatic hyperuricemia: is it really asymptomatic? Curr Opin Rheumatol. 2020;32(1):71-79. doi: https://doi.org/10.1097/BOR.0000000000000679
11. Zhu Y, Pandya BJ, Choi HK. Prevalence of gout and hyperuricemia in the US general population: the National Health and Nutrition Examination Survey 2007-2008. Arthritis Rheum. 2011;63(10):3136-3141. doi: https://doi.org/10.1002/art.30520
12. B L, T W, HN Z, et al. The prevalence of hyperuricemia in China: a meta-analysis. BMC Public Health. 2011;11(1):832. doi: https://doi.org/10.1186/1471-2458-11-832
13. Qiu L, Cheng X, Wu J, et al. Prevalence of hyperuricemia and its related risk factors in healthy adults from Northern and Northeastern Chinese provinces. BMC Public Health. 2013;13(1):664. doi: https://doi.org/10.1186/1471-2458-13-664
14. Шальнова С.А., Деев А.Д., Артамонова Г.В. Гиперурикемия и ее корреляты в российской популяции (результаты эпидемиологического исследования ЭССЕ-РФ) // Рациональная Фармакотерапия в Кардиологии. — 2014. — Т. 10. — №2. — С. 153-159. [doi: https://doi.org/10.20996/1819-6446-2014-10-2-153-159
15. Braga TT, Forni MF, Correa-Costa M, et al. Soluble uric acid activates the NLRP3 inflammasome. Sci Rep. 2017;7(1):39884. doi: https://doi.org/10.1038/srep39884
16. Al-Awad D, Al-Emadi N, Abu-Madi M, et al. The Role of Soluble Uric Acid in Modulating Autophagy Flux and Inflammasome Activation during Bacterial Infection in Macrophages. Biomedicines. 2020;8(12):598. doi: https://doi.org/10.3390/biomedicines8120598
17. White J, Sofat R, Hemani G, et al. Plasma urate concentration and risk of coronary heart disease: a Mendelian randomisation analysis. Lancet Diabetes Endocrinol. 2016;4(4):327-336. doi: https://doi.org/10.1016/S2213-8587(15)00386-1
18. Harroud A, Richards JB, Baranzini SE. Mendelian randomization study shows no causal effects of serum urate levels on the risk of MS. Neurol - Neuroimmunol Neuroinflammation. 2021;8(1):e920. doi: https://doi.org/10.1212/NXI.0000000000000920
19. Sun Y, Brenner H, Sauerland S, et al. Serum uric acid and patterns of radiographic osteoarthritis--the Ulm Osteoarthritis Study. Scand J Rheumatol. 2000;29(6):380-386. doi: https://doi.org/10.1080/030097400447589
20. Denoble AE, Huffman KM, Stabler TV, et al. Uric acid is a danger signal of increasing risk for osteoarthritis through inflammasome activation. Proc Natl Acad Sci USA. 2011;108(5):2088-2093. doi: https://doi.org/10.1073/pnas.1012743108
21. Wang S, Pillinger MH, Krasnokutsky S, et al, The association between asymptomatic hyperuricemia and knee osteoarthritis: data from the third National Health and Nutrition Examination Survey. Osteoarthritis Cartilage. 2019;27(9):1301-1308. doi: https://doi.org/10.1016/j.joca.2019.05.013
22. Duncan R, Peat G, Thomas E, et al. Symptoms and radiographic osteoarthritis: not as discordant as they are made out to be? Ann Rheum Dis. 2007;66(1):86-91. doi: https://doi.org/10.1136/ard.2006.052548.
