Перейти к:
Состояния эрекции у пациента с краниофарингиомой, пангипопитуитаризмом и диэнцефальным ожирением
https://doi.org/10.14341/omet10062
Аннотация
В статье изложен клинический случай из практики пациента с краниофарингиомой. У мужчины репродуктивного возраста с диэнцефальным ожирением (ИМТ 35 кг/м2), рецидивом краниофарингиомы, длительным анамнезом эндокринных нарушений (пангипопитуитаризм, включая вторичный гипогонадизм, с соответствующими нарушениями половой функции и отсутствием половой жизни), со зрительными расстройствами и психопатологической симптоматикой в раннем послеоперационном периоде после шунтирующей операции и уменьшения объемы кисты краниофарингиомы возникли состояния эрекции на фоне эпизодов расстройств сознания в рамках диссоциации сна (сновидно-онейроидных состояний).
На 2-е сутки после операции (установки системы Оммайя) у пациента появились состояния «спонтанной» эрекции продолжительностью до 30 минут на фоне сновидно-онейроидных состояний нарушения сознания с эротическими переживаниями. Эти состояния наблюдались в течение 3 ночей, пациент запоминал переживания и события, происходившие с ним «во сне», с мелкими подробностями мог рассказывать о них окружающим следующим утром. Личность больного при этом оставалась сохранной, он был активен в отделении, упорядочен в поведении, адекватен; запоминал текущие события, новую информацию. Данные расстройства у пациента не требовали специализированного лечения, регрессировали самостоятельно на 6-е сутки послеоперационного периода.
Особенности клинической картины, течения раннего послеоперационного периода у пациента с экстра-интравентрикулярной краниофарингиомой обусловлены непосредственным поражением опухолью области 3 желудочка и прилежащих гипоталамо-таламических структур и ядер. Причиной возникновения пароксизмальных состояний эрекции у пациента с длительным анамнезом гипогонадотропного гипогонадизма, отсутствием половой жизни можно предположить воздействие/раздражение в области этих структур в результате быстрого уменьшения объема кисты после установки системы Оммайя. Нельзя исключить и особенности проявлений нейрогуморальной регуляции, вегето-висцеральных реакций, обусловленные опять же локализацией опухолевого поражения.
Ключевые слова
Для цитирования:
Сиднева Ю.Г., Астафьева Л.И., Кадашев Б.А., Калинин П.Л., Кутин М.А., Дзеранова Л. Состояния эрекции у пациента с краниофарингиомой, пангипопитуитаризмом и диэнцефальным ожирением. Ожирение и метаболизм. 2019;16(2):83-88. https://doi.org/10.14341/omet10062
For citation:
Sidneva Yu.G., Astafyeva L.I., Kadashev B.A., Kalinin P.L., Kutin M.A., Dzeranova L.K. The state of erection in a patient with craniopharyngioma, panhypopituitarism and diencephalic obesity. Obesity and metabolism. 2019;16(2):83-88. (In Russ.) https://doi.org/10.14341/omet10062
АКТУАЛЬНОСТЬ
Краниофарингиомы относятся к врожденным дизэмбриогенетическим образованиям, возникающим из эмбриональных остатков эпителиальных клеток гипофизарного хода, составляют около 3% от всех опухолей центральной нервной системы, располагаются в углублении турецкого седла (эндо- и экзосупраселлярно) или вне его (супраселлярно) [1, 2, 3]. Краниофарингиомы в процессе роста могут проникать по основанию мозга в переднюю или среднюю черепную ямку, вещество лобной или височной доли, в область третьего и боковых желудочков, нередко сопровождаясь образованием кист [4]. Клиническая манифестация краниофарингиом возникает в разных возрастных группах, состоит из зрительных, эндокринных, неврологических и психических расстройств [5–8]. Многообразие клинической картины у больных определяется топографо-анатомическим расположением краниофарингиомы (с соответствующим поражением/раздражением структур и ядер гипоталамо-таламических областей, области III желудочка), особенностями распространения опухоли, наличием гипертензионно-гидроцефальной симптоматики, возрастными особенностями [2,9,10].
