The case of oncogenic hypophosphatemic osteomalacia
https://doi.org/10.14341/omet12472
Abstract
Osteomalacia is a systemic bone disease, characterized by an excessive accumulation of non-mineralized osteoid and an imbalance in the organic matrix formation and mineralization. A rare cause of disease is tumor-induced osteomalacia, most often due to phosphaturic mesenchymal tumors (PMT). Usually there are benign small tumors, affecting the soft tissues and bones of any location. The basic pathogenesis of underlying oncogenic osteomalacia is a decreased renal tubular reabsorption of phosphate consequent to hyperproduction of fibroblast growth factor 23 in PMT. Clinical features are nonspecific, the average period from the symptoms onset to diagnosis reaches 3 years and at least 5 years before surgical treatment. Finding the tumour is crucial, as complete removal is curative. We present a clinical case of tumor-induced osteomalacia due to PMT required the complex differential diagnosis with other rare diseases.
About the Authors
Anna K. EremkinaRussian Federation
PhD
Svetlana S. Mirnaya
Russian Federation
MD, research associate
Anna M. Gorbacheva
Russian Federation
MD
Taras S. Panevin
Russian Federation
MD
Iya A. Voronkova
Russian Federation
MD, PhD
N. G. Mokrysheva
Russian Federation
MD, PhD, Professor
Competing Interests:
References
1. Folpe AL. Phosphaturic mesenchymal tumors: A review and update. Semin Diagn Pathol. 2019;36(4):260-268. DOI:10.1053/j.semdp.2019.07.002
2. Jo VY, Fletcher CD. WHO classification of soft tissue tumours: an update based on the 2013 (4th) edition. Pathology. 2014;46(2):95-104. DOI:10.1097/PAT.0000000000000050
3. Wu H, Bui MM, Zhou L, et al. Phosphaturic mesenchymal tumor with an admixture of epithelial and mesenchymal elements in the jaws: clinicopathological and immunohistochemical analysis of 22 cases with literature review. Mod Pathol. 2019;32(2):189-204. DOI:10.1038/s41379-018-0100-0
4. Folpe AL, Fanburg-Smith JC, Billings SD, et al. Most osteomalacia-associated mesenchymal tumors are a single histopathologic entity: an analysis of 32 cases and a comprehensive review of the literature. Am J Surg Pathol. 2004;28(1):1-30. DOI:10.1097/00000478-200401000-00001
5. Sundaram M, McCarthy EF. Oncogenic osteomalacia. Skeletal Radiol. 2000;29(3):117-124. DOI:10.1007/s002560050581
6. Riminucci M, Collins MT, Fedarko NS, et al. FGF-23 in fibrous dysplasia of bone and its relationship to renal phosphate wasting. J Clin Invest. 2003;112(5):683-692. DOI:10.1172/JCI18399
7. Urakawa I, Yamazaki Y, Shimada T, et al. Klotho converts canonical FGF receptor into a specific receptor for FGF23. Nature. 2006;444(7120):770-774. DOI:10.1038/nature05315
8. Bowe AE, Finnegan R, Jan de Beur SM, et al. FGF-23 inhibits renal tubular phosphate transport and is a PHEX substrate. Biochem Biophys Res Commun. 2001;284(4):977-981. DOI:10.1006/bbrc.2001.5084
9. McCance RA. Osteomalacia with Looser’s nodes (Milkman’s syndrome) due to a raised resistance to vitamin D acquired about the age of 15 years. Q J Med. 1947;16(1):33-46.