23. Yao X, Chen L, Xu H, Zhu Z. The Association between serum uric acid and bone mineral density in older adults. Int J Endocrinol. 2020;2020(1):1-7. doi: https://doi.org/10.1155/2020/3082318
24. Veronese N, Carraro S, Bano G, et al. Hyperuricemia protects against low bone mineral density, osteoporosis and fractures: a systematic review and meta-analysis. Eur J Clin Invest. 2016;46(11):920-930. doi: https://doi.org/10.1111/eci.12677
25. Zhang D, Bobulescu IA, Maalouf NM, et al. Relationship between serum uric acid and bone mineral density in the general population and in rats with experimental hyperuricemia. J Bone Miner Res. 2015;30(6):992-999. doi: https://doi.org/10.1002/jbmr.2430
26. Xiong A, Yao Q, He J, et al. No causal effect of serum urate on bone-related outcomes among a population of postmenopausal women and elderly men of Chinese Han ethnicity--a Mendelian randomization study. Osteoporos Int. 2016;27(3):1031-1039. doi: https://doi.org/10.1007/s00198-015-3341-5
27. Lee YH, Song GG. Uric acid level, gout and bone mineral density: A Mendelian randomization study. Eur J Clin Invest. 2019;49(9):e13156. doi: https://doi.org/10.1111/eci.13156
28. McGill NW, Dieppe PA. Evidence for a promoter of urate crystal formation in gouty synovial fluid. Ann Rheum Dis. 1991;50(8):558-561. doi: https://doi.org/10.1136/ard.50.8.558
29. Burt HM, Dutt YC. Growth of monosodium urate monohydrate crystals: effect of cartilage and synovial fluid components on in vitro growth rates. Ann Rheum Dis. 1986;45(10):858-864. doi: https://doi.org/10.1136/ard.45.10.858
30. Laurent TC. Solubility of sodium urate in the presence of chondroitin-4-sulphate. Nature. 1964;202(4939):1334-1334. doi: https://doi.org/10.1038/2021334a0
31. Tak H-K, Cooper SM, Wilcox WR. Studies on the nucleation of monsodium urate at 37°C. Arthritis Rheum. 1980;23(5):574-580. doi: https://doi.org/10.1002/art.1780230509
32. Zhao J, Wei K, Jiang P, et al. Inflammatory response to regulated cell death in gout and its functional implications. Front Immunol. 2022;13(5):574-580. doi: https://doi.org/10.3389/fimmu.2022.888306
33. El-Zawawy H, Mandell BF. Update on crystal-induced arthritides. Clin Geriatr Med. 2017;33(1):135-144. doi: https://doi.org/10.1016/j.cger.2016.08.010
34. Honarpisheh M, Foresto-Neto O, Desai J, et al. Phagocytosis of environmental or metabolic crystalline particles induces cytotoxicity by triggering necroptosis across a broad range of particle size and shape. Sci Rep. 2017;7(1):15523. doi: https://doi.org/10.1038/s41598-017-15804-9
35. Zhao J, Wei K, Jiang P, et al. Inflammatory Response to Regulated Cell Death in Gout and Its Functional Implications. Front Immunol. 2022;13(5):574-580. doi: https://doi.org/10.3389/fimmu.2022.888306
36. Meng Y, Davies KA, Fitzgibbon C, et al. Human RIPK3 maintains MLKL in an inactive conformation prior to cell death by necroptosis. Nat Commun. 2021;12(1):6783. doi: https://doi.org/10.1038/s41467-021-27032-x
37. Насонов Е.Л. Роль интерлейкина 1 в развитии заболеваний человека // Научно-практическая ревматология. — 2018. — Т. 56. — №1. — С. 19-27. doi: https://doi.org/10.14412/1995-4484-2018-19-27
38. Ortiz-Bravo E, Sieck MS, Schumacher HR Jr. Changes in the proteins coating monosodium urate crystals during active and subsiding inflammation. Immunogold studies of synovial fluid from patients with gout and of fluid obtained using the rat subcutaneous air pouch model. Arthritis Rheum. 1993;36(9):1274-1285. doi: https://doi.org/10.1002/art.1780360912
39. Bodofsky S, Merriman TR, Thomas TJ, Schlesinger N. Advances in our understanding of gout as an auto-inflammatory disease. Semin Arthritis Rheum. 2020;50(5):1089-1100. doi: https://doi.org/10.1016/j.semarthrit.2020.06.015
40. Franco RN, Cintra Neto PF, Pimentel ER, et al. Correlation between inflammatory cells and sulfated glycosaminoglycan concentration in synovial fluid of subjects with secondary knee osteoarthritis. J Rheumatol. 2008;35(6):1096-1101.
