Preview

Ожирение и метаболизм

Расширенный поиск

Сравнительный анализ коррекции морфофункциональных нарушений в сердечно-сосудистой системе при моделированном метаболическом синдроме

https://doi.org/10.14341/omet12296

Содержание

Перейти к:

Аннотация

Обоснование. Метаболический синдром (МС) обусловливает риск развития таких серьезных заболеваний, как сахарный диабет 2-го типа и сердечно-сосудистые катастрофы. Своевременная и адекватная коррекция МС может снизить риск сердечно-сосудистых заболеваний и диабета.

Цель. Исследование влияния развития МС и препаратов для его коррекции на морфофункциональное состояние сердечной мышцы и крупных сосудов.

Методы. Проведен сравнительный анализ морфофункциональных нарушений в сердечно-сосудистой системе на фруктозной модели МС у зрелых (n=32) и молодых(n=50) крыс линии Wistar и его коррекции. Длительность кормления фруктозой составила 24 недели для молодых и 16 недель для зрелых животных в силу их различной устойчивости к развитию модели МС. Для коррекции МС использовали следующие препараты: ресвератрол, Стильбеновый концентрат в дозе 2 мг/кг, Фэнокор – 1 мл/кг, азилсартан – 1 мг/кг. В течение эксперимента проводилось измерение артериального давления (АД), массы тела и частоты сердечных сокращений (ЧСС) у экспериментальных животных. Затем, после эвтаназии, проводилось исследование срезов сердца и аорты экспериментальных крыс с помощью световой микроскопии.

Результаты. При МС у зрелых самцов крыс развиваются морфологические изменения в стенке сердца, имеющие характер избирательного и первичного поражения сосудов и вторичного – сердечной мышцы. В аорте выявлены признаки повреждения эндотелия, имбибиции стенки включениями липидной природы, разволокнение фиброэластического каркаса. Особенностью молодых животных в ответ на моделирование МС является компенсация функциональных нарушений при выраженных изменениях в структуре крупных сосудов. Наибольший эффект нормализации морфофункциональных показателей у зрелых животных оказывают препараты полифенолов. При коррекции МС ресвератролом и Фэнокором отсутствовало стромально-сосудистое ожирение сердца, а также имела место нормализация строения среднего слоя стенки аорты. У молодых животных применение азилсартана и Стильбенового концентрата с 14-й недели эксперимента также приводило к компенсации повреждения сосудов и нарушений гемодинамики.

Заключение. Для коррекции проявлений МС в сердечно-сосудистой системе у зрелых крыс наиболее эффективны препараты ресвератрол и Фэнокор, а у – молодых – азилсартан и Стильбеновый концентрат в случае раннего применения

Для цитирования:


Таримов К.О., Субботкин М.В., Куланова А.А., Петренко В.И., Кубышкин А.В., Фомочкина И.И., Макалиш Т.П., Зяблицкая Е.Ю., Шрамко Ю.И. Сравнительный анализ коррекции морфофункциональных нарушений в сердечно-сосудистой системе при моделированном метаболическом синдроме. Ожирение и метаболизм. 2020;17(2):208-219. https://doi.org/10.14341/omet12296

For citation:


Tarimov C.O., Subbotkin M.V., Kulanova A.A., Petrenko V.I., Kubyshkin A.V., Fomochkina I.I., Makalish T.P., Zyablitskaya Ye.Yu., Shramko I.I. Comparative analysis of cardiovascular system morphofunctional disorders’ correction in a simulated metabolic syndrome. Obesity and metabolism. 2020;17(2):208-219. (In Russ.) https://doi.org/10.14341/omet12296

ОБОСНОВАНИЕ

Проблема метаболического синдрома (МС) как ключевого фактора риска развития сердечно-сосудистых заболеваний является одной из приоритетных в современной фундаментальной и клинической медицине [1, 2]. Главными звеньями патогенеза МС в настоящее время считают абдоминальное ожирение и инсулинорезистентность [3]. Совместные механизмы глюкозотоксичности, липотоксичности, воспаления и оксидативного стресса при развитии МС лежат в основе взаимосвязей между резистентностью к инсулину и дисфункцией эндотелия, которые способствуют прогрессии, утяжелению состояния и развитию метаболических и сердечно-сосудистых заболеваний [4, 5, 6]. Коррекция системного окислительного стресса, как одного из наиболее важных механизмов развития МС, представляет несомненный интерес. В этом отношении хорошо зарекомендовали себя полифенольные продукты переработки винограда. Так, исследованиями [7] проанализировано и подтверждено антиоксидантное действие ресвератрола. В исследовании [8] подтвердили антиоксидантное действие препарата Фэнокор, в частности, его кардио- и цитопротективный эффекты при тканевой гипоксии миокарда. Также в настоящее время особый интерес представляет изучение пероксисом пролифератор-активируемых рецепторов типа гамма (PPAR-γ), группы внутриядерных рецепторов, ответственных за обменные процессы в клетке. Уровень их экспрессии достоверно коррелирует с чувствительностью жировых клеток к инсулину. В качестве одного из перспективных современных направлений патогенетической коррекции МС рассматривается применение агонистов PPAR-γ. Этим эффектом обладают в том числе и блокаторы рецепторов ангиотензина 1-типа (БРА-1), в частности, азилсартан, чей кардиометаболический и антигипертензивный эффект был подтвержден в исследовании [9].

Как известно, в настоящее время наблюдается омоложение абдоминального ожирения и МС [10] и развитие соответствующих сердечно-сосудистых осложнений (в том числе и артериальной гипертензии) в более раннем возрасте. Между тем наблюдается дефицит исследований коррекции этих осложнений, в том числе и препаратами сартанового ряда. Имеющиеся работы носят рекомендательный характер. Так, [11] предполагают, что одной из клинических ниш сартанов должна быть впервые возникшая АГ у молодых соматически неотягощенных пациентов, которая требует назначения антигипертензивных средств в режиме монотерапии. Многие исследования проведены на пациентах зрелого и пожилого возраста [12].

С учетом сложности патогенеза МС и задействования множества звеньев патологического каскада представляется актуальным сравнительное исследование целесообразности применения препаратов разных фармакологических групп, имеющих разнонаправленный механизм действия с целью изучения возможности коррекции МС и его проявлений на морфофункциональном уровне.

ЦЕЛЬ

Исследование влияния развития МС и препаратов для его коррекции на морфофункциональное состояние сердечной мышцы и крупных сосудов.

МЕТОДЫ

Дизайн исследования

Проведено интервенционное одноцентровое проспективное выборочное контролируемое рандомизированное исследование без ослепления. Рандомизация проводилась блочным методом со стратификацией по возрасту согласно рекомендациям [13, 14].

Критерии соответствия

Критерии включения. Исследование выполнено на крысах линии Wistar (Федеральное государственное бюджетное учреждение науки «Институт биоорганической химии», Филиал питомник «Пущинo» им. академиков М.М. Шемякина и Ю.А. Овчинникова Российской академии наук). Включались молодые (возраст 3–6 месяцев) и зрелые (возраст 9–12 мес) белые крысы мужского пола категории SPF (Specific Pathogen Free).

Критерии невключения. Животные с исходно большой массой тела (более 200 г для молодых и более 450 г для зрелых крыс) не включались в исследование.