10. Prader A, Illig R, Uehlinger E, Stalder G. Rickets following bone tumor. Helv Paediatr Acta. 1959;14:554-565.
11. Evans DJ, Azzopardi JG. Distinctive Tumours of Bone and Soft Tissue Causing Acquired Vitamin-D-Resistant Osteomalacia. Lancet. 1972;299(7746):353-354. DOI:10.1016/s0140-6736(72)92844-9
12. Olefsky J, Kempson R, Jones H, Reaven G. «Tertiary» hyperparathyroidism and apparent «cure» of vitamin-D-resistant rickets after removal of an ossifying mesenchymal tumor of the pharynx. N Engl J Med. 1972;286(14):740-745. DOI:10.1056/NEJM197204062861402
13. Weidner N, Cruz DS. Phosphaturic mesenchymal tumors. A polymorphous group causing osteomalacia or rickets. Cancer. 1987;59(8):1442-1454. DOI:10.1002/1097-0142(19870415)59:8<1442::aid-cncr2820590810>3.0.co;2-q
14. Lee JC, Jeng YM, Su SY, et al. Identification of a novel FN1-FGFR1 genetic fusion as a frequent event in phosphaturic mesenchymal tumour. J Pathol. 2015;235(4):539-545. DOI:10.1002/path.4465
15. Lee JC, Su SY, Changou CA, et al. Characterization of FN1-FGFR1 and novel FN1-FGF1 fusion genes in a large series of phosphaturic mesenchymal tumors. Mod Pathol. 2016;29(11):1335-1346. DOI:10.1038/modpathol.2016.137
16. Родионова С.С., Снетков А.И., Акиньшина А.Д., и др. Фосфопеническая форма остеомаляции, индуцированная ФРФ23-секретирующей опухолью левой бедренной кости. // Научно-практическая ревматология. — 2019. — Т. 57. — №6. — С. 708-712. [Rodionova SS, Snetkov AI, Akinshina AD, et al. Hypophosphatemic osteomalacia induced by FGF23-secreting tumor of the left femur. Rheumatology Science and Practice. 2019;57(6):708-712. (In Russ.)] DOI:10.14412/1995-4484-2019-708-712
17. Гребенникова Т.А., Умярова Д.Ш., Слащук К.Ю. и др. Фосфопеническая остеомаляция опухолевого генеза: клинический случай. // Остеопороз и остеопатии. — 2018. — Т. 21. — №4. — С. 24-28. [Grebennikova TA, Umiarova DS, Slashchuk KY, et al. Tumor-induced osteomalacia: a сlinical case report. Osteoporosis and bone diseases. 2018;21(4):24-28. (In Russ.)] DOI:10.14341/osteo10264
18. Булычева И.В., Близнюков О.П., Родионова С.С. и др. Онкогенная остеомаляция/фосфатурическая мезенхимальная опухоль. Клиническое наблюдение. Обзор литературы. // Саркомы костей, мягких тканей и опухоли кожи. — 2019. — Т. 11. — №1. — С. 28-33. [Boulytcheva IV, Bliznyukov OP, Rodionova SS, et al. Oncogenic osteomalacia/phosphaturic mesenchymal tumor. Bone and soft tissue sarcomas and tumors of the skin. 2019;11(1):28-33. (In Russ.)]
19. Бочкова А.Г. Случай паранеопластической остеомаляции. // Consilium Medicum. — 2007. — Т. 9. — №2. — С. 7-9. [Bochkova AG. Sluchay paraneoplasticheskoy osteomalyatsiy. Consilium Medicum. 2007;9(2):7-9. (In Russ.)]
20. Agaimy A, Michal M, Chiosea S, et al. Phosphaturic Mesenchymal Tumors: Clinicopathologic, Immunohistochemical and Molecular Analysis of 22 Cases Expanding their Morphologic and Immunophenotypic Spectrum. Am J Surg Pathol. 2017;41(10):1371-1380. DOI:10.1097/PAS.0000000000000890
21. Jung GH, Kim JD, Cho Y, et al. A 9-month-old phosphaturic mesenchymal tumor mimicking the intractable rickets. J Pediatr Orthop B. 2010;19(1):127-132. DOI:10.1097/BPB.0b013e32832f59cb