Эмбриогенез краниофарингиом обуславливает тесную связь опухоли с гипоталамусом и гипофизом, вследствие чего даже небольшие по размеру краниофарингиомы могут сопровождаться гипоталамо-гипофизарными нарушениями, вызывающими не только эндокринные нарушения, но и влияющими на особенности психопатологической симптоматики. Гипоталамо-гипофизарная недостаточность развивается у 70–89% взрослых пациентов с краниофарингиомой [11], симптомы вторичного гипогонадизма имеются практически у всех [8].
Психопатологическая симптоматика возникает эпизодически (пароксизмально) или в виде стойких нарушений, по разным данным встречается в 20–100% случаев [7, 10]. В литературе описаны астено-динамические состояния вплоть до сомнолентности, эмоционально-аффективные расстройства, мнестические нарушения, галлюцинаторно-бредовая симптоматика, эпизоды сновидно-делириозных состояний, вегето-висцеральные нарушения, расстройства ритма сна и бодрствования, яркие цветные сновидения и другие психические нарушения [7, 10, 12].
Ниже приводится клиническое наблюдение больного с краниофарингиомой, диэнцефальным ожирением, длительным анамнезом эндокринных нарушений (пангиопопитуитаризм, включая вторичный гипогонадизм), у которого в раннем послеоперационном периоде отмечались состояния с достаточно продолжительной эрекцией на фоне эпизодов расстройства сознания (по типу сновидно-онейроидных состояний). Интерес данного случая в том, что эрекция возникла у пациента на фоне длительного анамнеза эндокринных нарушений, в том числе вторичного гипогонадизма, в рамках основного заболевания.
ОПИСАНИЕ СЛУЧАЯ
Больной Р-в, 39 лет, ИБ 284. Имеет высшее образование, до госпитализации работал. Женат, имеет двоих детей 14 и 10 лет. Правша, с признаками левшества.
В течение 3 лет – ухудшение зрения; снижение полового влечения, отсутствие спонтанных и адекватных эрекций, оргазма; колебания настроения с раздражительностью. За 2 года до поступления дважды оперирован транскраниальным доступом по поводу краниофарингиомы в течение одного года с интервалом в 3 мес. В послеоперационных периодах жаловался на резкую слабость, колебания артериального давления в сторону понижения, сонливость, эпизоды полиурии. Выписывался в удовлетворительном состоянии. Продолжал работать.
Ухудшение состояния за месяц до настоящего поступления. Стал вялым, сонливым, был периодически дезориентирован в месте и времени, трижды наблюдались приступы с нарушением сознания, судорожными сокращениями в конечностях, прикусом языка.
При обследовании в НМИЦН выявлено следующее.
Осмотр эндокринолога: рост 178 см, вес 111 кг, ИМТ 35 кг/м2, обхват талии 110 см; после первой операции у пациента развился пангипопитуитаризм: вторичная надпочечниковая недостаточность, вторичный гипотиреоз, вторичный гипогонадизм; несахарный диабет; СТГ-дефицит; повышение веса в течение 2 лет на 18 кг. Пациент получал таблетированные препараты гидрокортизона, левотироксина, десмопрессина. Терапию половыми гормонами не получал. Гормональный анализ крови: пролактин 135 (30–36) мЕд/л, ТТГ – 0,08 (0,4–4,0) мЕд/л, свободный Т4 – 12,4 (9–22) нмоль/л, кортизол – 55 (260–720) нмоль/л, тестостерон – 0,8 (12–35) нмоль/л.
Осмотр нейроофтальмолога: острота зрения справа ноль, слева 1,0, выпадение височной половины (периметрия), на глазном дне диски зрительного нерва бледные, артерии узкие, вены полнокровны.
Осмотр невролога: парезов нет, чувствительность сохранена, координация, статика и походка не нарушены.
Осмотр психиатра: психическое состояние до операции характеризовалось расстройствами в виде снижения инициативы, снижения запоминания текущих событий и новой информации, неточной ориентировки в месте, времени и личной ситуации. Рассказывал о ярких цветных сновидениях с нереальным, фантастическим, незаконченным сюжетом. В ночное время больного неоднократно находили в других помещениях института, куда он самостоятельно добирался (в соседнем отделении, на других этажах, в лифте). Подробностей своего «путешествия» воспроизвести не мог, был дезориентирован. Свое поведение позже объяснял тем, что якобы встретил знакомого, который находился на другом этаже и т.п.