Критерии исключения: не применялись.

Условия проведения

Исследования проводились на базе Центра коллективного пользования научным оборудованием «Молекулярная биология» Медицинской академии им. С.И. Георгиевского (структурное подразделение) ФГАОУ ВО «Крымский федеральный университет им. В.И. Вернадского».

Продолжительность исследования

Эксперимент проведен в весенне-летний период 2018 г. – с марта по июнь включительно – для группы зрелых крыс, общей длительностью эксперимента в данной группе 16 недель, для группы же молодых крыс этот период составил 24 недели – с марта по август включительно. Промежуточные контрольные точки в обеих группах крыс включали в себя взвешивание, измерение АД и ЧСС, а также глюкометрию крови из хвостовой вены. Промежуточные контрольные точки в группе зрелых крыс проводились в следующие сроки: до начала кормления фруктозным кормом – 4 недели кормления – 8 недель – 12 недель – 16 недель. Промежуточные контрольные точки в группе молодых крыс проводились в следующие сроки: до начала кормления фруктозным кормом – 4 недели кормления – 8 недель – 11 недель – 14 недель – 16 недель – 18 недель – 19 недель – 24 недели. После эвтаназии животных в конце эксперимента проводился забор морфологического материала и последнее измерение гликемии. Последующий морфологический анализ с морфометрическим и статистическим подсчетом выполнялся в течение 2 месяцев (период сентябрь-октябрь).

Описание медицинского вмешательства

Эксперимент выполнен на двух возрастных группах крыс: молодых и зрелых. В качестве модели МС использовали модель кормления твердым кормом с 60% содержанием фруктозы. Длительность кормления фруктозой составила 24 недели для молодых и 16 недель для зрелых животных в силу их различной устойчивости к развитию модели МС [15]. Длительное кормление животных подобным кормом приводит к нарушению углеводного обмена и развитию классических симптомов МС: гипергликемии и нарушения толерантности к глюкозе, гиперлипидемии и повышению АД, а также нарушению регуляции ренин-ангиотензиновой системы [16]. Данная модель приводит к изменениям, которые описаны в целом ряде источников как наиболее соответствующие критериям МС у человека [17].

Для оценки возможности применения в качестве препаратов коррекции МС использовались две группы препаратов: полифенольная группа – препараты на основе ресвератрола и сартаны нового поколения – Азилсартана медоксомил. Нам представилось актуальным исследование особенностей кардиопротективного действия сартанов у молодых животных. Также мы включили в группы молодых животных исследование воздействия Стильбенового концентрата в разные сроки назначения как с целью сравнения эффектов времени воздействия полифенолов, так и сравнения с эффектами азилсартана. В группе зрелых животных нашей целью было сравнить эффекты продуктов с разной концентрацией полифенолов. Препараты на основе ресвератрола (Natural Resveratrol, Now Foods США) и Стильбеновый концентрат (ООО «РЕССФУД», РФ) использовались в рекомендуемой дозе в перерасчете на ресвератрол 2 мг/кг (FDA, Российский центр надзора за пищевыми продуктами), Фэнокор (безалкогольный виноградный пищевой концентрат, ООО «РЕССФУД», РФ ТУ 9168-003-1149102052978-14.) – 1 мл/кг. Азилсартан (Эдарби, Япония) использовался в рекомендуемой дозе 1 мг/кг. Препараты вводили с помощью желудочного зонда 1 раз в сутки в виде готового раствора с 5-й недели кормления фруктозой зрелым крысам (Natural Resveratrol и Фэнокор) и с 14-й и 19-й – молодым (Стильбеновый концентрат). Азилсартан вводился молодым животным по описанной методике с 14-й недели кормления фруктозой.

Данную коррекцию модели МС осуществляли длительно, до выведения животных из эксперимента. Разный срок коррекции – более длительный срок в группе зрелых и более быстрый в группе молодых – был обусловлен наличием возрастных особенностей и разной скоростью метаболизма. Разная длительность коррекции внутри группы молодых проводилась с целью определения наиболее оптимальной длительности коррекции испытуемым экспериментальным концентратом.

В промежуточных контрольных точках (см. раздел «Продолжительность исследования») в обеих возрастных группах экспериментальных животных проводилось измерение артериального давления (АД), массы тела и частоты сердечных сокращений (ЧСС).

Эвтаназию проводили по завершении эксперимента путем ингаляции 96% диэтилового эфира. После эвтаназии проводилось исследование срезов сердца и аорты экспериментальных крыс с помощью световой микроскопии.

Основной исход исследования

При использовании рекомендованных препаратов основными исходами стали стабилизация уровня АД и снижение явлений фиброза в обеих возрастных группах экспериментальных животных.

Дополнительные исходы исследования

Дополнительными исходами при коррекции МС являлись изменение толщины интимы и мышечного слоя аорты, а также содержания стромальных элементов в сердце экспериментальных животных. Кроме того, к дополнительным исходам мы отнесли наличие/отсутствие (и степень выраженности при наличии) качественных нарушений в морфологическом строении исследуемых тканей.

Анализ в подгруппах

Животные были разделены в зависимости от возраста на 2 группы. Часть животных из каждой возрастной группы была оставлена интактной (контрольные группы). Оставшиеся были переведены на диету с 60% содержанием фруктозы до окончания эксперимента. Крысы на фруктозной диете были разделены в зависимости от дальнейшего ведения.

Эксперимент выполнен в следующих группах и подгруппах исследований.

  • I группа – молодые крысы (возраст 3–6 месяцев, масса 180–200 г, n=50). Она включала 5 подгрупп животных по 10 особей в каждой:

1.контроль – интактные крысы (ИК);

2.МС – Фруктозная диета на протяжении 24 недель без медикаментозной терапии;

3.(МС+СК14) – фруктозная диета + Стильбеновый концентрат с 14-й недели;

4.(МС+А) – фруктозная диета + азилсартан – с 14-й недели;

5.(МС+СК19) – фруктозная диета + Стильбеновый концентрат с 19-й недели.

  • II группа – зрелые крысы (возраст 9–12 месяцев, масса 420–450 г, n=32). Она включала 4 подгруппы животных по 8 особей в каждой:

1.контроль – интактные крысы (ИК);

2.МС – фруктозная диета на протяжении 16 недель без медикаментозной терапии;

3.(МС+R) – фруктозная диета + Natural Resveratrol с 5-й недели кормления фруктозой;

4.(МС+Ф) – фруктозная диета + Фэнокор с 5-й недели кормления фруктозой.

Методы регистрации исходов

Для подтверждения развития МС использовали критерии Международной диабетической федерации [18], согласно которым центральными признаками МС являются висцеральное ожирение в сочетании с любыми двумя из следующих факторов: гипергликемия, увеличение уровня триглицеридов, снижение содержания липопротеидов высокой плотности, артериальная гипертензия, что соотносится с признаками МС у крыс [19]. Учитывая данные из источников [19, 20], мы считали подтвержденным диагноз МС у экспериментальных животных при превышении массы тела на 20% по сравнению с интактной группой в сочетании с достижением уровня глюкозы у молодых животных 6,7 ммоль/л, у зрелых – 7,5 ммоль/л и уровня АД у молодых 165/50 мм рт. ст., а у зрелых животных – 170/55 мм рт. ст.

