Comparative analysis of cardiovascular system morphofunctional disorders’ correction in a simulated metabolic syndrome
https://doi.org/10.14341/omet12296
Abstract
BACKGROUND: Metabolic syndrome (MS) causes the risk of serious diseases development e.g. type 2 diabetes mellitus and cardiovascular disasters. Timely and adequate correction of MS can reduce the risk of heart disease and diabetes
AIM: To investigate the development of MS and drugs for its correction on the morphofunctional state of the heart muscle and large blood vessels.
MATERIALS AND METODS: A comparative analysis of morphofunctional disorders in the cardiovascular system on the fructose model of MS and its correction in adult (n=32) and young (n=50) Wistar rats was performed. The duration of fructose feeding was 24 weeks for young animals and 16 weeks for Mature animals due to their different resistance to the development of the MS model. To correct MS, the following drugs were used: resveratrol, Stilbene concentrate in a dose of 2 mg/kg, Fenokor – 1 ml/kg, azilsartan – 1 mg/kg. During the experiment, blood pressure (BP), body weight, and heart rate (HR) were measured in experimental animals. Then, after euthanasia, sections of the heart and aorta of experimental rats were examined using light microscopy.
RESULTS: In MS, adult male rats developed morphological changes in the heart wall, which were primary vascular damage, and secondary – myocardial injury. In the aorta, signs of endothelial damage, lipid imbibition, and fibroelastic scaffolding were revealed. A specificity of young animals’ response to MS was functional compensation with pronounced changes in the structure of large vessels. The greatest effect of normalization of morphofunctional indicators in mature animals is provided by preparations of polyphenols. When MS was corrected with Resveratrol and Fenocor, there was no obese fibrous stroma of the heart, and there was also a normalization of the structure of the middle layer of the aortic wall. In young animals, the use of Azilsartan and Stilbene concentrate from 14th week of the experiment also led to compensation of vascular damage and hemodynamic disorders.
CONCLUSION: To correct the manifestations of MS in the cardiovascular system in mature rats, the most effective drugs are resveratrol and Fenocor, and in young rats – azilsartan and Stilbene concentrate in the case of early use.
About the Authors
Cyril O. Tarimovstudent
Michail V. Subbotkin
laboratory researcher, student
Alina A. Kulanova
student
Vitalina I. Petrenko
student
Anatoliy V. Kubyshkin
MD, PhD, Professor
Iryna I. Fomochkina
MD, PhD, Professor
Tatyana P. Makalish
PhD in biology
Yevgeniya Yu. Zyablitskaya
MD, PhD
Iuliana I. Shramko
PhD in biology
References
1. Lopes HF, Correa-Giannella ML, Consolim-Colombo FM, Egan BM. Visceral adiposity syndrome. Diabetol Metab Syndr. 2016;8:40. DOI:10.1186/s13098-016-0156-2
2. Ryu H, Jung J, Cho J, Chin DL. Program Development and Effectiveness of Workplace Health Promotion Program for Preventing Metabolic Syndrome among Office Workers. Int J Environ Res Public Health. 2017;14(8). DOI:10.3390/ijerph14080878
3. Порядин Г.В., Осколок Л.Н. Патофизиологические аспекты метаболического синдрома. // Лечебное дело. — 2011 — №4. — С. 4-10 [Poryadin GV, Oskolok LN. Pathophysiology of metabolic syndrome. Lechebnoe delo. 2011;(4):4-10. (In Russ.)]