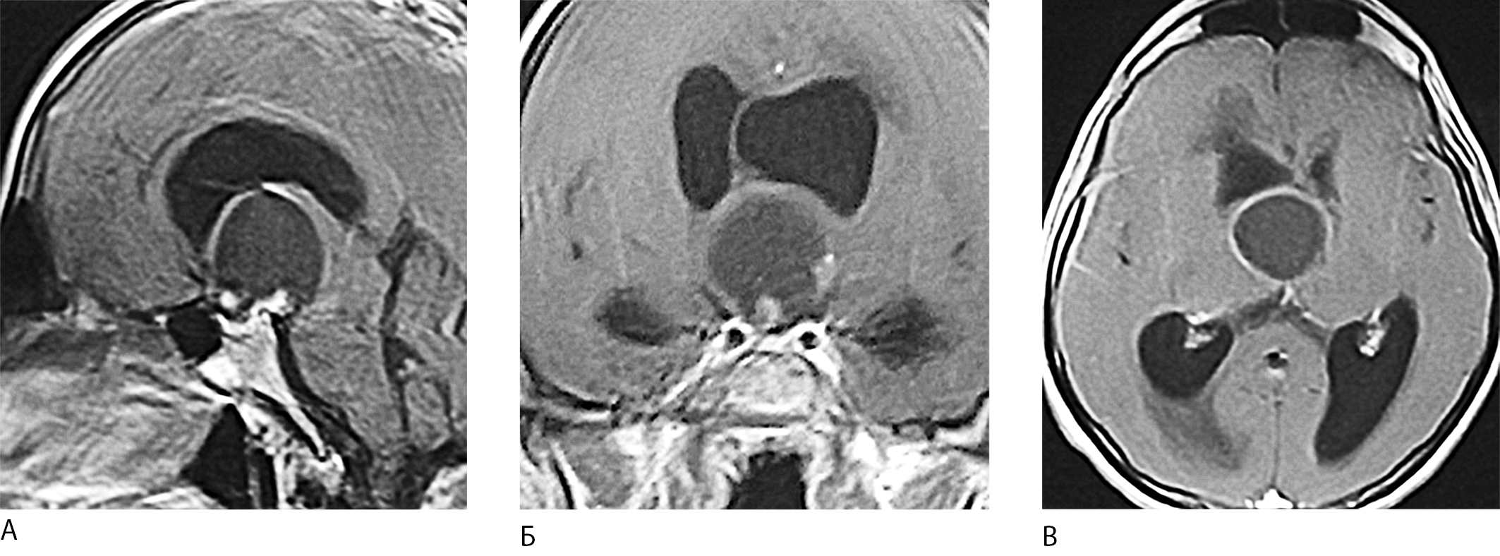
При магнитно-резонансной томографии (МРТ) головного мозга выявлялось кистозное образование, расположенное в супраселлярной области и в проекции Ш желудочка, поддавливающее отверстие Монро, что вызывало расширение боковых желудочков с умеренными явлениями перивентрикулярного отека (рис. 1А, Б, В). При ЭЭГ исследовании – эпилептической активности не выявлено. Ультразвуковая допплерография (УЗДГ) сосудов головного мозга и шеи – без особенностей.
Рис. 1. МРТ пациента Р-ва 39 лет с кистозной краниофарингиомой до операции (плоскости: А - сагиттальная; Б - фронтальная; В - аксиальная).
В НМИЦН проведена операция – стереотаксическая установка резервуара Оммайя в кисту краниофарингиомы.
После операции регрессировали дезориентировка в месте, времени и личной ситуации, эмоционально-личностные и мнестические нарушения. Повысились уровень бодрствования и спонтанная активность.
В послеоперационном периоде, начиная со 2-х суток, каждую ночь больной видел «яркие» цветные эротические сновидения. Утром рассказывал с мелкими подробностями жене и врачу: «…Действие якобы происходит в самолете или в парке на лавочке. Ко мне подходит красивая, молодая девушка с длинными волосами и начинает беседовать, кокетничать, улыбаться. Я ощущаю, что наступает эрекция, появляется желание быть с ней ближе, предлагает ей уединиться…». Просыпаясь, пациент замечал, что он лежит спокойно, в обычной позе, а эрекция без контакта и тактильного раздражения присутствует на самом деле и продолжается еще в течение последующих 20–30 минут. Эти состояния отмечались в течение последующих 5 ночей, прошли самостоятельно, без добавления психотропной терапии.