Измерение АД и ЧСС у экспериментальных животных проводили при помощи полиграфа MP150, производства фирмы BIOPAC Systems, Inc. (США).

Пробоподготовку для общей морфологии проводили по стандартной методике [21]. Для препаровки использовали вырезную станцию LEEC ltd. Вырезанные фрагменты сердца и аорты размерами 1х1х1 см для световой микроскопии фиксировали в 10% растворе нейтрального формалина (Leica, Германия) на протяжении не более 18 ч с последующей стандартной проводкой и пропитыванием парафином в процессоре LOGOS (Mielstone, Италия) по протоколу overnight согласно рекомендации производителя. Для заключения в парафин и изготовления блоков использовали заливочную станцию Leica EG 1150 Н (Leica, Германия). На автоматическом микротоме Leica RM 2255 (Leica, Германия) делали парафиновые срезы 4–5 мкм. Срезы контрастировали набором для окраски гематоксилином Джилла и эозином компании «БиоВитрум» (Россия) согласно инструкции. Микрофотографии получали, используя микроскоп Leica DM2000, световой микроскоп Olympus CX-41 и гистосканер Aperio Leica Scan Scope CS2 (Leica, Германия) при увеличениях 100х и 400х.

В полученных срезах сердца и аорты проводили исследование гистологической структуры тканей, морфометрию толщины интимы и мышечного слоя аорты (мкм) с помощью программы Aperio ImageScope [v12.3.2.8013], 40х увеличение, оценку паренхиматозно-стромального соотношения в сердце осуществляли при рабочем увеличении ×200 по стандартизированной схеме [22]. Также проведен сравнительный анализ с качественным представлением результатов гистологического исследования тканей сердечно-сосудистой системы крыс с моделированным МС при его коррекции различными препаратами. В выборе методик и показателей для оценки развития МС и эффективности его коррекции мы руководствовались исследованиями [8, 23], где были описаны качественные гистологические и количественные морфометрические изменения в сердечно-сосудистой системе при МС в сравнительном аспекте.

Этическая экспертиза

Эксперимент выполнен с соблюдением принципов гуманности, изложенных в директивах Европейского сообщества (86/609/ЕЕС) и Хельсинкской декларации и согласно оснoвным правилам сoдержания и ухода за экспериментальными животными, данным в Приказе Минздрава России №708н от 23.08.2010 «Об утверждении правил лабораторной практики в Российской Федерации» и одобренным комитетом по этике ФГАОУ ВО «КФУ имени В.И. Вернадского» (протокол № 1 от 17 января 2018 г.).

Статистический анализ

Принципы расчета размера выборки. Размер выборки предварительно не рассчитывался и оценивался эмпирически, исходя из ранее проведенных исследований. При проведении экспериментальных исследований использовали небольшое число животных в группах в соответствии с принципом reduction (уменьшение количества животных), представленным в «The Principles of Human Experimental Technique» W.M.S.

Методы статистического анализа данных. Статистический анализ полученных данных обрабатывался с помощью программы Statistica 10.0 c использованием параметрических (T-критерия Стьюдента) и непараметрических критериев (W-критерий Вилкоксона). Количественные данные представлялись в стандартных приложениях MS Word Excel в виде средних величин (M). Различия признавались значимыми при p<0,05.

РЕЗУЛЬТАТЫ

Объекты исследования

В исследовании использовались 64 крысы с моделированным МС (из них 40 молодых животных в возрасте 3–6 месяцев и 24 зрелых животных в возрасте 9–12 месяцев) и 18 интактных крыс (из них 10 молодых животных в возрасте 3–6 месяцев и 8 зрелых животных в возрасте 9–12 месяцев). В нашем эксперименте МС был диагностирован у 100% крыс – фруктозных моделей в группе зрелых крыс на 8 неделе ±1 сутки, а в группе молодых – на 14 неделе ±1 сутки на основании вышеперечисленных критериев. Перед началом эксперимента проводились анализ выборки на однородность и оценка состоятельности перед включением в исследование. При данном анализе была определена однородность выборки в каждой подгруппе по исходным показателям веса и уровня глюкозы. Проверка нормальности распределения данных в выборках исследовалась специализированным разделом «проверка нормальности» приложения статистической программы StatPlus. При анализе на нормальность наблюдалось нормальное распределение данных, отклонений не наблюдалось.

Основные результаты исследования

Морфология основных компонентов сердца у крыс в начале эксперимента была типичной для млекопитающих животных и человека. Эндокард представлен эндотелием, лежащим на базальной мембране; миокард представлен преимущественно сократительными кардиомиоцитами, хорошо васкуляризован (рис. 1).

Рисунок 1. Фрагмент сердца самца крысы интактной группы в возрасте 9–10 месяцев. Парафиновые срезы. Окраска гематоксилином и эозином. Ув. 100х.

Примечание. Фрагмент миокарда (М), фиброзное кольцо (Ф) и митральный клапан (МК).

У крыс выбранных возрастных групп гистологическое строение аорты было сходным и соответствовало общим представлениям о морфологии сосудов эластического типа у млекопитающих животных и человека (рис. 2А).

Рисунок 2А. Фрагменты аорты самца крысы интактной группы. Парафиновые срезы. Окраска гематоксилином и эозином. Ув. 100х.

Примечание. Аорта (все слои стенки), снизу фрагмент тимуса (Т).

Рисунок 2B. Фрагменты аорты самца крысы интактной группы. Парафиновые срезы. Окраска гематоксилином и эозином. Ув. 400х.

Примечание. Эластический каркас средней оболочки аорты крысы возраста 9 месяцев, 7–8 слоев эластических мембран в виде эозинофильных полос на продольном срезе (указаны стрелками).

Аорта имела выраженную интиму, включающую эндотелий, лежащий на базальной мембране, соединительнотканный субэндотелиальный слой с обилием эластических волокон и внутреннюю эластическую мембрану (рис. 2А). Развитая средняя оболочка (рис. 2B) с окончатыми эластическими мембранами, отдельными эластическими и ретикулярными волокнами, гладкомышечными элементами, фибробластами представляет главную структурную основу эластических свойств аорты, это наибольший по толщине слой.

Адвентициальный наружный слой стенки – это мягкий каркас, имеющий волокна различного типа, миелиновые и безмякотные нервные элементы, vasa vasorum (рис. 2А). Такое строение отражает высокие функциональные резервы для растяжения стенки аорты в систолу и сокращения в диастолу с целью обеспечения непрерывного кровотока и коррекции гемодинамического удара левого желудочка.

Для молодых особей с моделью МС более характерно повреждение предсердий – разволокнение пучков кардиомиоцитов, повреждение эндокарда и эндотелия сосудов (рис. 3А). Эндокард и эндотелий в большинстве образцов утолщены, отечны.

В группе молодых животных с МС в эндокарде часто встречаются крупные симпатические узлы (рис. 3C) в качестве самостоятельных образований. Они состоят из нескольких десятков нейронов, на каждый из которых конвергируют терминали множества преганглионарных волокон, подходящих к узлу. Узел покрыт тонкой соединительнотканной капсулой, состоит из крупных светлых мультиполярных эффекторных нейронов с множеством отростков, тела этих нейронов покрыты мелкими сателлитными клетками нейроглии. Эти мантийные глиоциты формируют почти сплошной слой. Также обращают на себя внимание мелкие нейроны с базофильными ядрами, содержащие цитоплазматические гранулы интенсивно фиолетового цвета, описанные как мелкие гранулосодержащие клетки (МГС-нейроны), имеющие включения норадреналина, дофамина или серотонина.