4. Samuel VT, Shulman GI. The pathogenesis of insulin resistance: integrating signaling pathways and substrate flux. J Clin Invest. 2016;126(1):12-22. DOI:10.1172/JCI77812
5. Kim JI, Huh JY, Sohn JH, et al. Lipid-overloaded enlarged adipocytes provoke insulin resistance independent of inflammation. Mol Cell Biol. 2015;35(10):1686-1699. DOI:10.1128/MCB.01321-14
6. Mendrick DL, Diehl AM, Topor LS, et al. Metabolic Syndrome and Associated Diseases: From the Bench to the Clinic. Toxicol Sci. 2018;162(1):36-42. DOI:10.1093/toxsci/kfx233
7. Silva P, Sureda A, Tur JA, et al. How efficient is resveratrol as an antioxidant of the Mediterranean diet, towards alterations during the aging process? Free Radic Res. 2019;53(sup1):1101-1112. DOI:10.1080/10715762.2019.1614176
8. Заднипряный И.В., Третьякова О.С., Кубышкин А.В., Сатаева Т.П. Эффективность применения концентрата полифенолов винограда «Фэнокор» при гипоксическом повреждении миокарда. // Бюллетень сибирской медицины. — 2017. — Т. 16. — №3. — С. 34-42. [Zadnipryany IV, Tretiakova OS, Kubyshkin AV, Sataieva TP. Protective effect of grapes polyphenol concentrate «Fenokor» in terms of hypoxic myocardial injury. Bulletin of Siberian medicine. 2017;16(3):34-42. (In Russ.)] DOI:10.20538/1682-0363-2017-3-34-42
9. Georgiopoulos G, Katsi V, Oikonomou D, et al. Azilsartan as a Potent Antihypertensive Drug with Possible Pleiotropic Cardiometabolic Effects: A Review Study. Front Pharmacol. 2016;7:235. DOI:10.3389/fphar.2016.00235
10. Janssen I, Shields M, Craig CL, Tremblay MS. Changes in the obesity phenotype within Canadian children and adults, 1981 to 2007-2009. Obesity (Silver Spring). 2012;20(4):916-919. DOI:10.1038/oby.2011.122
11. Верткин А.Л., Скотников А.С. Клинико-фармакологические ниши сартанов в терапии коморбидных больных. // Лечащий врач. — 2013. — №2. — С. 109-111. [Vertkin AL, Skotnikov AS. Kliniko-farmakologicheskie nishi sartanov v terapii komorbidnykh bol’nykh. Practitioner. 2013;(2):109-111. (In Russ.)]
12. Ehlken B, Shlaen M, Lopez Fuensalida de Torres MDP, et al. Use of azilsartan medoxomil in the primary-care setting in Germany: A real-world evidence study. Int J Clin Pharmacol Ther. 2019;57(6):275-283. DOI:10.5414/CP203359
13. Селезнева А.И., Макарова М.Н., Рыбакова А.В. Методы рандомизации животных в эксперименте. // Международный вестник ветеринарии. — 2014.— №2.— С. 84-89. [Selezneva AI, Makarova MN, Rybakova AV. Randomization of experimental animals. Mezhdunarodnyy vestnik veterinarii. 2014;(2):84-89. (In Russ).]
14. Зорин Н.А. Оценка качества научных публикаций (часть II) // Медицинские технологии. Оценка и выбор. — 2012.— №1. — С. 85-93. [Zorin NA. Quality assessment of scientific publications (part II). Medical technologies. 2012;(1):85-93. (In Russ.)]
15. Решетняк М.В., Хирманов В.Н., Зыбина Н.Н., и др. Модель метаболического синдрома, вызванного кормлением фруктозой: патогенетические взаимосвязи обменных нарушений. // Медицинский академический журнал. — 2011. — Т. 11. — №3. — С. 23-27. [Reshetnyak MV, Khirmanov VN, Zybina NN, et al. Fructose-fed model of the metabolic syndrome: pathogenetic relationships between metabolic disorders. Medical academic journal. 2011;11(3):23-27. (In Russ.)] DOI:10.17816/MAJ11323-27
16. Chou CL, Lin H, Chen JS, Fang TC. Renin inhibition improves metabolic syndrome, and reduces angiotensin II levels and oxidative stress in visceral fat tissues in fructose-fed rats. PLoS One. 2017;12(7):e0180712. DOI:10.1371/journal.pone.0180712
17. Larque C, Velasco M, Navarro-Tableros V, et al. Early endocrine and molecular changes in metabolic syndrome models. IUBMB Life. 2011;63(10):831-839. DOI:10.1002/iub.544
18. Международная Федерация диабета (IDF): консенсус по критериям метаболического синдрома. // Ожирение и метаболизм. — 2005. — Т. 2. — №3. — С. 47-49. [Mezhdunarodnaya Federatsiya diabeta (IDF): konsensus po kriteriyam metabolicheskogo sindroma. Obesity and metabolism. 2005;2(3):47-49. (In Russ.)] DOI:10.14341/2071-8713-4854
19. de Moura RF, Ribeiro C, de Oliveira JA, et al. Metabolic syndrome signs in Wistar rats submitted to different high-fructose ingestion protocols. Br J Nutr. 2009;101(8):1178-1184. DOI:10.1017/S0007114508066774
20. Абрашова Т.В., Гущин Я.А., Ковалева М.А., и др. Справочник. Физиологические, биохимические и биометрические показатели нормы экспериментальных животных. — СПБ.: ЛЕМА; 2013. [Abrashova TV, Gushchin YA, Kovaleva MA, et al. Spravochnik. Fiziologicheskie, biokhimicheskie i biometricheskie pokazateli normy eksperimental’nykh zhivotnykh. Sainy Petersburg: LEMA; 2013. (In Russ.)]