Эндокринный статус после операции: сохранялась симптоматика пангипопитуитаризма, несахарный диабет. Пациент продолжал получать таблетированные препараты гидрокортизона, левотироксина, десмопрессина.
При осмотре невролога: без отрицательной динамики.
При ЭЭГ, УЗДГ исследованиях – без особенностей.
На контрольной компьютерной томограмме головного мозга выявлялось уменьшение размеров кистозного образования и степени гидроцефалии (рис. 2А, Б).
Рис. 2. Компьютерная томограмма пациента Р-ва после стереотаксической установки резервуара Оммайя в кисту краниофарингиомы; отмечается уменьшение размеров кисты и степени гидроцефалии
При выписке на 7-е сутки сновидений не наблюдалось, рассказывал о них как о приятных воспоминаниях. Выписался в удовлетворительном состоянии с рекомендациями наблюдения нейрохирурга, эндокринолога, невролога.
В данном наблюдении у больного с рецидивом краниофарингиомы при поступлении в клинической картине на первый план выходили эндокринные нарушения; помимо этого, имелись психопатологическая симптоматика и зрительные нарушения.
Эндокринные нарушения были представлены длительным анамнезом пангипопитуитаризма, несахарного диабета и диэнцефального ожирения; нарушением половой функции с отсутствием половой жизни. Психические расстройства – выраженными эмоционально-волевыми нарушениями, мнестическими расстройствами, изменениями личности, эпизодами сумеречных расстройств сознания с амбулаторными автоматизмами в ночное время, нарушениями сна (яркие цветные сновидения, нередко фантастического содержания). В анамнезе следует отметить генерализованные приступы с нарушением сознания, судорогами, прикусом языка, амнезией (на фоне гипертензионно-гидроцефальной симптоматики).
Все эти нарушения были обусловлены патологическим процессом, поражением базально-диэнцефальной области (гипоталамо-таламических структур, III желудочка) – экстра-интравентрикулярной краниофарингиомой, гипертензионно-гидроцефальными проявлениями.
После шунтирующей операции и уменьшения объема кисты краниофарингиомы сохранялись пангипопитуитаризм, зрительные расстройства. Значительное улучшение отмечалось в эмоционально-волевой сфере, с регрессом мнестических расстройств.
На 2-е стуки после операции возникли состояния эрекции на фоне эпизодов расстройств сознания (сновидно-онейроидных состояний с эротическими переживаниями во время сна). Эрекция была «спонтанной», явной после «пробуждения», сохранялась по времени до 20-30 минут. Эти эпизоды эрекции с пароксизмальными состояниями расстройства сознания онирической структуры наблюдались в течение 3 ночей. Больной запоминал переживания и события, происходившие с ним «во сне», с мелкими подробностями мог рассказывать о них окружающим. Личность больного при этом оставалась сохранной, он был активен в отделении, упорядочен в поведении, адекватен; запоминал текущие события, новую информацию. Пароксизмы у данного больного не требовали специального лечения, регрессировали самостоятельно на 6-е сутки после операции.
ОБСУЖДЕНИЕ
В данном клиническом наблюдении интерес представлен тем, что у больного с краниофарингиомой на фоне длительного анамнеза клинической картины вторичного гипогонадизма с соответствующими нарушениями половой функции, отсутствием половой жизни возникает эрекция.
Краниофарингиома – опухоль хиазмально-селлярной области с «мозаично» проявляющейся клинической картиной [2, 5, 7, 12]. Длительность анамнеза и симптоматика заболевания у пациента обусловлены опухолевым поражением таламо-гипоталамо-гипофизарных ядер, нарушением их связей и взаимодействий, и, соответственно, имеющиеся в клинике заболевания эндокринные, зрительные и психические нарушения являются патогномоничными проявлениями при данном типе опухоли [3, 8]. В частности, такие нарушения, как гипогонадизм и сновидно-онейроидные состояния, могут укладываться в клиническую картину краниофарингиомы.