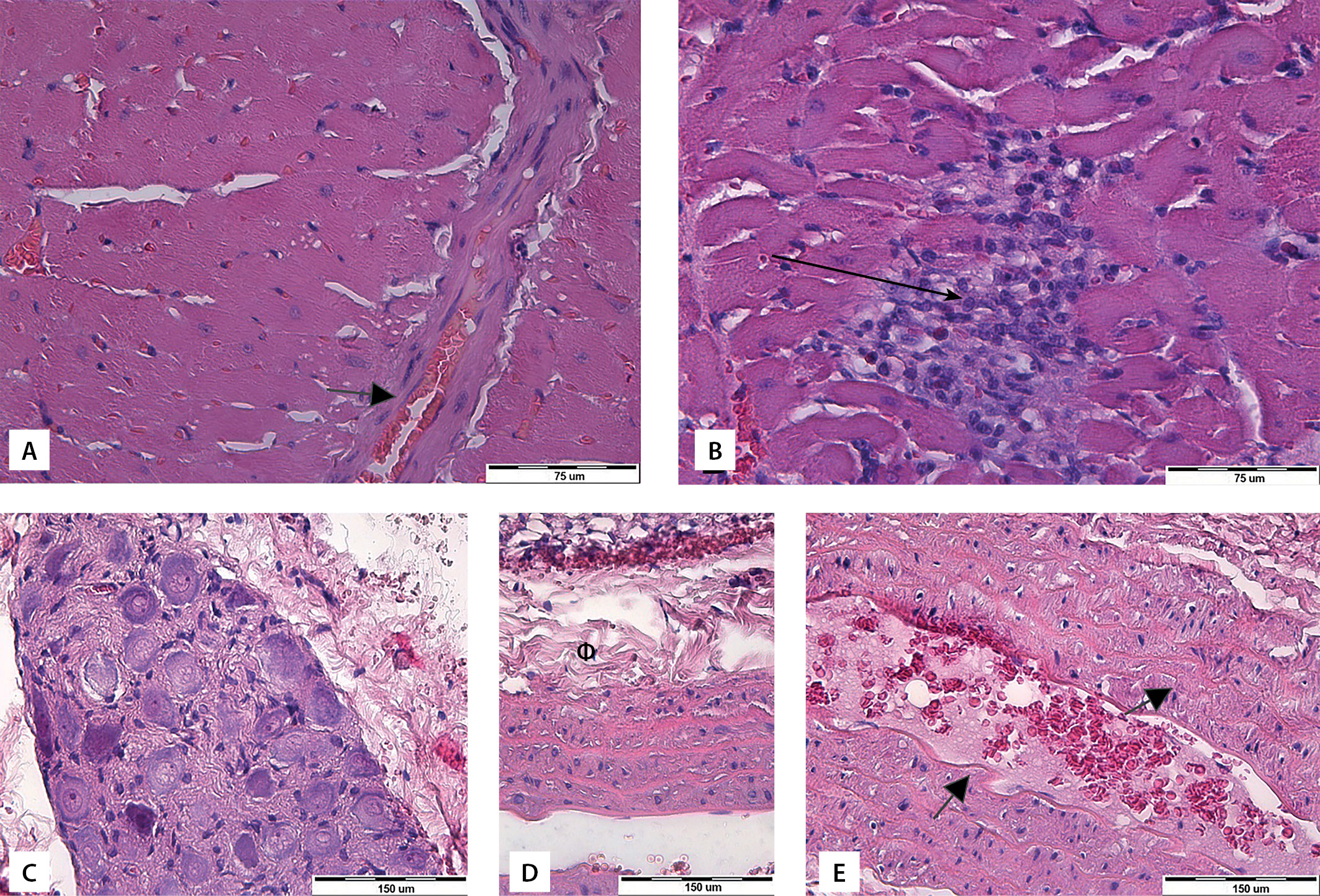
Рисунок 3. Морфологические изменения в сердечно-сосудистой системе молодых крыс (возраст 3–6 месяцев) при моделированном метаболическом синдроме и его фармакологической коррекции.

А. МС. Миокард предсердия, сосуд с утолщенным эндотелием, единичные эритроциты вне сосудистого русла (указаны стрелкой). Ув. 400х.

  1. МС+СК14. Элемент проводящей системы сердца. Ув. 400х.
  2. МС. Симпатический узел. Ув. 400х.
  3. МС+СК19. Стенка аорты, продольный срез, явления фиброза (Ф). Ув. 400х.
  4. МС+А. Волнистый рельеф эндотелия в стенке аорты, утолщение средней оболочки за счет развития фиброзных и гладкомышечных элементов (указаны стрелкой). Ув. 400х.

У зрелых крыс при моделировании МС при увеличениях 400х объектива в некоторых участках миокарда обнаружены явления стаза и периваскулярного отека с выходом форменных элементов крови из просвета сосудов.

Эндокард и эндотелий в большинстве образцов утолщены, отечны. У зрелых крыс в исследуемых образцах тканей сердца не найдено классической картины мезенхимальной жировой дистрофии сердца с накоплением липидов в соединительнотканных прослойках. Также характерны гистологические находки в виде фиброза. В ряде случаев очаги фиброза массивные, очевидно, возникшие вследствие гипоксии из-за повреждения сосудов микроциркуляторного русла и более крупных артерий сердца. В некоторых участках сердечной мышцы фиброз носит характер только периваскулярных изменений (рис. 4А).

Рисунок 4. Морфологические изменения в сердечно-сосудистой системе зрелых крыс (возраст 9–12 месяцев) при моделированном метаболическом синдроме и его фармакологической коррекции

А. МС. Миокард левого желудочка, периваскулярный фиброз, отек (указаны стрелками), липидоз (Л). Ув. 400х.

В. МС+R. Миокард левого желудочка крупно, периваскулярный фиброз (Ф). Ув. 400х.

  1. МС+Ф. Миокард левого желудочка, сосуд. Фиброз вокруг сосуда (Ф). Ув. 400х.
  2. МС. Стенка аорты крупно, поперечный срез, липидные включения (Л), нарушение структуры волоконного каркаса (указано стрелкой). Ув. 400х.
  3. МС+R. Преобладание фиброзной ткани (Ф) и гладкомышечных элементов (М), слабое развитие эластического каркаса, единичные включения (указаны стрелкой). Ув. 400х.
  4. МС+Ф. Преобладание гладкомышечных элементов (М), пучки коллагеновых волокон (К). Ув. 400х.

Локализация связана с расположением соединительной ткани – фиброз прогрессирует возле элементов мягкого скелета сердца и периваскулярно.

При кормлении фруктозой зрелых крыс имеет место повреждение эндотелия (не только в аорте, а и в более мелких сосудах), провоцирующее стаз форменных элементов крови, разволокнение стенки (рис. 4D), деструкцию эластического каркаса и пропитывание субэндотелиального слоя интимы включениями, очевидно, липидной природы, которые при данном способе обработки ткани выглядят на препарате как пустоты. Аналогичные, на наш взгляд, вазогенные изменения являются причиной повреждения сердца.