21. Морфологическая диагностика. Подготовка материала для гистологического исследования и электронной микроскопии. / Под ред. Коржевского Д.Э. — СПб.: СпецЛит; 2013. [Korzhevskiy DE, editor. Podgotovka materiala dlya gistologicheskogo issledovaniya i elektronnoy mikroskopii. Saint Petersburg: SpetsLit; 2013. (In Russ.)]
22. Автандилов Г.Г. Основы количественной патологической анатомии. — М.: Медицина; 2002. [Avtandilov GG. Osnovy kolichestvennoy patologicheskoy anatomii. Moscow: Meditsina; 2002. (In Russ.)]
23. Новаковская С.А., Калиновская Е.И., Басалай А.А., и др. Морфологические особенности изменения сосудов микроциркуляторного русла миокарда при метаболическом синдроме (экспериментальное исследование). // Научные стремления. — 2017. — №21. — С. 29-31. [Novakovskaya SA, Kalinovskaya EI, Basalai AA, et al. Morphological features of changes in the vessels of the microcirculatory bed of the myocardium in metabolic syndrome (experimental study). Molodezhnyy sbornik nauchnykh statey «Nauchnye stremleniya». 2017;(21):29-31. (In Russ.)]
24. Кириченко Л.Л., Овсянников К.В., Федосеев А.Н., и др. Метаболический синдром как клиническое проявление эндотелиальной дисфункции. // Кардиоваскулярная терапия и профилактика. — 2012. — Т. 11. — №2. — С. 85-89. [Kirichenko LL, Ovsyannikov KV, Fedoseev AN, et al. Metabolic syndrome as a clinical manifestation of endothelial dysfunction. Cardiovascular Therapy and Prevention. 2012;11(2):85-89. (In Russ.)] DOI:10.15829/1728-8800-2012-2-85-89