Обращает на себя внимание то, что в рамках преходящих состояний расстройств сознания возникает эрекция – спонтанная, неоднократная и достаточно длительная по времени. Эрекция не «фантазийная», а реальная у пациента, имеющего длительный анамнез клинической картины вторичного гипогонадизма и нарушений половой функции, отсутствия половой жизни в течение многих лет.
В норме половая функция представляет собой сложный, многокомпонентный биологический процесс, включающий в себя как центральные механизмы регуляции полового влечения и возбуждения, так и локальные механизмы поддержания эрекции, способности к эякуляции и достижения оргазма [13–16].
Известно, что спинномозговой центр эрекции (напряжение полового члена) локализуется в крестцовом отделе позвоночника (сегментах SII–SIII позвонков) [17]. Он возбуждается эротическими импульсами, идущими от головного мозга, или рефлекторно. Активизация гипоталамических центров (преоптическая область и вентромедиальные ядра) полового поведения происходит под влиянием половых гормонов и зависит от степени чувствительности половых центров к этим гормонам, нельзя исключить и сосудистый компонент возникновения и поддержании эрекции, который также имеет место быть [17-19]. В результате сосудистого рефлекса при эрекции происходит наполнение кровью полового члена, увеличение его объема и повышение температуры. Его механизм состоит в том, что нервные импульсы, возникающие при половом возбуждении, вызывают расширение и расслабление тонуса стенок артерий полового члена и усиленный приток артериальной крови за счет парасимпатического и симпатического влияния на сосуды и мышцы.
Известно и описано три типа эрекции – рефлекторная (контактная), психогенная (бесконтактная) и ночная [18]. Рефлекторная эрекция возникает при тактильном раздражении половых органов, подключая афферентные и эфферентные механизмы ответной реакции, она кратковременна и не поддается произвольному контролю. Психогенная эрекция имеет уже более сложный ответный механизм с вовлечением центральных ядер головного мозга, изменением соотношения нейромедиаторов и гормонов, вегето-висцеральными реакциями. Ночная, спонтанная эрекция возникает непроизвольно, и ее механизм до конца недостаточно изучен, но возможно предположить участие парасимпатической нервной системы, которая вызывает расширение артерий полового члена, с большей активностью этой системы в ночной период.
Соответственно, в нашем клиническом случае возникновение эрекции физиологическим путем с активизацией гипоталамических центров, действием половых гормонов и тому подобным невозможно ввиду поражения центральных ядер опухолью, и как следствие, гипоталамо-гипофизарной недостаточности. По такому нейрогуморальному пути проходят психогенный тип эрекции и часть рефлекторного типа с ответными реакциями, что в нашем случае не «работает».
Для мужчин с постпубертатным гипогонадизмом описаны характерные эндокринные нарушения: снижение полового влечения, снижение частоты и ослабление адекватных и спонтанных эрекций, пролонгации полового акта, ослабление или отсутствие оргазма, отсутствие семяизвержения; уменьшение оволосения на лице и теле; атоничная, умеренной пигментации и складчатости мошонка [20]. После оперативного лечения краниофарингиомы у больных может наблюдаться нормализация уровня гонадотропинов, но без восстановления половой функции [21].
В рамках психических нарушений в единичных случаях описано, что в клинической картине на первый план могут выделяться расстройства с эмоциональным и двигательным расторможением, оживлением примитивных влечений, повышением полового чувства [1]. Психические нарушения у больных с краниофарингиомой также связывают с непосредственным поражением диэнцефальной области [7, 10, 12]. Некоторые авторы описывают онейроидные состояния с красочными сновидениями, фантастическими переживаниями, полными драматизма и таинственности, порой с выраженным эротическим компонентом, а также кататимными механизмами.