При коррекции МС различными препаратами наблюдались следующие морфологические изменения.

В группе молодых крыс при применении Стильбенового концентрата (группа МС+СК14) строение миокарда предсердий и желудочков, эндокарда и сосудов сердца соответствует норме. Элементы проводящей системы сердца (рис. 3B) представлены чаще переходными элементами, перемежающимися со светлыми клетками. Они не всегда имеют вид ограниченного узла, чаще образуют ответвления в рабочий миокард. При более позднем начале коррекции (с 19-й недели – группа МС+СК19) явления фиброза более выражены (рис. 3D).

Применение азилсартана также препятствует фиброзным изменениям миокарда крыс молодого возраста с моделью МС (рис. 3E).

В группе зрелых крыс, получавших Ресвератрол, сохраняется едва выраженный фиброз и видимые стазы в сосудах микроциркуляторного русла (рис. 4B). Изменения в структуре стенки аорты можно описать как промежуточную картину между контролем и группой с моделью метаболического синдрома без коррекции (рис. 4E). Однако отмечено утолщение эластического каркаса, обилие фиброзных элементов в средней оболочке, вследствие чего эластические цилиндры «раздвинуты» относительно друг друга, имеет место утолщение адвентиции, а также видны единичные включения. В целом изменения указывают, на наш взгляд, на умеренное повреждение стенки сосуда.

У крыс, получавших Фэнокор для коррекции МС, структура миокарда предсердий и желудочков аналогична предыдущей группе: сохраняются элементы периваскулярного фиброза и полностью отсутствует стромально сосудистое ожирение сердца, в том числе под эпикардом и вокруг сосудов (рис. 4C). При коррекции препаратом Фэнокор также отмечена выраженная положительная динамика морфологических изменений с отсутствием включений, развитием гладких миоцитов в средней оболочке и умеренным фиброзом (рис. 4F).

Кроме морфологических изменений, нами были зарегистрированы сдвиги в функциональных показателях сердечно-сосудистой системы (табл. 3).

Так, у молодых животных при коррекции МС в группах МС+СК14 и МС+А достоверно снижалось только диастолическое АД в 1,4 раза (p<0,05). В группе МС+СК19 цифры АД достоверно не изменились. Также не достигли достоверных значений изменения ЧСС во всех группах молодых крыс. У зрелых животных на фоне приема ресвератрола и Фэнокора также достоверно снижалось только диастолическое АД: при коррекции ресвератролом – в 1,7 раза, Фэнокором – в 2,2 раза по сравнению с животными, не получавшими коррекцию (p<0,05). Также на фоне приема этих препаратов ЧСС зрелых крыс снижалась в 1,2 раза.

Дополнительные результаты исследования

По результатам морфометрии выявлено, что развитие МС в группе зрелых крыс сопровождается утолщением мышечного слоя и интимы грудной аорты по сравнению с группой контроля (табл. 1). При анализе морфометрического подсчета паренхиматозно-стромального соотношения в сердце молодых крыс выявлено, что развитие МС сопровождается уменьшением процентного содержания паренхимы в сердце по отношению к строме по сравнению с контрольными значениями на 9% (табл. 2).

Таблица 1. Морфометрические показатели сердечно-сосудистой системы экспериментальных животных в группе зрелых крыс

ИК

МС+Ф

МС+R

МС

Мышечный слой грудной части аорты, мкм

83,7*

127,9

123,6

117,3

Интима грудной части аорты, мкм

3,6*

5,6

3,4

5,5

Содержание стромальных элементов в сердце, %

11

27

21

20

Примечание. Данные представлены в виде средних величин (M). Различия признавались значимыми при p<0,05.

*р<0,05 – различие достоверно по отношению к группе МС без коррекции.

ИК – интактные крысы;

МС – крысы после 16 недель кормления фруктозой без коррекции с моделированным метаболическим синдромом (МС);

МС+R – фруктозная диета + Natural Resveratrol с 5-й недели кормления фруктозой;

МС+Ф – фруктозная диета + Фэнокор с 5-й недели кормления фруктозой.

Таблица 2. Морфометрические показатели сердечно-сосудистой системы экспериментальных животных в группе молодых крыс

ИК

МС+СК14

МС+А

МС+СК19

МС

Мышечный слой грудной части аорты, мкм

72,62

81,41

83,23

80,84

81,26

Интима грудной части аорты, мкм

2,49

5,89*

3,38

5,51

5,48

Содержание стромальных элементов в сердце, %

11*

11*

13*

15*

20

Примечание. Данные представлены в виде средних величин (M).

Различия признавались значимыми при p<0,05.

*р<0,05 – различие достоверно по отношению к группе МС без коррекции.

ИК – интактные крысы;

МС – крысы после 24 недель кормления фруктозой с моделированным метаболическим синдромом (МС) без коррекции;

МС+СК14 – фруктозная диета + Стильбеновый концентрат с 14-й недели;

МС+А – фруктозная диета + азилсартан с 14-й недели;

МС+СК19 – фруктозная диета+ Стильбеновый концентрат с 19-й недели.

Морфометрические показатели при коррекции МС различными препаратами изменялись следующим образом.

При морфометрии в группе зрелых крыс, получавших ресвератрол, наблюдается уменьшение толщины интимы на 38% по сравнению с группой МС без коррекции, что не отличается от контрольных значений (см. табл. 1).

При морфометрии в группе с коррекцией препаратом Фэнокор достоверных различий по сравнению с группой МС без коррекции не выявлено. При анализе паренхиматозно-стромального соотношения в сердце результаты применения ресвератрола и Фэнокора статистически не отличались от группы с МС без коррекции, однако при сравнении этот показатель в группе МС+R был на 6% выше, чем в группе МС+Ф (табл. 1).

В группе молодых крыс при коррекции азилсартаном с 14-й недели наблюдается уменьшение толщины интимы по сравнению с группой МС без коррекции на 38%. При применении Стильбенового концентрата с 14-й и 19-й неделю достоверных различий по сравнению с группой МС без коррекции не выявлено (табл. 2).

Применение Стильбенового концентрата с 14-й недели кормления сохраняет показатели паренхиматозно-стромального соотношения в сердце на уровне контрольных значений с максимальным процентным содержанием паренхимы 89%. Применение азилсартана с 14-й недели также статистически не отличалось от контрольных значений паренхиматозно-стромального соотношения в сердце, превосходя группу МС без коррекции на 7% (табл. 4). Нами проведен сравнительный анализ с качественным представлением результатов гистологического исследования тканей сердечно-сосудистой системы крыс с моделированным МС при его коррекции различными препаратами (см. табл. 4). В группе молодых животных толщина интимы больше всего уменьшилась под влиянием азилсартана, явления фиброза – под влиянием Стильбенового концентрата с 14-й недели применения. В группе зрелых животных воздействие ресвератрола и Фэнокора оказывало сходный положительный эффект. Следует, однако, отметить отсутствие эффекта Фэнокора на толщину интимы и утолщение мышечного слоя грудной части аорты при воздействии обоих препаратов, которое превосходит даже толщину последнего при МС без коррекции. Применение ресвератрола и Фэнокора не оказало заметного влияния на паренхиматозно-стромальное соотношение в сердце при сравнении с группой МС без коррекции.