25. Grandl G, Wolfrum C. Hemostasis, endothelial stress, inflammation, and the metabolic syndrome. Semin Immunopathol. 2018;40(2):215-224. DOI:10.1007/s00281-017-0666-5
26. Драгунов Д.О., Соколова А.В., Арутюнов Г.П., Латышев Т.В. Модификация суточного профиля артериального давления у больных гипертонической болезнью и сахарным диабетом 2го типа. // Артериальная гипертензия. — 2019. — Т. 25. — №3. — С. 307-318. [Dragunov DO, Sokolova AV, Arutyunov GP, Latyshev TV. Modification of the daily blood pressure profile in hypertensive patients with
Supplementary files
|
1. Tarimov_figures | |
| Subject | ||
| Type | Исследовательские инструменты | |
Download
(4MB)
|
Indexing metadata ▾ | |
|
|
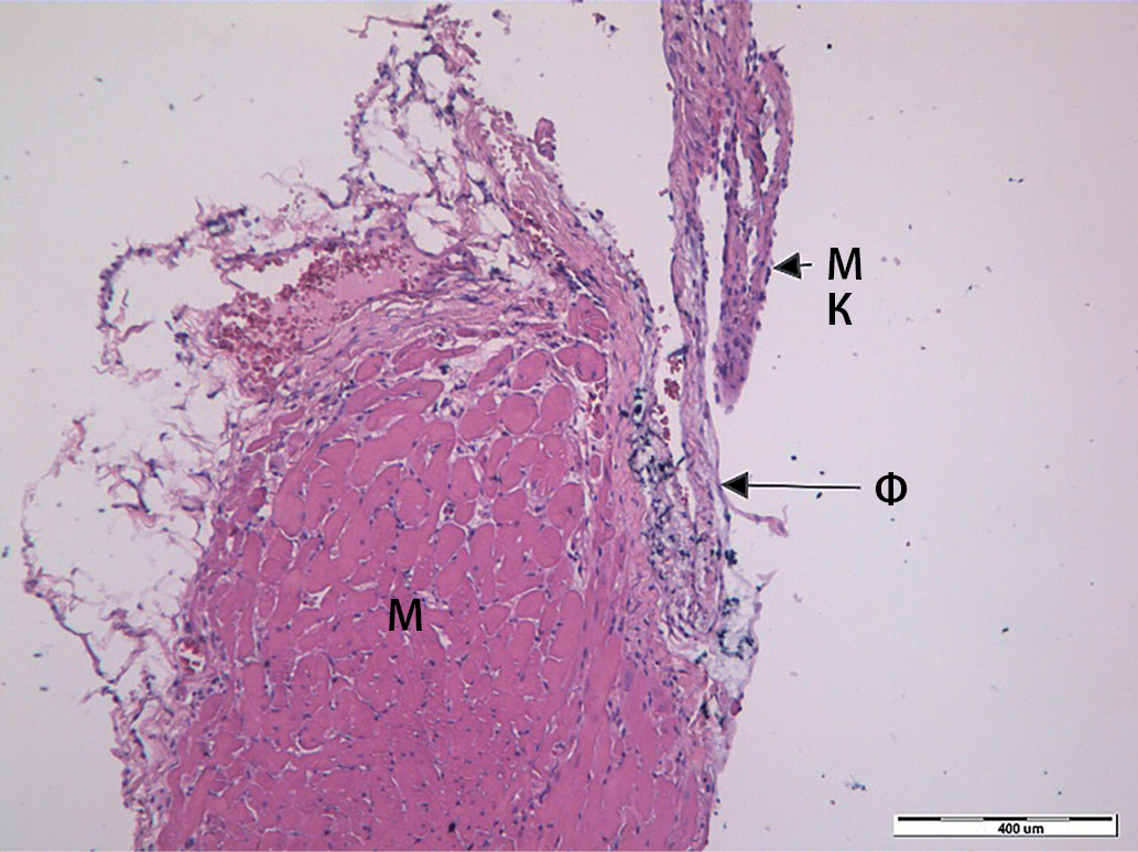
2. Figure 1. A fragment of the heart of an intact male rat aged 9–10 months. Paraffin sections. Staining with hematoxylin and eosin. Uv. 100x. | |
| Subject | ||
| Type | Other | |
View
(240KB)
|
Indexing metadata ▾ | |
|
|
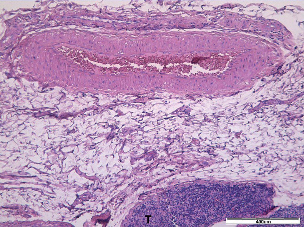
3. Figure 2A. Fragments of the aorta of a male rat of the intact group. Paraffin sections. Staining with hematoxylin and eosin. Uv. 100x. | |
| Subject | ||
| Type | Other | |
View
(411KB)
|