41. Dalbeth N, Gosling AL, Gaffo A, Abhishek A. Gout. Lancet. 2021;397(10287):1843-1855. doi: https://doi.org/10.1016/S0140-6736(21)00569-9
42. Rada B. Neutrophil extracellular traps and microcrystals. J Immunol Res. 2017;2017:1-7. doi: https://doi.org/10.1155/2017/2896380
43. Murao A, Aziz M, Wang H, et al. Release mechanisms of major DAMPs. Apoptosis. 2021;26(3-4):152-162. doi: https://doi.org/10.1007/s10495-021-01663-3
44. Döring Y, Soehnlein O, Weber C. Neutrophil Extracellular Traps in Atherosclerosis and Atherothrombosis. Circ Res. 2017;120(4):736-743. doi: https://doi.org/10.1161/CIRCRESAHA.116.309692
45. Nakazawa D, Kumar SV, Marschner J, et al. Histones and neutrophil extracellular traps enhance tubular necrosis and remote organ injury in ischemic AKI. J Am Soc Nephrol. 2017;28(6):1753-1768. doi: https://doi.org/10.1681/ASN.2016080925
46. Abhishek A. New urate-lowing therapies. Curr Opin Rheumatol. 2018;30(2):177-182. doi: https://doi.org/10.1097/BOR.0000000000000476
47. Renaudin F, Orliaguet L, Castelli F, et al. Gout and pseudogout-related crystals promote GLUT1-mediated glycolysis that governs NLRP3 and interleukin-1β activation on macrophages. Ann Rheum Dis. 2020;79(11):1506-1514. doi: https://doi.org/10.1136/annrheumdis-2020-217342
48. Muehleman C, Li J, Aigner T, et al. Association between crystals and cartilage degeneration in the ankle. J Rheumatol. 2008;35(6):1108-1117.
49. Kimble RB, Matayoshi AB, Vannice JL, et al. Management of osteoporosis in postmenopausal women: the 2021 position statement of The North American Menopause Society. Menopause. 2021;28(9):973-997. doi: https://doi.org/10.1097/GME.0000000000001831
50. Kimble RB, Matayoshi AB, Vannice JL, et al. Simultaneous block of interleukin-1 and tumor necrosis factor is required to completely prevent bone loss in the early postovariectomy period. Endocrinology. 1995;136(7):3054-3061. doi: https://doi.org/10.1210/endo.136.7.7789332
51. Patel S, Homaei A, El-Seedi HR, Akhtar N. Cathepsins: Proteases that are vital for survival but can also be fatal. Biomed Pharmacother. 2018;105(9):526-532. doi: https://doi.org/10.1016/j.biopha.2018.05.148
52. Dalbeth N, Pool B, Gamble GD, et al. Cellular characterization of the gouty tophus: a quantitative analysis. Arthritis Rheum. 2010;62(5):1549-1556. doi: https://doi.org/10.1002/art.27356.
53. Dalbeth N, Smith T, Nicolson B, et al. Enhanced osteoclastogenesis in patients with tophaceous gout: urate crystals promote osteoclast development through interactions with stromal cells. Arthritis Rheum. 2008;58(6):1854-1865. doi: https://doi.org/10.1002/art.23488.
54. Lee SJ, Nam KI, Jin HM, et al. Bone destruction by receptor activator of nuclear factor κB ligand-expressing T cells in chronic gouty arthritis. Arthritis Res Ther. 2011;13(5):R164. doi: https://doi.org/10.1186/ar3483.
55. Terkeltaub RA. Clinical practice. Gout. N Engl J Med. 2003;349(17):1647-1655. doi: https://doi.org/10.1056/NEJMcp030733.