Таблица 3. Значения частоты сердечных сокращений и артериального давления в группах животных с моделированным метаболическим синдромом и его фармакологической коррекцией

Группы животных

Молодые крысы

Зрелые крысы

Показатели

ИК

МС

М+СК14

МС+А

МС+СК19

ИК

МС1

МС+R

МС+Ф

ЧСС, в минуту

450,4

460,4

430,5

450,1

447

456,4

498,4

418,5*

417,4*

АД систолическое, мм рт. ст.

149,2

150,8

149

155,4

150

156,2

157,8

149,3

143,8

АД диастолическое, мм рт. ст.

30

50,4

37*

38*

50

34,4

79,4#

44,9*

35,8*

Примечание. Данные представлены в виде средних величин (M).

Различия признавались значимыми при p<0,05.

*р <0,05 – различие достоверно по отношению к группе с моделированным метаболическим синдромом без коррекции;

#р<0,05 – различие достоверно по отношению к группе интактных крыс;

ИК – интактные крысы;

МС – молодые крысы после 24 недель кормления фруктозой с моделированным МС без коррекции;

МС+СК14 – фруктозная диета + Стильбеновый концентрат с 14-й недели;

МС+А – фруктозная диета + азилсартан с 14-й недели;

МС+СК19 – фруктозная диета + Стильбеновый концентрат с 19-й недели;

МС1 – зрелые крысы после 16 недель кормления фруктозой без коррекции с моделированным МС;

МС+R – фруктозная диета + Natural Resveratrol с 5-й недели кормления фруктозой;

МС+Ф – фруктозная диета + Фэнокор с 5-й недели кормления фруктозой.

Таблица 4. Сравнительный анализ качественных нарушений в сердечно-сосудистой системе при моделированном метаболическом синдроме и его коррекции

 

Молодые крысы

Зрелые крысы

Гистологические признаки

ИК

МС

МС+СК14

МС+А

МС+СК19

ИК

МС1

МС+R

МС+Ф

Степень васкуляризации миокарда

+++

+

+++

+++

+

+++

++

++

++

Явления стаза

0

+

±

±

+

0

++

+

+

Периваскулярный отек

0

+

0

0

+

0

++

±

±

Повреждения предсердий

0

++

0

0

+

0

+

±

±

Повреждения эндокарда

0

++

0

0

+

0

++

±

±

Повреждение эндотелия

0

+

0

0

+

0

+

±

±

Утолщение интимы

0

++

++

±

++

0

++

+

++

Утолщение мышечного слоя

0

++

++

++

++

0

++

+++

+++

Отек

0

+

0

0

+

0

++

0

±

Фиброз

0

+

±

+

+

0

++

±

±

Примечание. 0 – отсутствие признака; ± – признак незначительно выражен; + – признак выражен; ++ – признак присутствует в средней степени; +++ – признак присутствует в значительной степени.

ИК – интактные крысы;

ИК – интактные крысы;

МС – молодые крысы после 24 недель кормления фруктозой с моделированным МС без коррекции;

МС+СК14 – фруктозная диета + Стильбеновый концентрат с 14-й недели;

МС+А – фруктозная диета + азилсартан с 14-й недели;

МС+СК19 – фруктозная диета + Стильбеновый концентрат с 19-й недели;

МС1 – зрелые крысы после 16 недель кормления фруктозой без коррекции с моделированным МС;

МС+R – фруктозная диета + Natural Resveratrol с 5-й недели кормления фруктозой;

МС+Ф – Фруктозная диета + Фэнокор с 5-й недели кормления фруктозой.

Нежелательные явления

Отсутствовали.

ОБСУЖДЕНИЕ

Резюме основного результата исследования

При моделировании МС у самцов крыс развиваются типичные морфологические изменения в сердце в виде стромально-сосудистого ожирения и ремоделирования стенки крупных сосудов, в целом соответствующие патоморфологии МС, частично имеющие специфические особенности избирательного и первичного поражения сосудов. Раннее начало коррекции Стильбеновым концентратом, равно как и коррекция азилсартаном у молодых крыс, нивелирует явления фиброза. У зрелых крыс ресвератрол и Фэнокор в равной степени значительно снижают явления фиброза. Коррекция всеми указанными препаратами сопровождается достоверным снижением диастолического АД как у молодых, так и у зрелых животных.

Обсуждение основного результата исследования

МС в настоящее время рассматривается как частный случай эндотелиальной дисфункции [24]. Повреждение эндотелия наиболее критично вследствие нарушения его гемостатической функции, провокации ангиотензивной вазомоторной реакции, нарушения рецепции и утраты ангиогенетической (регенераторной) возможности при ремоделировании тканей [25]. Явления фиброза, стаза и периваскулярного отека, обнаруженные в нашем эксперименте, полностью согласуются с приведенными механизмами развития МС.

При коррекции МС наибольший эффект на морфофункциональные показатели сердечно-сосудистой системы в группе зрелых крыс оказало применение ресвератрола и Фэнокора. Молодые особи имеют больше компенсаторных механизмов, и формирование МС занимает больше времени (24 недели). Максимальным ремоделирующим эффектом в этой группе обладает азилсартан, который уменьшает толщину интимы, что согласуется с литературными данными о положительном влиянии сартанов на суточный профиль АД у пациентов с СД и АГ [26]. Явления фиброза сердца больше всего поддавались коррекции Стильбеновым концентратом с 14-й недели применения и в меньшей степени – азилсартаном и Стильбеновым концентратом с 19-й недели применения. По-видимому, метаболические перестройки углеводного и связанного с ним жирового обмена в тканях сосудов у крыс при МС обратимы и поддаются фармакологической коррекции, что отражается на тканевом уровне организации при морфологическом исследовании, а также сопровождается нормализацией функциональных показателей, в частности АД.

Ограничения исследования

Ограничением данного исследования явилось небольшое количество животных в группах, лимитированное соображениями биоэтики при проведении морфологической части работы.

ЗАКЛЮЧЕНИЕ

К метаболическому синдрому (МС), как к одной из наиболее приоритетных и социально-значимых проблем медицины, приковано пристальное внимание широкого круга специалистов во всем мире. С одной стороны, установлено, что это состояние является обратимым, то есть при соответствующем лечении можно добиться уменьшения выраженности основных его проявлений, с другой – оно предшествует возникновению сахарного диабета типа 2 и сердечно-сосудистых заболеваний. В связи с этим остро стоит вопрос коррекции различных звеньев патогенеза МС. Проведенные исследования доказали целесообразность применения препаратов полифенольной группы и сартанов нового поколения в качестве возможных препаратов коррекции МС и его кардиоваскулярных проявлений на морфофункциональном уровне. При коррекции МС у зрелых крыс высокоэффективными оказались ресвератрол и Фэнокор, при использовании которых имеет место нормализация строения среднего слоя стенки аорты и нормализация уровня АД. У молодых крыс эффективным оказалось раннее применение Стильбенового концентрата: строение миокарда предсердий и желудочков, эндокарда и сосудов сердца в результате его воздействия соответствовали норме. Применение азилсартана также препятствовало развитию стромально-сосудистого ожирения миокарда и изменений стенки артерий у молодых крыс с моделью МС. У молодых животных как при раннем применении Стильбенового концентрата, так и при назначении азилсартана происходила нормализация в основном диастолического АД, что может быть связано с особенностями их механизмов действия. На наш, взгляд, необходимы дальнейшие исследования с применением всех используемых препаратов на группах животных одного возраста для оценки сравнительной эффективности коррекции между собой, а также возможности их комбинированного применения.