Indexing metadata ▾ | |
|
|
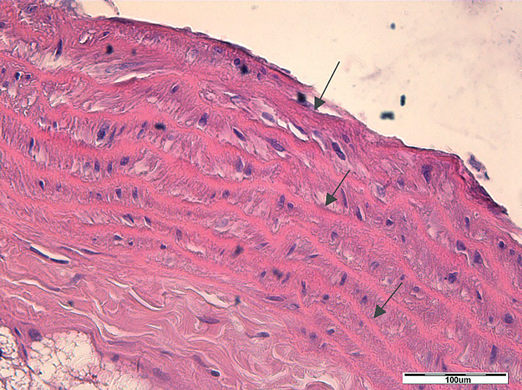
4. Figure 2B. Fragments of the aorta of a male rat of the intact group. Paraffin sections. Staining with hematoxylin and eosin. Uv. 400x. | |
| Subject | ||
| Type | Other | |
View
(386KB)
|
Indexing metadata ▾ | |
|
|
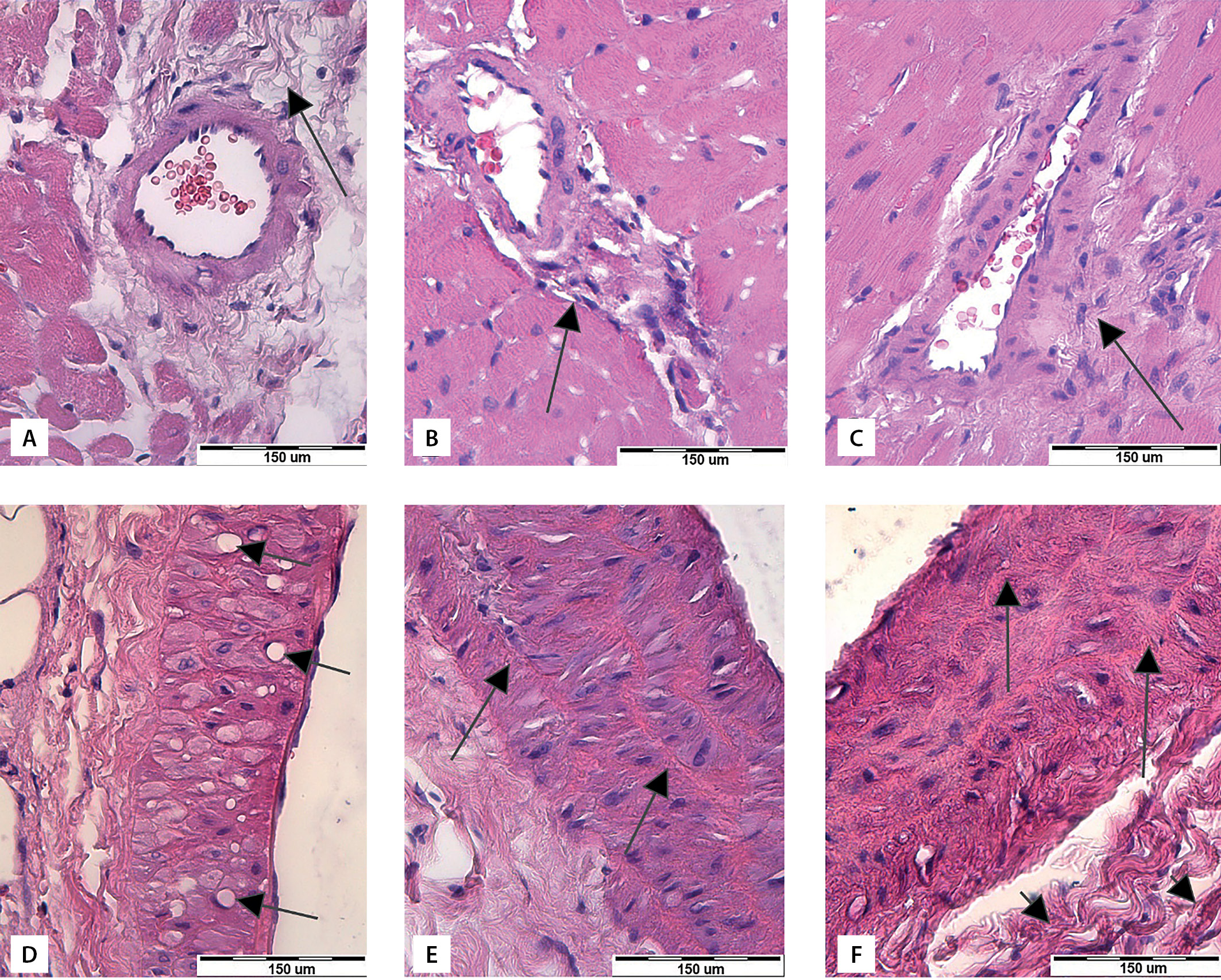
5. Figure 3. Morphological changes in the cardiovascular system of young rats (age 3–6 months) with a simulated metabolic syndrome and its pharmacological correction. | |
| Subject | ||
| Type | Other | |
View
(1MB)
|
Indexing metadata ▾ | |
|
|
6. Figure 4. Morphological changes in the cardiovascular system of mature rats (age 9–12 months) with a simulated metabolic syndrome and its pharmacological correction | |
| Subject | ||
| Type | Other | |
View
(1MB)
|
Indexing metadata ▾ | |
Review
For citations:
Tarimov C.O., Subbotkin M.V., Kulanova A.A., Petrenko V.I., Kubyshkin A.V., Fomochkina I.I., Makalish T.P., Zyablitskaya Ye.Yu., Shramko I.I. Comparative analysis of cardiovascular system morphofunctional disorders’ correction in a simulated metabolic syndrome. Obesity and metabolism. 2020;17(2):208-219. (In Russ.) https://doi.org/10.14341/omet12296
This work is licensed under a Creative Commons Attribution-NonCommercial-NoDerivatives 4.0 International License (CC BY-NC-ND 4.0).




