Итак, у нашего пациента все-таки нельзя исключить все типы эрекции. Рефлекторный тип эрекции – когда в состоянии сумеречного расстройства сознания на фоне эротических сновидений возможно имели место неконтролируемые тактильные раздражения во время непроизвольного мастурбирования. Ведь рефлекторная эрекция управляется периферическими нервами и центрами, локализующимися в нижней крестцовой части спинного мозга, интактными при настоящем заболевании у данного пациента. Психогенный тип – за счет ярких сновидных картинок, возможно, активизировались центральные нейромедиаторы эрекции (в частности, дофамин), что, конечно, мало предположительно ввиду поражения опухолью ядер и путей. Помимо этого, подразумеваем и спонтанную ночную эрекцию с активизацией парасимпатической системы; и сосудистый механизм за счет вегето-висцеральных регуляций. В нашем клиническом случае можно предположить еще сосудистый механизм возникновения и поддержания эрекции за счет вегето-висцеральных изменений при краниофарингиомах. Стоит отметить, что еще в прошлом столетии отечественный психиатр А.С. Шмарьян (1949) описывал диэнцефальные приступы, среди которых можно было выделить «вегетативные диффузные разряды с преобладанием то симпатических, то парасимпатических систем (с ощущением озноба или жара, вазомоторными, моторными, секреторными и диспноэтическими нарушениями), вегетативные приступы или эквиваленты в виде приступов нестерпимого голода, жажды и полового возбуждения...» [22]. Обращает на себя внимание только то, что до последней операции в течение 3 лет болезни ни рефлекторная, ни психогенная, ни ночная эрекции не были отмечены у пациента, половая жизнь отсутствовала вообще.
ЗАКЛЮЧЕНИЕ
Особенности клинической картины, течения раннего послеоперационного периода у пациента с экстра-интравентрикулярной краниофарингиомой обусловлены непосредственным поражением опухолью области 3 желудочка и прилежащих гипоталамо-таламических структур и ядер. В возникновении пароксизмальных состояний эрекции у пациента с длительным анамнезом гипогонадотропного гипогонадизма, отсутствием половой жизни можно предположить воздействие/раздражение в области этих структур в результате быстрого уменьшения объема кисты после установки системы Оммайя. Нельзя исключить и особенности проявлений нейрогуморальной регуляции, вегето-висцеральных реакций, обусловленные опять же локализацией опухолевого поражения.
ДОПОЛНИТЕЛЬНАЯ ИНФОРМАЦИЯ
Источник финансирования. Подготовка и публикация рукописи проведены на личные средства авторского коллектива. Дополнительных источников финансирования не было.
Согласие пациента. Пациент добровольно подписал информированное согласие на публикацию персональной медицинской информации в обезличенной форме в журнале.
Конфликт интересов. Авторы декларируют отсутствие явных и потенциальных конфликтов интересов, связанных с публикацией настоящей статьи.
Информация о вкладе каждого автора: Сиднева Ю.Г. – сбор и обработка материала, написание текста; Астафьева Л.И. – дизайн исследования, написание текста; Кадашев Б.А. – редакция статьи; Калинин П.Л. – концепция статьи; Кутин М.А. – редакция и оформление статьи. Все авторы внесли значимый вклад в подготовку статьи, прочли и одобрили финальную версию до публикации.
Список литературы
1. Болезни нервной системы: Руководство для врачей: В 2-х т. — Т. 1 / Под ред. Н. Н. Яхно, Д. Р. Штульмана. — М.: Медицина, 2001. [Yakhno NN, Shtul’man DR, editors. Bolezni nervnoi sistemy: Rukovodstvo dlya vrachei. Vol.1. Moscow: Medicina; 2001. (In Russ.)].
2. Maurice Choux and Gabriel Lena. Craniopharyngioma. In: Michael LJ Apuzzo, editor. Surgery of the third ventricle. Baltimore: Williams & Wilkins; 1998. p.1143-1178.
3. Robert B. Page MD. Functional Anatomy of Human Hypothalamus. In: Michael LJ Apuzzo, editor. Surgery of the third ventricle. Baltimore: Williams & Wilkins; 1998. p.233-251.
4. Van den Berge JH, Blaauw G, Breeman WAP, et al. Intracavitary brachytherapy of cystic craniopharyngiomas. J Neurosurg. 1992;77(4):545-550. doi: 10.3171/jns.1992.77.4.0545
5. Кадашев Б.А., Владимирова В.П. Гипоталамо-гипофизарные нарушения при краниофарингиомах. В кн.: Нейроэндокринология / Под ред. Маровой Е.И. — Ярославль: «ДИА-пресс», 1999. — C.308-331. [Kadashev BA, Vladimirova VP. Gipotalamo-gipofizarnye narusheniya pri kraniofaringiomakh. In: Marova EI, editor. Neiroendokrinologiya. Yaroslavl’: «DIA-press»; 1999. p.308-331. (In Russ.)].