22. Feng J, Jiang Y, Wang O, et al. The diagnostic dilemma of tumor induced osteomalacia: a retrospective analysis of 144 cases. Endocr J. 2017;64(7):675-683. DOI:10.1507/endocrj.EJ16-0587
23. Kobayashi H, Ito N, Akiyama T, et al. Prevalence and clinical outcomes of hip fractures and subchondral insufficiency fractures of the femoral head in patients with tumour-induced osteomalacia. Int Orthop. 2017;41(12):2597-2603. DOI:10.1007/s00264-017-3610-3
24. Hana T, Tanaka S, Nakatomi H, et al. Definitive surgical treatment of osteomalacia induced by skull base tumor and determination of the half-life of serum fibroblast growth factor 23. Endocr J. 2017;64(10):1033-1039. DOI:10.1507/endocrj.EJ17-0177
25. Carter JM, Caron BL, Dogan A, Folpe AL. A novel chromogenic in situ hybridization assay for FGF23 mRNA in phosphaturic mesenchymal tumors. Am J Surg Pathol. 2015;39(1):75-83. DOI:10.1097/PAS.0000000000000290
26. Higley M, Beckett B, Schmahmann S, et al. Locally aggressive and multifocal phosphaturic mesenchymal tumors: two unusual cases of tumor-induced osteomalacia. Skeletal Radiol. 2015;44(12):1825-1831. DOI:10.1007/s00256-015-2246-x
27. Wang H, Zhong D, Liu Y, et al. Surgical Treatments of Tumor-Induced Osteomalacia Lesions in Long Bones: Seventeen Cases with More Than One Year of Follow-up. J Bone Joint Surg Am. 2015;97(13):1084-1094. DOI:10.2106/JBJS.N.01299
28. Hodgson SF, Clarke BL, Tebben PJ, et al. Oncogenic osteomalacia: localization of underlying peripheral mesenchymal tumors with use of Tc 99m sestamibi scintigraphy. Endocr Pract. 2006;12(1):35-42. DOI:10.4158/EP.12.1.35
29. Broski SM, Folpe AL, Wenger DE. Imaging features of phosphaturic mesenchymal tumors. Skeletal Radiol. 2019;48(1):119-127. DOI:10.1007/s00256-018-3014-5
30. Schober HC, Kneitz C, Fieber F, et al. Selective blood sampling for FGF-23 in tumor-induced osteomalacia. Endocrinol Diabetes Metab Case Rep. 2017;2017. DOI:10.1530/EDM-17-0006
31. Lee JY, Park HS, Han S, et al. Localization of Oncogenic Osteomalacia by Systemic Venous Sampling of Fibroblast Growth Factor 23. Yonsei Med J. 2017;58(5):981-987. DOI:10.3349/ymj.2017.58.5.981
32. Zuo QY, Wang H, Li W, et al. Treatment and outcomes of tumor-induced osteomalacia associated with phosphaturic mesenchymal tumors: retrospective review of 12 patients. BMC Musculoskelet Disord. 2017;18(1):403. DOI:10.1186/s12891-017-1756-1
33. Kobayashi H, Akiyama T, Okuma T, et al. Three-dimensional fluoroscopic navigation-assisted surgery for tumors in patients with tumor-induced osteomalacia in the bones. Comput Assist Surg (Abingdon). 2017;22(1):14-19. DOI:10.1080/24699322.2017.1282044
34. Miller CB, Bergwitz C, Blau J, et al. Response of tumor-induced osteomalacia (TIO) to the FGFR inhibitor BGJ398. J Clin Oncol. 2016;34(15_suppl):e22500-e22500. DOI:10.1200/JCO.2016.34.15_suppl.e22500
35. Fukumoto S. Anti-fibroblast growth factor 23 antibody therapy. Curr Opin Nephrol Hypertens. 2014;23(4):346-351. DOI:10.1097/01.mnh.0000447012.98357.da
36. Yavropoulou MP, Poulios C, Foroulis C, et al. Distant lung metastases caused by a histologically benign phosphaturic mesenchymal tumor. Endocrinol Diabetes Metab Case Rep. 2018;2018. DOI:10.1530/EDM-18-0023