56. Cordova Sanchez A, Bisen M, Khokhar F, et al. Diagnosing Spinal Gout: A Rare Case of Back Pain and Fever. Case Rep Rheumatol. 2021;2021(9):1-5. doi: https://doi.org/10.1155/2021/7976420
57. Petreski T, Ekart R, Hojs R, Bevc S. Hyperuricemia, the heart, and the kidneys — to treat or not to treat? Ren Fail. 2020;42(1):978-986. doi: https://doi.org/10.1080/0886022X.2020.1822185
58. Chalès G. How should we manage asymptomatic hyperuricemia? Joint Bone Spine. 2019;86(4):437-443. doi: https://doi.org/10.1016/j.jbspin.2018.10.004
59. Liang X, Liu X, Li D, et al. Effectiveness of Urate-Lowering Therapy for Renal Function in Patients With Chronic Kidney Disease: A Meta-Analysis of Randomized Clinical Trials. Front Pharmacol. 2022;13(9):1-5. doi: https://doi.org/10.3389/fphar.2022.798150
60. van der Pol KH, Wever KE, Verbakel M, et al. Allopurinol to reduce cardiovascular morbidity and mortality: A systematic review and meta-analysis. PLoS One. 2021;16(12):e0260844. doi: https://doi.org/10.1371/journal.pone.0260844
61. Becker MA, Schumacher HR, MacDonald PA, et al. Clinical efficacy and safety of successful longterm urate lowering with febuxostat or allopurinol in subjects with gout. J Rheumatol. 2009;36(6):1273-1282. doi: https://doi.org/10.3899/jrheum.080814
62. Whelton A, MacDonald PA, Chefo S, Gunawardhana L. Preservation of renal function during gout treatment with febuxostat: a quantitative study. Postgrad Med. 2013;125(1):106-114. doi: https://doi.org/10.3810/pgm.2013.01.2626
63. Primatesta P, Plana E, Rothenbacher D. Gout treatment and comorbidities: a retrospective cohort study in a large US managed care population. BMC Musculoskelet Disord. 2011;12(1):103. doi: https://doi.org/10.1186/1471-2474-12-103
64. Chatterjee S, Ilaslan H. Painful knee locking caused by gouty tophi successfully treated with allopurinol. Nat Clin Pract Rheumatol. 2008;4(12):675-679. doi: https://doi.org/10.1038/ncprheum0945
65. Orriss IR, Arnett TR, George J, Witham MD. Allopurinol and oxypurinol promote osteoblast differentiation and increase bone formation. Exp Cell Res. 2016;342(2):166-174. doi: https://doi.org/10.1016/j.yexcr.2016.03.004
Об авторах
Е. В. ЧерёмушкинаРоссия
Черёмушкина Елена Владимировна
115522, Москва, Каширское шоссе, 34А
Scopus Author ID: 57244090500;
eLibrary SPIN: 3202-1421
М. С. Елисеев
Елисеев Максим Сергеевич, кандидат медицинских наук
Москва
eLibrary SPIN: 2524-7320
Дополнительные файлы
|
|
1. Рисунок 1. Клеточная модель подагрического тофуса (адаптировано из Dalbeth N. и соавт., 2010) [52]. Клетки идентифицированы при помощи количественной иммуногистохимии (MNC — мононуклеарные клетки; TRAP — клетки, устойчивые к тартрату и кислой фосфатазе). | |
| Тема | ||
| Тип | Исследовательские инструменты | |
Посмотреть
(566KB)
|
Метаданные ▾ | |
|
|
2. Рисунок 2. КТ правого колена пациента с хронической тофусной подагрой при поступлении (адаптировано из Chatterjee S. и соавт., 2008) [64]. | |
| Тема | ||
| Тип | Исследовательские инструменты | |
Посмотреть
(168KB)
|
Метаданные ▾ | |
|
|
3. Рисунок 3. КТ правого коленного сустава пациента с хронической тофусной подагрой через 3 года после обращения (адаптировано из Chatterjee S. и соавт., 2008) [64]. | |
| Тема | ||
| Тип | Исследовательские инструменты | |
Посмотреть
(191KB)
|
Метаданные ▾ | |
Рецензия
Для цитирования:
Черёмушкина Е.В., Елисеев М.С. Гиперурикемия и подагра: влияние на костный метаболизм и суставной хрящ (обзор литературы). Ожирение и метаболизм. 2022;19(3):348-357. https://doi.org/10.14341/omet12894
For citation:
Cheremushkina E.V., Eliseev M.S. Hyperuricemia and gout: effects on bone and articular cartilage (literature review). Obesity and metabolism. 2022;19(3):348-357. (In Russ.) https://doi.org/10.14341/omet12894
Контент доступен под лицензией Creative Commons Attribution-NonCommercial-NoDerivatives 4.0 International License (CC BY-NC-ND 4.0).




