6. Нейроэндокринология / Под ред. Маровой Е.И. — Ярославль: «ДИА-пресс», 1999. [Marova EI, editor. Neiroendokrinologiya: klinicheskie ocherki. Yaroslavl’: «DIA-press»; 1999. (In Russ.)].
7. Bellhouse J, Holland A, Pickard J. Psychiatric, cognitive and behavioural outcomes following craniopharyngioma and pituitary adenoma surgery. Br J Neurosurg. 2003;17(4):319-326. doi: 10.1080/02688690310001601207
8. Paja M, Lucas T, García-Uria J, et al. Hypothalamic-pituitary dysfunction in patients with craniopharyngioma. Clin Endocrinol (Oxf). 1995;42(5):467-473. doi: 10.1111/j.1365-2265.1995.tb02664.x
9. Клиническая нейроэндокринология / Под ред. Дедова И.И. — М: «УП Принт», 2011. [Dedov II, editor. Klinicheskaya neiroendokrinologiya. Moscow: «UP Print»; 1999. (In Russ.)].
10. Доброхотова Т.А. Нейропсихиатрия. Издание 2-е, исправленное. – М: «Бином», 2013. [Dobrokhotov TA. Neiropsikhiatriya. 2-nd edition. Moscow: «Binom»; 2013. (In Russ.)].
11. Honegger J, Buchfelder M, Fahlbusch R. Surgical treatment of craniopharyngiomas: endocrinological results. J Neurosurg. 1999;90(2):251-257. doi: 10.3171/jns.1999.90.2.0251
12. Доброхотова Т.А., Сиднева Ю.Г., Воронина И.А. Галлюцинаторно-бредовой синдром после удаления краниофарингиомы // Социальная и клиническая психиатрия. — 1998. — №4. — С.126-130. [Dobrokhotova TA, Sidneva YG, Voronina IA. Gallyutsinatorno-bredovoi sindrom posle udaleniya kraniofaringiomy Social`naâ i kliničeskaâ psihiatriâ. 1998;(4):126-130. (In Russ.)].
13. El-Sakka AI, Lue TF. Physiology of Penile Erection. Sci World J. 2004;4(4):128-134. doi: 10.1100/tsw.2004.58
14. Giuliano F, Rampin O. Neural control of erection. Physiol Behav. 2004;83(2):189-201. doi: 10.1016/j.physbeh.2004.08.014
15. Carani C, Granata ARM, Bancroft J, Marrama P. The effects of testosterone replacement on nocturnal penile tumescence and rigidity and erectile response to visual erotic stimuli in hypogonadal men. Psychoneuroendocrinology. 1995;20(7):743-753. doi: 10.1016/0306-4530(95)00017-8
16. Cunningham GR, Hirshkowitz M, Korenman SG, Karacan I. Testosterone Replacement Therapy and Sleep-Related Erections in Hypogonadal Men. J Clin Endocrinol Metab. 1990;70(3):792-797. doi: 10.1210/jcem-70-3-792
17. Шварц П.Г. Избранные труды по нейроурологии. Сборник научных статей. — Екатеринбург: «Альфа-Принт», 2018. [Shvarts PG. Izbrannye trudy po neirourologii. Sbornik nauchnykh statei. Ekaterinburg: «Alfa-Print»; 2018. (In Russ.)].
18. Жуков О.Б., Зубарев А.Р., Кротенкова М.В., и др. Нейрогенные механизмы регуляции эрекциии роль современных методов нейровизуализации в диагностике эректильной дисфункции // Медицинская визуализация. — 2005. — №2. — С.9-17. [Zhukov ОB, Zubarev AR, Krotenkova MV, et al. Neurogenic Regulation of Erection and a Role of Modern Methods of the Neuroradiology in Diagnosis of an Erectile Dysfunction. Medicinskaâ vizualizaciâ. 2005;(2):9-17. (In Russ.)].