37. Qiu S, Cao LL, Qiu Y, et al. Malignant phosphaturic mesenchymal tumor with pulmonary metastasis: A case report. Medicine (Baltimore). 2017;96(17):e6750. DOI:10.1097/MD.0000000000006750
38. Morimoto T, Takenaka S, Hashimoto N, et al. Malignant phosphaturic mesenchymal tumor of the pelvis: A report of two cases. Oncol Lett. 2014;8(1):67-71. DOI:10.3892/ol.2014.2081
39. Bahrami A, Weiss SW, Montgomery E, et al. RT-PCR analysis for FGF23 using paraffin sections in the diagnosis of phosphaturic mesenchymal tumors with and without known tumor induced osteomalacia. Am J Surg Pathol. 2009;33(9):1348-1354. DOI:10.1097/PAS.0b013e3181aa2311
40. White KE, Larsson TE, Econs MJ. The roles of specific genes implicated as circulating factors involved in normal and disordered phosphate homeostasis: frizzled related protein-4, matrix extracellular phosphoglycoprotein, and fibroblast growth factor 23. Endocr Rev. 2006;27(3):221-241. DOI:10.1210/er.2005-0019
41. Toyosawa S, Tomita Y, Kishino M, et al. Expression of dentin matrix protein 1 in tumors causing oncogenic osteomalacia. Mod Pathol. 2004;17(5):573-578. DOI:10.1038/modpathol.3800084
42. Shiba E, Matsuyama A, Shibuya R, et al. Immunohistochemical and molecular detection of the expression of FGF23 in phosphaturic mesenchymal tumors including the non-phosphaturic variant. Diagn Pathol. 2016;11:26. DOI:10.1186/s13000-016-0477-3
43. Nieman LK. Recent Updates on the Diagnosis and Management of Cushing’s Syndrome. Endocrinol Metab (Seoul). 2018;33(2):139-146. DOI:10.3803/EnM.2018.33.2.139
44. Haddad RI, Nasr C, Bischoff L, et al. NCCN Guidelines Insights: Thyroid Carcinoma, Version 2.2018. J Natl Compr Canc Netw. 2018;16(12):1429-1440. DOI:10.6004/jnccn.2018.0089
45. de Menezes Filho H, de Castro LC, Damiani D. Hypophosphatemic rickets and osteomalacia. Arq Bras Endocrinol Metabol. 2006;50(4):802-813. DOI:10.1590/s0004-27302006000400025
Supplementary files
|
|
1. Figure 1. Results of physical examination of patient K. | |
| Subject | ||
| Type | Figure 1. A - acne vulgaris on the skin of the back of the patient; B - formations of the mucous membrane of the patient’s tongue (marked by arrows); C - volumetric formation of the medial surface of the right knee region (indicated by a dashed line). | |
View
(49KB)
|
Indexing metadata ▾ | |
|
|
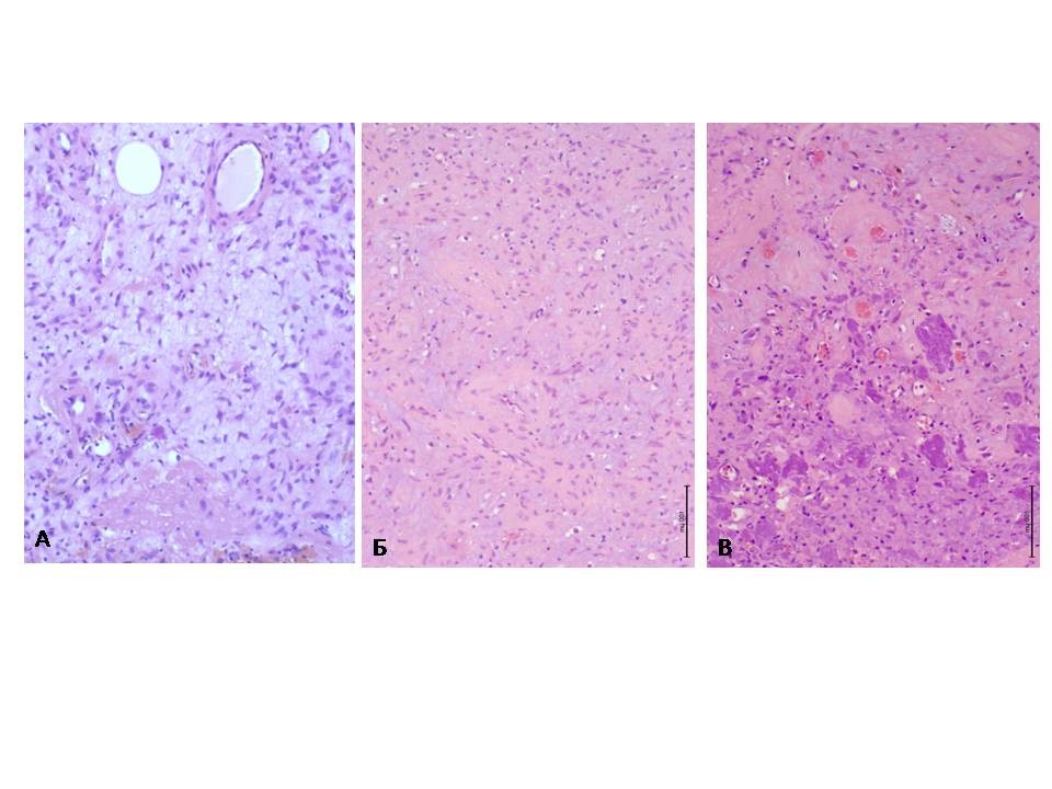
2. Figure 2. Micropreparations of a phosphaturic mesenchymal tumor removed from patient K. | |
| Subject | ||
| Type | Figure 2. Histological samples of the patient K.'s phosphaturic mesenchymal tumor. A tumor of spindle-shaped and stellate cells in an unusual basophilic matrix (A, B). A well-developed capillary network and foci of deposition of calcium salts (B), x200 | |
View
(109KB)
|
Indexing metadata ▾ | |
Review
For citations:
Eremkina A.K., Mirnaya S.S., Gorbacheva A.M., Panevin T.S., Voronkova I.A., Mokrysheva N.G. The case of oncogenic hypophosphatemic osteomalacia. Obesity and metabolism. 2020;17(2):220-227. (In Russ.) https://doi.org/10.14341/omet12472
This work is licensed under a Creative Commons Attribution-NonCommercial-NoDerivatives 4.0 International License (CC BY-NC-ND 4.0).




