ДОПОЛНИТЕЛЬНАЯ ИНФОРМАЦИЯ

Источник финансирования. Исследования были частично поддержаны Программой развития ФГАОУ ВО «Крымский федеральный университет В.И. Вернадского» на 2015–2024 гг.

Конфликт интересов. Авторы декларируют отсутствие явных и потенциальных конфликтов интересов, связанных с публикацией настоящей статьи.

Участие авторов. Таримов К.О. – разработка концепции и дизайна исследования, анализ и интерпретация данных, написание текста, окончательное утверждение для публикации рукописи; Субботкин М.В. – разработка концепции и дизайна исследования, анализ и интерпретация данных; Куланова А.А. – разработка концепции и дизайна исследования, анализ и интерпретация данных; Петренко В.И. – разработка концепции и дизайна исследования, анализ и интерпретация данных, написание текста, окончательное утверждение для публикации рукописи; Кубышкин А.В. – обоснование рукописи и проверка критически важного интеллектуального содержания; Фомочкина И.И. – обоснование рукописи и проверка критически важного интеллектуального содержания; Макалиш Т.П. – обоснование рукописи и проверка критически важного интеллектуального содержания; Зяблицкая Е.Ю. – обоснование рукописи и проверка критически важного интеллектуального содержания; Шрамко Ю.И. – обоснование рукописи и проверка критически важного интеллектуального содержания, написание текста, окончательное утверждение для публикации рукописи. Все авторы внесли значимый вклад в проведение исследования и подготовку статьи, прочли и одобрили финальную версию статьи перед публикацией.

Список литературы

1. Lopes HF, Correa-Giannella ML, Consolim-Colombo FM, Egan BM. Visceral adiposity syndrome. Diabetol Metab Syndr. 2016;8:40. DOI:10.1186/s13098-016-0156-2

2. Ryu H, Jung J, Cho J, Chin DL. Program Development and Effectiveness of Workplace Health Promotion Program for Preventing Metabolic Syndrome among Office Workers. Int J Environ Res Public Health. 2017;14(8). DOI:10.3390/ijerph14080878

3. Порядин Г.В., Осколок Л.Н. Патофизиологические аспекты метаболического синдрома. // Лечебное дело. — 2011 — №4. — С. 4-10 [Poryadin GV, Oskolok LN. Pathophysiology of metabolic syndrome. Lechebnoe delo. 2011;(4):4-10. (In Russ.)]

4. Samuel VT, Shulman GI. The pathogenesis of insulin resistance: integrating signaling pathways and substrate flux. J Clin Invest. 2016;126(1):12-22. DOI:10.1172/JCI77812

5. Kim JI, Huh JY, Sohn JH, et al. Lipid-overloaded enlarged adipocytes provoke insulin resistance independent of inflammation. Mol Cell Biol. 2015;35(10):1686-1699. DOI:10.1128/MCB.01321-14

6. Mendrick DL, Diehl AM, Topor LS, et al. Metabolic Syndrome and Associated Diseases: From the Bench to the Clinic. Toxicol Sci. 2018;162(1):36-42. DOI:10.1093/toxsci/kfx233

7. Silva P, Sureda A, Tur JA, et al. How efficient is resveratrol as an antioxidant of the Mediterranean diet, towards alterations during the aging process? Free Radic Res. 2019;53(sup1):1101-1112. DOI:10.1080/10715762.2019.1614176

8. Заднипряный И.В., Третьякова О.С., Кубышкин А.В., Сатаева Т.П. Эффективность применения концентрата полифенолов винограда «Фэнокор» при гипоксическом повреждении миокарда. // Бюллетень сибирской медицины. — 2017. — Т. 16. — №3. — С. 34-42. [Zadnipryany IV, Tretiakova OS, Kubyshkin AV, Sataieva TP. Protective effect of grapes polyphenol concentrate «Fenokor» in terms of hypoxic myocardial injury. Bulletin of Siberian medicine. 2017;16(3):34-42. (In Russ.)] DOI:10.20538/1682-0363-2017-3-34-42

9. Georgiopoulos G, Katsi V, Oikonomou D, et al. Azilsartan as a Potent Antihypertensive Drug with Possible Pleiotropic Cardiometabolic Effects: A Review Study. Front Pharmacol. 2016;7:235. DOI:10.3389/fphar.2016.00235

10. Janssen I, Shields M, Craig CL, Tremblay MS. Changes in the obesity phenotype within Canadian children and adults, 1981 to 2007-2009. Obesity (Silver Spring). 2012;20(4):916-919. DOI:10.1038/oby.2011.122

11. Верткин А.Л., Скотников А.С. Клинико-фармакологические ниши сартанов в терапии коморбидных больных. // Лечащий врач. — 2013. — №2. — С. 109-111. [Vertkin AL, Skotnikov AS. Kliniko-farmakologicheskie nishi sartanov v terapii komorbidnykh bol’nykh. Practitioner. 2013;(2):109-111. (In Russ.)]

12. Ehlken B, Shlaen M, Lopez Fuensalida de Torres MDP, et al. Use of azilsartan medoxomil in the primary-care setting in Germany: A real-world evidence study. Int J Clin Pharmacol Ther. 2019;57(6):275-283. DOI:10.5414/CP203359

13. Селезнева А.И., Макарова М.Н., Рыбакова А.В. Методы рандомизации животных в эксперименте. // Международный вестник ветеринарии. — 2014.— №2.— С. 84-89. [Selezneva AI, Makarova MN, Rybakova AV. Randomization of experimental animals. Mezhdunarodnyy vestnik veterinarii. 2014;(2):84-89. (In Russ).]

14. Зорин Н.А. Оценка качества научных публикаций (часть II) // Медицинские технологии. Оценка и выбор. — 2012.— №1. — С. 85-93. [Zorin NA. Quality assessment of scientific publications (part II). Medical technologies. 2012;(1):85-93. (In Russ.)]