19. Жуков О.Б., Кибрик Н.Д., Астафьева Л.И., Васильев А.Э. Современные аспекты диагностики и лечения преждевременной эякуляции. Междисциплинарный урологический консилиум. Андрология и генитальная хирургия. — 2018. — Т.19. — №2. — С.70-82. [Zhukov OB, Kibrik ND, Astafyeva LI, Vasilyev AE. Premature ejaculation: current aspects on diagnosis and treatment. interdisciplinary urological concilium. Androl Genit Surg. 2018;19(2):69-81. (In Russ.)]. doi: 10.17650/2070-9781-2018-19-2-69-81
20. Davidson JM, Camargo CA, Smith ER. Effects of Androgen on Sexual Behavior in Hypogonadal Men. J Clin Endocrinol Metab. 1979;48(6):955-958. doi: 10.1210/jcem-48-6-955
21. Barreca T, Perria C, Francaviglia N, Rolandi E. Evaluation of anterior pituitary function in adult patients with craniopharyngiomas. Acta Neurochir (Wien). 1984;71(3-4):263-272. doi: 10.1007/BF01401321
22. Шмарьян А.С. Мозговая патология и психиатрия. Том 1. – М: Медгиз, 1949. [Shmar’yan A.S. Mozgovaya patologiya i psikhiatriya. Vol.1. Moscow: «Medgiz»; 1949. (In Russ.)].
Об авторах
Юлия Геннадьевна СидневаФГАУ «Национальный медицинский исследовательский центр нейрохирургии имени академика Н.Н. Бурденко»
Минздрава России; ГБУЗ «Научно-исследовательский институт неотложной детской хирургии и травматологии» Департамента здравоохранения города Москвы
Россия
к.м.н.
Людмила Игоревна Астафьева
ФГАУ «Национальный медицинский исследовательский центр нейрохирургии имени академика Н.Н. Бурденко»
Минздрава России
Россия
д.м.н.
Борис Александрович Кадашев
ФГАУ «Национальный медицинский исследовательский центр нейрохирургии имени академика Н.Н. Бурденко»
Минздрава России
Россия
д.м.н., профессор, главный научный сотрудник
Павел Львович Калинин
ФГАУ «Национальный медицинский исследовательский центр нейрохирургии имени академика Н.Н. Бурденко»
Минздрава России
Россия
д.м.н., зав. 8 отд
Максим Александрович Кутин
ФГАУ «Национальный медицинский исследовательский центр нейрохирургии имени академика Н.Н. Бурденко»
Минздрава России
Россия
к.м.н., старший научный сотрудник
Лариса Дзеранова
ФГБУ «Национальный медицинский исследовательский центр эндокринологии» Минздрава России
Россия
д.м.н., главный научный сотрудник
Дополнительные файлы
|
1. Рис. 1. МРТ пациента Р-ва 39 лет с кистозной краниофарингиомой до операции (плоскости: А - сагиттальная; Б - фронтальная; В - аксиальная). | |
Тема | ||
Тип | Исследовательские инструменты | |
Посмотреть
(730KB)
|
Метаданные ▾ |
|
2. Рис. 2. Компьютерная томограмма пациента Р-ва после стереотаксической установки резервуара Оммайя в кисту краниофарингиомы; отмечается уменьшение размеров кисты и степени гидроцефалии | |
Тема | ||
Тип | Исследовательские инструменты | |
Посмотреть
(329KB)
|
Метаданные ▾ |
Рецензия
Для цитирования:
Сиднева Ю.Г., Астафьева Л.И., Кадашев Б.А., Калинин П.Л., Кутин М.А., Дзеранова Л. Состояния эрекции у пациента с краниофарингиомой, пангипопитуитаризмом и диэнцефальным ожирением. Ожирение и метаболизм. 2019;16(2):83-88. https://doi.org/10.14341/omet10062
For citation:
Sidneva Yu.G., Astafyeva L.I., Kadashev B.A., Kalinin P.L., Kutin M.A., Dzeranova L.K. The state of erection in a patient with craniopharyngioma, panhypopituitarism and diencephalic obesity. Obesity and metabolism. 2019;16(2):83-88. (In Russ.) https://doi.org/10.14341/omet10062

Контент доступен под лицензией Creative Commons Attribution-NonCommercial-NoDerivatives 4.0 International License (CC BY-NC-ND 4.0).