15. Решетняк М.В., Хирманов В.Н., Зыбина Н.Н., и др. Модель метаболического синдрома, вызванного кормлением фруктозой: патогенетические взаимосвязи обменных нарушений. // Медицинский академический журнал. — 2011. — Т. 11. — №3. — С. 23-27. [Reshetnyak MV, Khirmanov VN, Zybina NN, et al. Fructose-fed model of the metabolic syndrome: pathogenetic relationships between metabolic disorders. Medical academic journal. 2011;11(3):23-27. (In Russ.)] DOI:10.17816/MAJ11323-27

16. Chou CL, Lin H, Chen JS, Fang TC. Renin inhibition improves metabolic syndrome, and reduces angiotensin II levels and oxidative stress in visceral fat tissues in fructose-fed rats. PLoS One. 2017;12(7):e0180712. DOI:10.1371/journal.pone.0180712

17. Larque C, Velasco M, Navarro-Tableros V, et al. Early endocrine and molecular changes in metabolic syndrome models. IUBMB Life. 2011;63(10):831-839. DOI:10.1002/iub.544

18. Международная Федерация диабета (IDF): консенсус по критериям метаболического синдрома. // Ожирение и метаболизм. — 2005. — Т. 2. — №3. — С. 47-49. [Mezhdunarodnaya Federatsiya diabeta (IDF): konsensus po kriteriyam metabolicheskogo sindroma. Obesity and metabolism. 2005;2(3):47-49. (In Russ.)] DOI:10.14341/2071-8713-4854

19. de Moura RF, Ribeiro C, de Oliveira JA, et al. Metabolic syndrome signs in Wistar rats submitted to different high-fructose ingestion protocols. Br J Nutr. 2009;101(8):1178-1184. DOI:10.1017/S0007114508066774

20. Абрашова Т.В., Гущин Я.А., Ковалева М.А., и др. Справочник. Физиологические, биохимические и биометрические показатели нормы экспериментальных животных. — СПБ.: ЛЕМА; 2013. [Abrashova TV, Gushchin YA, Kovaleva MA, et al. Spravochnik. Fiziologicheskie, biokhimicheskie i biometricheskie pokazateli normy eksperimental’nykh zhivotnykh. Sainy Petersburg: LEMA; 2013. (In Russ.)]

21. Морфологическая диагностика. Подготовка материала для гистологического исследования и электронной микроскопии. / Под ред. Коржевского Д.Э. — СПб.: СпецЛит; 2013. [Korzhevskiy DE, editor. Podgotovka materiala dlya gistologicheskogo issledovaniya i elektronnoy mikroskopii. Saint Petersburg: SpetsLit; 2013. (In Russ.)]

22. Автандилов Г.Г. Основы количественной патологической анатомии. — М.: Медицина; 2002. [Avtandilov GG. Osnovy kolichestvennoy patologicheskoy anatomii. Moscow: Meditsina; 2002. (In Russ.)]

23. Новаковская С.А., Калиновская Е.И., Басалай А.А., и др. Морфологические особенности изменения сосудов микроциркуляторного русла миокарда при метаболическом синдроме (экспериментальное исследование). // Научные стремления. — 2017. — №21. — С. 29-31. [Novakovskaya SA, Kalinovskaya EI, Basalai AA, et al. Morphological features of changes in the vessels of the microcirculatory bed of the myocardium in metabolic syndrome (experimental study). Molodezhnyy sbornik nauchnykh statey «Nauchnye stremleniya». 2017;(21):29-31. (In Russ.)]

24. Кириченко Л.Л., Овсянников К.В., Федосеев А.Н., и др. Метаболический синдром как клиническое проявление эндотелиальной дисфункции. // Кардиоваскулярная терапия и профилактика. — 2012. — Т. 11. — №2. — С. 85-89. [Kirichenko LL, Ovsyannikov KV, Fedoseev AN, et al. Metabolic syndrome as a clinical manifestation of endothelial dysfunction. Cardiovascular Therapy and Prevention. 2012;11(2):85-89. (In Russ.)] DOI:10.15829/1728-8800-2012-2-85-89

25. Grandl G, Wolfrum C. Hemostasis, endothelial stress, inflammation, and the metabolic syndrome. Semin Immunopathol. 2018;40(2):215-224. DOI:10.1007/s00281-017-0666-5

26. Драгунов Д.О., Соколова А.В., Арутюнов Г.П., Латышев Т.В. Модификация суточного профиля артериального давления у больных гипертонической болезнью и сахарным диабетом 2го типа. // Артериальная гипертензия. — 2019. — Т. 25. — №3. — С. 307-318. [Dragunov DO, Sokolova AV, Arutyunov GP, Latyshev TV. Modification of the daily blood pressure profile in hypertensive patients with


Об авторах

Кирилл Олегович Таримов
Крымский федеральный университет имени В.И. Вернадского

студент



Михаил Владимирович Субботкин
Крымский федеральный университет имени В.И. Вернадского

студент



Алина Алексеевна Куланова
Крымский федеральный университет имени В.И. Вернадского

студент



Виталина Игоревна Петренко
Крымский федеральный университет имени В.И. Вернадского

студент



Анатолий Владимирович Кубышкин
Крымский федеральный университет имени В.И. Вернадского

д.м.н., профессор



Ирина Ивановна Фомочкина
Крымский федеральный университет имени В.И. Вернадского

д.м.н., профессор



Татьяна Павловна Макалиш
Крымский федеральный университет имени В.И. Вернадского

к.б.н.



Евгения Юрьевна Зяблицкая
Крымский федеральный университет имени В.И. Вернадского

д.м.н.



Юлиана Ивановна Шрамко
Крымский федеральный университет имени В.И. Вернадского

к.б.н.



Дополнительные файлы

1. Рисунки
Тема
Тип Исследовательские инструменты
Скачать (4MB)    
Метаданные ▾
2. Рисунок 1. Фрагмент сердца самца крысы интактной группы в возрасте 9–10 месяцев. Парафиновые срезы. Окраска гематоксилином и эозином. Ув. 100х.
Тема
Тип Прочее
Посмотреть (240KB)    
Метаданные ▾
3. Рисунок 2А. Фрагменты аорты самца крысы интактной группы. Парафиновые срезы. Окраска гематоксилином и эозином. Ув. 100х.
Тема
Тип Прочее
Посмотреть (411KB)    
Метаданные ▾
4. Рисунок 2B. Фрагменты аорты самца крысы интактной группы. Парафиновые срезы. Окраска гематоксилином и эозином. Ув. 400х.
Тема
Тип Прочее
Посмотреть (386KB)    
Метаданные ▾
5. Рисунок 3. Морфологические изменения в сердечно-сосудистой системе молодых крыс (возраст 3–6 месяцев) при моделированном метаболическом синдроме и его фармакологической коррекции.
Тема
Тип Прочее
Метаданные ▾
6. Рисунок 4. Морфологические изменения в сердечно-сосудистой системе зрелых крыс (возраст 9–12 месяцев) при моделированном метаболическом синдроме и его фармакологической коррекции
Тема
Тип Прочее
Метаданные ▾

Рецензия

Для цитирования:


Таримов К.О., Субботкин М.В., Куланова А.А., Петренко В.И., Кубышкин А.В., Фомочкина И.И., Макалиш Т.П., Зяблицкая Е.Ю., Шрамко Ю.И. Сравнительный анализ коррекции морфофункциональных нарушений в сердечно-сосудистой системе при моделированном метаболическом синдроме. Ожирение и метаболизм. 2020;17(2):208-219. https://doi.org/10.14341/omet12296

For citation:


Tarimov C.O., Subbotkin M.V., Kulanova A.A., Petrenko V.I., Kubyshkin A.V., Fomochkina I.I., Makalish T.P., Zyablitskaya Ye.Yu., Shramko I.I. Comparative analysis of cardiovascular system morphofunctional disorders’ correction in a simulated metabolic syndrome. Obesity and metabolism. 2020;17(2):208-219. (In Russ.) https://doi.org/10.14341/omet12296

Просмотров: 2783


ISSN 2071-8713 (Print)
ISSN 2306-5524 (Online)